Epigenetics and Nuclear Signaling > Transcription > Domain Families > Forkhead Box > Other FOXes
Epigenetics and Nuclear Signaling > Transcription > Transcription Factors
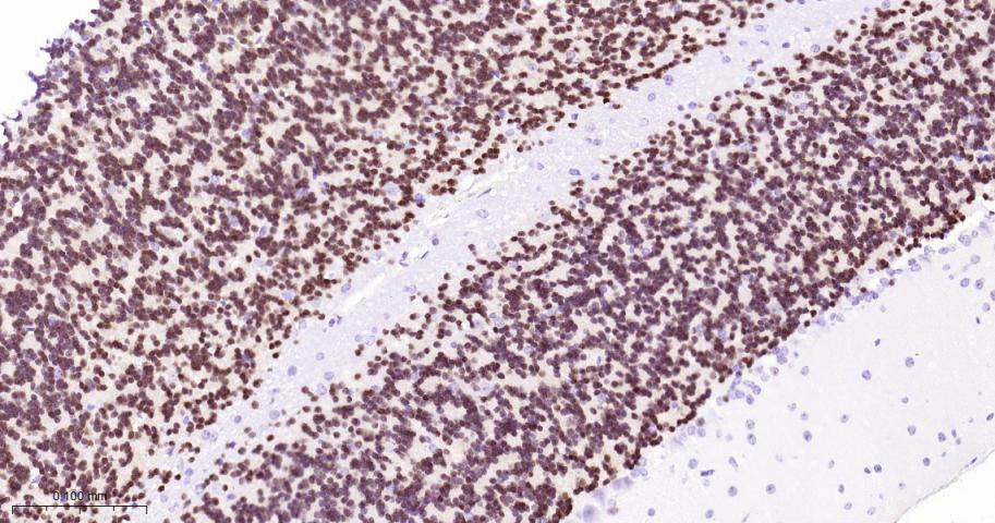
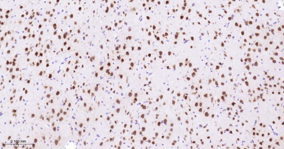
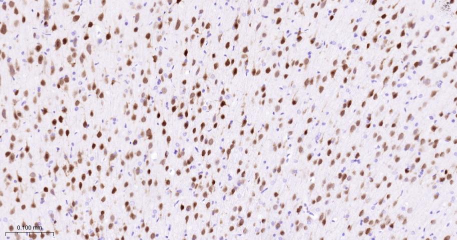
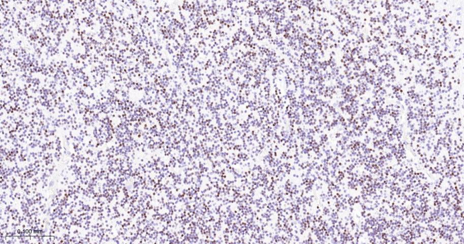
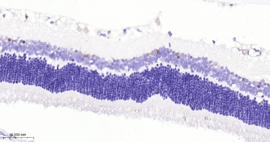
Neuroscience > Cell Type Marker > Neuron marker > Soma marker
Signal Transduction > Antibodies > neun
Tags & Cell Markers > Cell Type Markers > Neuroscience Markers > Neuronal















| 应用 | 已检合格种属 | 预测种属 | 推荐稀释比例 |
|---|---|---|---|
| WB | Mouse, Rat | Human | 1:500-2000 |
| IHC-P | Human, Mouse, Rat | 1:100-500 | |
| IHC-F | Human, Mouse, Rat | 1:100-500 | |
| IF | Human, Mouse, Rat | 1:100-500 | |
| Flow-Cyt | Human | Mouse, Rat | 1:50-100 |
| mIHC | Human, Mouse, Rat | 1:100-500 |
交叉反应: Human, Mouse, Rat
暂无相关产品
暂无标记数据
暂无同靶标产品
暂无相关文献
暂无常见问题