编号 | 名称 | 规格 | |
20T | 100T | ||
TSA荧光染料1 | TSA-480 Plus | 浓缩型,10μL,200x | 浓缩型,50μL,200x |
TSA荧光染料2 | TSA-520 Plus | 浓缩型,10μL,200x | 浓缩型,50μL,200x |
TSA荧光染料3 | TSA-570 Plus | 浓缩型,10μL,200x | 浓缩型,50μL,200x |
TSA荧光染料4 | TSA-620 Plus | 浓缩型,10μL,200x | 浓缩型,50μL,200x |
TSA荧光染料5 | TSA-690 Plus | 浓缩型,10μL,200x | 浓缩型,50μL,200x |
TSA荧光染料6 | TSA-780 Plus | 浓缩型,10μL,200x | 浓缩型,50μL,200x |
核染料1 | DAPI染液(即用型) | 2mL | 10mL |
试剂1 | TSA buffer | 9.6mL | 48mL |
试剂2 | HRP山羊抗兔/鼠通用二抗 | 9.6mL | 48mL |
试剂3 | 抗体稀释液 | 12mL | 60mL |
试剂4 | 3%过氧化氢 | 12mL | 60mL |
试剂5 | 抗荧光淬灭封片剂(干固型) | 2mL | 10mL |
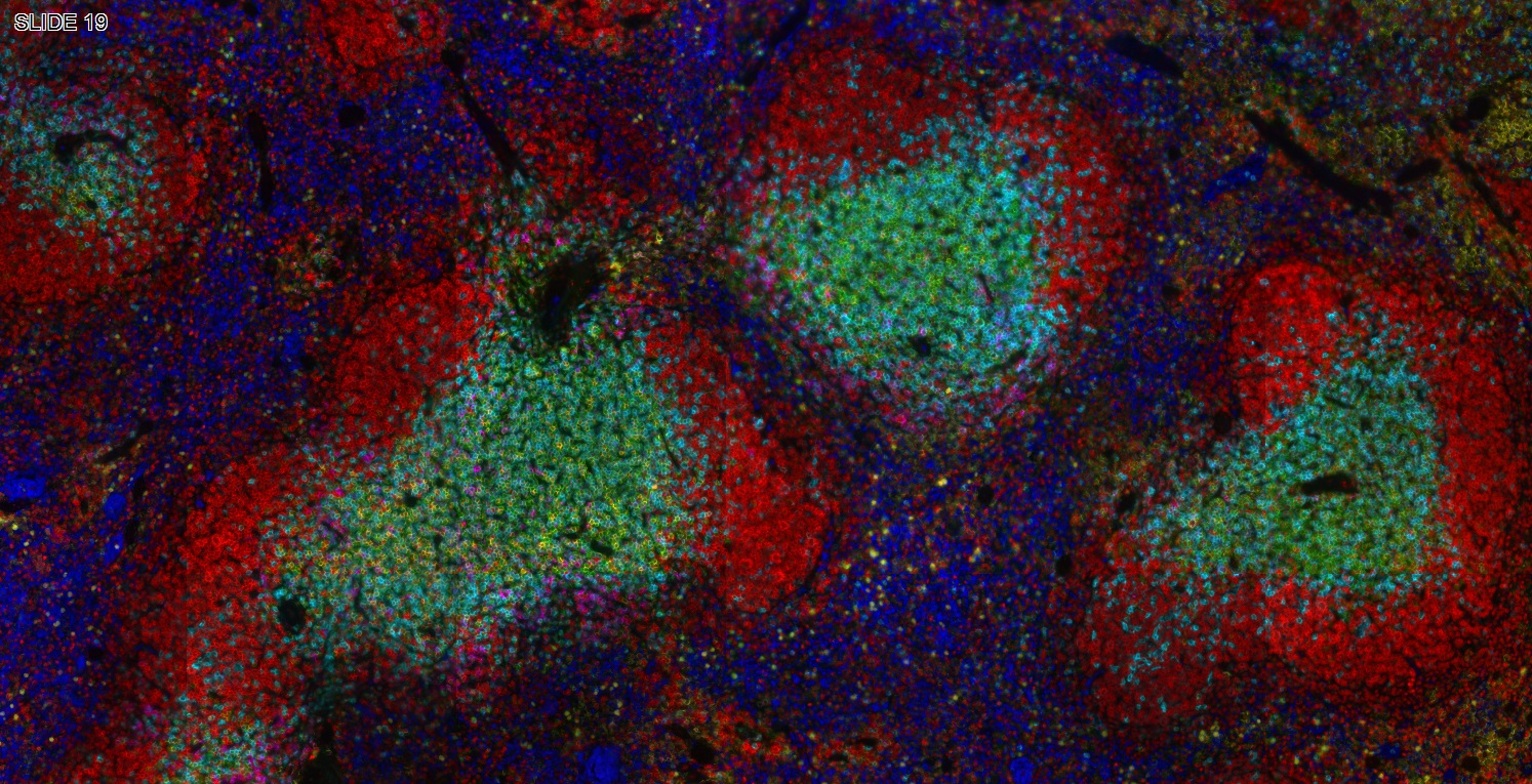
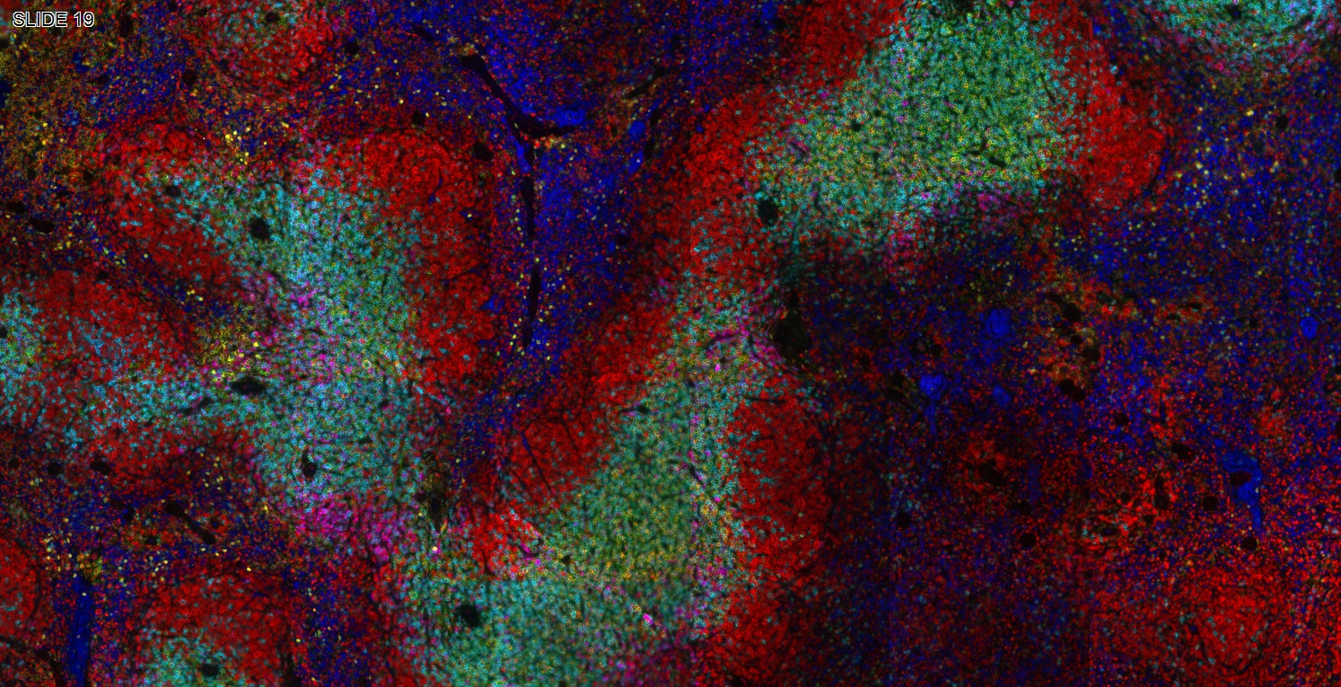
酪酰胺信号放大(TSA, Tyramide signal amplification)技术是一类利用辣根过氧化酶(HRP)对靶蛋白进行原位标记的酶学检测方法。其原理是利用酪胺(Tyramide)的过氧化物酶反应,酪胺荧光素底物在HRP和H202的作用下被活化,活化的荧光底物能与目标蛋白上的酪氨酸等残基共价结合,导致在抗原-抗体结合位点大量沉积荧光素,实现信号放大。通过热修复或者抗体洗脱液洗去前一轮非共价结合的抗体,而荧光素稳定结合在蛋白上,进行下一轮染色。直至所有抗体孵育结束,进行核染色,封片,扫描。
由于每次体系中都只有单一抗体孵育,因此无需担心抗体的交叉反应及一抗二抗种属匹配问题,摆脱了传统免疫荧光实验条件对抗体种属来源的限制和束缚。此试剂盒中的荧光染料可以单独或组合使用,能够实现单标、双标、三标以及更多重荧光放大/多重同源抗体荧光标记等功能。

















暂无相关产品