Cancer > Cell Death > Apoptosis > Metabolism
Cancer > Cell Death > Apoptosis > Phagocytosis
Cancer > Cell Death > Autophagy > APG gene products
Cancer > Cell Death > Autophagy > Signal Transduction
Cancer > Signal transduction > Autophagy
Cardiovascular > Heart > Autophagy > APG gene products
Cell Biology > Apoptosis > Intracellular > Associated Proteins
Cell Biology > Apoptosis > Phagocytosis
Cell Biology > Proteolysis / Ubiquitin > Proteasome / Ubiquitin > Ub-like Proteins
Metabolism > Pathways and Processes > Metabolism processes > Apoptosis
Metabolism > Pathways and Processes > Metabolism processes > Autophagy and mitophagy
Metabolism > Pathways and Processes > Metabolism processes > Autophagy and mitophagy > APG gene products




| 应用 | 已检合格种属 | 预测种属 | 推荐稀释比例 |
|---|---|---|---|
| WB | Human | Mouse, Rat | 1:500-1000 |
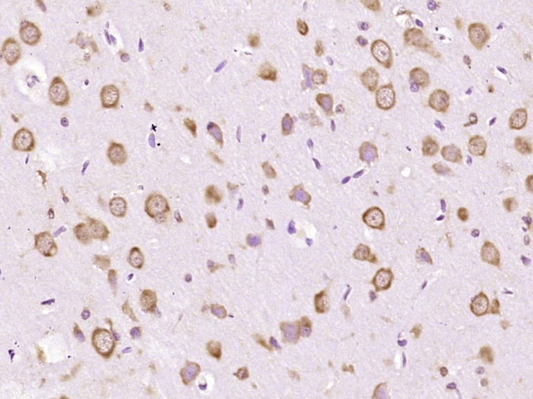
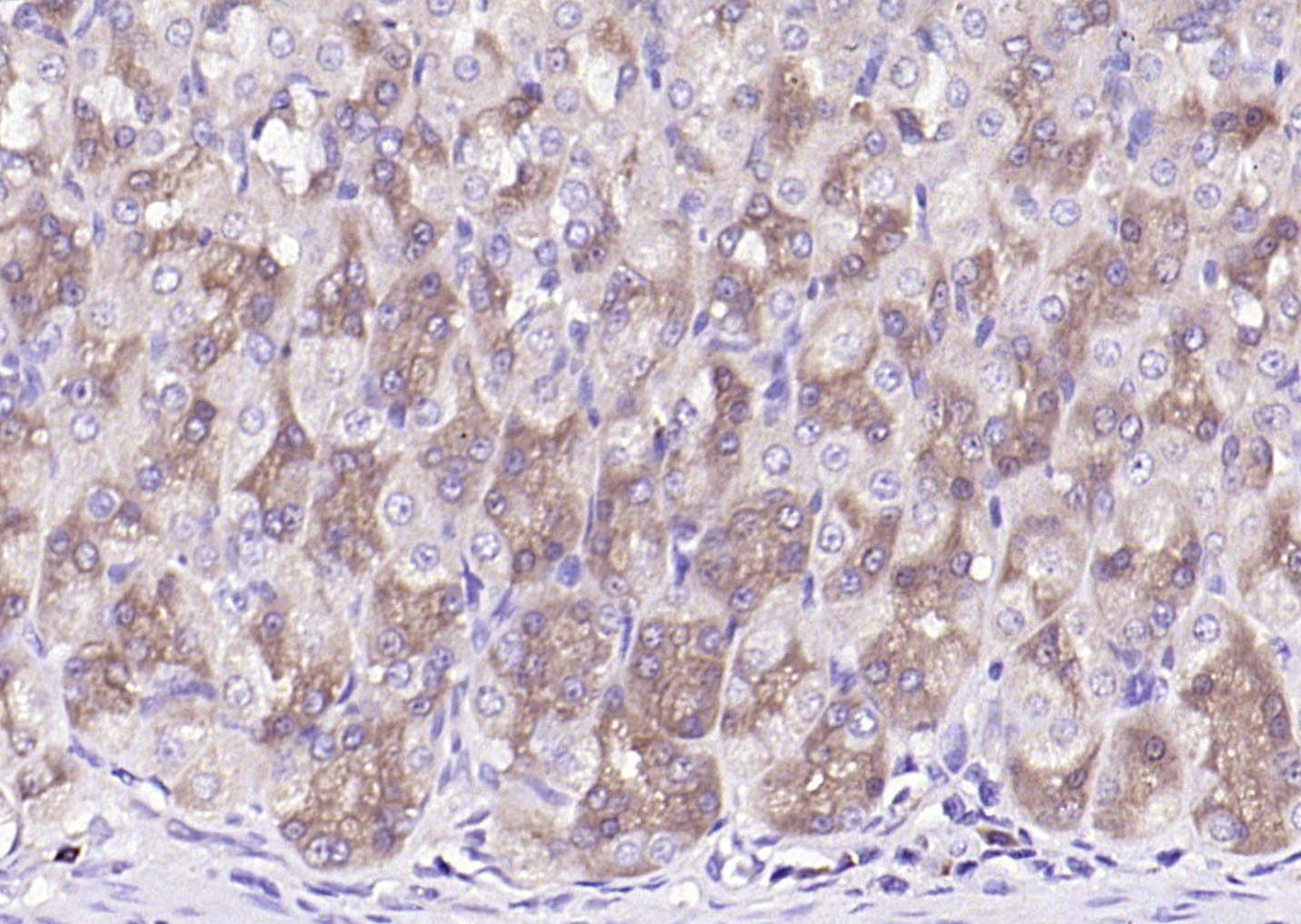
| IHC-P | Human, Rat | Mouse | 1:100-500 |
| IHC-F | Human, Rat | Mouse | 1:100-500 |
| IF | Human, Rat | Mouse | 1:100-500 |
| ICC/IF | Mouse | Human, Rat | 1:100-500 |
交叉反应: Human, Mouse, Rat
暂无相关产品