KRT14/CK-14 Recombinant Rabbit mAb (一抗) - IHC-P,IHC-F,IF | Bioss

Rrmab?兔单抗
2026-05-01~2026-06-30,AB2605
KRT14/CK-14 Recombinant Rabbit mAb (一抗) - IHC-P,IHC-F,IF | Bioss
货号:bsm-52054R
产品详情
相关标记
相关产品
相关文献
常见问题

概述

产品编号
bsm-52054R
产品类型
重组兔单抗、病理级抗体、mIHC精品抗体
英文名称
KRT14/CK-14 Recombinant Rabbit mAb
中文名称
细胞角蛋白14重组兔单抗
英文别名
CK14; EBS1; EBS1A; EBS1B; EBS1C; EBS1D; EBS3; EBS4; K14; NFJ; CK-14; Krt-1.14; Krt1-14; K1C14_HUMAN; KRT14; Cytokeratin-14 (CK-14); Keratin-14 (K14); K1C14_MOUSE; keratin 14; keratin 14 (epidermolysis bullosa simplex, Dowling-Meara, Koebner); keratin 14, type I; epidermolysis bullosa simplex, Dowling-Meara, Koebner
抗体来源
Rabbit
免疫原
Recombinant human Cytokeratin 14 protein, around C-terminal 150aa
亚型
IgG
性状
Liquid
纯化方法
affinity purified by Protein A
克隆类型
Recombinant
克隆号
2F11
理论分子量
52 kDa
浓度
1mg/ml
储存液
0.01M TBS (pH7.4) with 1% BSA, 0.02% Proclin300 and 50% Glycerol.
SWISS
Gene ID
保存条件
Shipped at 4℃. Store at -20℃ for one year. Avoid repeated freeze/thaw cycles.
注意事项
This product as supplied is intended for research use only, not for use in human, therapeutic or diagnostic applications.
产品介绍
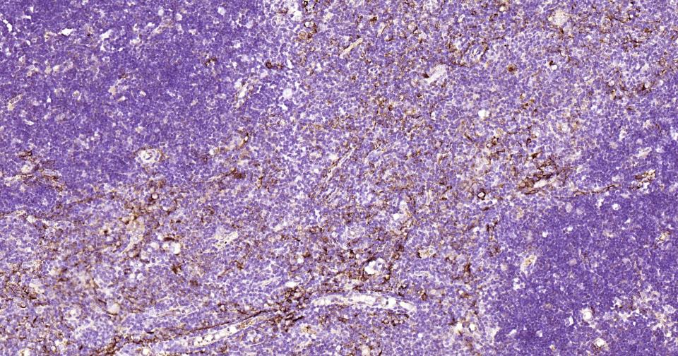
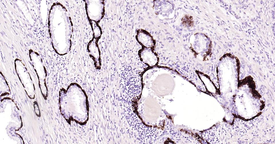
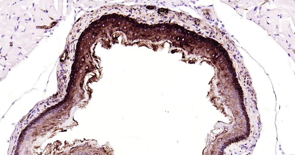
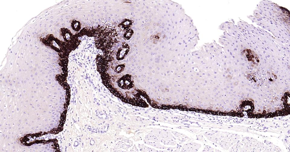
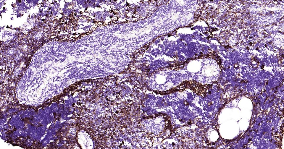
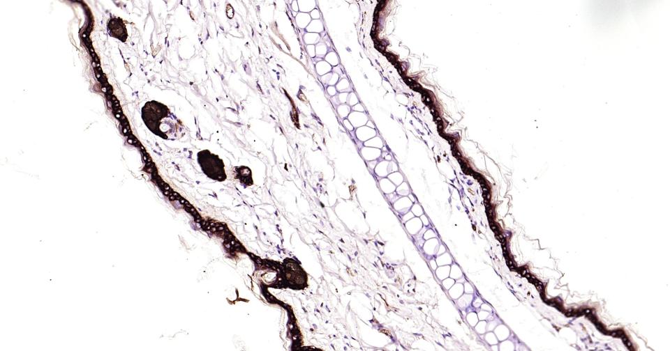
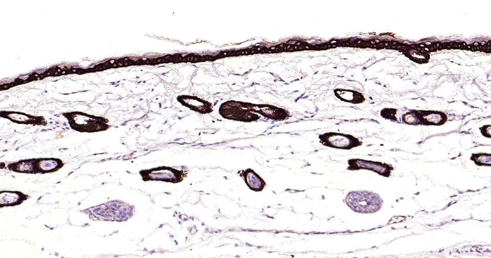
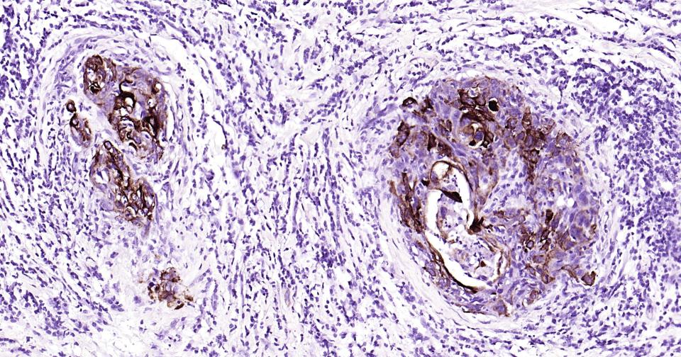
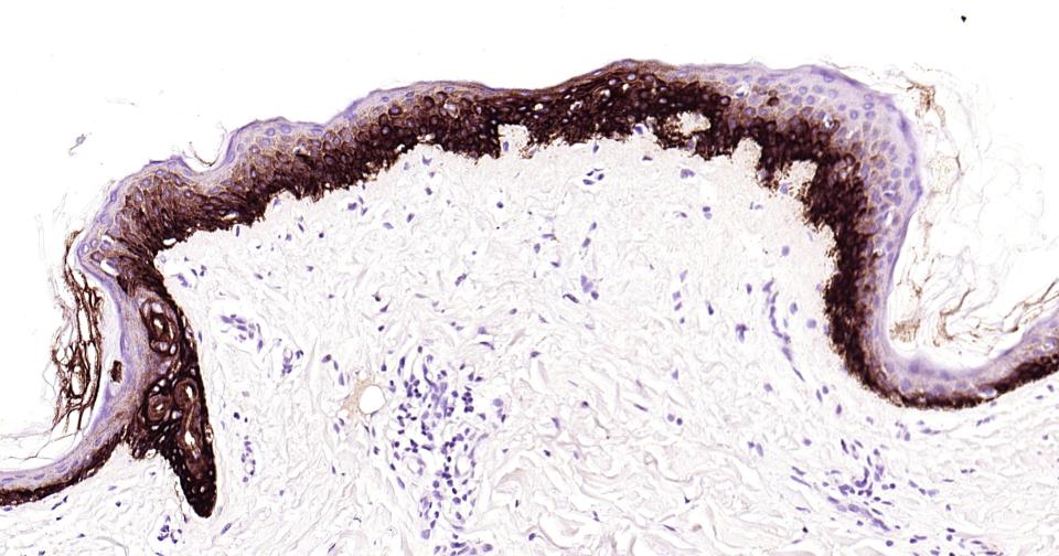
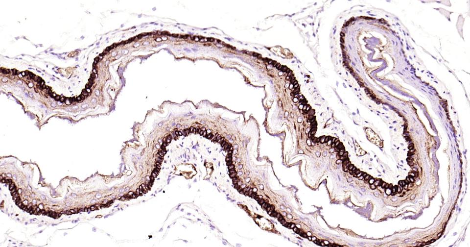
CK14属于酸性角蛋白。在乳腺腺体和导管肌上皮细胞、唾液腺腺泡和导管的肌上皮细胞以及鳞状上皮的基底细胞中阳性表达。大多数鳞状细胞癌表达阳性,并且阳性表达的频率与其分化程度无明显关系。主要用于鳞状细胞癌的判断,尤其用于低分化鳞癌判断中。
背景资料
This gene encodes a member of the keratin family, the most diverse group of intermediate filaments. This gene product, a type I keratin, is usually found as a heterotetramer with two keratin 5 molecules, a type II keratin. Together they form the cytoskeleton of epithelial cells. Mutations in the genes for these keratins are associated with epidermolysis bullosa simplex. At least one pseudogene has been identified at 17p12-p11. [provided by RefSeq].
细胞角蛋白14重组兔单抗-bsm-52054R细胞角蛋白14重组兔单抗-bsm-52054R细胞角蛋白14重组兔单抗-bsm-52054R细胞角蛋白14重组兔单抗-bsm-52054R细胞角蛋白14重组兔单抗-bsm-52054R细胞角蛋白14重组兔单抗-bsm-52054R细胞角蛋白14重组兔单抗-bsm-52054R细胞角蛋白14重组兔单抗-bsm-52054R细胞角蛋白14重组兔单抗-bsm-52054R细胞角蛋白14重组兔单抗-bsm-52054R细胞角蛋白14重组兔单抗-bsm-52054R细胞角蛋白14重组兔单抗-bsm-52054R细胞角蛋白14重组兔单抗-bsm-52054R细胞角蛋白14重组兔单抗-bsm-52054R细胞角蛋白14重组兔单抗-bsm-52054R细胞角蛋白14重组兔单抗-bsm-52054R细胞角蛋白14重组兔单抗-bsm-52054R

产品应用

应用已检合格种属预测种属推荐稀释比例
IHC-PHuman, Mouse, Rat1:200-1000
IHC-FHuman, Mouse, Rat1:200-1000
IFHuman, Mouse, Rat1:200-1000

交叉反应

交叉反应: Human, Mouse, Rat

相关产品

暂无相关产品

靶标

基因名
KRT14
蛋白名
Keratin, type I cytoskeletal 14
亚基
Heterotetramer of two type I and two type II keratins. keratin-14 associates with keratin-5. Interacts with TRADD and with keratin filaments. Associates with other type I keratins.
亚细胞定位
Cytoplasm. Nucleus. Note=Expressed in both as a filamentous pattern.
组织特异性
Detected in the basal layer, lowered within the more apically located layers specifically in the stratum spinosum, stratum granulosum but is not detected in stratum corneum. Strongly expressed in the outer root sheath of anagen follicles but not in the germinative matrix, inner root sheath or hair. Found in keratinocytes surrounding the club hair during telogen.
翻译后修饰
A disulfide bond is formed between rather than within filaments and promotes the formation of a keratin filament cage around the nucleus.
疾病
Epidermolysis bullosa simplex, Dowling-Meara type (DM-EBS) [MIM:131760]: A severe form of intraepidermal epidermolysis bullosa characterized by generalized herpetiform blistering, milia formation, dystrophic nails, and mucous membrane involvement. Note=The disease is caused by mutations affecting the gene represented in this entry.
Epidermolysis bullosa simplex, Weber-Cockayne type (WC-EBS) [MIM:131800]: A form of intraepidermal epidermolysis bullosa characterized by blistering limited to palmar and plantar areas of the skin. Note=The disease is caused by mutations affecting the gene represented in this entry.
Epidermolysis bullosa simplex, Koebner type (K-EBS) [MIM:131900]: A form of intraepidermal epidermolysis bullosa characterized by generalized skin blistering. The phenotype is not fundamentally distinct from the Dowling-Meara type, although it is less severe. Note=The disease is caused by mutations affecting the gene represented in this entry.
Epidermolysis bullosa simplex, autosomal recessive (AREBS) [MIM:601001]: An intraepidermal epidermolysis bullosa characterized by localized blistering on the dorsal, lateral and plantar surfaces of the feet. Note=The disease is caused by mutations affecting the gene represented in this entry.
Naegeli-Franceschetti-Jadassohn syndrome (NFJS) [MIM:161000]: A rare autosomal dominant form of ectodermal dysplasia. The cardinal features are absence of dermatoglyphics (fingerprints), reticular cutaneous hyperpigmentation (starting at about the age of 2 years without a preceding inflammatory stage), palmoplantar keratoderma, hypohidrosis with diminished sweat gland function and discomfort provoked by heat, nail dystrophy, and tooth enamel defects. Note=The disease is caused by mutations affecting the gene represented in this entry.
Dermatopathia pigmentosa reticularis (DPR) [MIM:125595]: A rare ectodermal dysplasia characterized by lifelong persistent reticulate hyperpigmentation, non-cicatricial alopecia, and nail dystrophy. Variable features include adermatoglyphia, hypohidrosis or hyperhidrosis, and palmoplantar hyperkeratosis. Note=The disease is caused by mutations affecting the gene represented in this entry.
相似性
Belongs to the intermediate filament family.
功能
The nonhelical tail domain is involved in promoting KRT5-KRT14 filaments to self-organize into large bundles and enhances the mechanical properties involved in resilience of keratin intermediate filaments in vitro.

同靶标产品

相关文献

提示: 发表研究结果有使用 bsm-52054R 时请让我们知道,以便我们可以引用参考文章。作为回馈,资料提供者将获得我们送上的小礼品。
具体参考文献:bsm-52054R 被引用于3文献中

常见问题