细胞角蛋白10重组兔单抗

Rrmab?兔单抗
2026-03-02~2026-04-30,KXJ26032026-03-02~2026-04-30,促销赠品
细胞角蛋白10重组兔单抗
货号:bsm-52052R
产品详情
相关标记
相关产品
相关文献
常见问题

概述

产品编号
bsm-52052R
产品类型
重组兔单抗、病理级抗体、mIHC精品抗体
英文名称
CK10/Cytokeratin 10 Recombinant Rabbit mAb
中文名称
细胞角蛋白10重组兔单抗
英文别名
BCIE; BIE; CK10; EHK; EHK2; EHK2A; EHK2B; IHL; K10; KPP; D130054E02Rik; K1C1; Krt-1.10; Krt1-10; Ka10; K1C10_HUMAN; KRT10; Cytokeratin-10 (CK-10); Keratin-10 (K10); K1C10_MOUSE; 56 kDa cytokeratin; Keratin, type I cytoskeletal 59 kDa; K1C10_RAT; Type I keratin Ka10;
抗体来源
Rabbit
免疫原
A synthesized peptide derived from human Cytokeratin 10: 550-584
亚型
IgG
性状
Liquid
纯化方法
affinity purified by Protein A
克隆类型
Recombinant
克隆号
1D8
理论分子量
59 kDa
浓度
1mg/ml
储存液
0.01M TBS (pH7.4) with 1% BSA, 0.02% Proclin300 and 50% Glycerol.
SWISS
Gene ID
保存条件
Shipped at 4℃. Store at -20℃ for one year. Avoid repeated freeze/thaw cycles.
注意事项
This product as supplied is intended for research use only, not for use in human, therapeutic or diagnostic applications.
产品介绍
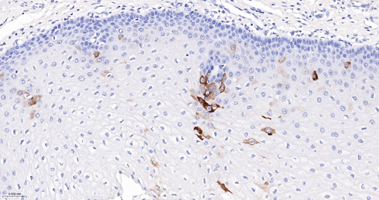
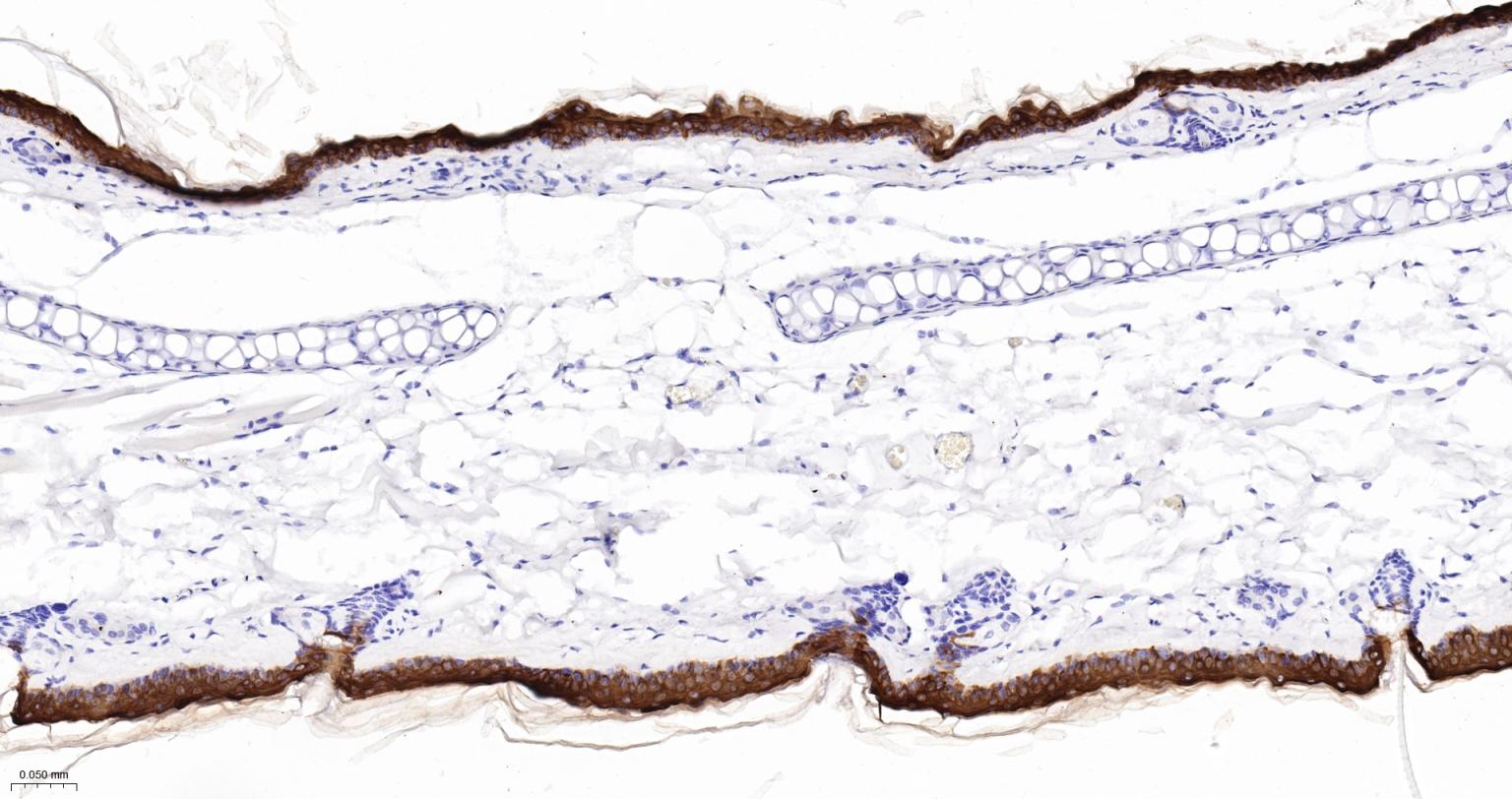
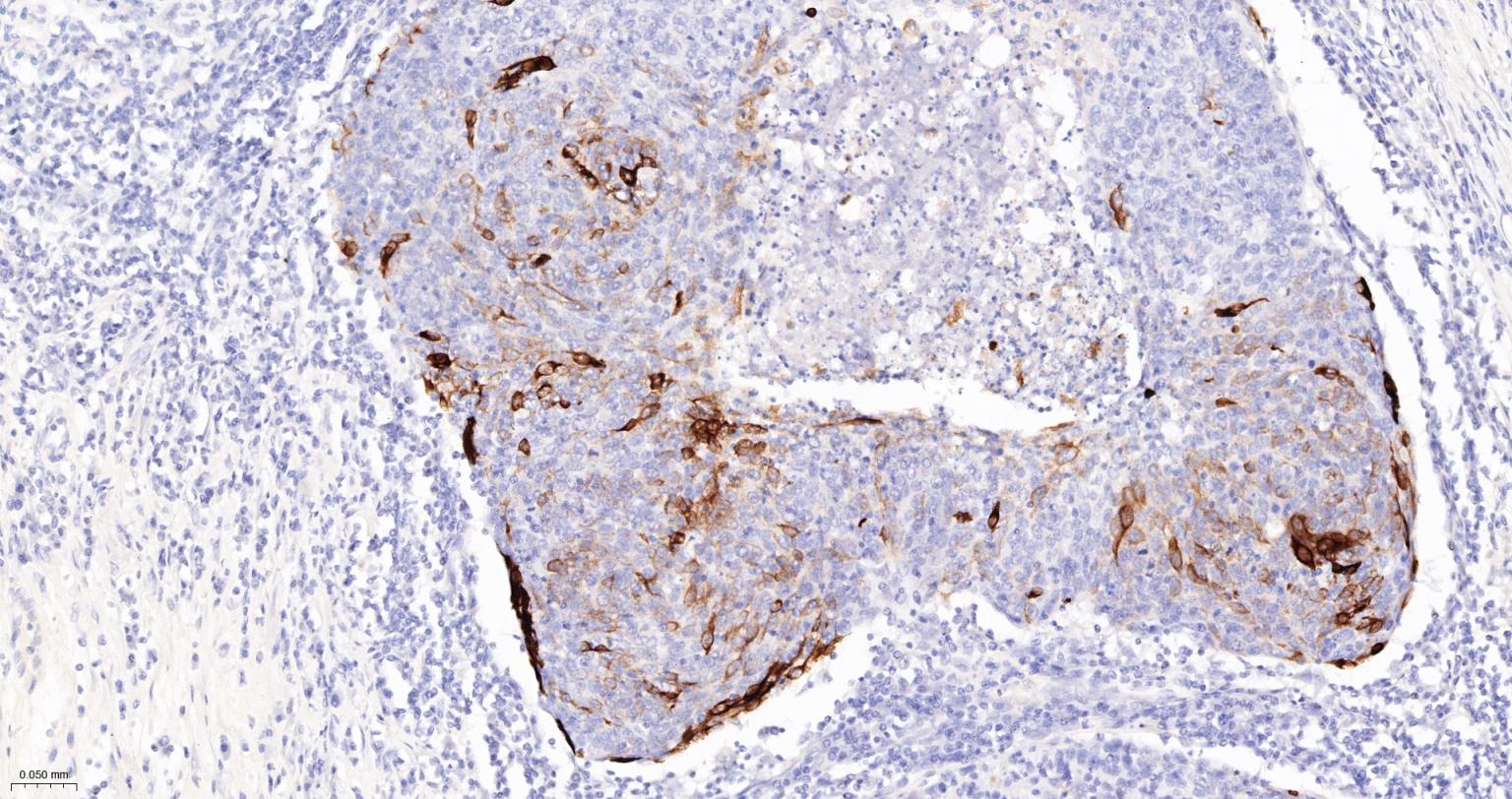
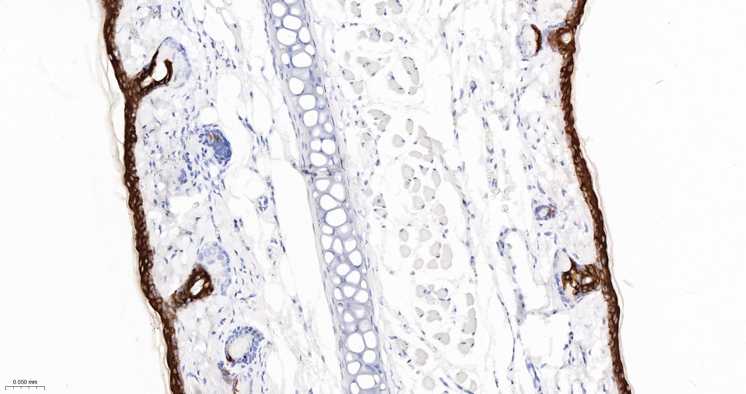
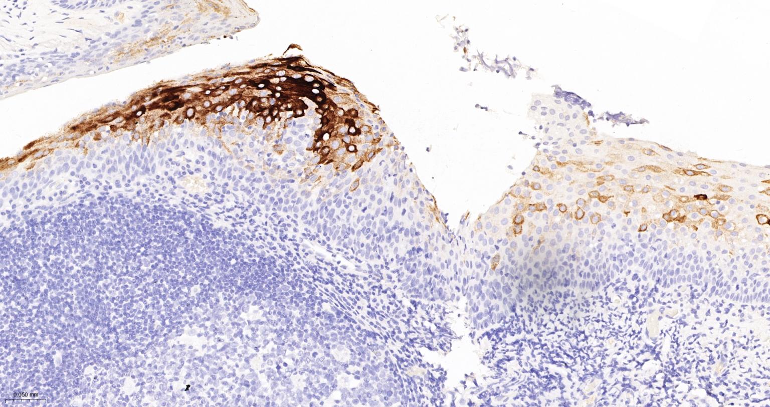
细胞角蛋白是形成上皮细胞细胞骨架中间纤维的一类结构相关蛋白。CK10属于I型角蛋白,常常与CK1一起存在。缺失CK10与表皮松解性角化症(EHK)以及表皮松解性鳞癣病(AEI)密切相关。主要标记上皮的基底上层和颗粒细胞层细胞,同时CK10表达与细胞的分化程度呈正比,高分化者常阳性更强,故常用于鳞状细胞癌的诊断。
背景资料
Cytokeratin 10 is a heterotetramer of two type I and two type II keratins. Cytokeratin 10 is generally associated with keratin 1. It is seen in all suprabasal cell layers including stratum corneum. A number of alleles are known that mainly differ in the Gly-rich region (positions 490-560). Defects in cytokeratin 10 are a cause of epidermolytic hyperkeratosis (EHK), also known as bullous congenital ichthyosiform erythroderma (BCIE) or bullous erythroderma ichthyosiformis congenita of Brocq. EHK is an hereditary skin disorder characterized by blistering and a marked thickening of the stratum corneum. At birth, affected individuals usually present with redness, blisters and superficial erosions due to cytolysis. Within a few weeks, the erythroderma and blister formation diminish and hyperkeratoses develop. Transmission is autosomal dominant, but most cases are sporadic. Defects in cytokeratin 10 are also a cause of annular epidermolytic ichthyosis (AEI), also known as cyclic ichthyosis with epidermolytic hyperkeratosis. AEI resembles clinical and histologic features of both epidermolytic hyperkeratosis and ichthyosis bullosa of Siemens.
细胞角蛋白10重组兔单抗细胞角蛋白10重组兔单抗细胞角蛋白10重组兔单抗细胞角蛋白10重组兔单抗细胞角蛋白10重组兔单抗细胞角蛋白10重组兔单抗细胞角蛋白10重组兔单抗细胞角蛋白10重组兔单抗细胞角蛋白10重组兔单抗细胞角蛋白10重组兔单抗

产品应用

应用已检合格种属预测种属推荐稀释比例
WBMouse, RatHuman1:1000-10000
IHC-PHuman, Mouse, Rat1:1000-5000
IHC-FHuman, Mouse, Rat1:1000-5000
IFHuman, Mouse, Rat1:1000-5000

交叉反应

交叉反应: Human, Mouse, Rat

相关产品

暂无相关产品

靶标

基因名
KRT10
蛋白名
Keratin, type I cytoskeletal 10
亚基
Heterotetramer of two type I and two type II keratins. keratin-10 is generally associated with keratin-1.
亚细胞定位
Cytoplasm.
组织特异性
Seen in all suprabasal cell layers including stratum corneum.
疾病
Epidermolytic hyperkeratosis (EHK) [MIM:113800]: An autosomal dominant skin disorder characterized by widespread blistering and an ichthyotic erythroderma at birth that persist into adulthood. Histologically there is a diffuse epidermolytic degeneration in the lower spinous layer of the epidermis. Within a few weeks from birth, erythroderma and blister formation diminish and hyperkeratoses develop. Note=The disease is caused by mutations affecting the gene represented in this entry.
Ichthyosis annular epidermolytic (AEI) [MIM:607602]: A skin disorder resembling bullous congenital ichthyosiform erythroderma. Affected individuals present with bullous ichthyosis in early childhood and hyperkeratotic lichenified plaques in the flexural areas and extensor surfaces at later ages. The feature that distinguishes AEI from BCIE is dramatic episodes of flares of annular polycyclic plaques with scale, which coalesce to involve most of the body surface and can persist for several weeks or even months. Note=The disease is caused by mutations affecting the gene represented in this entry.
Erythroderma, ichthyosiform, congenital reticular (CRIE) [MIM:609165]: A rare skin condition characterized by slowly enlarging islands of normal skin surrounded by erythematous ichthyotic patches in a reticulated pattern. The condition starts in infancy as a lamellar ichthyosis, with small islands of normal skin resembling confetti appearing in late childhood and at puberty. Histopathologic findings include band-like parakeratosis, psoriasiform acanthosis, and vacuolization of keratinocytes with binucleated cells in the upper epidermis, sometimes associated with amyloid deposition in the dermis. Ultrastructural abnormalities include perinuclear shells formed from a network of fine filaments in the upper epidermis. Note=The disease is caused by mutations affecting the gene represented in this entry.
相似性
Belongs to the intermediate filament family.

标记抗体

暂无标记数据

同靶标产品

暂无同靶标产品

相关文献

提示: 发表研究结果有使用 bsm-52052R 时请让我们知道,以便我们可以引用参考文章。作为回馈,资料提供者将获得我们送上的小礼品。

暂无相关文献

常见问题

暂无常见问题