CYLD Mouse mAb (一抗) - WB,IHC-P,IHC-F,IF,ELISA | Bioss

2026-05-01~2026-06-30,AB26052026-05-01~2026-06-30,WB精选(促销赠品)
CYLD Mouse mAb (一抗) - WB,IHC-P,IHC-F,IF,ELISA | Bioss
货号:bsm-51375M
产品详情
相关标记
相关产品
相关文献
常见问题

概述

产品编号
bsm-51375M
英文名称
CYLD Mouse mAb
中文名称
微管结合蛋白CYLD单克隆抗体
英文别名
CYLD_BOVIN; CYLD; Deubiquitinating enzyme CYLD; Ubiquitin thioesterase CYLD; Ubiquitin-specific-processing protease CYLD; 3.4.19.12; CYLD1; CYLD_HUMAN; KIAA0849; CYLD_MOUSE; CYLD_RAT; CYLD lysine 63 deubiquitinase; cylindromatosis (turban tumor syndrome); ubiquitin specific peptidase like 2
抗体来源
Mouse
免疫原
KLH conjugated synthetic peptide derived from human CYLD
亚型
IgG1
性状
Liquid
纯化方法
affinity purified by Protein A
克隆类型
Monoclonal
克隆号
5C7
理论分子量
105 kDa
检测分子量
105 kDa
浓度
1mg/ml
储存液
0.01M TBS (pH7.4) with 1% BSA, 0.02% Proclin300 and 50% Glycerol.
SWISS
Gene ID
保存条件
Shipped at 4℃. Store at -20℃ for one year. Avoid repeated freeze/thaw cycles.
注意事项
This product as supplied is intended for research use only, not for use in human, therapeutic or diagnostic applications.
产品介绍
    CYLD(cylindromatosis)是近年发现的一种肿瘤抑制基因,CYLD丢失或突变可致肿瘤形成,多个研究显示,其表达蛋白CYLD可去泛素化TRAFs、NEMO、Bcl-3及p53等信号分子,调控细胞NF-κB和JNK等信号途径,CYLD在人体内广泛分布,在细胞周期的调控、介导细胞凋亡、抑制肿瘤发生等分子事件中有着重要的调控作用。
    CYLD基因缺陷或缺失主要导致头部或面部的皮肤肿瘤,如多发性家族性毛发上皮瘤(MFT),家族性圆柱瘤(FC)和Brooke-Spiegler综合症(BSS),此外,CYLD在宫颈癌、肾癌、结肠癌、肝癌形成的信号途径中也均表现为下游调控,是目前用于肿瘤研究的热门抗体。
背景资料
Defects in CYLD are the cause of familial cylindromatosis (CYLD) also known as turban tumor syndrome or dermal eccrine cylindromatosis. CYLD is an autosomal dominant and highly tumor type-specific disorder. The tumors (known as cylindromas because of their characteristic microscopic architecture) are believed to arise from or recapitulate the appearance of the eccrine or apocrine cells of the skin that secrete sweat and scent respectively. Cylindromas arise predominantly in hairy parts of the body with approximately 90% on the head and neck. The development of a confluent mass which may ulcerate or become infected has led to the designation "turban tumor syndrome". The skin tumors show differentiation in the direction of hair structures, hence the synonym trichoepithelioma. CYLD has deubiquitinating activity.
微管结合蛋白CYLD单克隆抗体-bsm-51375M微管结合蛋白CYLD单克隆抗体-bsm-51375M微管结合蛋白CYLD单克隆抗体-bsm-51375M

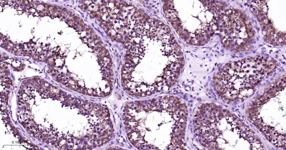
产品应用

应用已检合格种属预测种属推荐稀释比例
WBHuman1:500-2000
IHC-PHuman1:50-200
IHC-FHuman1:50-200
IFHuman1:50-200
ELISAHuman1:1000-5000

交叉反应

交叉反应: Human

相关产品

暂无相关产品

靶标

基因名
CYLD
蛋白名
Ubiquitin carboxyl-terminal hydrolase CYLD
亚基
Interacts (via CAP-Gly domain) with IKBKG/NEMO (via proline-rich C-terminal region). Interacts with TRAF2 and TRIP. Interacts with PLK1, DVL1, DVL3, MAVS, TBK1, IKKE and DDX58. Interacts (via CAP-Gly domain) with microtubules. Interacts with HDAC6 and BCL3. Interacts with SQSTM1 and MAP3K7. Identified in a complex with TRAF6 and SQSTM1 (By similarity).
亚细胞定位
Cytoplasm. Cytoplasm, perinuclear region. Cytoplasm, cytoskeleton. Cell membrane; Peripheral membrane protein; Cytoplasmic side. Note=Detected at the microtubule cytoskeleton during interphase. Detected at the midbody during telophase.
组织特异性
Detected in fetal brain, testis, and skeletal muscle, and at a lower level in adult brain, leukocytes, liver, heart, kidney, spleen, ovary and lung. Isoform 2 is found in all tissues except kidney.
翻译后修饰
Phosphorylated on several serine residues by IKKA and/or IKKB in response to immune stimuli. Phosphorylation requires IKBKG. Phosphorylation abolishes TRAF2 deubiquitination, interferes with the activation of Jun kinases, and strongly reduces CD40-dependent gene activation by NF-kappa-B.
疾病
Defects in CYLD are the cause of familial cylindromatosis (FCYL) [MIM:132700]; also known as Ancell-Spiegler cylindromas or turban tumor syndrome or dermal eccrine cylindromatosis. CYLD is an autosomal dominant and highly tumor type-specific disorder. The tumors (known as cylindromas because of their characteristic microscopic architecture) are believed to arise from or recapitulate the appearance of the eccrine or apocrine cells of the skin that secrete sweat and scent respectively. Cylindromas arise predominantly in hairy parts of the body with approximately 90% on the head and neck. The development of a confluent mass which may ulcerate or become infected has led to the designation 'turban tumor syndrome'. The skin tumors show differentiation in the direction of hair structures, hence the synonym trichoepithelioma. Defects in CYLD are the cause of multiple familial trichoepithelioma type 1 (MFT1) [MIM:601606]; also known as epithelioma adenoides cysticum of Brooke (EAC) or hereditary multiple benign cystic epithelioma or Brooke-Fordyce trichoepitheliomas. MFT1 is an autosomal dominant dermatosis characterized by the presence of many skin tumors predominantly on the face. Since histologic examination shows dermal aggregates of basaloid cells with connection to or differentiation toward hair follicles, this disorder has been thought to represent a benign hamartoma of the pilosebaceous apparatus. Trichoepitheliomas can degenerate into basal cell carcinoma. Defects in CYLD are the cause of Brooke-Spiegler syndrome (BRSS) [MIM:605041]. BRSS is an autosomal dominant disorder characterized by the appearance of multiple skin appendage tumors such as cylindroma, trichoepithelioma, and spiradenoma. These tumors are typically located in the head and neck region, appear in early adulthood, and gradually increase in size and number throughout life.
相似性
Belongs to the peptidase C67 family.
Contains 3 CAP-Gly domains.
功能
Protease that specifically cleaves 'Lys-63'-linked polyubiquitin chains. Has endodeubiquitinase activity. Plays an important role in the regulation of pathways leading to NF-kappa-B activation. Contributes to the regulation of cell survival, proliferation and differentiation via its effects on NF-kappa-B activation. Negative regulator of Wnt signaling. Inhibits HDAC6 and thereby promotes acetylation of alpha-tubulin and stabilization of microtubules. Plays a role in the regulation of microtubule dynamics, and thereby contributes to the regulation of cell proliferation, cell polarization, cell migration, and angiogenesis. Required for normal cell cycle progress and normal cytokinesis. Inhibits nuclear translocation of NF-kappa-B. Plays a role in the regulation of inflammation and the innate immune response, via its effects on NF-kappa-B activation. Dispensable for the maturation of intrathymic natural killer cells, but required for the continued survival of immature natural killer cells. Negatively regulates TNFRSF11A signaling and osteoclastogenesis.

同靶标产品

相关文献

提示: 发表研究结果有使用 bsm-51375M 时请让我们知道,以便我们可以引用参考文章。作为回馈,资料提供者将获得我们送上的小礼品。

常见问题