细胞角蛋白15重组兔单抗

Rrmab?兔单抗
2026-03-02~2026-04-30,KXJ26032026-03-02~2026-04-30,促销赠品
细胞角蛋白15重组兔单抗
货号:bsm-52055R
产品详情
相关标记
相关产品
相关文献
常见问题

概述

产品编号
bsm-52055R
产品类型
重组兔单抗、mIHC精品抗体
英文名称
Cytokeratin 15 Recombinant Rabbit mAb
中文名称
细胞角蛋白15重组兔单抗
英文别名
CK15; K15; K1CO; Krt1-15; Ka15; K1C15_HUMAN; KRT15; Cytokeratin-15 (CK-15); Keratin-15 (K15); KRTB; K1C15_MOUSE; K1C15_RAT; Type I keratin Ka15;
抗体来源
Rabbit
免疫原
Recombinant human Cytokeratin 15 protein, around C-terminal 100aa
亚型
IgG
性状
Liquid
纯化方法
affinity purified by Protein A
克隆类型
Recombinant
克隆号
2B11
理论分子量
49 kDa
浓度
1mg/ml
储存液
0.01M TBS (pH7.4) with 1% BSA, 0.02% Proclin300 and 50% Glycerol.
SWISS
Gene ID
保存条件
Shipped at 4℃. Store at -20℃ for one year. Avoid repeated freeze/thaw cycles.
注意事项
This product as supplied is intended for research use only, not for use in human, therapeutic or diagnostic applications.
产品介绍
结构蛋白(Structural Proteins)
细胞角蛋白15对角质形成和细胞增殖活性起到一定的作用。
背景资料
The protein encoded by this gene is a member of the keratin gene family. The keratins are intermediate filament proteins responsible for the structural integrity of epithelial cells and are subdivided into cytokeratins and hair keratins. Most of the type I cytokeratins consist of acidic proteins which are arranged in pairs of heterotypic keratin chains and are clustered in a region on chromosome 17q21.2. [provided by RefSeq].
细胞角蛋白15重组兔单抗细胞角蛋白15重组兔单抗细胞角蛋白15重组兔单抗细胞角蛋白15重组兔单抗细胞角蛋白15重组兔单抗细胞角蛋白15重组兔单抗细胞角蛋白15重组兔单抗细胞角蛋白15重组兔单抗细胞角蛋白15重组兔单抗细胞角蛋白15重组兔单抗

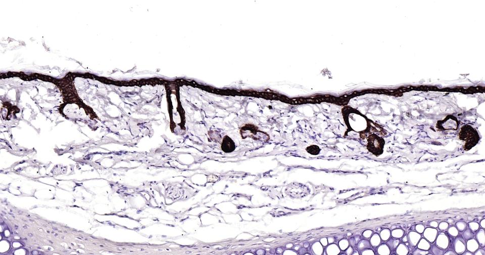
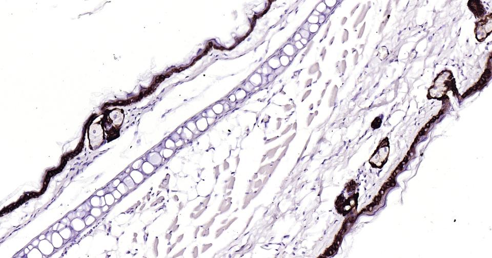
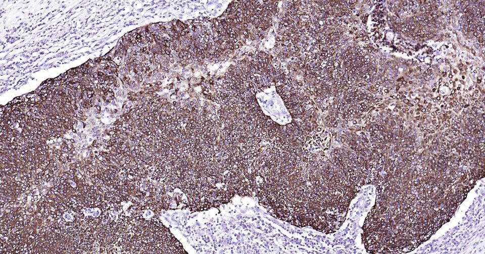
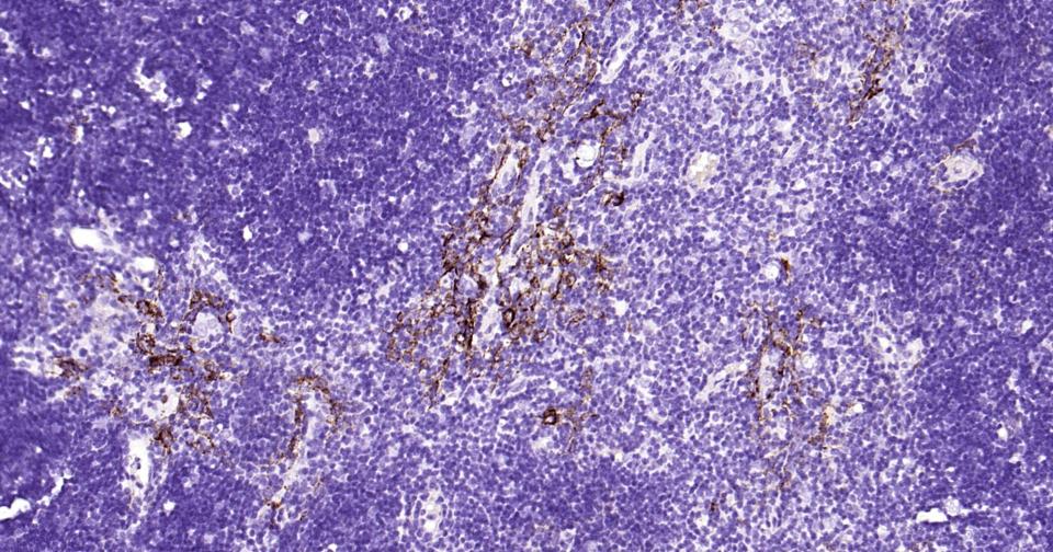
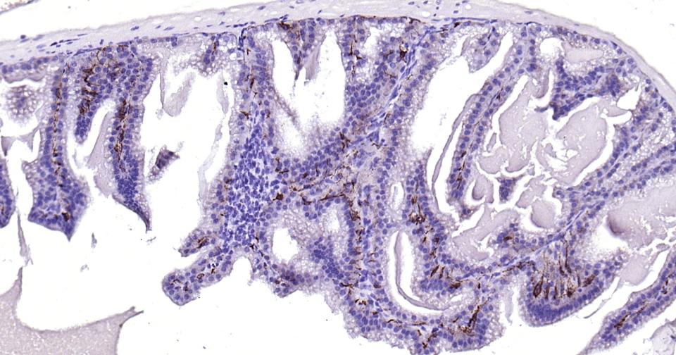
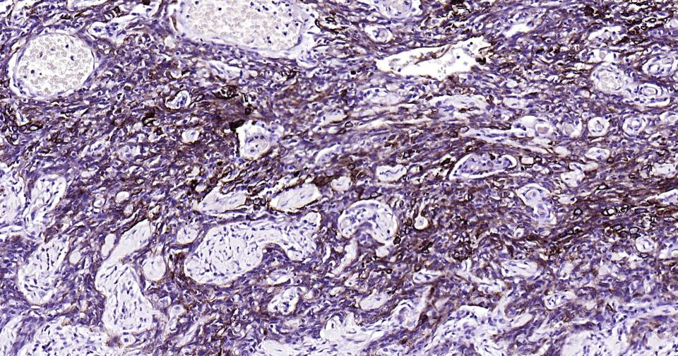
产品应用

应用已检合格种属预测种属推荐稀释比例
IHC-PHuman, Mouse, Rat1:200-1000
IHC-FHuman, Mouse, Rat1:200-1000
IFHuman, Mouse, Rat1:200-1000

交叉反应

交叉反应: Human, Mouse, Rat

相关产品

暂无相关产品

靶标

基因名
KRT15
蛋白名
Keratin, type I cytoskeletal 15
亚基
Heterotetramer of two type I and two type II keratins.
亚细胞定位
Expressed in a discontinuous manner in the basal cell layer of adult skin epidermis, but continuously in the basal layer of fetal skin epidermis and nail. Also expressed in the outer root sheath above the hair bulb in hair follicle (at protein level). Expressed homogeneously in all cell layers of the esophagus and exocervix, but detected in the basal cell layer only of oral mucosa, skin and in the basal plus the next two layers of the suprabasal epithelium of the palate.
组织特异性
Expressed in a discontinuous manner in the basal cell layer of adult skin epidermis, but continuously in the basal layer of fetal skin epidermis and nail. Also expressed in the outer root sheath above the hair bulb in hair follicle (at protein level). Expressed homogeneously in all cell layers of the esophagus and exocervix, but detected in the basal cell layer only of oral mucosa, skin and in the basal plus the next two layers of the suprabasal epithelium of the palate.
相似性
Belongs to the intermediate filament family.

标记抗体

暂无标记数据

同靶标产品

暂无同靶标产品

相关文献

提示: 发表研究结果有使用 bsm-52055R 时请让我们知道,以便我们可以引用参考文章。作为回馈,资料提供者将获得我们送上的小礼品。

暂无相关文献

常见问题

暂无常见问题