白细胞介素-13受体a1重组兔单抗

Rrmab?兔单抗
2026-03-02~2026-04-30,KXJ26032026-03-02~2026-04-30,促销赠品
白细胞介素-13受体a1重组兔单抗
货号:bsm-54211R
产品详情
相关标记
相关产品
相关文献
常见问题

概述

产品编号
bsm-54211R
产品类型
重组兔单抗
英文名称
IL13RA1 Recombinant Rabbit mAb
中文名称
白细胞介素-13受体a1重组兔单抗
英文别名
CD213A1; CT19; IL-13Ra; NR4; IL-13R-alpha-1; IL-13r[a]; Il13ra; I13R1_HUMAN; IL13RA1; IL-13 receptor subunit alpha-1; IL-13R subunit alpha-1; IL-13RA1; Cancer/testis antigen 19 (CT19); IL13R; I13R1_MOUSE; Interleukin-13-binding protein; Novel cytokine receptor 4 (NR4);
抗体来源
Rabbit
免疫原
A synthesized peptide derived from human IL 13 receptor alpha 1: 50-101/427
亚型
IgG
性状
Liquid
纯化方法
affinity purified by Protein A
克隆类型
Recombinant
克隆号
1C1
理论分子量
47 kDa
浓度
1mg/ml
储存液
0.01M TBS (pH7.4) with 1% BSA, 0.02% Proclin300 and 50% Glycerol.
SWISS
Gene ID
保存条件
Shipped at 4℃. Store at -20℃ for one year. Avoid repeated freeze/thaw cycles.
注意事项
This product as supplied is intended for research use only, not for use in human, therapeutic or diagnostic applications.
背景资料
The protein encoded by this gene is a subunit of the interleukin 13 receptor. This subunit forms a receptor complex with IL4 receptor alpha, a subunit shared by IL13 and IL4 receptors. This subunit serves as a primary IL13-binding subunit of the IL13 receptor, and may also be a component of IL4 receptors. This protein has been shown to bind tyrosine kinase TYK2, and thus may mediate the signaling processes that lead to the activation of JAK1, STAT3 and STAT6 induced by IL13 and IL4. [provided by RefSeq, Jul 2008]
白细胞介素-13受体a1重组兔单抗白细胞介素-13受体a1重组兔单抗白细胞介素-13受体a1重组兔单抗

产品应用

应用已检合格种属预测种属推荐稀释比例
WBHuman1:500-2000
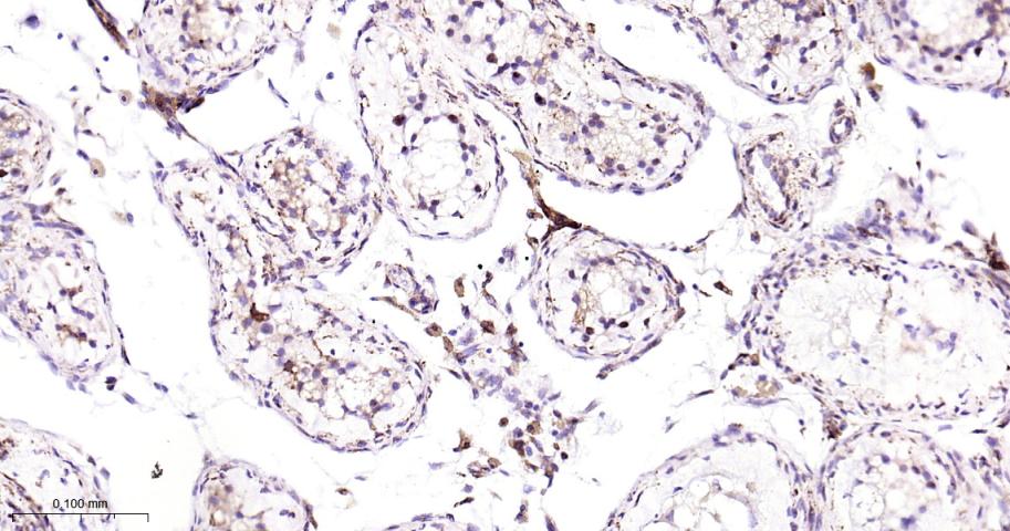
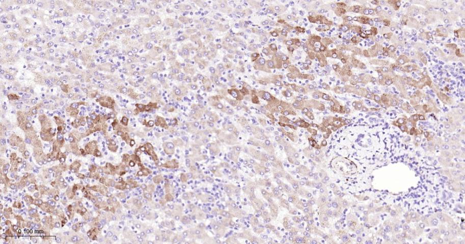
IHC-PHuman1:100-500
IHC-FHuman1:100-500
IFHuman1:100-500

交叉反应

交叉反应: Human

相关产品

暂无相关产品

靶标

基因名
IL13RA1
蛋白名
Interleukin-13 receptor subunit alpha-1
亚基
Interleukin-13 receptor is a complex of IL4R, IL13RA1, and possibly other components. Interacts with TRAF3IP1.
亚细胞定位
Membrane; Single-pass type I membrane protein.
组织特异性
Spleen, liver, thymus, heart, lung, kidney, testis, stomach, brain, skin, and colon; but not skeletal muscle.
相似性
Belongs to the type I cytokine receptor family. Type 5 subfamily.
功能
Binds with low affinity to interleukin-13 (IL13). Together with IL4RA can form a functional receptor for IL13. Also serves as an alternate accessory protein to the common cytokine receptor gamma chain for interleukin-4 (IL4) signaling, but cannot replace the function of IL2RG in allowing enhanced interleukin-2 (IL2) binding activity.

标记抗体

暂无标记数据

同靶标产品

暂无同靶标产品

相关文献

提示: 发表研究结果有使用 bsm-54211R 时请让我们知道,以便我们可以引用参考文章。作为回馈,资料提供者将获得我们送上的小礼品。
具体参考文献:bsm-54211R 被引用于2文献中

暂无相关文献

常见问题

暂无常见问题