Beta tubulin Mouse mAb, Loading Control (一抗) - WB,IHC-P,IHC-F,IF | Bioss

2025-08-20~2026-06-30,一口价2026-05-01~2026-06-30,WB精选(促销赠品)
Beta tubulin Mouse mAb, Loading Control (一抗) - WB,IHC-P,IHC-F,IF | Bioss
货号:bsm-33120M
产品详情
相关标记
相关产品
相关文献
常见问题

概述

产品编号
bsm-33120M
产品类型
内参抗体、胞质(包浆或全细胞)内参抗体、mIHC精品抗体
英文名称
Beta tubulin Mouse mAb, Loading Control
中文名称
β微管蛋白(内参)单克隆抗体
英文别名
CDCBM6; CSCSC1; M40; OK/SW-cl.56; TUBB1; TUBB5; B130022C14Rik; M(beta)5; Tubb; TBB5_HUMAN; Tubulin beta-5 chain; TBB5_MOUSE; TBB5_RAT; tubulin beta class I; tubulin, beta polypeptide; tubulin, beta; tubulin, beta class I; class I beta-tubulin; beta1-tubulin
抗体来源
Mouse
免疫原
KLH conjugated synthetic peptide derived from Zebrafish Beta tubulin
亚型
IgG
性状
Liquid
纯化方法
affinity purified by Protein G
克隆类型
Monoclonal
克隆号
2D7
理论分子量
50 kDa
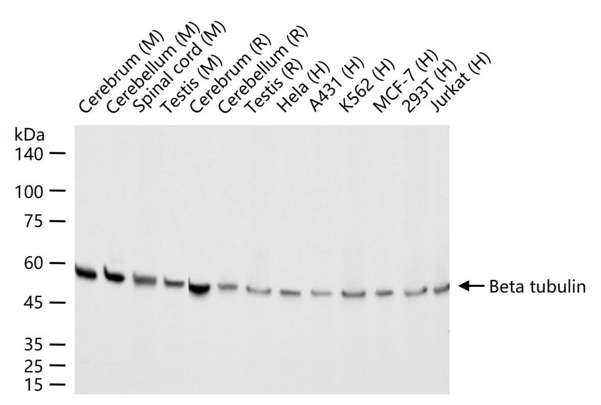
检测分子量
50 kDa
浓度
1mg/ml
储存液
0.01M TBS (pH7.4) with 1% BSA, 0.02% Proclin300 and 50% Glycerol.
保存条件
Shipped at 4℃. Store at -20℃ for one year. Avoid repeated freeze/thaw cycles.
注意事项
This product as supplied is intended for research use only, not for use in human, therapeutic or diagnostic applications.
产品介绍
结构蛋白(Structural Proteins)
tubulin是一种大量存在于哺乳动物脑组织中的微管亚基蛋白,在结构上是由两个极为相近的α和β亚基组成的二聚体、多聚体形成微管细丝,是微管的主要成分。
微管蛋白是球形分子, 有两种类型:α微管蛋白(α-tubulin)货号:bs-0195R和β微管蛋白(β-tubulin), 这两种微管蛋白具有相似的三维结构, 能够紧密地结合成二聚体, 作为微管组装的亚基。 α亚基由450个氨基酸组成, β亚基是由455个氨基酸组成, 这两种亚基有35~40%的氨基酸序列同源, 表明编码它们的基因可能是由同一原始祖先演变而来.
背景资料
This gene encodes a beta tubulin protein. This protein forms a dimer with alpha tubulin and acts as a structural component of microtubules. Mutations in this gene cause cortical dysplasia, complex, with other brain malformations 6. Alternative splicing results in multiple splice variants. There are multiple pseudogenes for this gene on chromosomes 1, 6, 7, 8, 9, and 13. [provided by RefSeq, Jun 2014]
β微管蛋白(内参)单克隆抗体-bsm-33120Mβ微管蛋白(内参)单克隆抗体-bsm-33120Mβ微管蛋白(内参)单克隆抗体-bsm-33120Mβ微管蛋白(内参)单克隆抗体-bsm-33120Mβ微管蛋白(内参)单克隆抗体-bsm-33120Mβ微管蛋白(内参)单克隆抗体-bsm-33120Mβ微管蛋白(内参)单克隆抗体-bsm-33120Mβ微管蛋白(内参)单克隆抗体-bsm-33120Mβ微管蛋白(内参)单克隆抗体-bsm-33120Mβ微管蛋白(内参)单克隆抗体-bsm-33120Mβ微管蛋白(内参)单克隆抗体-bsm-33120M

产品应用

应用已检合格种属预测种属推荐稀释比例
WBHuman, Mouse, Rat1:20000-100000
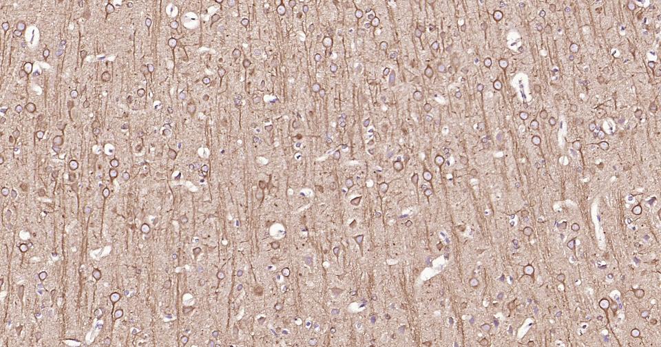
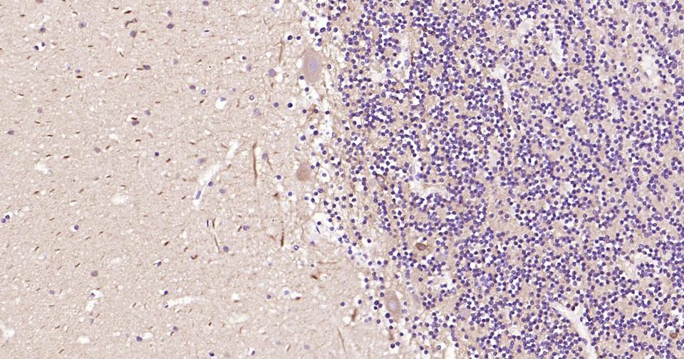
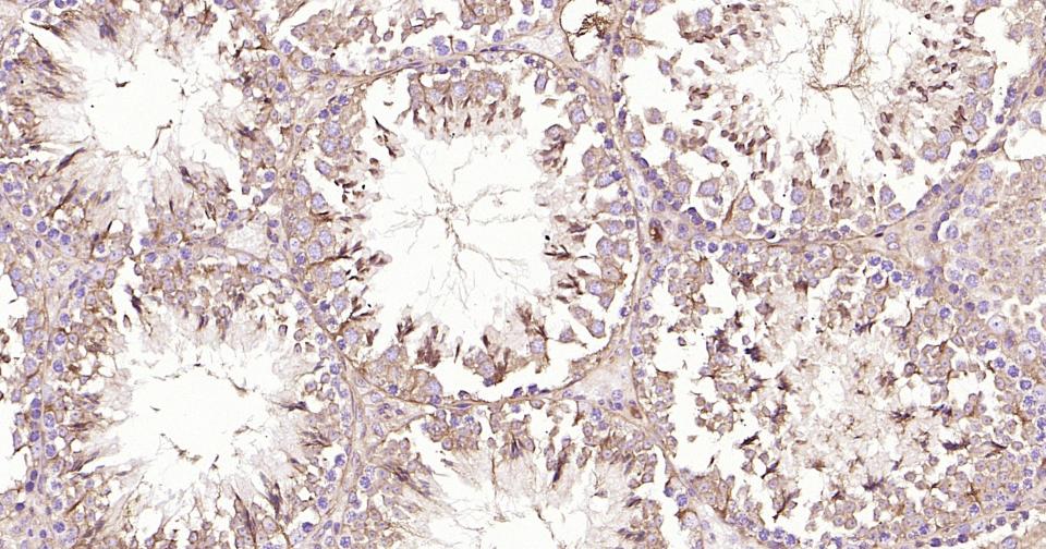
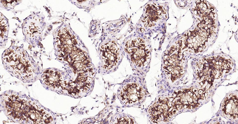
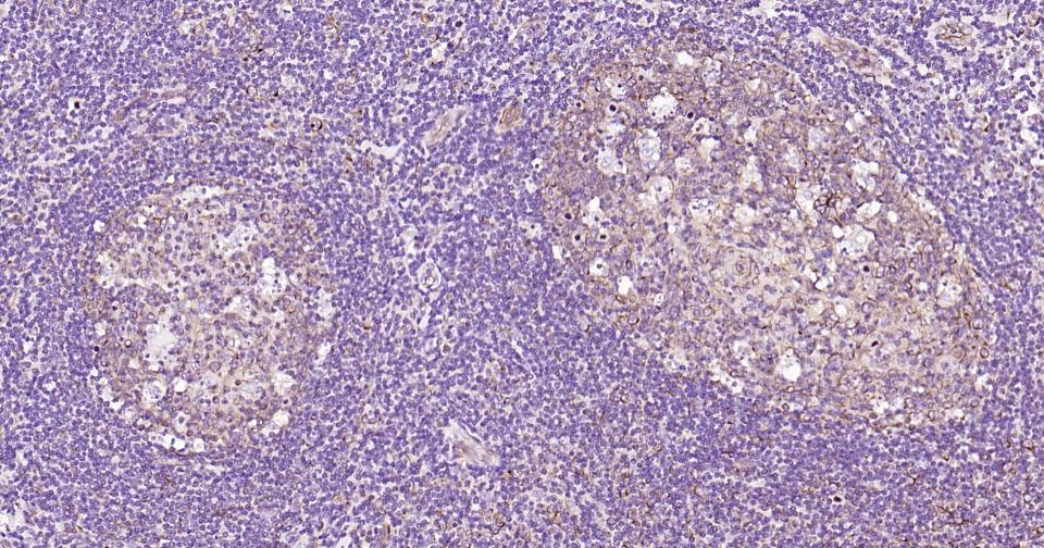
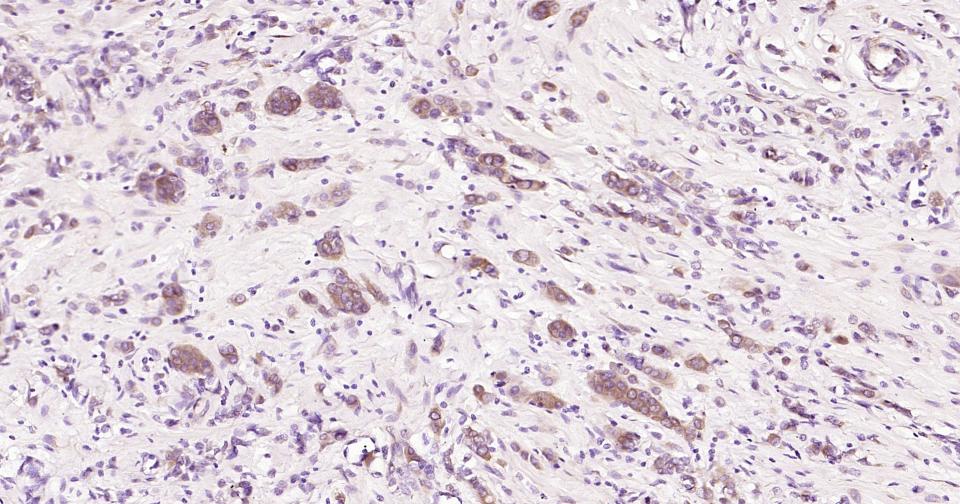
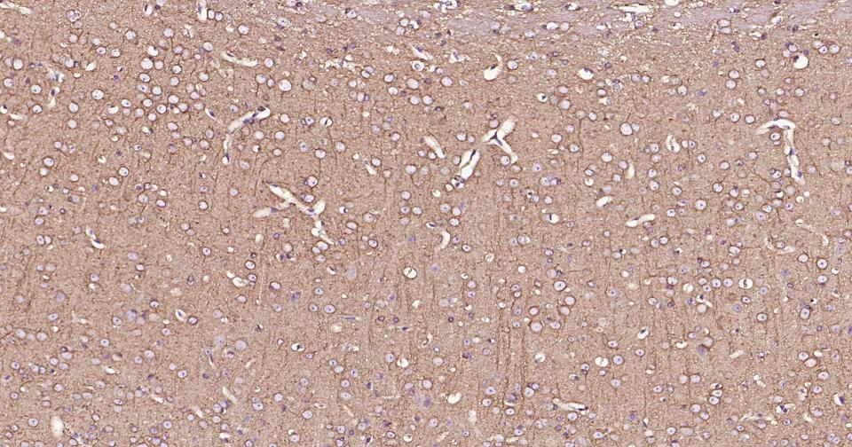
IHC-PHuman, Mouse, Rat1:100-500
IHC-FHuman, Mouse, Rat1:100-500
IFHuman, Mouse, Rat1:100-500

交叉反应

交叉反应: Human, Mouse, Rat

相关产品

暂无相关产品

靶标

基因名
TUBB
蛋白名
Tubulin beta chain
亚基
Dimer of alpha and beta chains. May interact with RNABP10. Interacts with PIFO. Interacts with MX1.
亚细胞定位
Cytoplasmic, cytoskeleton.
组织特异性
Ubiquitously expressed with highest levels in spleen, thymus and immature brain.
翻译后修饰
Some glutamate residues at the C-terminus are polyglutamylated. This modification occurs exclusively on glutamate residues and results in polyglutamate chains on the gamma-carboxyl group. Also monoglycylated but not polyglycylated due to the absence of functional TTLL10 in human. Monoglycylation is mainly limited to tubulin incorporated into axonemes (cilia and flagella) whereas glutamylation is prevalent in neuronal cells, centrioles, axonemes, and the mitotic spindle. Both modifications can coexist on the same protein on adjacent residues, and lowering glycylation levels increases polyglutamylation, and reciprocally. The precise function of such modifications is still unclear but they regulate the assembly and dynamics of axonemal microtubules (Probable).
相似性
Belongs to the tubulin family.
功能
Tubulin is the major constituent of microtubules. It binds two moles of GTP, one at an exchangeable site on the beta chain and one at a non-exchangeable site on the alpha chain.

同靶标产品

相关文献

提示: 发表研究结果有使用 bsm-33120M 时请让我们知道,以便我们可以引用参考文章。作为回馈,资料提供者将获得我们送上的小礼品。

常见问题