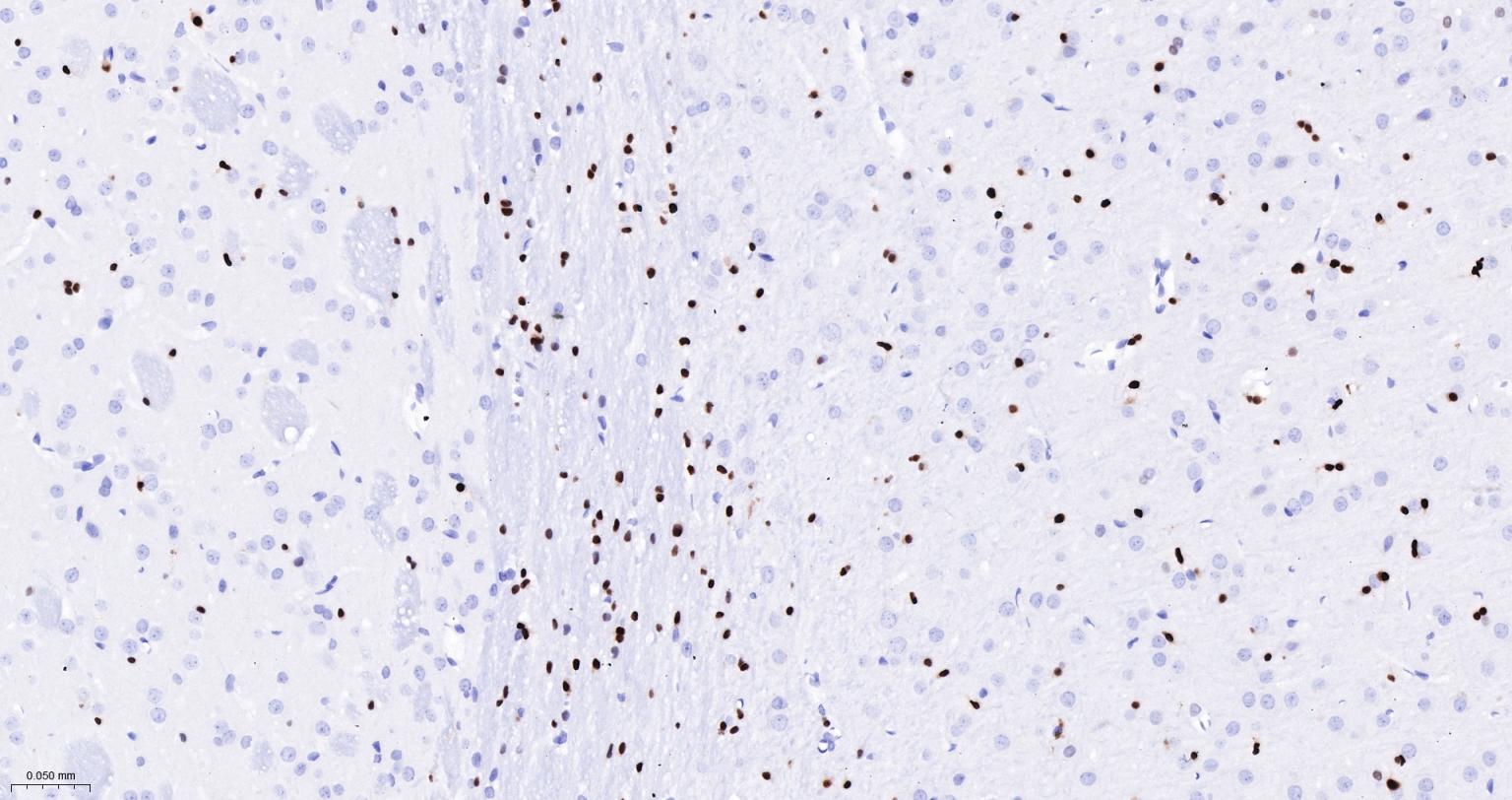
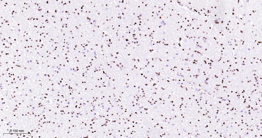
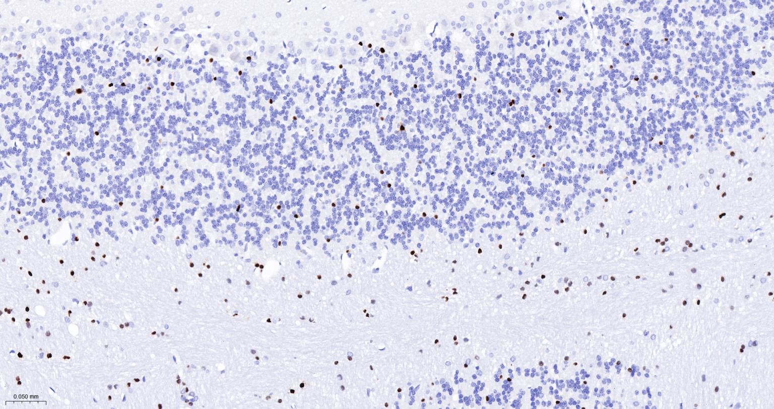
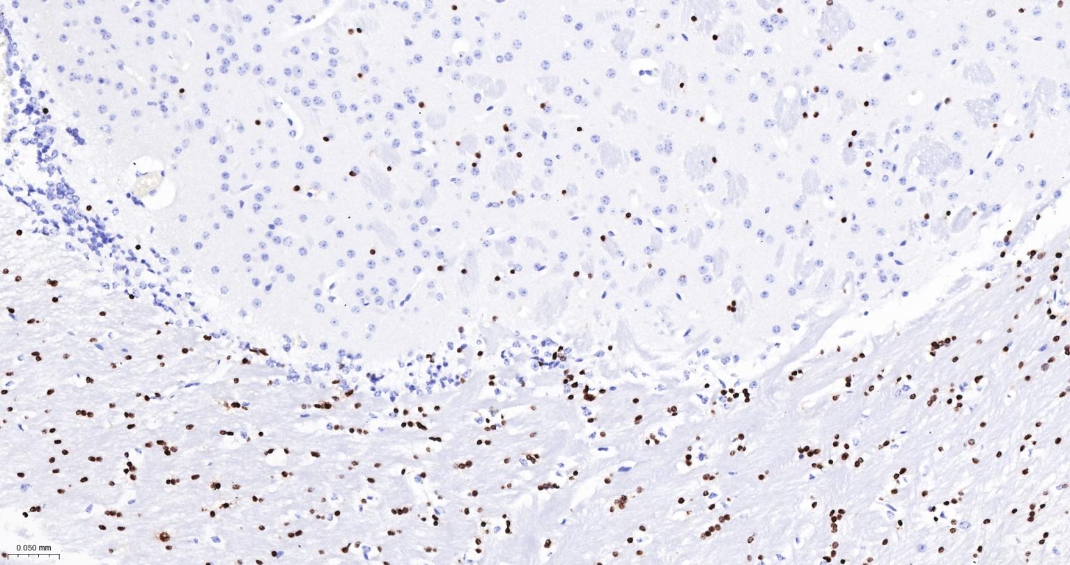
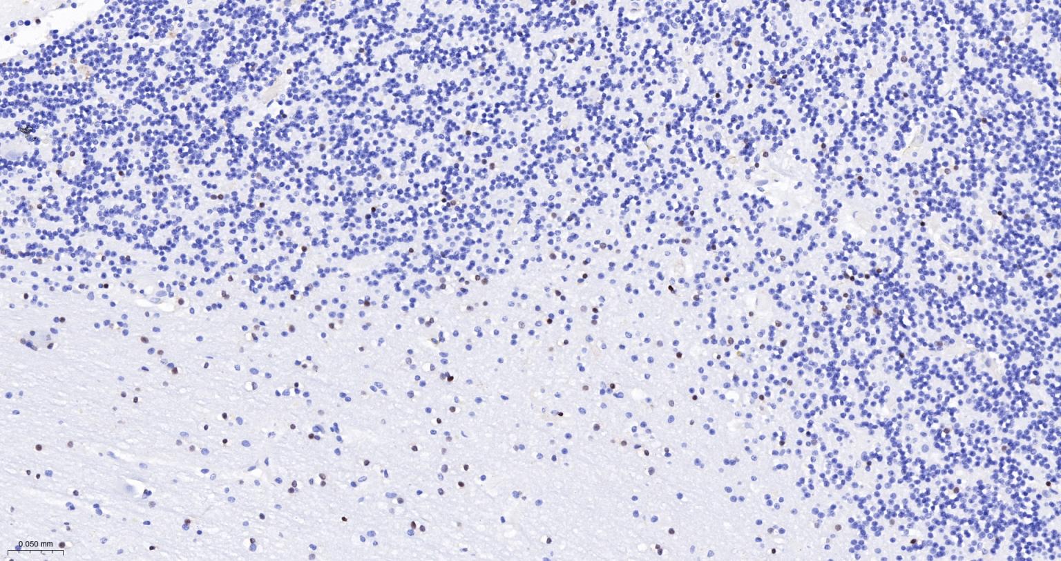
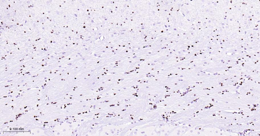
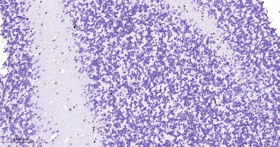
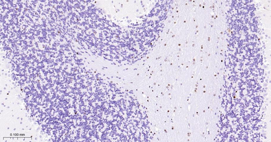
Required for oligodendrocyte and motor neuron specification in the spinal cord, as well as for the development of somatic motor neurons in the hindbrain. Functions together with ZNF488 to promote oligodendrocyte differentiation. Cooperates with OLIG1 to establish the pMN domain of the embryonic neural tube. Antagonist of V2 interneuron and of NKX2-2-induced V3 interneuron development.


















| 应用 | 已检合格种属 | 预测种属 | 推荐稀释比例 |
|---|---|---|---|
| IHC-P | Human, Mouse, Rat | 1:200-800 | |
| IHC-F | Human, Mouse, Rat | 1:200-800 | |
| IF | Human, Mouse, Rat | 1:200-800 | |
| ICC/IF | Human, Mouse, Rat | 1:100-200 |
交叉反应: Human, Mouse, Rat
暂无相关产品