IL-1 Beta Rabbit pAb (一抗) - WB,IHC-P,IHC-F,IF | Bioss

2026-03-02~2026-04-30,KXJ26032026-03-02~2026-04-30,促销赠品
IL-1 Beta Rabbit pAb (一抗) - WB,IHC-P,IHC-F,IF | Bioss
货号:bs-0812R
产品详情
相关标记
相关产品
相关文献
常见问题

概述

产品编号
bs-0812R
英文名称
IL-1 Beta Rabbit pAb
中文名称
白介素1β/IL-1β抗体
英文别名
IL-1; IL1-BETA; IL1F2; IL1beta; IL-1beta; Il-1b; IL-1F2; IL1B_HUMAN; IL1B; IL-1 beta; Catabolin; IL1B_MOUSE; IL1B_RAT;
抗体来源
Rabbit
免疫原
KLH conjugated synthetic peptide derived from human IL-1beta: 101-200/269
亚型
IgG
性状
Liquid
纯化方法
affinity purified by Protein A
克隆类型
Polyclonal
理论分子量
17/32 kDa
检测分子量
35 kDa
浓度
1mg/ml
储存液
0.01M TBS (pH7.4) with 1% BSA, 0.02% Proclin300 and 50% Glycerol.
SWISS
Gene ID
保存条件
Shipped at 4℃. Store at -20℃ for one year. Avoid repeated freeze/thaw cycles.
注意事项
This product as supplied is intended for research use only, not for use in human, therapeutic or diagnostic applications.
产品介绍
生长因子和激素( Growth Factor and Hormones)
IL-1β是一种糖蛋白,它既可诱导急性期时相关蛋白的产生,也是β细胞终末分化并分泌抗体的必需因子,在免疫调节中发挥重要做 用。
IL-1β前体在细胞内合成后被酶剪切为成熟形态后排出到细胞外,IL-1β的前体有153个氨基酸。成熟形态有116个氨基酸。
背景资料
The protein encoded by this gene is a member of the interleukin 1 cytokine family. This cytokine is produced by activated macrophages as a proprotein, which is proteolytically processed to its active form by caspase 1 (CASP1/ICE). This cytokine is an important mediator of the inflammatory response, and is involved in a variety of cellular activities, including cell proliferation, differentiation, and apoptosis. The induction of cyclooxygenase-2 (PTGS2/COX2) by this cytokine in the central nervous system (CNS) is found to contribute to inflammatory pain hypersensitivity. This gene and eight other interleukin 1 family genes form a cytokine gene cluster on chromosome 2. [provided by RefSeq, Jul 2008].
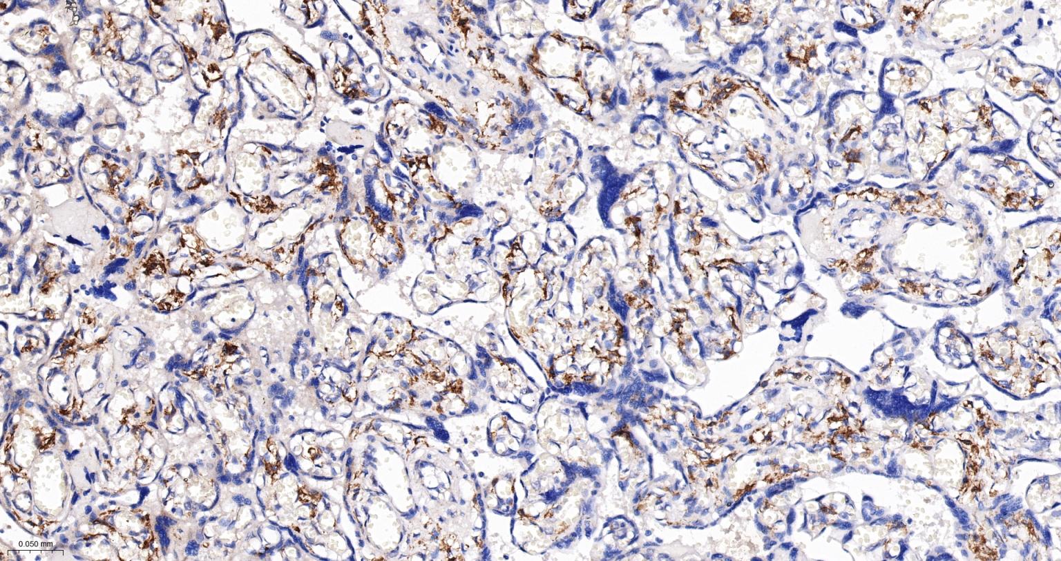
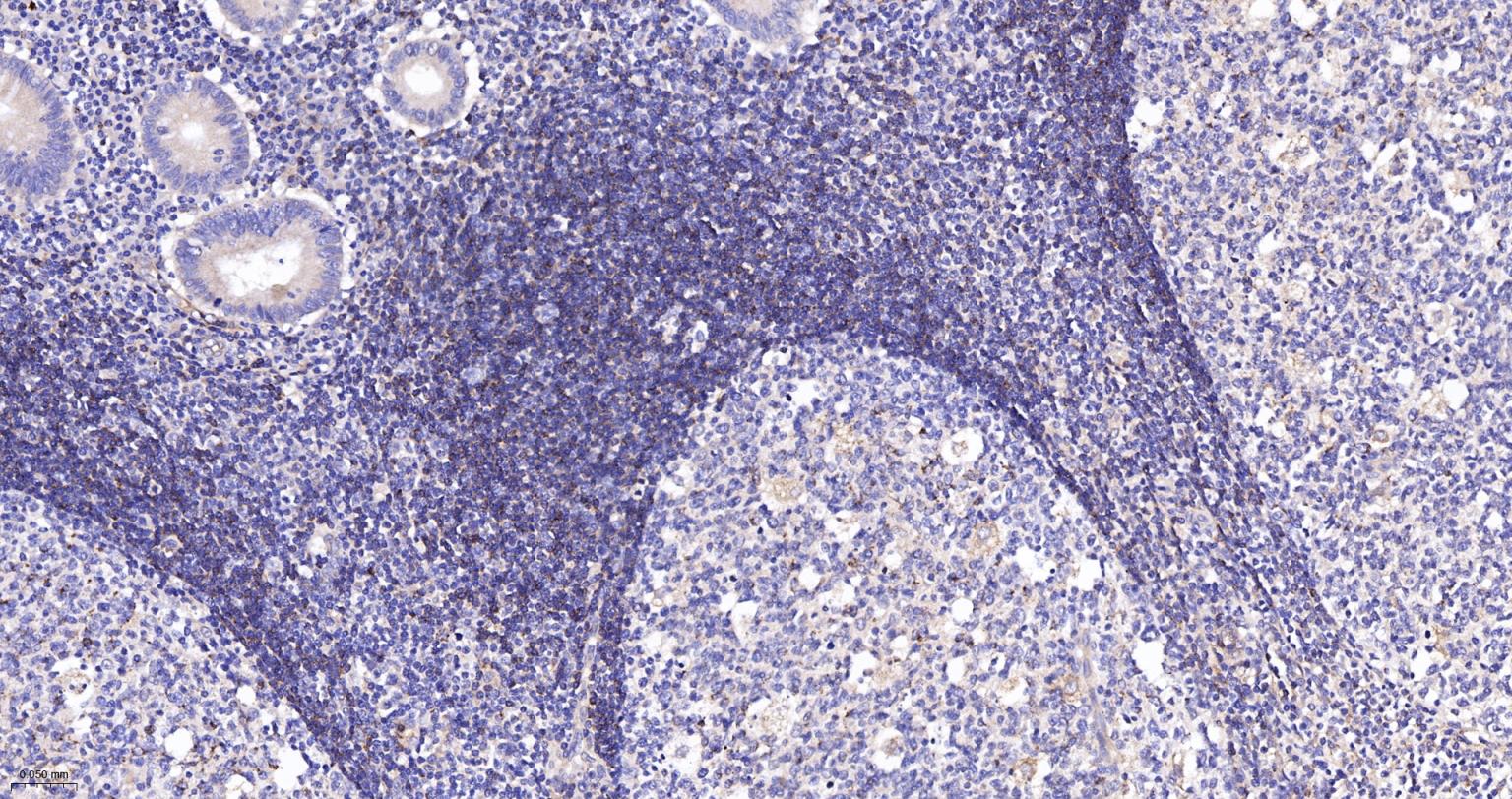
白介素1β/IL-1β抗体-bs-0812R白介素1β/IL-1β抗体-bs-0812R白介素1β/IL-1β抗体-bs-0812R白介素1β/IL-1β抗体-bs-0812R

产品应用

应用已检合格种属预测种属推荐稀释比例
WBHuman, MouseRat1:500-2000
IHC-PHumanMouse, Rat1:500-2000
IHC-FHumanMouse, Rat1:500-2000
IFHumanMouse, Rat1:500-2000

交叉反应

交叉反应: Human, Mouse (predicted: Rat)

相关产品

暂无相关产品

靶标

基因名
IL1B
蛋白名
Interleukin-1 beta
亚基
Monomer.
亚细胞定位
Secreted. Note=The lack of a specific hydrophobic segment in the precursor sequence suggests that IL-1 is released by damaged cells or is secreted by a mechanism differing from that used for other secretory proteins.
相似性
Belongs to the IL-1 family.
功能
Produced by activated macrophages, IL-1 stimulates thymocyte proliferation by inducing IL-2 release, B-cell maturation and proliferation, and fibroblast growth factor activity. IL-1 proteins are involved in the inflammatory response, being identified as endogenous pyrogens, and are reported to stimulate the release of prostaglandin and collagenase from synovial cells.

同靶标产品

相关文献

提示: 发表研究结果有使用 bs-0812R 时请让我们知道,以便我们可以引用参考文章。作为回馈,资料提供者将获得我们送上的小礼品。
具体参考文献:bs-0812R 被引用于332文献中

常见问题