CD20 Recombinant Rabbit mAb (一抗) - WB,IHC-P,IHC-F,IF,Flow-Cyt | Bioss

Rrmab?兔单抗
2026-03-02~2026-04-30,KXJ26032026-03-02~2026-04-30,促销赠品
CD20 Recombinant Rabbit mAb (一抗) - WB,IHC-P,IHC-F,IF,Flow-Cyt | Bioss
货号:bsm-63327R
产品详情
相关标记
相关产品
相关文献
常见问题

概述

产品编号
bsm-63327R
产品类型
重组兔单抗、mIHC精品抗体
英文名称
CD20 Recombinant Rabbit mAb
中文名称
CD20重组兔单抗
英文别名
B1; Bp35; CD20; CVID5; FMC7; LEU-16; S7; CD20_HUMAN; MS4A1; B-lymphocyte surface antigen B1; Leukocyte surface antigen Leu-16; Membrane-spanning 4-domains subfamily A member 1;
抗体来源
Rabbit
免疫原
A synthesized peptide derived from human CD20: 250-297/297
亚型
IgG
性状
Liquid
纯化方法
affinity purified by Protein A
克隆类型
Recombinant
克隆号
1B9
理论分子量
33 kDa
检测分子量
36 kDa
浓度
1mg/ml
储存液
0.01M TBS (pH7.4) with 1% BSA, 0.02% Proclin300 and 50% Glycerol.
SWISS
Gene ID
保存条件
Shipped at 4℃. Store at -20℃ for one year. Avoid repeated freeze/thaw cycles.
注意事项
This product as supplied is intended for research use only, not for use in human, therapeutic or diagnostic applications.
产品介绍
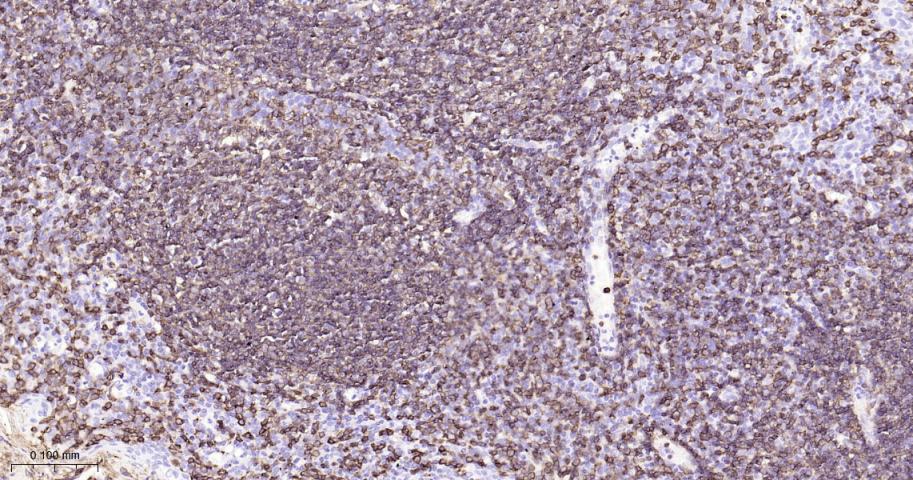
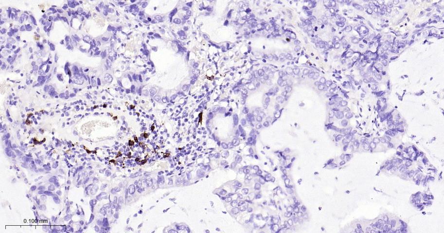
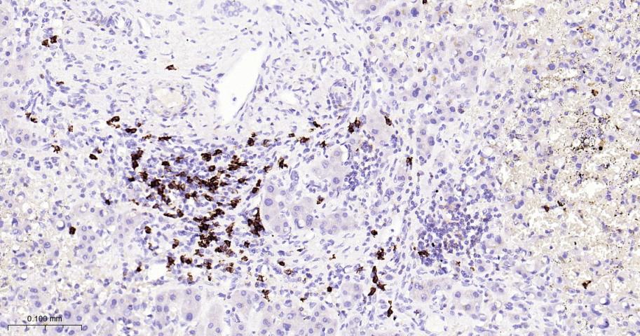
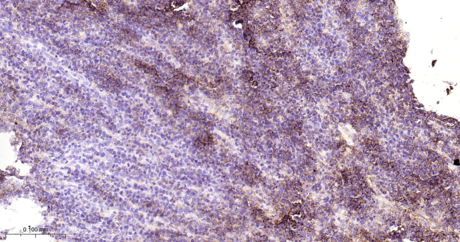
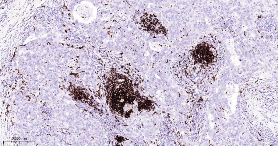
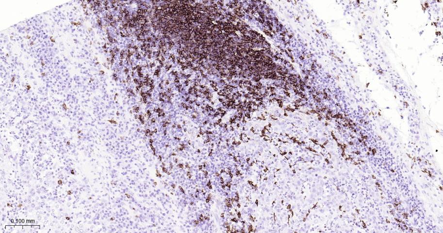
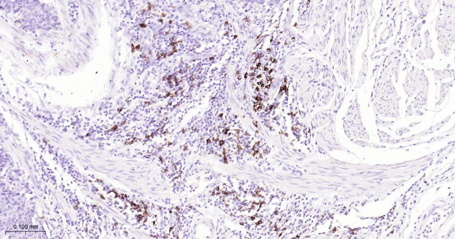
[PHARMACEUTICAL] Monoclonal antibodies (mAb) against CD20 are used to treat B-cell non-Hodgkin lymphoma (NHL). These antibodies include Rituximab (Mabthera), Britumomab (Zevalin) and Tositumomab (Bexxar). CD20 engaged by mAb can generate transmembrane signals capable of directly controlling cell growth and triggering cell death in certain tumors. Alternatively, mAb can mediate complement-dependent cytotoxicity. B淋巴细胞标志物 CD20是B细胞特异性抗原,其表达呈细胞类型一种质膜蛋白质,参与信号传导作用,此抗体识别大多数B细胞上的一种抗原。多用于标记B淋巴细胞及B细胞淋巴瘤。 CD20一般不与T细胞交叉反应,对B细胞淋巴瘤和急慢性淋巴细胞白血病等有较好的细胞特异性,因此在恶性淋巴瘤,尤其是T或B细胞淋巴瘤的分类上,CD20是最常用的B细胞标志。
背景资料
CD20 is a non glycosylated protein with a molecular weight of 35 or 37 kDa depending on the degree of phosphorylation. Although not a member of the tetraspanin superfamily of cell surface receptors, it crosses the cell membrane four times. The CD20 antigen is present on human pre B lymphocytes and on B lymphocytes at all stages of maturation, except on plasma cells. Low level expression of the CD20 antigen has been detected on normal T lymphocytes. The CD20 molecule is involved in regulation of B cell differentiation, presumably via its reported function as a Ca++ channel subunit.
CD20 is a non-glycosylated surface phosphoprotein that has a molecular weight range of 33-37 kDa depending on the degree of phosphorylation. CD20 is expressed on mature and most malignant B cells, in a subpopulation of T lymphocytes and follicular dendritic cells. CD20 expression on B cells is synchronous with the expression of surface IgM and it regulates transmembrane calcium conductance, cell cycle progression and B-cell proliferation. CD20 is also associated with lipid rafts, but the intensity of this association depends on extracellular triggering, employing CD20 conformational change, and/or BCR (B cell antigen receptor) aggregation. After the receptor ligation, BCR and CD20 colocalize and then rapidly dissociate before BCR endocytosis, whereas CD20 remains at the cell surface. CD20 serves as a useful target for antibody-mediated therapeutic depletion of B cells, as it is expressed at high levels on most B-cell malignancies, but does not become internalized or shed from the plasma membrane following monoclonal antibody treatment. Diseases associated with CD20 dysfunction include Ms4a1-related common variable immune deficiency.
CD20重组兔单抗-bsm-63327RCD20重组兔单抗-bsm-63327RCD20重组兔单抗-bsm-63327RCD20重组兔单抗-bsm-63327RCD20重组兔单抗-bsm-63327RCD20重组兔单抗-bsm-63327RCD20重组兔单抗-bsm-63327RCD20重组兔单抗-bsm-63327RCD20重组兔单抗-bsm-63327RCD20重组兔单抗-bsm-63327RCD20重组兔单抗-bsm-63327RCD20重组兔单抗-bsm-63327RCD20重组兔单抗-bsm-63327RCD20重组兔单抗-bsm-63327R

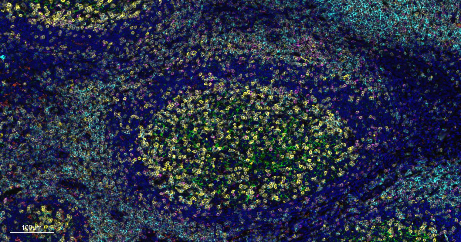
产品应用

应用已检合格种属预测种属推荐稀释比例
WBHuman1:500-2000
IHC-PHuman1:100-500
IHC-FHuman1:100-500
IFHuman1:100-500
Flow-CytHuman1:100-200

交叉反应

交叉反应: Human

相关产品

暂无相关产品

靶标

基因名
MS4A1
蛋白名
B-lymphocyte antigen CD20
亚细胞定位
Membrane; Multi-pass membrane protein.
组织特异性
Expressed on B-cells.
翻译后修饰
Phosphorylated. Might be functionally regulated by protein kinase(s).
疾病
Defects in MS4A1 are the cause of immunodeficiency common variable type 5 (CVID5) [MIM:613495]; also called antibody deficiency due to CD20 defect. CVID5 is a primary immunodeficiency characterized by antibody deficiency, hypogammaglobulinemia, recurrent bacterial infections and an inability to mount an antibody response to antigen. The defect results from a failure of B-cell differentiation and impaired secretion of immunoglobulins; the numbers of circulating B-cells is usually in the normal range, but can be low.
相似性
Belongs to the MS4A family.
功能
This protein may be involved in the regulation of B-cell activation and proliferation

同靶标产品

相关文献

提示: 发表研究结果有使用 bsm-63327R 时请让我们知道,以便我们可以引用参考文章。作为回馈,资料提供者将获得我们送上的小礼品。

常见问题