Immunology > Cell Type Markers > CD > Adhesion
Signal Transduction > Cytoskeleton / ECM > Cell Adhesion > Integrins > Alpha
Stem Cells > Hematopoietic Progenitors > Lymphoid > T Lymphocytic Lineage
Stem Cells > Hematopoietic Progenitors > Myeloid > Dendritic Cell Lineage
Stem Cells > Hematopoietic Progenitors > Myeloid > Monocytic Lineage









| 应用 | 已检合格种属 | 预测种属 | 推荐稀释比例 |
|---|---|---|---|
| WB | Human | 1:500-2000 | |
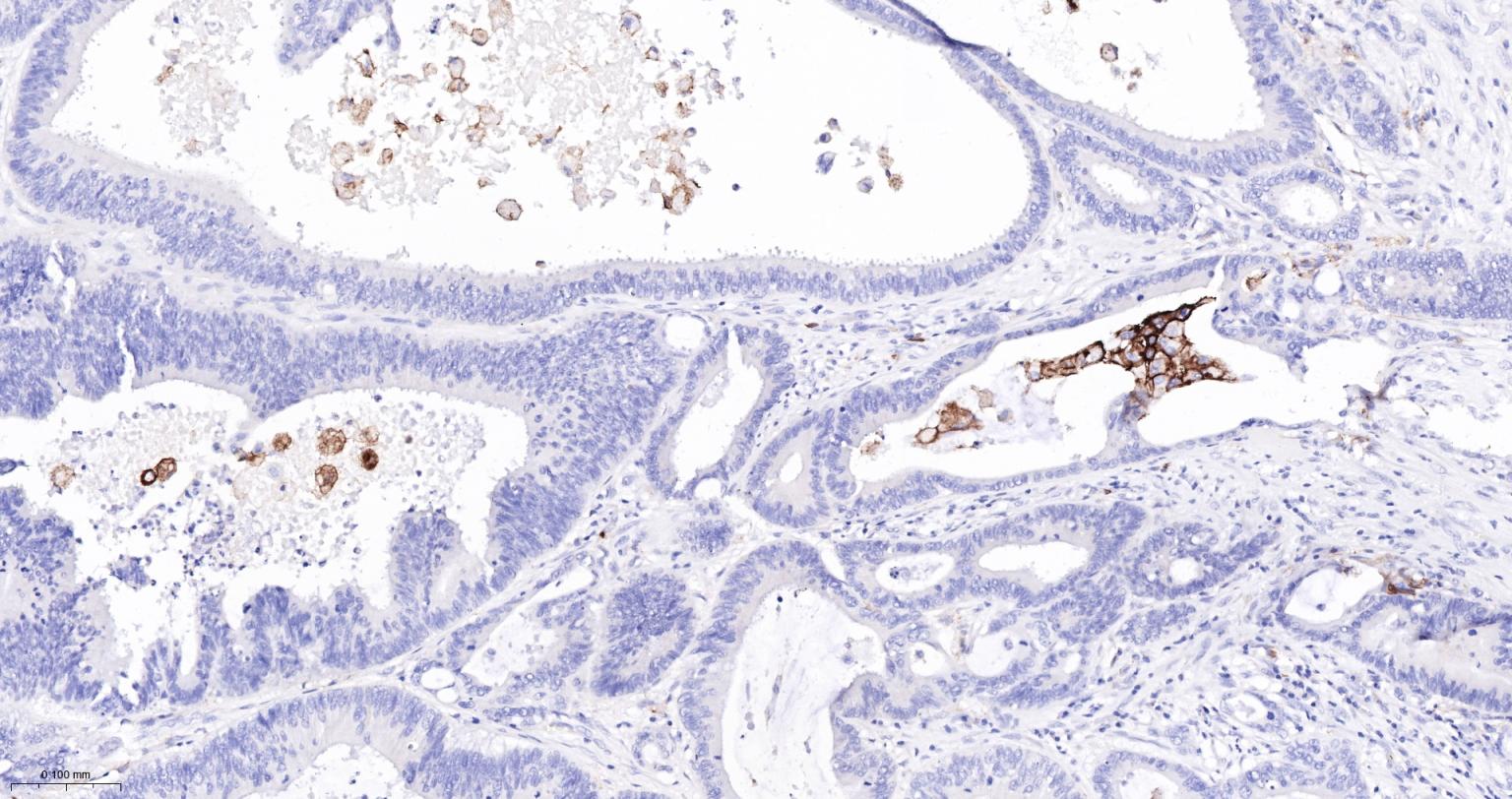
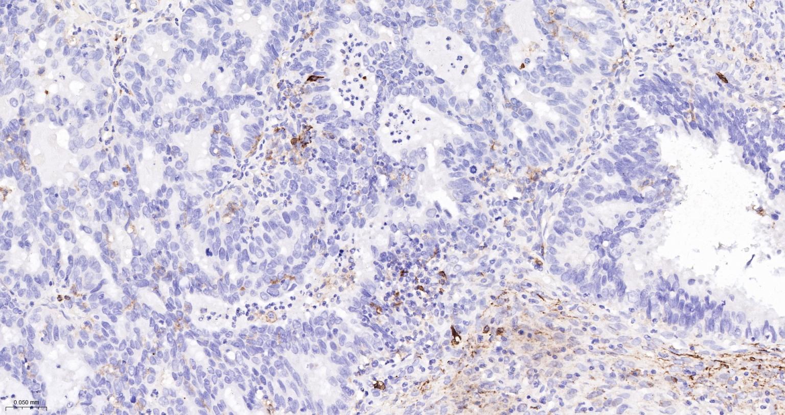
| IHC-P | Human | 1:200-800 | |
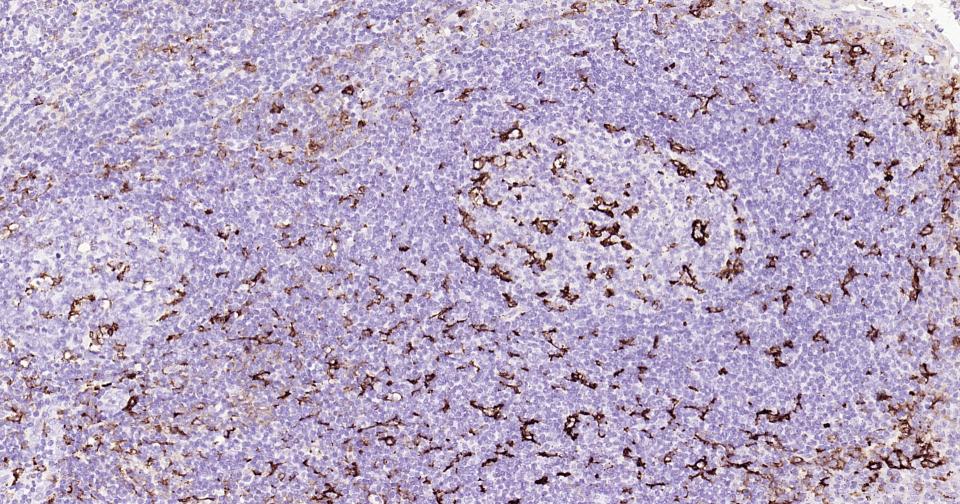
| IHC-F | Human | 1:200-800 | |
| IF | Human | 1:200-800 | |
| Flow-Cyt | Human | 1ug/Test | |
| ICC/IF | Human | 1:100-200 | |
| IP | Human | 1:20-50 | |
| mIHC | Human | 1:100-500 |
交叉反应: Human
暂无相关产品
暂无标记数据
暂无同靶标产品
暂无相关文献
暂无常见问题