细胞角蛋白16重组兔单抗

Rrmab?兔单抗
2026-03-02~2026-04-30,KXJ26032026-03-02~2026-04-30,促销赠品
细胞角蛋白16重组兔单抗
货号:bsm-52056R
产品详情
相关标记
相关产品
相关文献
常见问题

概述

产品编号
bsm-52056R
产品类型
重组兔单抗、mIHC精品抗体
英文名称
Cytokeratin 16 Recombinant Rabbit mAb
中文名称
细胞角蛋白16重组兔单抗
英文别名
CK16; FNEPPK; K16; K1CP; KRT16A; NEPPK; PC1; K1C16_HUMAN; KRT16; Cytokeratin-16 (CK-16); Keratin-16 (K16);
抗体来源
Rabbit
免疫原
Recombinant human Cytokeratin 16 protein (1-100aa)
亚型
IgG
性状
Liquid
纯化方法
affinity purified by Protein A
克隆类型
Recombinant
克隆号
1A4
理论分子量
51 kDa
浓度
1mg/ml
储存液
0.01M TBS (pH7.4) with 1% BSA, 0.02% Proclin300 and 50% Glycerol.
SWISS
Gene ID
保存条件
Shipped at 4℃. Store at -20℃ for one year. Avoid repeated freeze/thaw cycles.
注意事项
This product as supplied is intended for research use only, not for use in human, therapeutic or diagnostic applications.
背景资料
The protein encoded by this gene is a member of the keratin gene family. The keratins are intermediate filament proteins responsible for the structural integrity of epithelial cells and are subdivided into cytokeratins and hair keratins. Most of the type I cytokeratins consist of acidic proteins which are arranged in pairs of heterotypic keratin chains and are clustered in a region of chromosome 17q12-q21. This keratin has been coexpressed with keratin 14 in a number of epithelial tissues, including esophagus, tongue, and hair follicles. Mutations in this gene are associated with type 1 pachyonychia congenita, non-epidermolytic palmoplantar keratoderma and unilateral palmoplantar verrucous nevus. [provided by RefSeq, Jul 2008].
细胞角蛋白16重组兔单抗细胞角蛋白16重组兔单抗细胞角蛋白16重组兔单抗细胞角蛋白16重组兔单抗细胞角蛋白16重组兔单抗细胞角蛋白16重组兔单抗

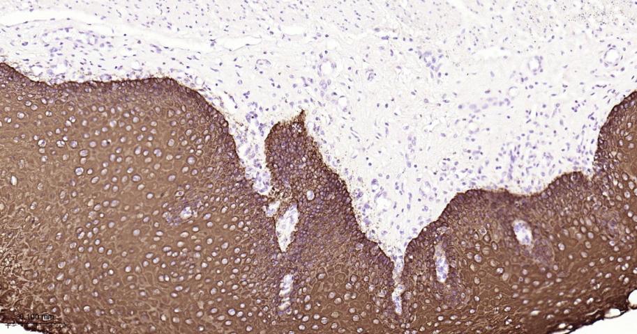
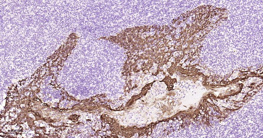
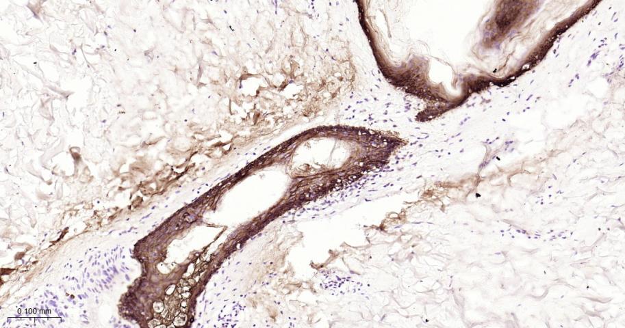
产品应用

应用已检合格种属预测种属推荐稀释比例
WBHuman1:500-2000
IHC-PHuman1:100-500
IHC-FHuman1:100-500
IFHuman1:100-500
Flow-CytHuman1:50-100
ICC/IFHuman1:50-200

交叉反应

交叉反应: Human

相关产品

暂无相关产品

靶标

基因名
KRT16
蛋白名
Keratin, type I cytoskeletal 16
亚基
Heterodimer of a type I and a type II keratin. KRT16 associates with KRT6 isomers. Interacts with TCHP. Interacts with TRADD.
组织特异性
Expressed in the hair follicle, nail bed and in mucosal stratified squamous epithelia and, suprabasally, in oral epithelium and palmoplantar epidermis. Also found in luminal cells of sweat and mammary gland ducts.
疾病
Pachyonychia congenita 1 (PC1) [MIM:167200]: An autosomal dominant ectodermal dysplasia characterized by hypertrophic nail dystrophy resulting in onchyogryposis (thickening and increase in curvature of the nail), palmoplantar keratoderma, follicular hyperkeratosis, and oral leukokeratosis. Hyperhidrosis of the hands and feet is usually present. Note=The disease is caused by mutations affecting the gene represented in this entry.
Keratoderma, palmoplantar, non-epidermolytic, focal (FNEPPK) [MIM:613000]: A dermatological disorder characterized by non-epidermolytic palmoplantar keratoderma limited to the pressure points on the balls of the feet, with later mild involvement on the palms. Oral, genital and follicular keratotic lesions are often present. Note=The disease is caused by mutations affecting the gene represented in this entry.
Unilateral palmoplantar verrucous nevus (UPVN) [MIM:144200]: UPVN is characterized by a localized epidermolytic hyperkeratosis in parts of the right palm and the right sole, following the lines of Blaschko. Note=The disease is caused by mutations affecting the gene represented in this entry.
Note=KRT16 and KRT17 are coexpressed only in pathological situations such as metaplasias and carcinomas of the uterine cervix and in psoriasis vulgaris.
相似性
Belongs to the intermediate filament family.

标记抗体

暂无标记数据

同靶标产品

暂无同靶标产品

相关文献

提示: 发表研究结果有使用 bsm-52056R 时请让我们知道,以便我们可以引用参考文章。作为回馈,资料提供者将获得我们送上的小礼品。

暂无相关文献

常见问题

暂无常见问题