

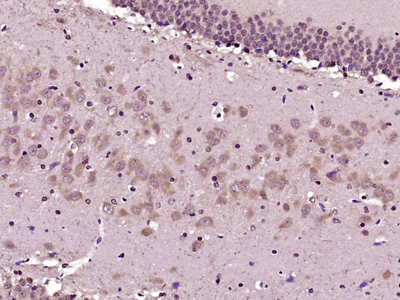
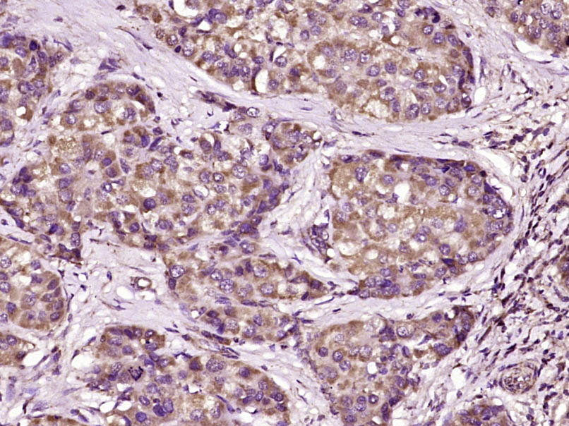
| 应用 | 已检合格种属 | 预测种属 | 推荐稀释比例 |
|---|---|---|---|
| IHC-P | Human, Rat | Mouse, Rabbit, Pig, Sheep, Cow, Dog | 1:100-500 |
| IHC-F | Human, Rat | Mouse, Rabbit, Pig, Sheep, Cow, Dog | 1:100-500 |
| IF | Human, Rat | Mouse, Rabbit, Pig, Sheep, Cow, Dog | 1:100-500 |
交叉反应: Human, Rat (predicted: Mouse, Rabbit, Pig, Sheep, Cow, Dog)
暂无相关产品