CD68 Rabbit pAb (一抗) - WB,IHC-P,IHC-F,IF | Bioss

2026-05-01~2026-06-30,AB2605
CD68 Rabbit pAb (一抗) - WB,IHC-P,IHC-F,IF | Bioss
货号:bs-20402R
产品详情
相关标记
相关产品
相关文献
常见问题

概述

产品编号
bs-20402R
产品类型
mIHC精品抗体
英文名称
CD68 Rabbit pAb
中文名称
CD68抗体
英文别名
GP110; LAMP4; SCARD1; CD68_HUMAN; CD68; CD68_MOUSE; CD68 molecule; CD68 antigen; scavenger receptor class D, member 1; macrophage antigen CD68; macrosialin
抗体来源
Rabbit
免疫原
KLH conjugated synthetic peptide derived from mouse CD68: 111-210/335 <Extracellular>
亚型
IgG
性状
Liquid
纯化方法
affinity purified by Protein A
克隆类型
Polyclonal
理论分子量
37 kDa
检测分子量
100 kDa
浓度
1mg/ml
储存液
Preservative: 0.02% Proclin300, Constituents: 1% BSA, 0.01M PBS, pH7.4.
SWISS
Gene ID
保存条件
Shipped at 4℃. Store at -20℃ for one year. Avoid repeated freeze/thaw cycles.
注意事项
This product as supplied is intended for research use only, not for use in human, therapeutic or diagnostic applications.
产品介绍
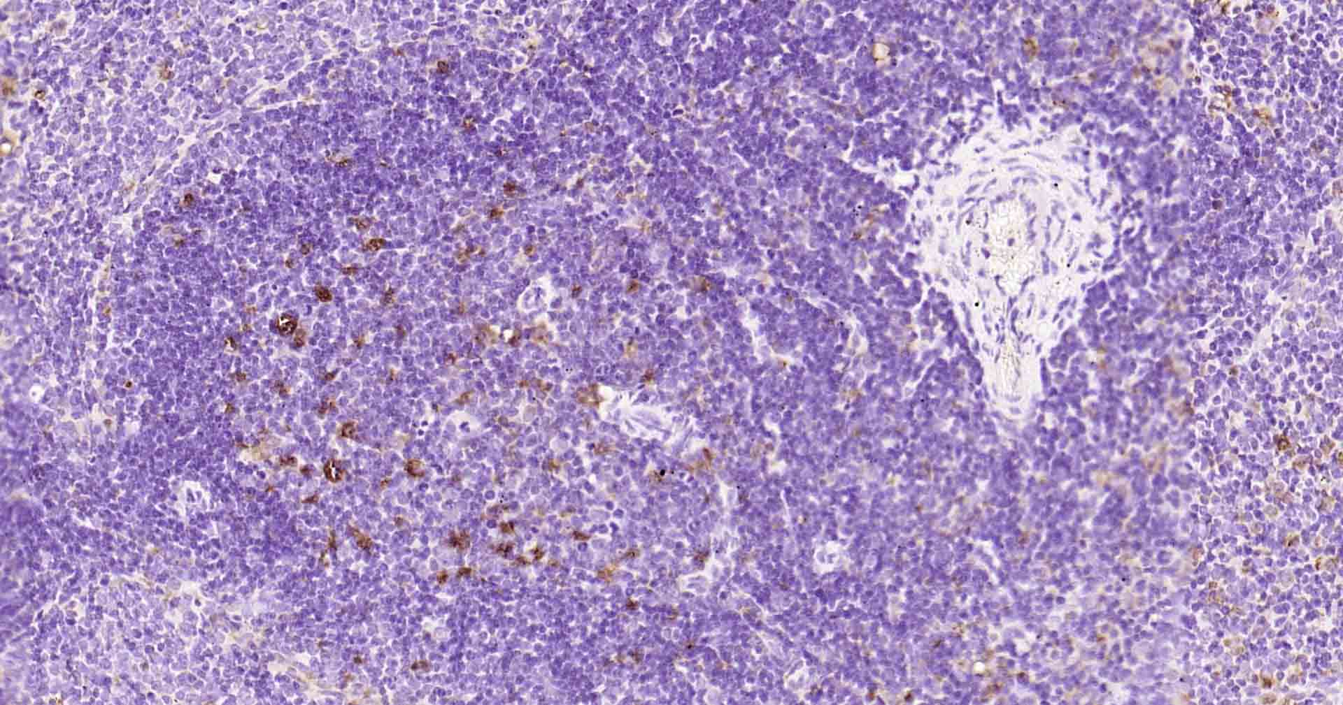
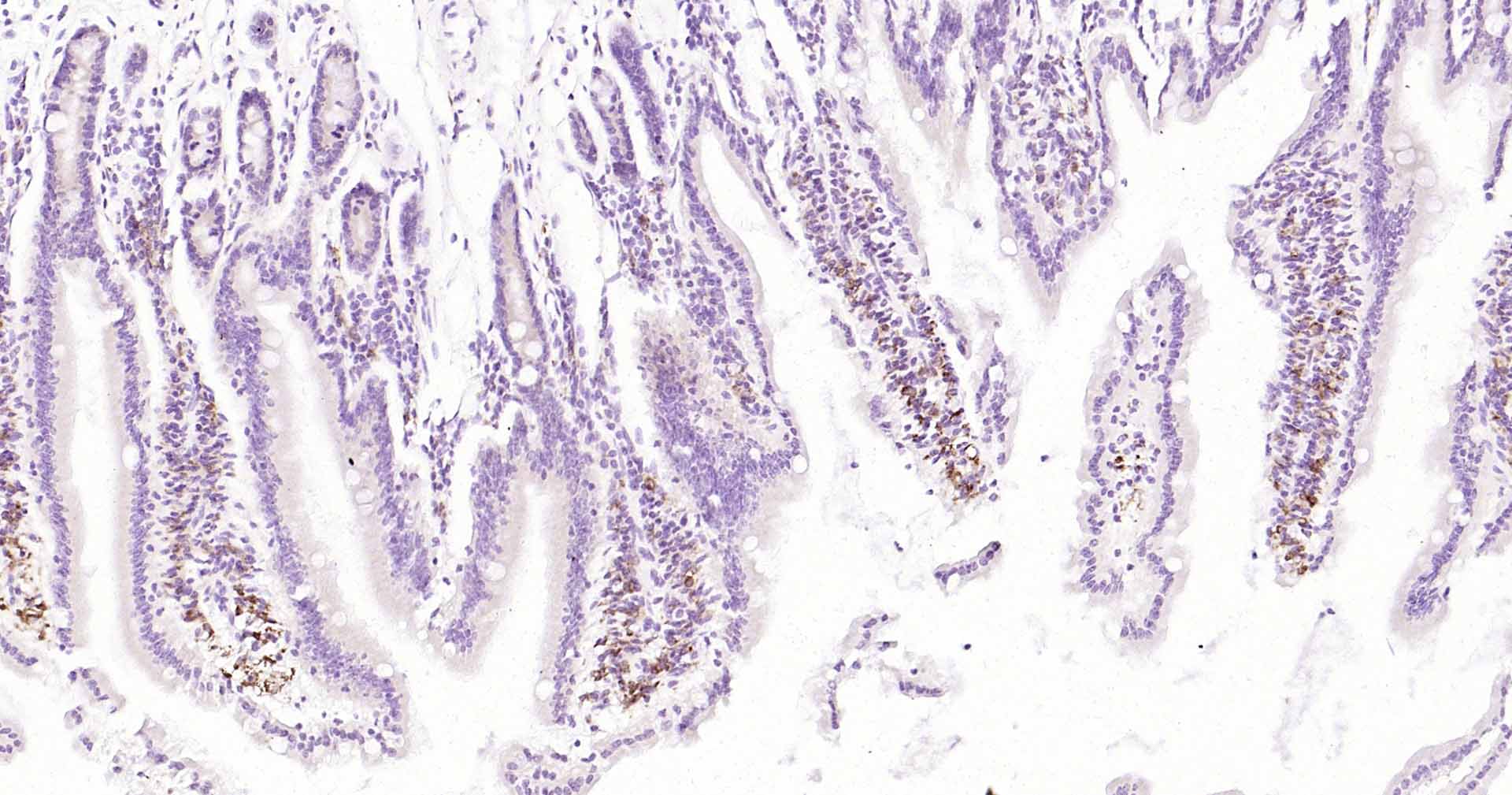
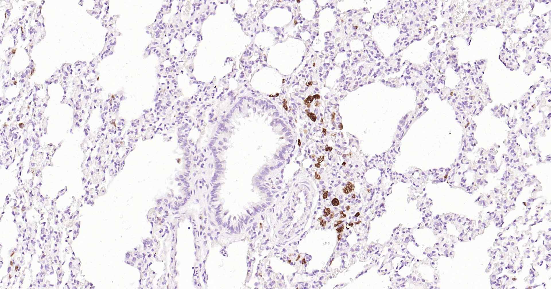
巨噬细胞标志物
CD68为巨噬细胞抗原又称酸性溶霉菌糖蛋白,表达在单核、巨嗜、粒细胞和一些梭形细胞呈阳性表达。
背景资料
This gene encodes a 110-kD transmembrane glycoprotein that is highly expressed by human monocytes and tissue macrophages. It is a member of the lysosomal/endosomal-associated membrane glycoprotein (LAMP) family. The protein primarily localizes to lysosomes and endosomes with a smaller fraction circulating to the cell surface. It is a type I integral membrane protein with a heavily glycosylated extracellular domain and binds to tissue- and organ-specific lectins or selectins. The protein is also a member of the scavenger receptor family. Scavenger receptors typically function to clear cellular debris, promote phagocytosis, and mediate the recruitment and activation of macrophages. Alternative splicing results in multiple transcripts encoding different isoforms. [provided by RefSeq, Jul 2008]
CD68 (Macrosialin) is a 110 kDa integral membrane glycoprotein predominantly expressed on the intracellular lysomsomes of monocytes and macrophages and to a lesser extent by dendritic cells and peripheral blood granulocytes. Also, CD68 could play a role in phagocytic activities of tissue macrophages, both in intracellular lysosomal metabolism and extracellular cell-cell and cell-pathogen interactions. CD68 is expressed by interdigitating reticulum cells in tonsil and some histiocytic lymphoma or histiocytosis, acute myeloid leukemia (AML), and granulocytic sarcoma. Elevated expression of CD68 has been demonstrated on CD34+ cells in various human malignancies, including several Acute Myeloid Leukemia studies.
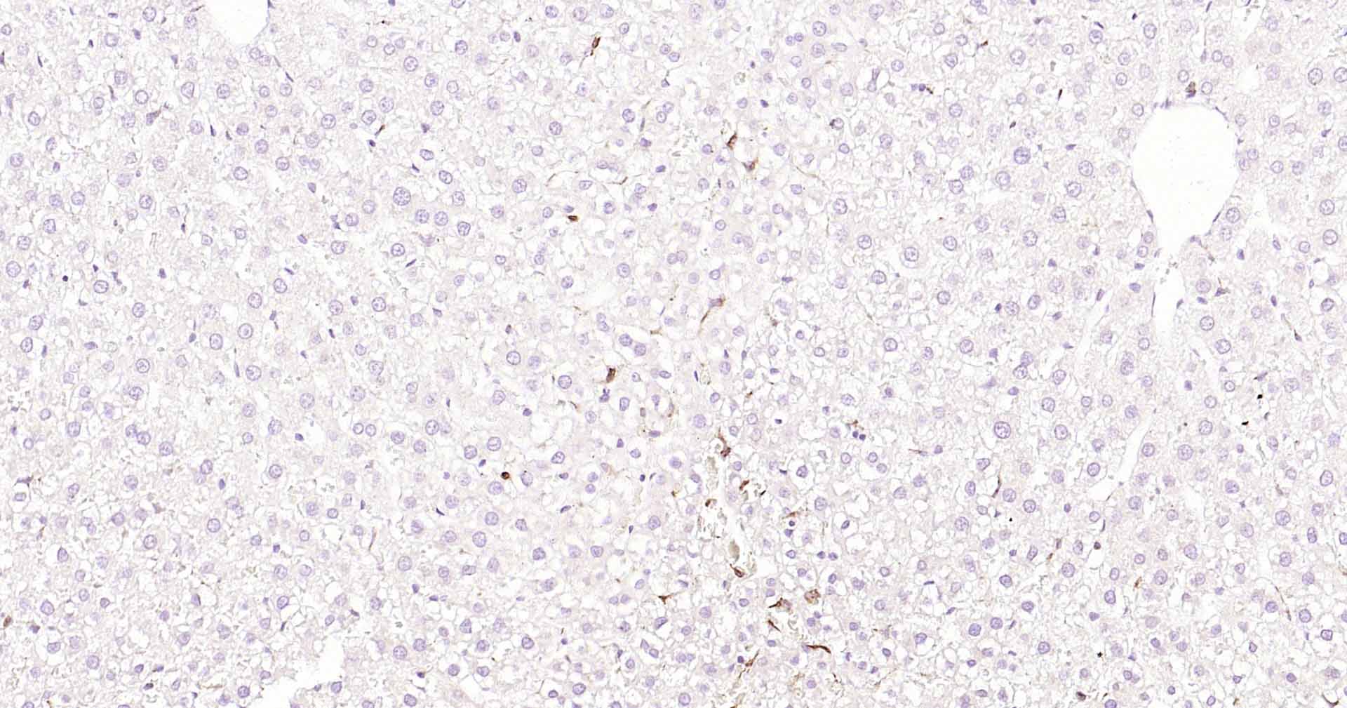
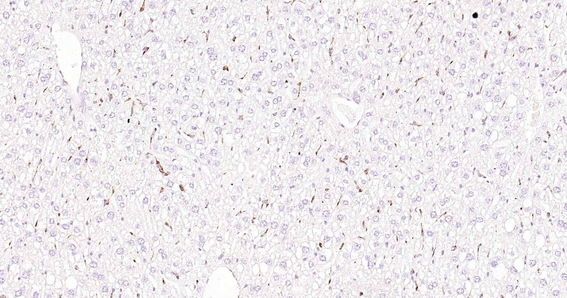
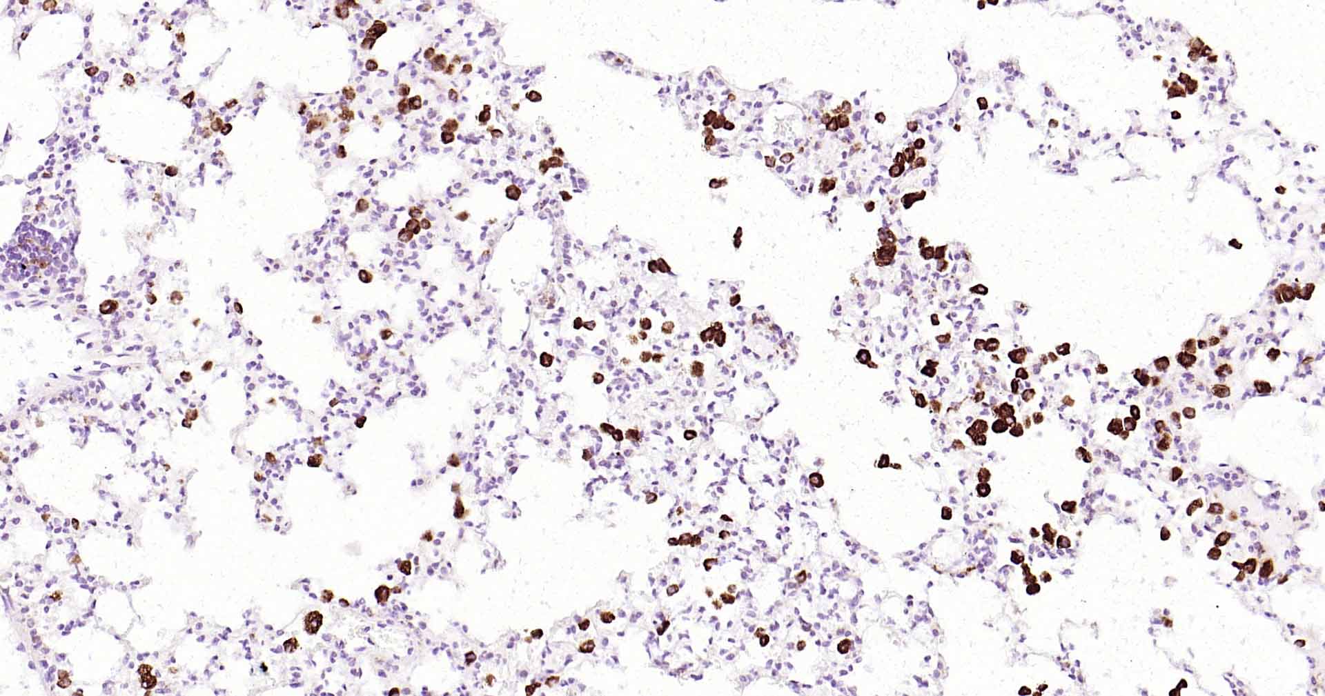
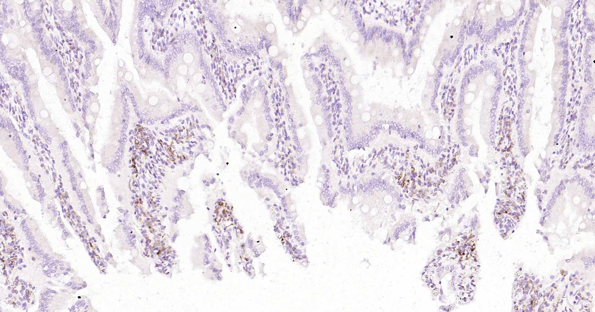
CD68抗体-bs-20402RCD68抗体-bs-20402RCD68抗体-bs-20402RCD68抗体-bs-20402RCD68抗体-bs-20402RCD68抗体-bs-20402RCD68抗体-bs-20402RCD68抗体-bs-20402RCD68抗体-bs-20402RCD68抗体-bs-20402R

产品应用

应用已检合格种属预测种属推荐稀释比例
WBMouseRat1:500-2000
IHC-PMouse, Rat1:100-500
IHC-FMouse, Rat1:100-500
IFMouse, Rat1:100-500

交叉反应

交叉反应: Mouse, Rat

相关产品

暂无相关产品

靶标

基因名
CD68
蛋白名
Macrosialin
亚细胞定位
Isoform Short: Cell membrane; Single-pass type I membrane protein. Isoform Long: Endosome membrane; Single-pass type I membrane protein. Lysosome membrane; Single-pass type I membrane protein.
组织特异性
Highly expressed by blood monocytes and tissue macrophages. Also expressed in lymphocytes, fibroblasts and endothelial cells. Expressed in many tumor cell lines which could allow them to attach to selectins on vascular endothelium, facilitating their dissemination to secondary sites.
翻译后修饰
N- and O-glycosylated
相似性
Belongs to the LAMP family.
功能
Could play a role in phagocytic activities of tissue macrophages, both in intracellular lysosomal metabolism and extracellular cell-cell and cell-pathogen interactions. Binds to tissue- and organ-specific lectins or selectins, allowing homing of macrophage subsets to particular sites. Rapid recirculation of CD68 from endosomes and lysosomes to the plasma membrane may allow macrophages to crawl over selectin-bearing substrates or other cells.

同靶标产品

相关文献

提示: 发表研究结果有使用 bs-20402R 时请让我们知道,以便我们可以引用参考文章。作为回馈,资料提供者将获得我们送上的小礼品。
具体参考文献:bs-20402R 被引用于4文献中

常见问题