Cancer > Cancer Metabolism > Response to hypoxia
Cancer > Cell Death > Apoptosis > Apoptosis Markers > Caspases
Cancer > Cell Death > Apoptosis > Metabolism
Cancer > Cell Death > Apoptosis > Receptors > Death receptors & ligands > IAPs
Cancer > Cell Death > Necroptosis
Cancer > Invasion/microenvironment > Apoptosis > Caspases
Cancer > Invasion/microenvironment > Apoptosis > Death receptors & ligands > IAPs
Cell Biology > Apoptosis > Intracellular > Survivin / IAPs
Metabolism > Pathways and Processes > Metabolism processes > Apoptosis
Metabolism > Pathways and Processes > Metabolism processes > Hypoxia



| 应用 | 已检合格种属 | 预测种属 | 推荐稀释比例 |
|---|---|---|---|
| WB | Mouse, Rat | Human | 1:500-2000 |
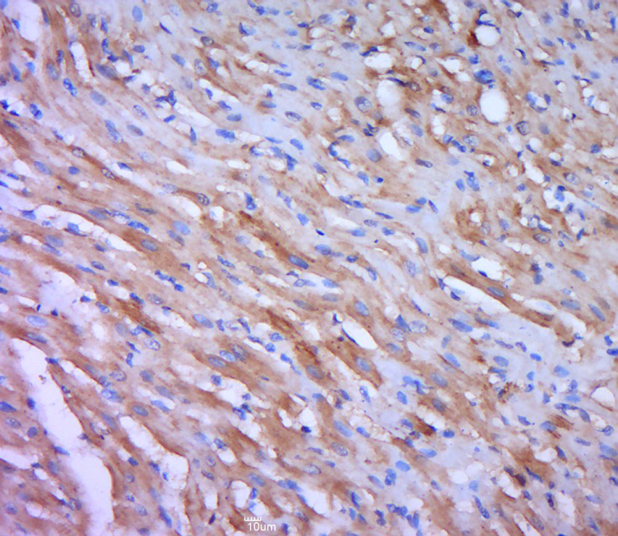
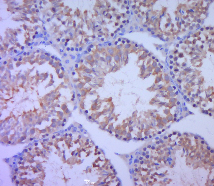
| IHC-P | Mouse, Rat | Human | 1:100-500 |
| IHC-F | Mouse, Rat | Human | 1:100-500 |
| IF | Mouse, Rat | Human | 1:100-500 |
交叉反应: Mouse, Rat (predicted: Human)
暂无相关产品