Gamma Tubulin Mouse mAb (一抗) - WB,IHC-P,IHC-F,IF,Flow-Cyt | Bioss

2026-03-02~2026-04-30,KXJ26032026-03-02~2026-04-30,促销赠品
Gamma Tubulin Mouse mAb (一抗) - WB,IHC-P,IHC-F,IF,Flow-Cyt | Bioss
货号:bsm-33313M
产品详情
相关标记
相关产品
相关文献
常见问题

概述

产品编号
bsm-33313M
英文名称
Gamma Tubulin Mouse mAb
中文名称
微管蛋白γ单克隆抗体
英文别名
CDCBM4; GCP-1; TUBG; TUBGCP1; 1500010O08Rik; Tubgl; TBG1_HUMAN; TUBG1; Gamma-1-tubulin; Gamma-tubulin complex component 1 (GCP-1); TBG2_HUMAN; TUBG2; Gamma-2-tubulin; TBG1_MOUSE; TBG2_MOUSE; TBG1_RAT;
抗体来源
Mouse
免疫原
KLH conjugated synthetic peptide derived from human Gamma Tubulin
亚型
IgG
性状
Size : 50ul/100ul/200ul
Liquid

Size : 200ug (PBS only)
Lyophilized
Note: Centrifuge tubes before opening. Reconstitute the lyophilized product in distilled water. Optimal concentration should be determined by the end user.
纯化方法
affinity purified by Protein G
克隆类型
Monoclonal
克隆号
8D11
理论分子量
50 kDa
检测分子量
46 kDa
浓度
1mg/ml
储存液
Size : 50ul/100ul/200ul
0.01M TBS (pH7.4) with 1% BSA, 0.02% Proclin300 and 50% Glycerol.
Size : 200ug (PBS only)
0.01M PBS
SWISS
Gene ID
保存条件
Shipped at 4℃. Store at -20℃ for one year. Avoid repeated freeze/thaw cycles.
注意事项
This product as supplied is intended for research use only, not for use in human, therapeutic or diagnostic applications.
产品介绍
结构蛋白(Structural Proteins)
gamma tubulin 微管蛋白是存于中心体的另一种微管蛋白, gamma微管蛋白对微管的形成具有重要作用。gamma微管蛋白通过与β-微管蛋白的相互作用帮助微管的成核反应(nucleation)。即在微管的组装中gamma微管蛋白先形成一个圆或形成钩环结构, γ微管蛋白的这种结构可指导微管蛋白二聚体结合上去并进行微管的组装。gamma微管蛋白在微管的组装中起关键作用。
背景资料
Gamma tubulin, a member of the tubulin superfamily, is a ubiquitous and highly conserved protein within the microtubule organizing centre (MTOC). Gamma tubulin is not a component of microtubules, rather it functions as the microtubule nucleator at the MOTC, is responsible for binding microtubule minus ends and mediating the link between microtubles and the centrosome. By binding to the beta tubulin subunit of the tubulin molecule, it establishes the polarity of a microtubule leaving the alpha tubulin subunit exposed at the positive end.
The abundance of Gamma tubulin is less than 1% of the level of either alpha or beta tubulin. It shares approximately 28-32% identity with alpha tubulin from various organisms and 32-36% identity with beta tubulins. The detection, localization and characterization of proteins involved in microtubule function is fundamental to the understanding of mitosis, meiosis and the microtubule cytoskeleton.
微管蛋白γ单克隆抗体-bsm-33313M微管蛋白γ单克隆抗体-bsm-33313M微管蛋白γ单克隆抗体-bsm-33313M微管蛋白γ单克隆抗体-bsm-33313M

产品应用

应用已检合格种属预测种属推荐稀释比例
WBHuman, Mouse, Rat1:500-5000
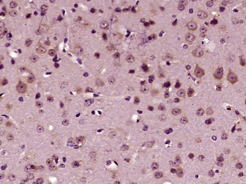
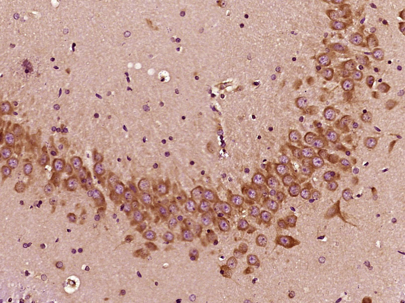
IHC-PMouse, RatHuman1:100-500
IHC-FMouse, RatHuman1:100-500
IFMouse, RatHuman1:100-500
Flow-CytHumanMouse, Rat1ug/Test

交叉反应

交叉反应: Human, Mouse, Rat

相关产品

暂无相关产品

靶标

基因名
TUBG1
蛋白名
Tubulin gamma-1 chain
亚基
Interacts with TUBGCP2 and TUBGCP3. Interacts with B9D2 (By similarity). Interacts with CDK5RAP2; the interaction is leading to centrosomal localization of TUBG1 and CDK5RAP2. Interacts with PIFO.
亚细胞定位
Cytoplasm, cytoskeleton, centrosome.
组织特异性
Phosphorylation at Ser-131 by BRSK1 regulates centrosome duplication, possibly by mediating relocation of gamma-tubulin and its associated proteins from the cytoplasm to the centrosome.
翻译后修饰
Phosphorylation at Ser-131 by BRSK1 regulates centrosome duplication, possibly by mediating relocation of gamma-tubulin and its associated proteins from the cytoplasm to the centrosome.
相似性
Belongs to the tubulin family.
功能
Tubulin is the major constituent of microtubules. Gamma tubulin is found at microtubule organizing centers (MTOC) such as the spindle poles or the centrosome. Pericentriolar matrix component that regulates alpha/beta tubulin minus-end nucleation, centrosome duplication and spindle formation.

同靶标产品

相关文献

提示: 发表研究结果有使用 bsm-33313M 时请让我们知道,以便我们可以引用参考文章。作为回馈,资料提供者将获得我们送上的小礼品。

常见问题