2026“荧”领奔腾 马年升级版mIHC试剂盒 助你实验一马当先

多重免疫荧光(Multiplex immunohistochemical, mIHC)可以实现在一张切片原位同时检测多个靶标,能够评估复杂样本中的细胞-细胞的作用关系,分析样本的异质性,筛选生物标志物组合,对于理解细胞间的相互作用和肿瘤微环境至关重要。

Bioss全新一代mIHC试剂盒正式发布,本次升级围绕“精准、高效、便捷”三大重心,通过核心工艺与配方的双重革新,在抗体验证、荧光信号放大及兼容性等方面实现了突破性改进,显著提升了通量与信噪比,为多靶点的联合检测提供了更强大的解决方案。
技术原理
酪酰胺信号放大(TSA, Tyramide signal amplification)技术是一种利用辣根过氧化酶(HRP)对靶蛋白进行原位标记的酶学检测方法。其原理是利用酪胺(Tyramide)的过氧化物酶反应,酪胺荧光素底物在HRP和H202的作用下被活化,活化的荧光底物能与目标蛋白上的酪氨酸等残基共价结合,导致在抗原-抗体结合位点大量沉积荧光素,实现信号放大。通过热修复或者抗体洗脱液洗去前一轮非共价结合的抗体,而荧光素稳定结合在蛋白上,进行下一轮染色。直至所有抗体孵育结束,进行核染色,封片,扫描。
由于每次体系中都只有单一抗体孵育,因此无需担心抗体的交叉反应及一抗二抗种属匹配问题,摆脱了传统免疫荧光实验条件对抗体种属来源的限制和束缚。此试剂盒中的荧光染料可以单独或组合使用,能够实现单标、双标、三标以及更多重荧光放大/多重同源抗体荧光标记等功能。

实验步骤

mIHC试剂盒产品线
保存条件:4℃可保存12个月。
适用样品基质:适用于石蜡切片、冰冻切片、细胞爬片及细胞涂片等样本。冰冻切片、细胞爬片及细胞涂片需单独购买mIHC专用抗体洗脱液(货号:C2208)。
| 中文名称 | 产品编号 | 规格一 | 规格二 |
| 双标三色多重荧光检测试剂盒 | IHCT001 | 20T | 100T |
| 三标四色多重荧光检测试剂盒 | IHCT002 | 20T | 100T |
| 四标五色多重荧光检测试剂盒 | IHCT003 | 20T | 100T |
| 五标六色多重荧光检测试剂盒 | IHCT004 | 20T | 100T |
| 六标七色多重荧光检测试剂盒 | IHCT005 | 20T | 100T |
产品组份:
含TSA荧光染料、DAPI染液(即用型)、TSA buffer、HRP山羊抗兔/鼠通用二抗、抗体稀释液、3%过氧化氢及抗荧光淬灭封片剂(干固型),将mIHC实验所需试剂一站式配齐。

产品优势:
1.多重指标检测:单样本同步检测多重生物标志物,支持空间组学研究。
2.跨物种兼容:突破传统种属限制,同源一抗实现多轮标记。
3.超敏信号放大:级联放大技术,灵敏度较传统IF提升100倍。
4.精准定位:逐轮标记策略确保零交叉反应,定位精度达亚细胞级。
5.全平台适配:覆盖488-850nm光谱,与主流荧光显微镜、暗场扫描系统高度适配。
6.灵敏度卓越:采用增强型荧光信号放大技术,精准捕捉低丰度信号,细微变化皆可清晰呈现。
7.稳定性强劲:经大量抗体验证,结果可靠、重复性佳。
8.性价比突出:无需另购零散试剂,降低时间与经济成本,让科研投入更高效聚焦。
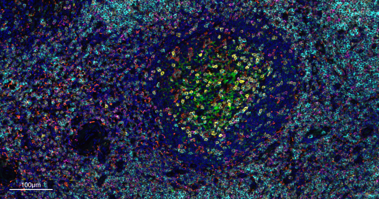
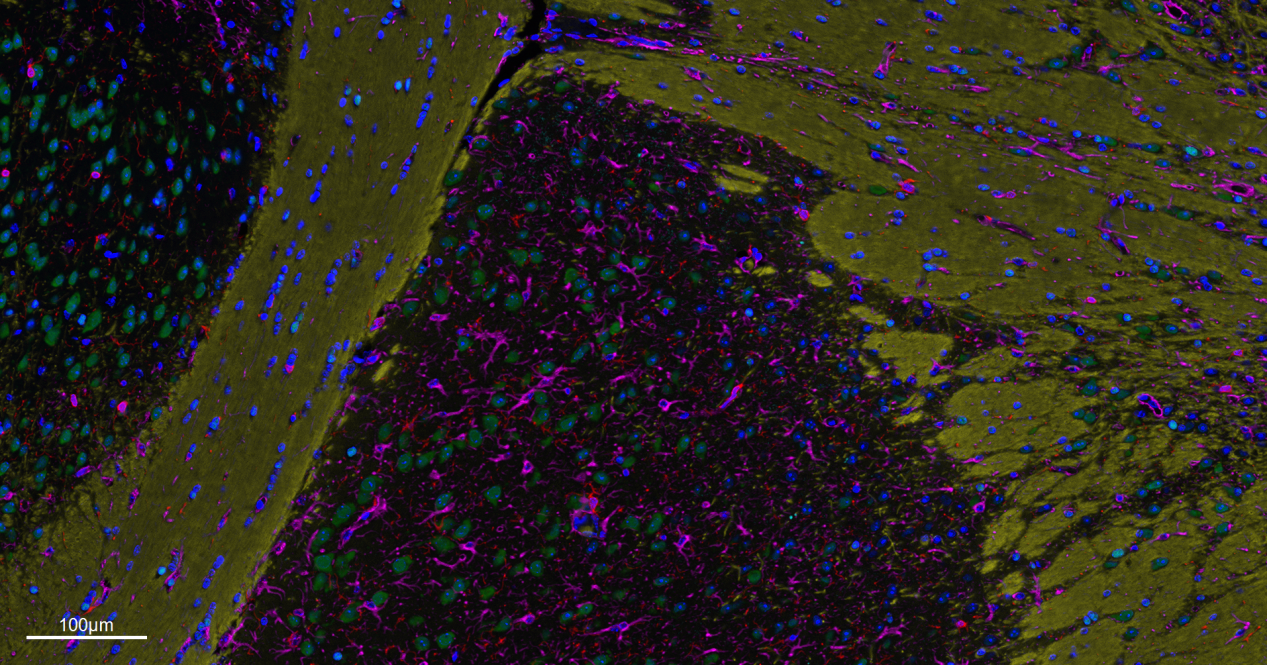
验证数据:

| 靶点名称 | 产品名称 | 抗体编号 |
| CD68 | CD68 Recombinant Rabbit mAb | bsm-60634R |
| CD20 | CD20 Recombinant Rabbit mAb | bsm-63327R |
| CD3E | CD3E Recombinant Rabbit mAb | bsm-60002R |
| Ki-67 | Ki-67 Recombinant Rabbit mAb | bsm-52455R |
| Vimentin | Vimentin Mouse mAb | bsm-33170M |
| Pan Cytokeratin | Pan Cytokeratin Mouse mAb | bsm-34137M |
| CD4 | CD4 Recombinant Rabbit mAb | bsm-52469R |

| 靶点名称 | 产品名称 | 抗体编号 |
| CD3E | CD3E Recombinant Rabbit mAb | bsm-60002R |
| CD20 | CD20 Recombinant Rabbit mAb | bsm-63327R |
| CD68 | CD68 Recombinant Rabbit mAb | bsm-60634R |
| CD11c | CD11c Recombinant Rabbit mAb | bsm-61135R |
| CD4 | CD4 Recombinant Rabbit mAb | bsm-52469R |
| CD8A | CD8A Mouse mAb | bsm-34251M |

| 靶点名称 | 产品名称 | 抗体编号 |
| GFAP | GFAP Recombinant Rabbit mAb | bsm-42001R |
| AIF1/Iba1 | AIF1 Recombinant Rabbit mAb | bsm-54132R |
| NeuN | NeuN Recombinant Rabbit mAb | bsm-52268R |
| MBP | MBP Mouse mAb | bsm-33932M |
| Olig2 | Olig2 Recombinant Rabbit mAb | bsm-61115R |