






| 应用 | 已检合格种属 | 预测种属 | 推荐稀释比例 |
|---|---|---|---|
| WB | Human, Mouse, Rat | Cow, Chicken, Dog, Horse | 1:500-2000 |
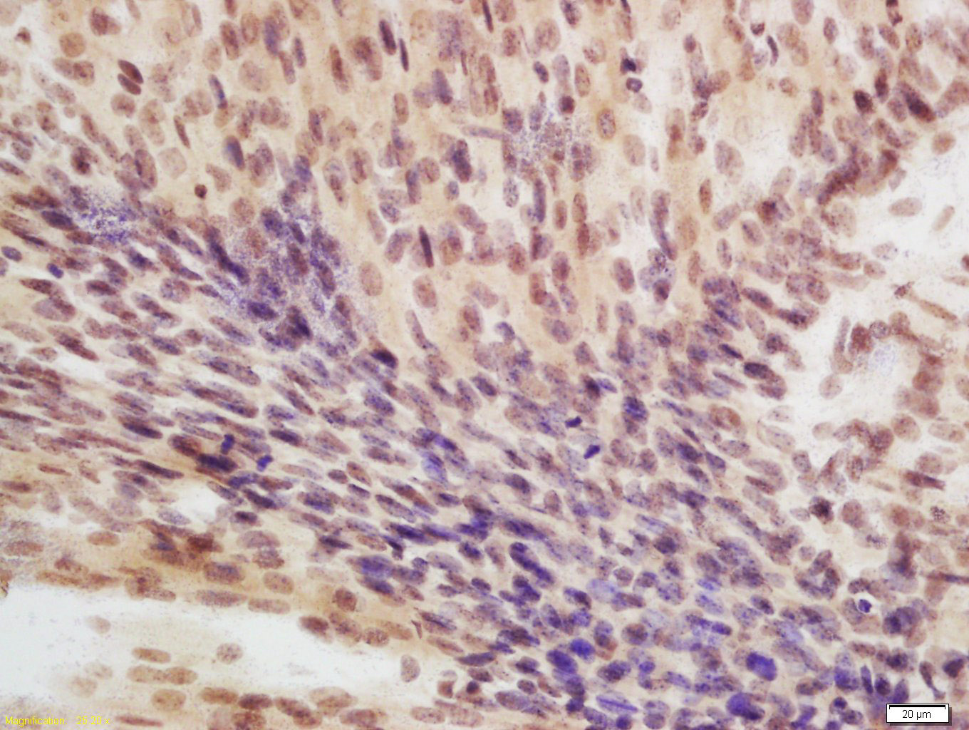
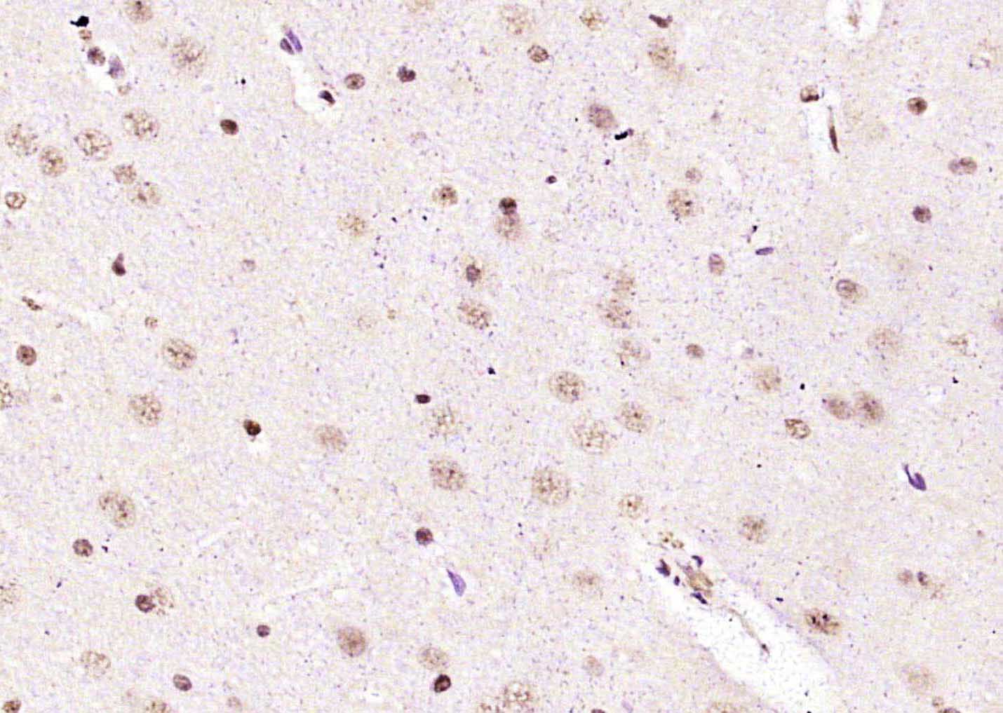
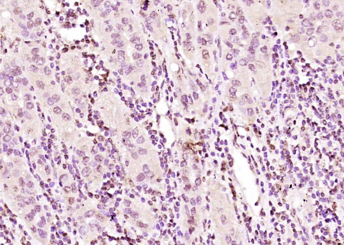
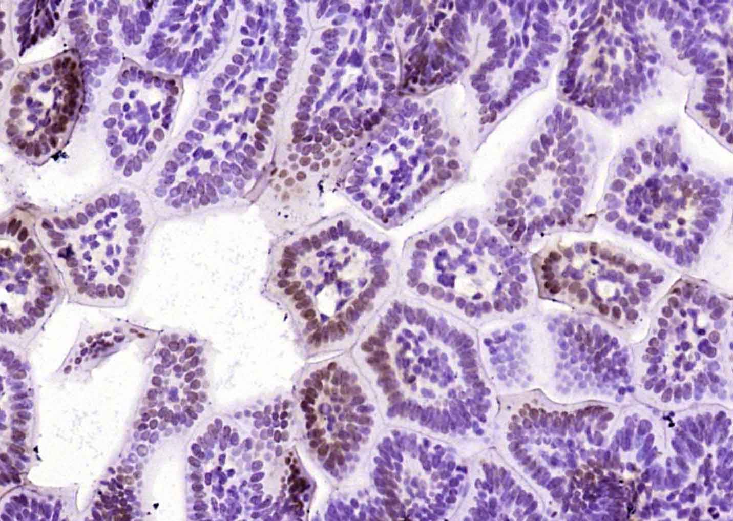
| IHC-P | Human, Mouse, Rat | Cow, Chicken, Dog, Horse | 1:100-500 |
| IHC-F | Human, Mouse, Rat | Cow, Chicken, Dog, Horse | 1:100-500 |
| IF | Human, Mouse, Rat | Cow, Chicken, Dog, Horse | 1:100-500 |
| Flow-Cyt | Human | Mouse, Rat, Cow, Chicken, Dog, Horse | 2ug/Test |
| ICC/IF | Human | Mouse, Rat, Cow, Chicken, Dog, Horse | 1:100-500 |
交叉反应: Human, Mouse, Rat (predicted: Cow, Chicken, Dog, Horse)
暂无相关产品