5HT7 Receptor Rabbit pAb (一抗) | Bioss

2026-03-02~2026-04-30,KXJ26032026-03-02~2026-04-30,促销赠品
5HT7 Receptor Rabbit pAb (一抗) | Bioss
货号:bs-12056R
产品详情
相关标记
相关产品
相关文献
常见问题

概述

产品编号
bs-12056R
英文名称
5HT7 Receptor Rabbit pAb
中文名称
5-羟色胺受体7抗体
英文别名
5-HT7; 5-HT-X; 5Ht7; 5HT7R_CAVPO; HTR7; 5-HT-7; Serotonin receptor 7; 5HT7R_HUMAN; 5HT7R_MOUSE; 5HT7R_RAT; GPRFO;
抗体来源
Rabbit
免疫原
KLH conjugated synthetic peptide derived from human 5HT7 Receptor/SR-7: 51-150/479 <Extracellular>
亚型
IgG
性状
Liquid
纯化方法
affinity purified by Protein A
克隆类型
Polyclonal
理论分子量
54 kDa
检测分子量
50 kDa
浓度
1mg/ml
储存液
0.01M TBS (pH7.4) with 1% BSA, 0.02% Proclin300 and 50% Glycerol.
SWISS
Gene ID
保存条件
Shipped at 4℃. Store at -20℃ for one year. Avoid repeated freeze/thaw cycles.
注意事项
This product as supplied is intended for research use only, not for use in human, therapeutic or diagnostic applications.
背景资料
The neurotransmitter, serotonin, is thought to play a role in various cognitive and behavioral functions. The serotonin receptor encoded by this gene belongs to the superfamily of G protein-coupled receptors and the gene is a candidate locus for involvement in autistic disorder and other neuropsychiatric disorders. Three splice variants have been identified which encode proteins that differ in the length of their carboxy terminal ends. [provided by RefSeq, Jul 2008]
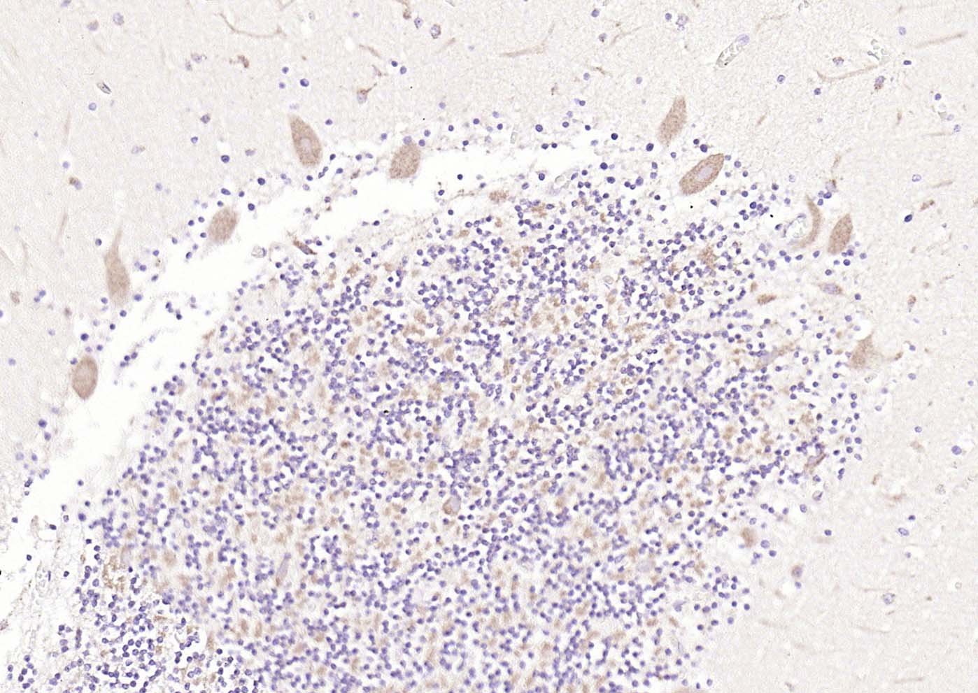
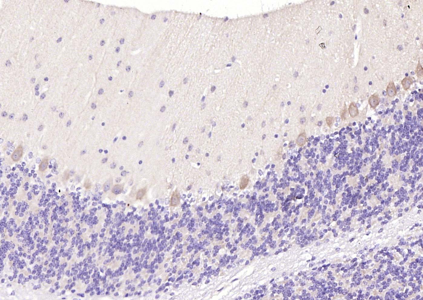
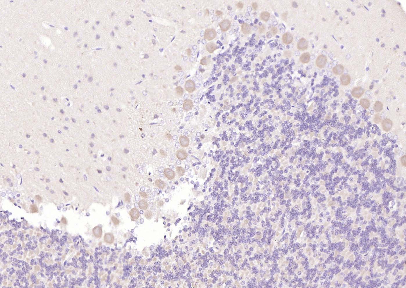
5-羟色胺受体7抗体-bs-12056R5-羟色胺受体7抗体-bs-12056R5-羟色胺受体7抗体-bs-12056R5-羟色胺受体7抗体-bs-12056R5-羟色胺受体7抗体-bs-12056R

产品应用

应用已检合格种属预测种属推荐稀释比例
WBMouse, RatHuman1:500-2000
IHC-PHuman, Mouse, Rat1:100-500
IHC-FHuman, Mouse, Rat1:100-500
IFHuman, Mouse, Rat1:100-500

交叉反应

交叉反应: Human, Mouse, Rat

相关产品

暂无相关产品

靶标

基因名
HTR7
蛋白名
5-hydroxytryptamine receptor 7
亚细胞定位
Cell membrane; Multi-pass membrane protein.
组织特异性
Isoform A is the predominant isoform in spleen, caudate and hippocampus.
Isoform B is expressed at lower levels. Isoform D is a minor isoform in term of expression.
相似性
Belongs to the G-protein coupled receptor 1 family.
功能
This is one of the several different receptors for 5-hydroxytryptamine (serotonin), a biogenic hormone that functions as a neurotransmitter, a hormone, and a mitogen. The activity of this receptor is mediated by G proteins that stimulate adenylate cyclase.

同靶标产品

相关文献

提示: 发表研究结果有使用 bs-12056R 时请让我们知道,以便我们可以引用参考文章。作为回馈,资料提供者将获得我们送上的小礼品。
具体参考文献:bs-12056R 被引用于1文献中

常见问题