Cancer > Cell Death > Apoptosis > Apoptosis Markers > NFkB > p50
Cancer > Signal transduction > Nuclear signaling > NFkB pathway
Cell Biology > Apoptosis > Intracellular > NFkB > p50
Epigenetics and Nuclear Signaling > Nuclear Signaling Pathways > NFkB pathway
Epigenetics and Nuclear Signaling > Transcription > Transcription Factors
Immunology > Innate Immunity > Macrophage / Inflamm.
Signal Transduction > Signaling Pathway > Nuclear Signaling > NFkB Pathway






| 应用 | 已检合格种属 | 预测种属 | 推荐稀释比例 |
|---|---|---|---|
| WB | Human, Mouse | Rat, Pig, Cow, Chicken, Dog | 1:500-2000 |
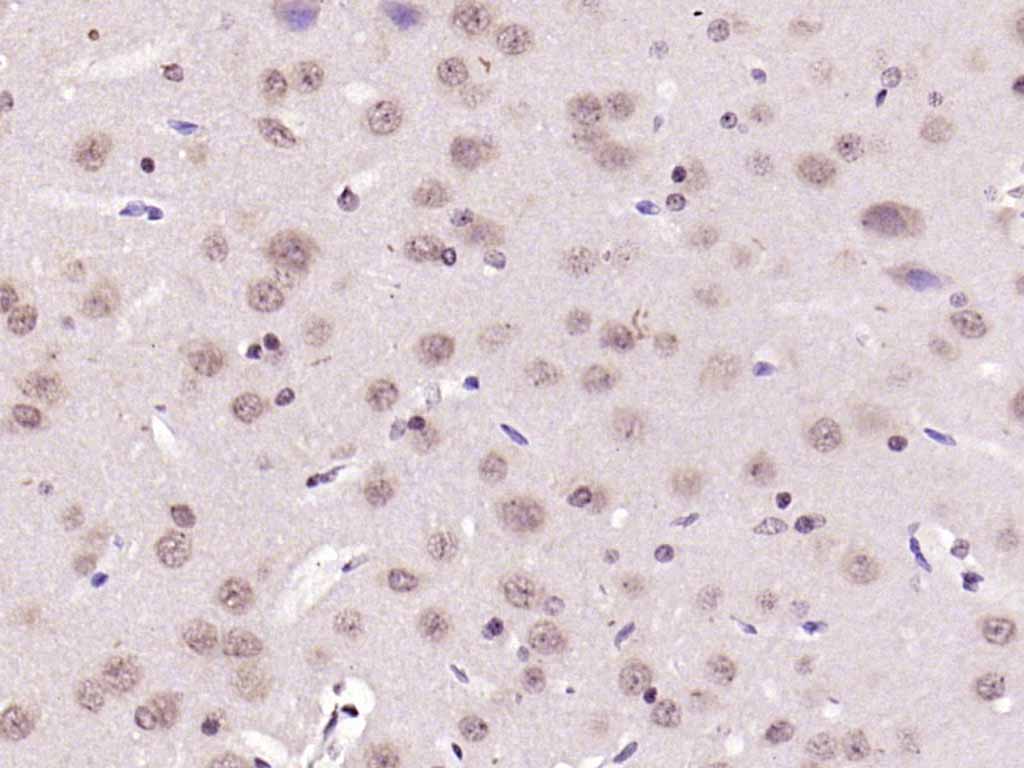
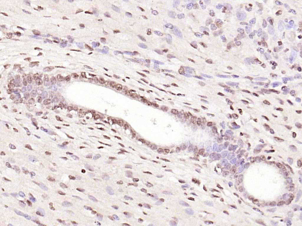
| IHC-P | Mouse, Rat | Human, Pig, Cow, Chicken, Dog | 1:100-500 |
| IHC-F | Mouse, Rat | Human, Pig, Cow, Chicken, Dog | 1:100-500 |
| IF | Mouse, Rat | Human, Pig, Cow, Chicken, Dog | 1:100-500 |
交叉反应: Human, Mouse, Rat (predicted: Pig, Cow, Chicken, Dog)
暂无相关产品