TUBB3 (Neuronal Marker) Mouse mAb (一抗) - WB,IHC-P,IHC-F,IF,Flow-Cyt | Bioss

2026-05-01~2026-06-30,AB26052026-05-01~2026-06-30,WB精选(促销赠品)
TUBB3 (Neuronal Marker) Mouse mAb (一抗) - WB,IHC-P,IHC-F,IF,Flow-Cyt | Bioss
货号:bsm-33177M
产品详情
相关标记
相关产品
相关文献
常见问题

概述

产品编号
bsm-33177M
产品类型
病理级抗体
英文名称
TUBB3 (Neuronal Marker) Mouse mAb
中文名称
微管蛋白β3(神经标志物)单克隆抗体
英文别名
CDCBM; CDCBM1; CFEOM3; CFEOM3A; FEOM3; TUBB4; beta-4; 3200002H15Rik; M(beta)3; M(beta)6; TBB3_HUMAN; TUBB3; Tubulin beta-4 chain; Tubulin beta-III; TBB3_MOUSE; TBB3_RAT; Neuron-specific class III beta-tubulin; tubulin beta 3 class III; tubulin, beta 3; fibrosis of extraocular muscles, congenital, 3; class III beta-tubulin
抗体来源
Mouse
免疫原
KLH conjugated synthetic peptide derived from human TUBB3
亚型
IgG
性状
Size : 50ul/100ul/200ul/500ul
Liquid

Size : 200ug (PBS only)
Lyophilized
Note: Centrifuge tubes before opening. Reconstitute the lyophilized product in distilled water. Optimal concentration should be determined by the end user.
纯化方法
affinity purified by Protein G
克隆类型
Monoclonal
克隆号
6F12
理论分子量
50 kDa
检测分子量
50 kDa
浓度
1mg/ml
储存液
Size : 50ul/100ul/200ul/500ul
0.01M TBS (pH7.4) with 1% BSA, 0.02% Proclin300 and 50% Glycerol.
Size : 200ug (PBS only)
0.01M PBS
SWISS
Gene ID
保存条件
Shipped at 4℃. Store at -20℃ for one year. Avoid repeated freeze/thaw cycles.
注意事项
This product as supplied is intended for research use only, not for use in human, therapeutic or diagnostic applications.
产品介绍
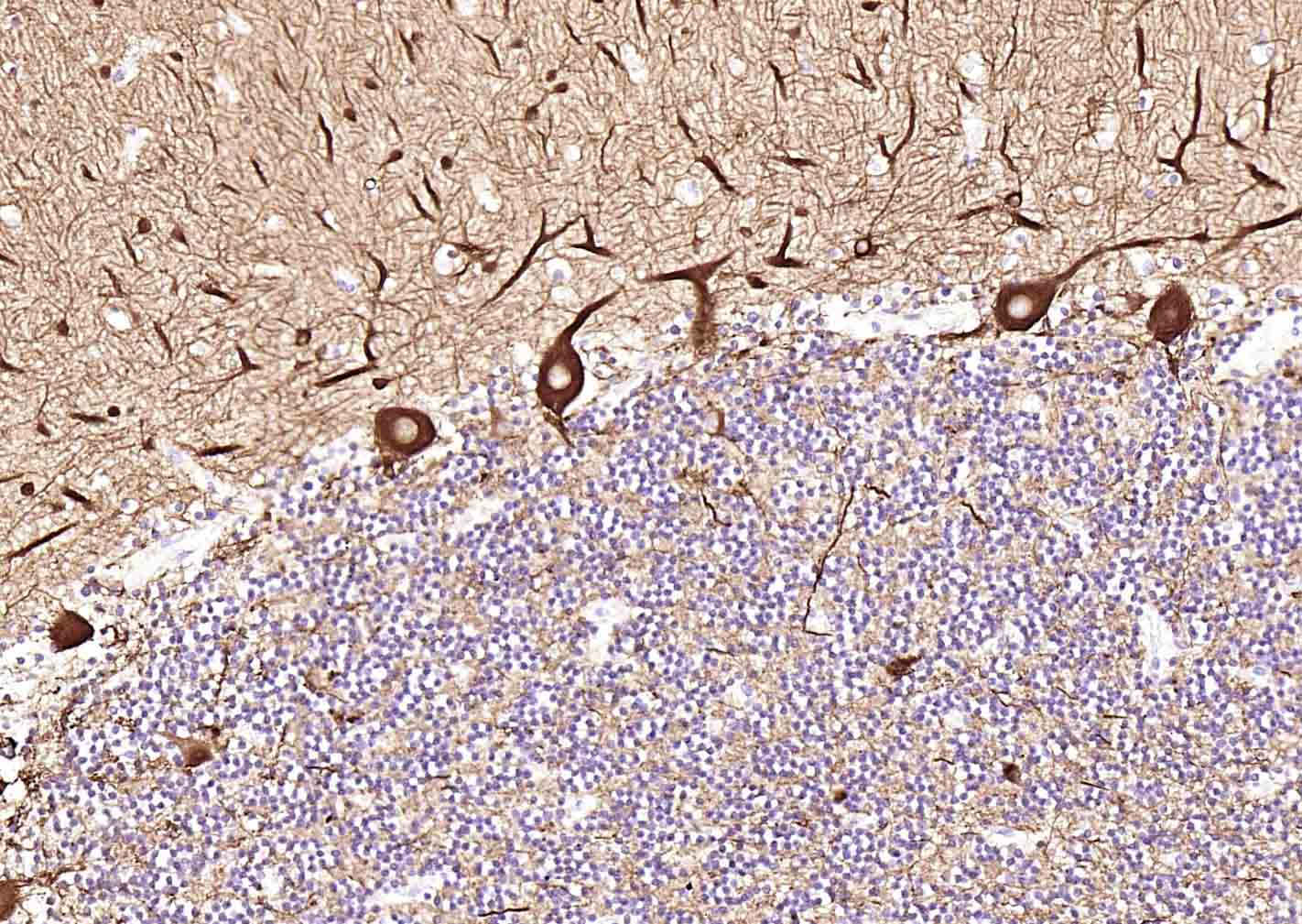
神经细胞标志物/神经元标志物.
背景资料
Neuronal Marker
Beta III tubulin is abundant in the central and peripheral nervous systems (CNS and PNS) where it is prominently expressed during fetal and postnatal development. As exemplified in cerebellar and sympathoadrenal neurogenesis, the distribution of beta III is neuron-associated, exhibiting distinct temporospatial gradients according to the regional neuroepithelia of origin. However, transient expression of this protein is also present in the subventricular zones of the CNS comprising putative neuronal- and/or glial precursor cells, as well as in Kulchitsky neuroendocrine cells of the fetal respiratory epithelium. This temporally restricted, potentially non-neuronal expression may have implications in the identification of presumptive neurons derived from embryonic stem cells.
微管蛋白β3(神经标志物)单克隆抗体-bsm-33177M微管蛋白β3(神经标志物)单克隆抗体-bsm-33177M微管蛋白β3(神经标志物)单克隆抗体-bsm-33177M微管蛋白β3(神经标志物)单克隆抗体-bsm-33177M微管蛋白β3(神经标志物)单克隆抗体-bsm-33177M微管蛋白β3(神经标志物)单克隆抗体-bsm-33177M微管蛋白β3(神经标志物)单克隆抗体-bsm-33177M微管蛋白β3(神经标志物)单克隆抗体-bsm-33177M微管蛋白β3(神经标志物)单克隆抗体-bsm-33177M微管蛋白β3(神经标志物)单克隆抗体-bsm-33177M微管蛋白β3(神经标志物)单克隆抗体-bsm-33177M微管蛋白β3(神经标志物)单克隆抗体-bsm-33177M

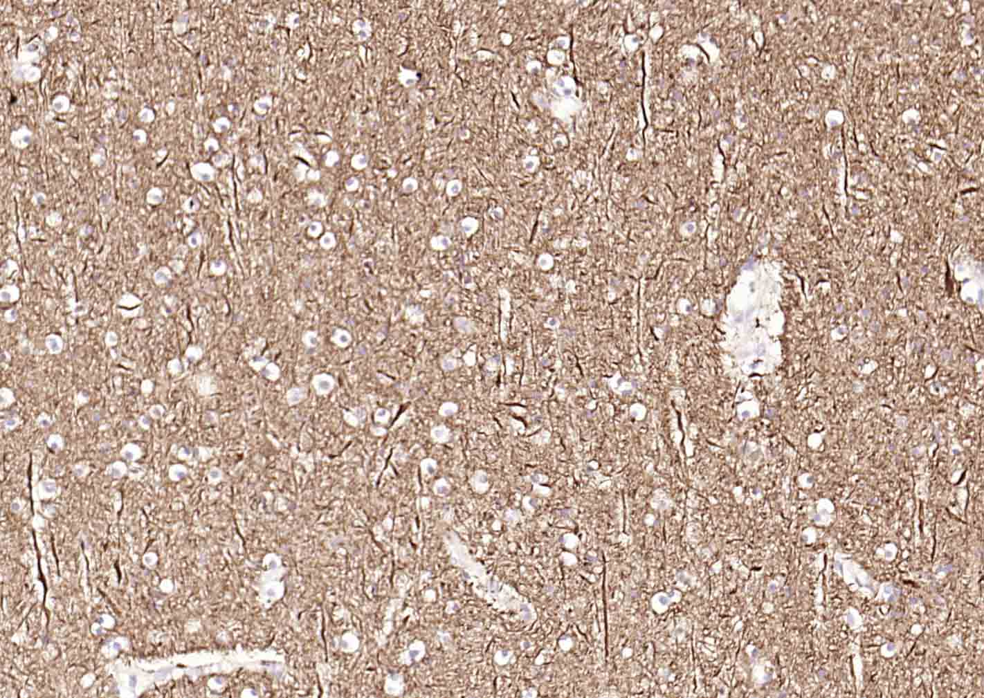
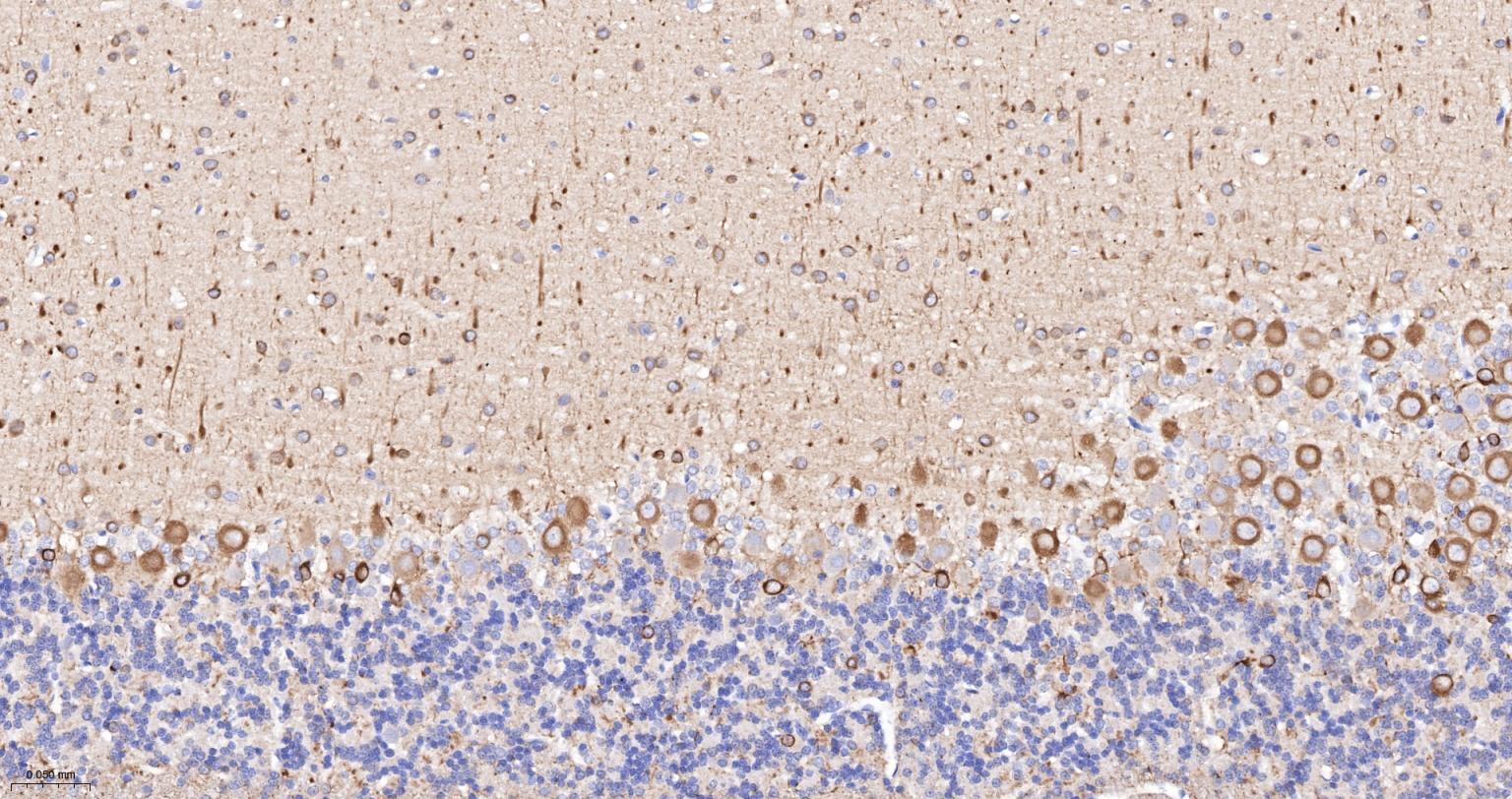
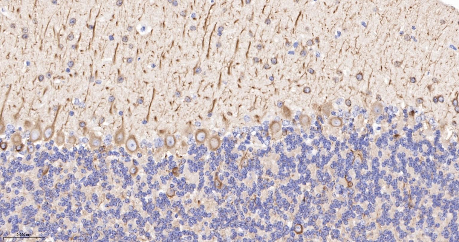
产品应用

应用已检合格种属预测种属推荐稀释比例
WBHuman, Mouse, Rat1:1000-10000
IHC-PHuman, Mouse, Rat1:200-1000
IHC-FHuman, Mouse, Rat1:200-1000
IFHuman, Mouse, Rat1:200-1000
Flow-CytHumanMouse, Rat1μg/Test

交叉反应

交叉反应: Human, Mouse, Rat

相关产品

暂无相关产品

靶标

基因名
TUBB3
蛋白名
Tubulin beta-3 chain
亚基
Dimer of alpha and beta chains.
亚细胞定位
Cytoplasm, cytoskeleton.
组织特异性
Expression is primarily restricted to centraland peripheral nervous system. Greatly increased expression in mostcancerous tissues.
翻译后修饰
Some glutamate residues at the C-terminus arepolyglutamylated. This modification occurs exclusively on glutamateresidues and results in polyglutamate chains on the gamma-carboxylgroup. Also monoglycylated but not polyglycylated due to theabsence of functional TTLL10 in human. Monoglycylation is mainlylimited to tubulin incorporated into axonemes (cilia and flagella)whereas glutamylation is prevalent in neuronal cells, centrioles,axonemes, and the mitotic spindle. Both modifications can coexiston the same protein on adjacent residues, and lowering glycylationlevels increases polyglutamylation, and reciprocally. The precisefunction of such modifications is still unclear but they regulatethe assembly and dynamics of axonemal microtubules (Probable).
Phosphorylated on Ser-172 by CDK1 during the cell cycle, frommetaphase to telophase, but not in interphase. This phosphorylationinhibits tubulin incorporation into microtubules.
疾病
Defects in TUBB3 are the cause of congenital fibrosis ofextraocular muscles type 3A (CFEOM3A) [MIM:600638]. A congenitalocular motility disorder marked by restrictive ophthalmoplegiaaffecting extraocular muscles innervated by the oculomotor and/ortrochlear nerves. It is clinically characterized by anchoring ofthe eyes in downward gaze, ptosis, and backward tilt of the head.Congenital fibrosis of extraocular muscles type 3 presents as anon-progressive, autosomal dominant disorder with variableexpression. Patients may be bilaterally or unilaterally affected,and their oculo-motility defects range from completeophthalmoplegia (with the eyes fixed in a hypo- and exotropicposition), to mild asymptomatic restrictions of ocular movement.Ptosis, refractive error, amblyopia, and compensatory headpositions are associated with the more severe forms of thedisorder. In some cases the ocular phenotype is accompanied byadditional features including developmental delay, corpus callosumagenesis, basal ganglia dysmorphism, facial weakness,polyneuropathy.
Defects in TUBB3 are the cause of cortical dysplasiacomplex with other brain malformations (CDCBM) [MIM:614039]. CDCBMis a disorder of aberrant neuronal migration and disturbed axonalguidance. Affected individuals have mild to severe mentalretardation, strabismus, axial hypotonia, and spasticity. Brainimaging shows variable malformations of cortical development,including polymicrogyria, gyral disorganization, and fusion of thebasal ganglia, as well as thin corpus callosum, hypoplasticbrainstem, and dysplastic cerebellar vermis. Extraocular musclesare not involved.
相似性
Belongs to the tubulin family.
功能
Tubulin is the major constituent of microtubules. Itbinds two moles of GTP, one at an exchangeable site on the betachain and one at a non-exchangeable site on the alpha chain. TUBB3plays a critical role in proper axon guidance and mantainance.

同靶标产品

相关文献

提示: 发表研究结果有使用 bsm-33177M 时请让我们知道,以便我们可以引用参考文章。作为回馈,资料提供者将获得我们送上的小礼品。
具体参考文献:bsm-33177M 被引用于6文献中

常见问题