Cytokeratin 1 Recombinant Rabbit mAb (一抗) - WB,IHC-P,IHC-F,ICC/IF,IF | Bioss

Rrmab?兔单抗
2026-03-02~2026-04-30,KXJ26032026-03-02~2026-04-30,促销赠品
Cytokeratin 1 Recombinant Rabbit mAb (一抗) - WB,IHC-P,IHC-F,ICC/IF,IF | Bioss
货号:bsm-52051R
产品详情
相关标记
相关产品
相关文献
常见问题

概述

产品编号
bsm-52051R
产品类型
重组兔单抗
英文名称
Cytokeratin 1 Recombinant Rabbit mAb
中文名称
细胞角蛋白1重组兔单抗
英文别名
AEI2; CK1; EHK; EHK1; EPPK; K1; KRT1A; NEPPK; Krt-2.1; Krt2-1; Krt86; Kb1; K2C1_HUMAN; KRT1; 67 kDa cytokeratin; Cytokeratin-1 (CK-1); Hair alpha protein; Keratin-1 (K1); Type-II keratin Kb1; KRTA; K2C1_MOUSE; K2C1_RAT;
抗体来源
Rabbit
免疫原
A synthesized peptide derived from human Cytokeratin 1: 600-644
亚型
IgG
性状
Liquid
纯化方法
affinity purified by Protein A
克隆类型
Recombinant
克隆号
1C2
理论分子量
70 kDa
检测分子量
65 kDa
浓度
1mg/ml
储存液
0.01M TBS (pH7.4) with 1% BSA, 0.02% Proclin300 and 50% Glycerol.
SWISS
Gene ID
保存条件
Shipped at 4℃. Store at -20℃ for one year. Avoid repeated freeze/thaw cycles.
注意事项
This product as supplied is intended for research use only, not for use in human, therapeutic or diagnostic applications.
产品介绍
结构蛋白(Structural Proteins)
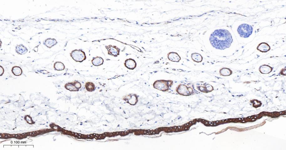
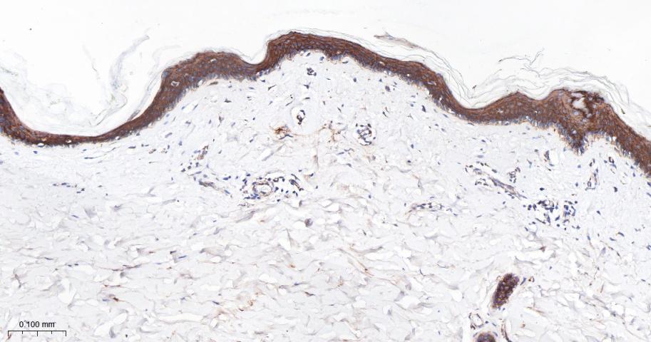
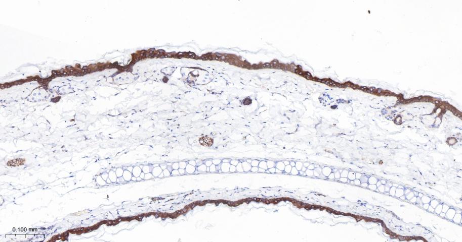
细胞角蛋白常用于肿瘤细胞的分化、增殖及转移方面的研究。有学者认为:在肿瘤细胞分化过程中有细胞角蛋白的表达,把细胞角蛋白作为肿瘤干细胞的标志物。阳性部位:主要在胞浆。CK119, CK8, CK19同源.
背景资料
The protein encoded by this gene is a member of the keratin gene family. The type II cytokeratins consist of basic or neutral proteins which are arranged in pairs of heterotypic keratin chains coexpressed during differentiation of simple and stratified epithelial tissues. This type II cytokeratin is specifically expressed in the spinous and granular layers of the epidermis with family member KRT10 and mutations in these genes have been associated with bullous congenital ichthyosiform erythroderma. The type II cytokeratins are clustered in a region of chromosome 12q12-q13. [provided by RefSeq].
细胞角蛋白1重组兔单抗-bsm-52051R细胞角蛋白1重组兔单抗-bsm-52051R细胞角蛋白1重组兔单抗-bsm-52051R细胞角蛋白1重组兔单抗-bsm-52051R

产品应用

应用已检合格种属预测种属推荐稀释比例
WBHumanMouse, Rat1:500-2000
IHC-PHuman, Mouse, Rat1:100-500
IHC-FHuman, Mouse, Rat1:100-500
IFHuman, Mouse, Rat1:100-500
ICC/IFHuman, Mouse, Rat1:50-200

交叉反应

交叉反应: Human, Mouse, Rat

相关产品

暂无相关产品

靶标

基因名
KRT1
蛋白名
Keratin, type II cytoskeletal 1
亚基
Heterotetramer of two type I and two type II keratins. Keratin-1 is generally associated with keratin-10. Interacts with ITGB1 in the presence of GNB2L1 and SRC, and with GNB2L1. Interacts with C1QBP; the association represents a cell surface kininogen receptor.
亚细胞定位
Cell membrane. Note=Located on plasma membrane of neuroblastoma NMB7 cells.
组织特异性
The source of this protein is neonatal foreskin. The 67-kDa type II keratins are expressed in terminally differentiating epidermis. Post-translational modifications : Undergoes deimination of some arginine residues (citrullination).
翻译后修饰
Undergoes deimination of some arginine residues (citrullination).
疾病
Defects in KRT1 are a cause of epidermolytic hyperkeratosis (EHK) [MIM:113800]. An autosomal dominant skin disorder characterized by widespread blistering and an ichthyotic erythroderma at birth that persist into adulthood. Histologically there is a diffuse epidermolytic degeneration in the lower spinous layer of the epidermis. Within a few weeks from birth, erythroderma and blister formation diminish and hyperkeratoses develop.
Defects in KRT1 are the cause of ichthyosis hystrix Curth-Macklin type (IHCM) [MIM:146590]. IHCM is a genodermatosis with severe verrucous hyperkeratosis. Affected individuals manifest congenital verrucous black scale on the scalp, neck, and limbs with truncal erythema, palmoplantar keratoderma and keratoses on the lips, ears, nipples and buttocks.
Defects in KRT1 are a cause of palmoplantar keratoderma non-epidermolytic (NEPPK) [MIM:600962]. NEPKK is a dermatological disorder characterized by focal palmoplantar keratoderma with oral, genital, and follicular lesions.
Defects in KRT1 are a cause of ichthyosis annular epidermolytic (AEI) [MIM:607602]; also known as cyclic ichthyosis with epidermolytic hyperkeratosis. AEI is a skin disorder resembling bullous congenital ichthyosiform erythroderma. Affected individuals present with bullous ichthyosis in early childhood and hyperkeratotic lichenified plaques in the flexural areas and extensor surfaces at later ages. The feature that distinguishes AEI from BCIE is dramatic episodes of flares of annular polycyclic plaques with scale, which coalesce to involve most of the body surface and can persist for several weeks or even months.
Defects in KRT1 are the cause of palmoplantar keratoderma striate type 3 (SPPK3) [MIM:607654]; also known as keratosis palmoplantaris striata III. SPPK3 is a dermatological disorder affecting palm and sole skin where stratum corneum and epidermal layers are thickened. There is no involvement of non-palmoplantar skin, and both hair and nails are normal.
相似性
Belongs to the intermediate filament family.
功能
May regulate the activity of kinases such as PKC and SRC via binding to integrin beta-1 (ITB1) and the receptor of activated protein kinase C (RACK1/GNB2L1). In complex with C1QBP is a high affinty receptor for kininogen-1/HMWK.

同靶标产品

相关文献

提示: 发表研究结果有使用 bsm-52051R 时请让我们知道,以便我们可以引用参考文章。作为回馈,资料提供者将获得我们送上的小礼品。
具体参考文献:bsm-52051R 被引用于1文献中

常见问题