Pan Cytokeratin Mouse mAb (一抗) - WB,IHC-P,IHC-F,IF | Bioss

2026-03-02~2026-04-30,KXJ26032026-03-02~2026-04-30,促销赠品
Pan Cytokeratin Mouse mAb (一抗) - WB,IHC-P,IHC-F,IF | Bioss
货号:bsm-34137M
产品详情
相关标记
相关产品
相关文献
常见问题

概述

产品编号
bsm-34137M
产品类型
mIHC精品抗体
英文名称
Pan Cytokeratin Mouse mAb
中文名称
广谱细胞角蛋白PCK单克隆抗体
英文别名
CK13; K13; WSN2; K1C16_HUMAN; KRT16; Cytokeratin-16 (CK-16); Keratin-16 (K16); KRT16A; CK14; EBS1; EBS1A; EBS1B; EBS1C; EBS1D; EBS3; EBS4; K14; NFJ; K1C14_HUMAN; KRT14; Cytokeratin-14 (CK-14); Keratin-14 (K14); CK16; FNEPPK; K16; K1CP; NEPPK; PC1; 39.1; CK-17; K17; PC; PC2; PCHC1; K1C17_HUMAN; KRT17; Cytokeratin-17 (CK-17); Keratin-17 (K17); CK-24; K24; KA24; K1C24_HUMAN; KRT24; Cytokeratin-24 (CK-24); Keratin-24 (K24); Type I keratin-24; pan-cytokeratin; pan-CK; pan CK; P-CK; CK-PAN; wide spectrum Cytokeratin; Cytokeratins;
抗体来源
Mouse
免疫原
KLH conjugated synthetic peptide derived from human Pan Cytokeratin
亚型
IgG2b, Kappa
性状
Liquid
纯化方法
affinity purified by Protein A
克隆类型
Monoclonal
克隆号
4C3
理论分子量
42-64 kDa
检测分子量
60,45 kDa
浓度
1mg/ml
储存液
Liquid in PBS containing 50% Glycerol, 0.5% BSA and 0.02% Proclin300.
SWISS
Gene ID
保存条件
Shipped at 4℃. Store at -20℃ for one year. Avoid repeated freeze/thaw cycles.
注意事项
This product as supplied is intended for research use only, not for use in human, therapeutic or diagnostic applications.
产品介绍
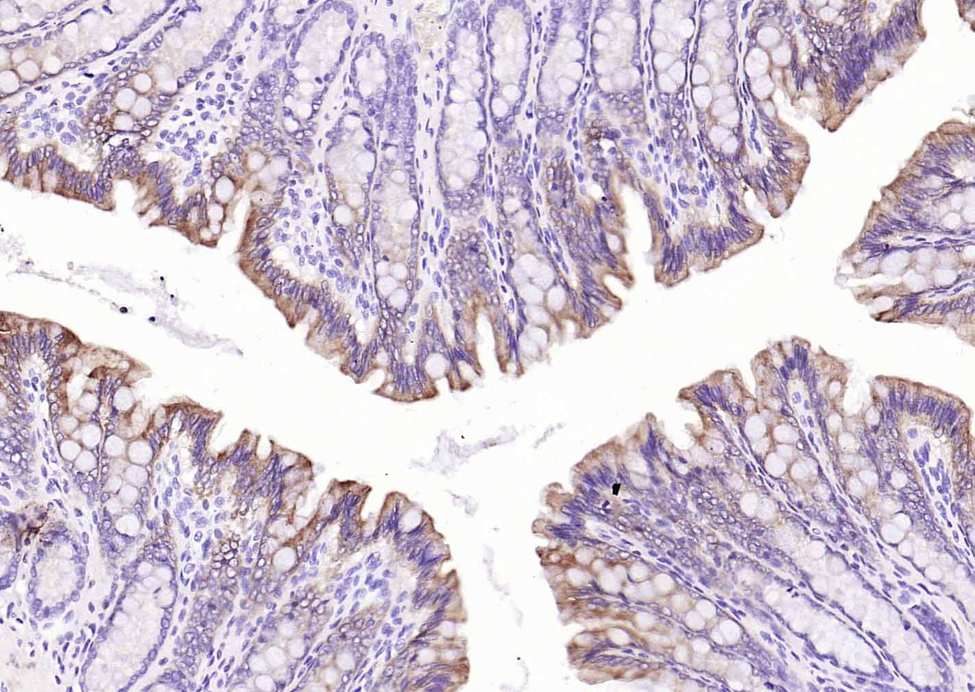
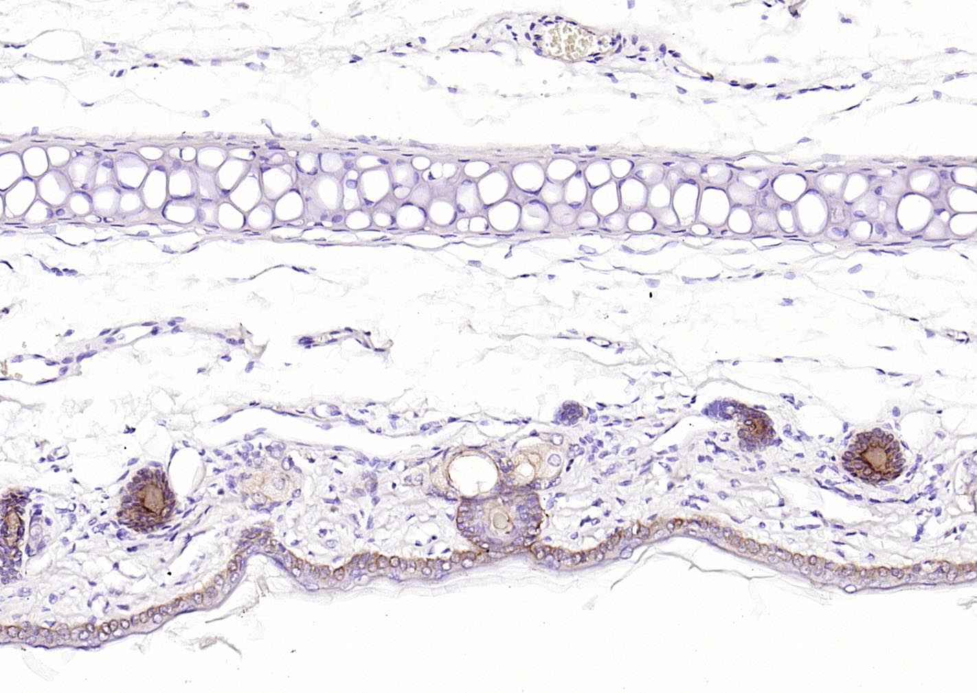
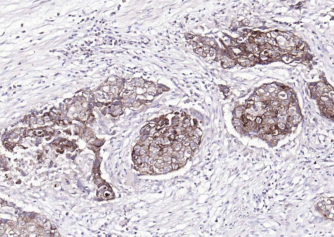
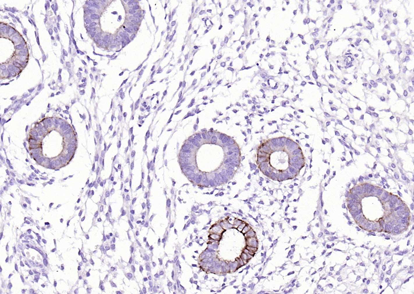
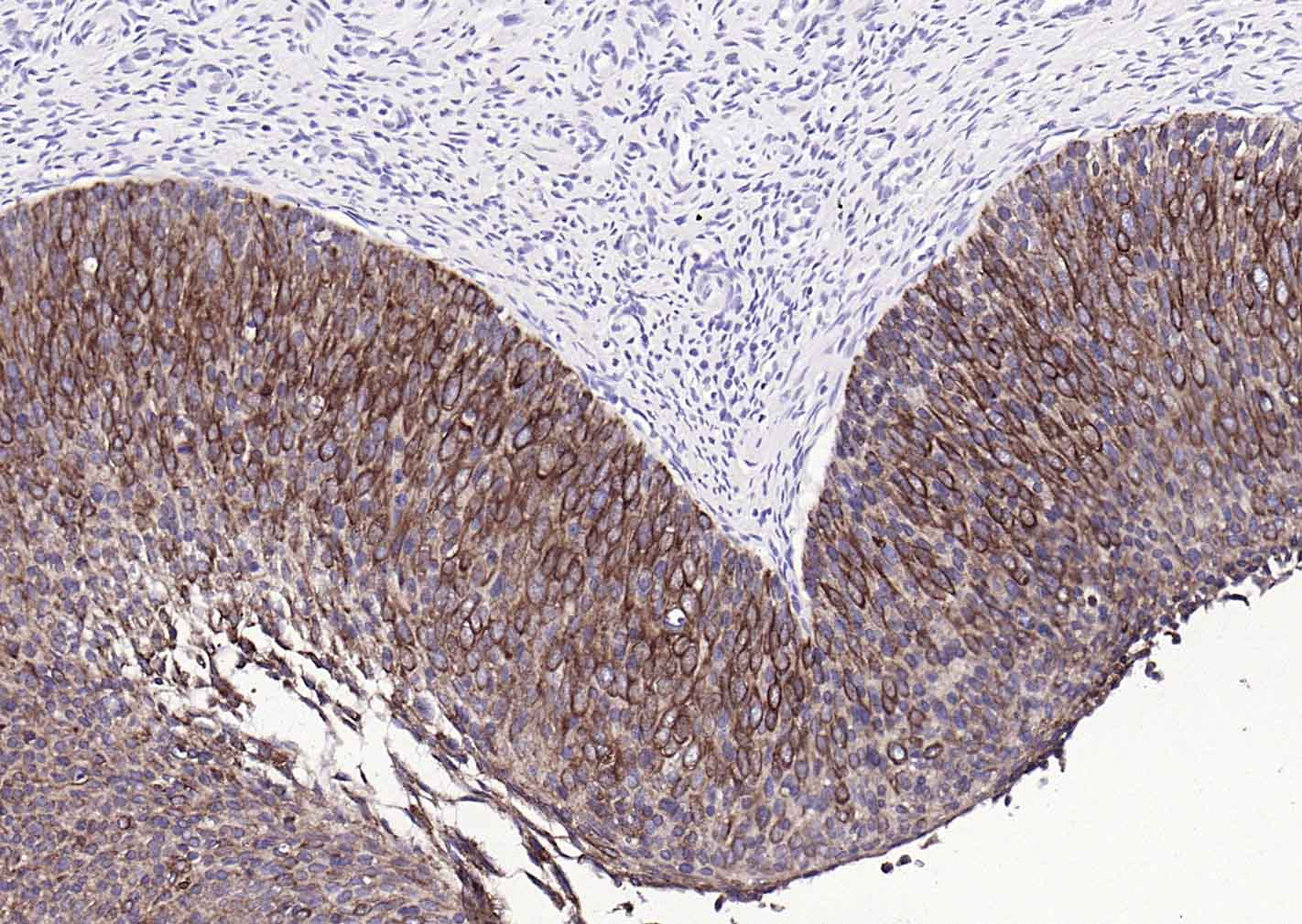
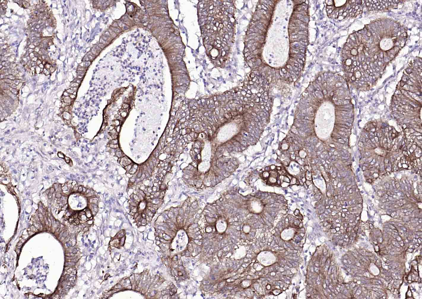
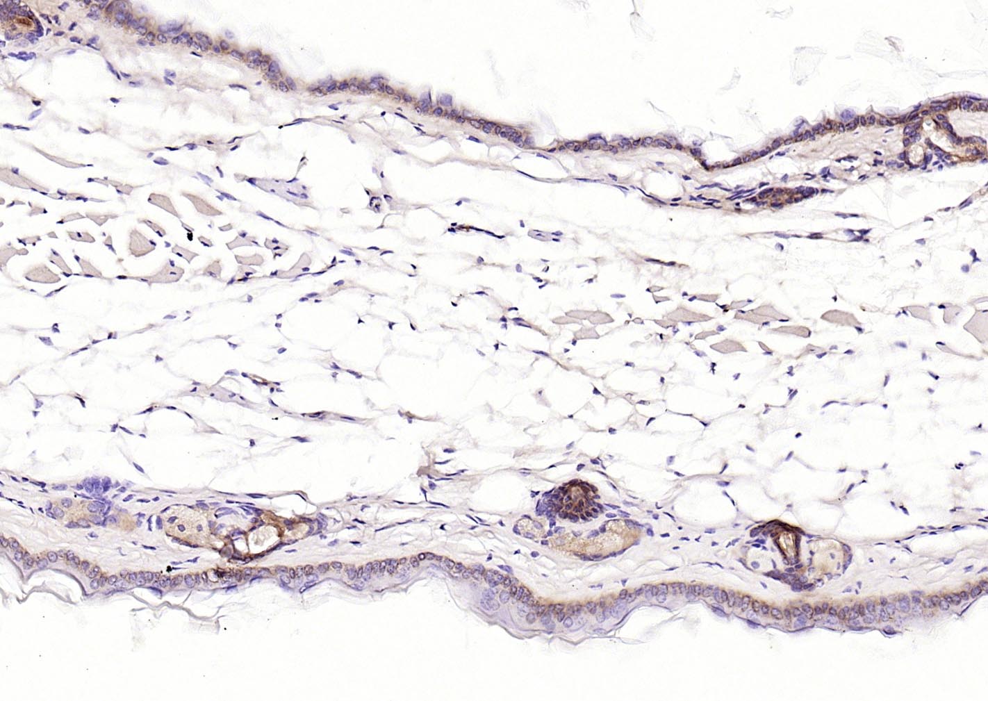
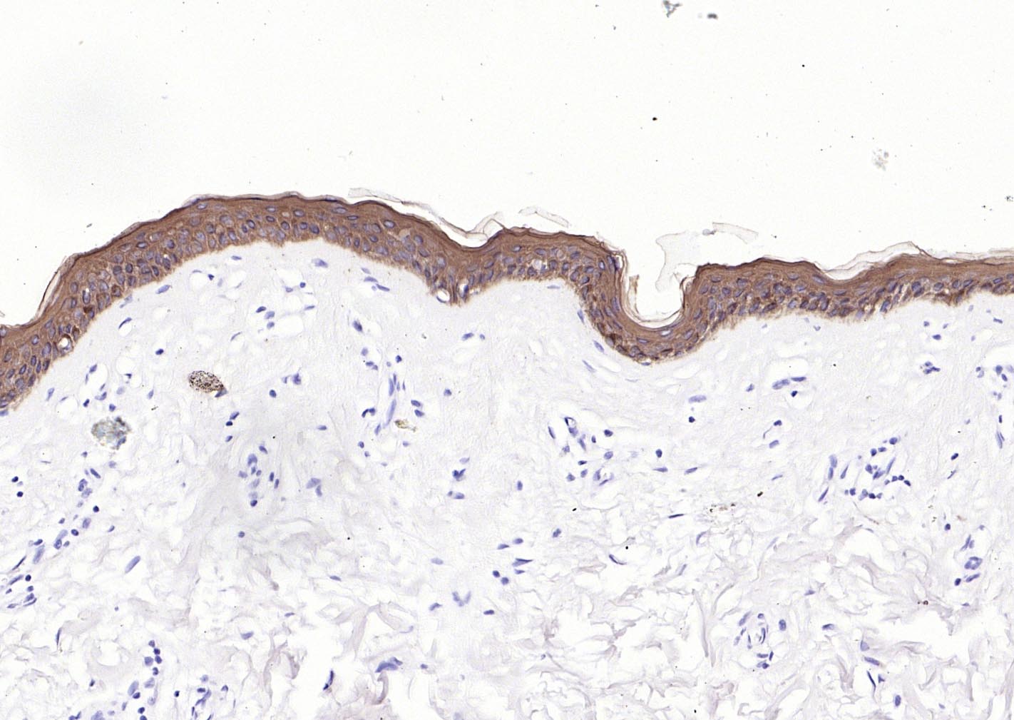
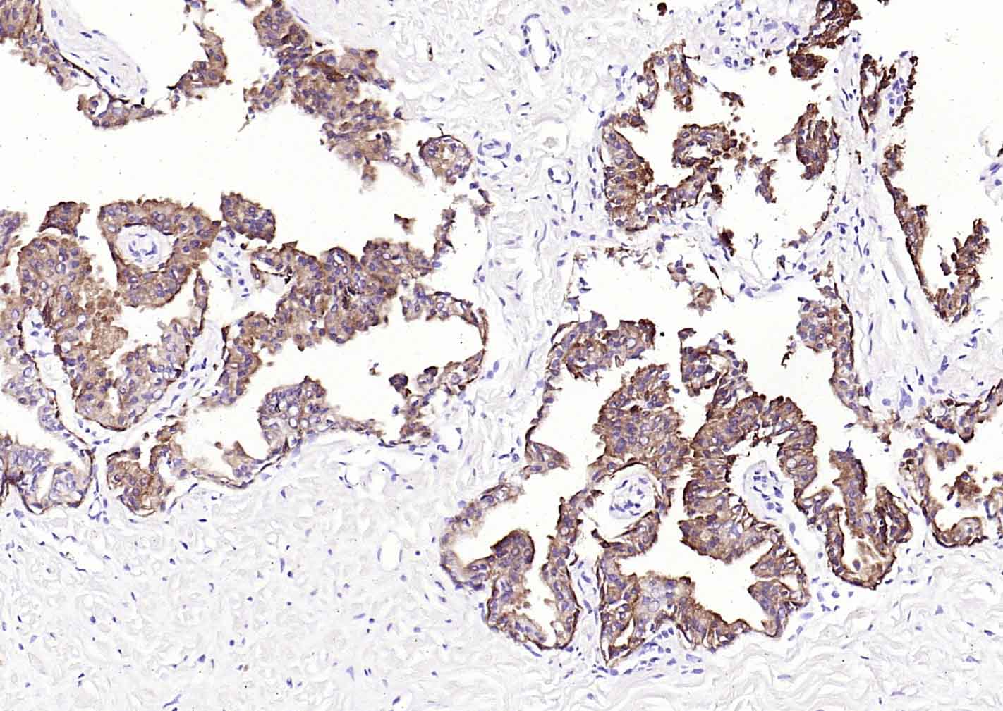
P-CK广谱细胞角蛋白(AE1/AE3)主要标记角化上皮、复层鳞状上皮、复层上皮、增生的角化上皮和单层上皮,用于鳞癌,各种腺癌 、移行上皮癌,小细胞癌,恶性间皮瘤、生殖细胞肿瘤,部分滑膜肉瘤、平滑肌肉瘤等表达。
背景资料
Cytokeratins are proteins of keratin-containing intermediate filaments found in the intracytoplasmic cytoskeleton of epithelial tissue. The cytokeratins are encoded by a family encompassing 30 genes. Among them, 20 are epithelial genes and the remaining 10 are specific for trichocytes. In the cytoplasm, the keratin filaments conform a complex network which extends from the surface of the nucleus to the cell membrane. Numerous accessory proteins are involved in the genesis and maintenance of such structure. This association between the plasma membrane and the nuclear surface provides important implications for the organization of the cytoplasm and cellular communication mechanisms. Apart from the relatively static functions provided in terms of supporting the nucleus and providing tensile strength to the cell, the cytokeratin networks undergo rapid phosphate exchanges mediated depolymerization, with important implications in the more dynamic cellular processes such as mitosis and post-mitotic period, cell movement and differentiation. Cytokeratins interact with desmosomes and hemidesmosomes, thus collaborating to cell-cell adhesion and basal cell-underlying connective tissue connection.
广谱细胞角蛋白PCK单克隆抗体-bsm-34137M广谱细胞角蛋白PCK单克隆抗体-bsm-34137M广谱细胞角蛋白PCK单克隆抗体-bsm-34137M广谱细胞角蛋白PCK单克隆抗体-bsm-34137M广谱细胞角蛋白PCK单克隆抗体-bsm-34137M广谱细胞角蛋白PCK单克隆抗体-bsm-34137M广谱细胞角蛋白PCK单克隆抗体-bsm-34137M广谱细胞角蛋白PCK单克隆抗体-bsm-34137M广谱细胞角蛋白PCK单克隆抗体-bsm-34137M广谱细胞角蛋白PCK单克隆抗体-bsm-34137M广谱细胞角蛋白PCK单克隆抗体-bsm-34137M广谱细胞角蛋白PCK单克隆抗体-bsm-34137M广谱细胞角蛋白PCK单克隆抗体-bsm-34137M广谱细胞角蛋白PCK单克隆抗体-bsm-34137M广谱细胞角蛋白PCK单克隆抗体-bsm-34137M

产品应用

应用已检合格种属预测种属推荐稀释比例
WBHumanMouse, Rat1:500-2000
IHC-PHuman, Mouse, Rat1:100-500
IHC-FHuman, Mouse, Rat1:100-500
IFHuman, Mouse, Rat1:100-500

交叉反应

交叉反应: Human, Mouse, Rat

相关产品

暂无相关产品

靶标

基因名
KRT24
蛋白名
Keratin, type I cytoskeletal 24
亚细胞定位
Cytoplasmic.
组织特异性
epithelial cells

同靶标产品

相关文献

提示: 发表研究结果有使用 bsm-34137M 时请让我们知道,以便我们可以引用参考文章。作为回馈,资料提供者将获得我们送上的小礼品。
具体参考文献:bsm-34137M 被引用于1文献中

常见问题