叉头蛋白P1重组兔单抗

Rrmab?兔单抗
2026-03-02~2026-04-30,KXJ26032026-03-02~2026-04-30,促销赠品
叉头蛋白P1重组兔单抗
货号:bsm-52078R
产品详情
相关标记
相关产品
相关文献
常见问题

概述

产品编号
bsm-52078R
产品类型
重组兔单抗
英文名称
FOXP1 Recombinant Rabbit mAb
中文名称
叉头蛋白P1重组兔单抗
英文别名
12CC4; HSPC215; MFH; QRF1; hFKH1B; 3110052D19Rik; 4932443N09Rik; FOXP1_HUMAN; FOXP1; Mac-1-regulated forkhead (MFH); FOXP1_MOUSE; Forkhead-related transcription factor 1; FOXP1_RAT;
抗体来源
Rabbit
免疫原
A synthesized peptide derived from human FOXP1: 350-401/677
亚型
IgG
性状
Liquid
纯化方法
affinity purified by Protein A
克隆类型
Recombinant
克隆号
15E2
理论分子量
79 kDa
浓度
1mg/ml
储存液
0.01M TBS (pH7.4) with 1% BSA, 0.02% Proclin300 and 50% Glycerol.
SWISS
Gene ID
保存条件
Shipped at 4℃. Store at -20℃ for one year. Avoid repeated freeze/thaw cycles.
注意事项
This product as supplied is intended for research use only, not for use in human, therapeutic or diagnostic applications.
产品介绍
Hox程序的信息输出并有调节运动神经元功能。FoxP1在Hox敏感型运动柱中表达,使FoxP1失活能消除运动神经元Hox网络的信息输出,并将脊髓运动系统回复到原始状。
FoxP1的减少同样改变运动神经元连结性模式, 肢体运动神经似乎会随机选择目标肌肉和作用路径。单个的FoxP1转录因子能以Hox辅助因子的形式整合各种神经元种类的连结性。
Hox蛋白:哺乳动物的同源盒基因由61个氨基酸残基组成的蛋白质保守结构域,称同源异型域。Hox基因在动物体的体节结构分化等空间信息调控中起着重要作用,按特异的空间模式赋予每一体节其自身的特点。Hox基因不但影响胚胎发育,在生殖过程中也起着重要的调节作用.
背景资料
This gene belongs to subfamily P of the forkhead box (FOX) transcription factor family. Forkhead box transcription factors play important roles in the regulation of tissue- and cell type-specific gene transcription during both development and adulthood. Forkhead box P1 protein contains both DNA-binding- and protein-protein binding-domains. This gene may act as a tumor suppressor as it is lost in several tumor types and maps to a chromosomal region (3p14.1) reported to contain a tumor suppressor gene(s). Alternative splicing results in multiple transcript variants encoding different isoforms. [provided by RefSeq, Jul 2008]
叉头蛋白P1重组兔单抗叉头蛋白P1重组兔单抗叉头蛋白P1重组兔单抗叉头蛋白P1重组兔单抗叉头蛋白P1重组兔单抗叉头蛋白P1重组兔单抗叉头蛋白P1重组兔单抗叉头蛋白P1重组兔单抗叉头蛋白P1重组兔单抗叉头蛋白P1重组兔单抗

产品应用

应用已检合格种属预测种属推荐稀释比例
WBHumanMouse1:500-2000
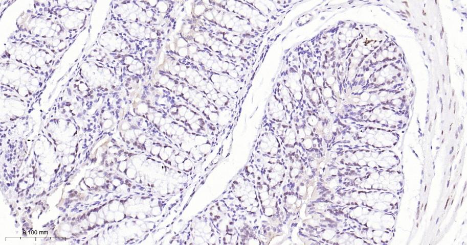
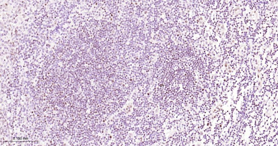
IHC-PHuman, Mouse1:50-200
IHC-FHuman, Mouse1:50-200
IFHuman, Mouse1:50-200
Flow-CytHuman, Mouse1:50-100
ICC/IFHuman, Mouse1:50-200

交叉反应

交叉反应: Human, Mouse

相关产品

暂无相关产品

靶标

基因名
FOXP1
蛋白名
Forkhead box protein P1
亚基
Forms homodimers and heterodimers with FOXP2 and FOXP4. Dimerization is required for DNA-binding. Interacts with CTBP1.
亚细胞定位
Nucleus.
组织特异性
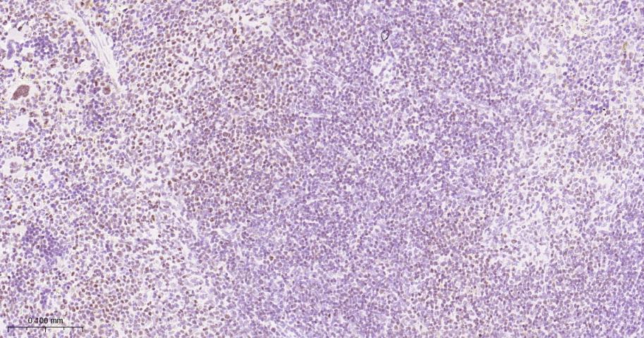
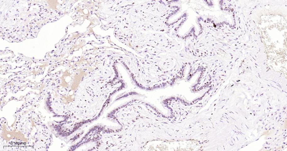
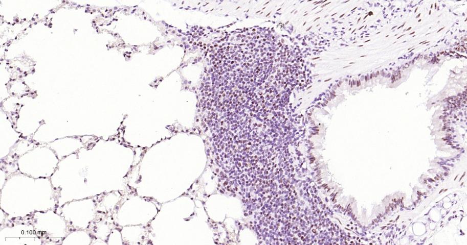
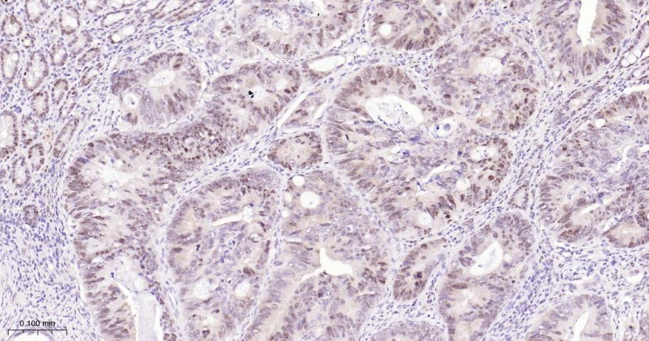
Highest expression in the lung, brain, and spleen. Lower expression in heart, skeletal muscle, kidney, small intestine (isoform 3 not present) and liver.
相似性
Contains 1 C2H2-type zinc finger.
Contains 1 fork-head DNA-binding domain.
功能
Transcriptional repressor. It plays an important role in the specification and differentiation of lung epithelium. Can act with CTBP1 to synergistically repress transcription but CTPBP1 is not essential. Essential transcriptional regulator of B cell development.

标记抗体

暂无标记数据

同靶标产品

暂无同靶标产品

相关文献

提示: 发表研究结果有使用 bsm-52078R 时请让我们知道,以便我们可以引用参考文章。作为回馈,资料提供者将获得我们送上的小礼品。

暂无相关文献

常见问题

暂无常见问题