PSD95 Recombinant Rabbit mAb (一抗) - IHC-P,IHC-F,IF | Bioss

Rrmab?兔单抗
2026-05-01~2026-06-30,AB2605
PSD95 Recombinant Rabbit mAb (一抗) - IHC-P,IHC-F,IF | Bioss
货号:bsm-55665R
产品详情
相关标记
相关产品
相关文献
常见问题

概述

产品编号
bsm-55665R
产品类型
重组兔单抗
英文名称
PSD95 Recombinant Rabbit mAb
中文名称
突触后密度蛋白95重组兔单抗
英文别名
MRD62; PSD95; SAP-90; SAP90; Dlgh4; PSD-95; SAP90A; DLG4_HUMAN; DLG4; Postsynaptic density protein 95 (PSD-95); Synapse-associated protein 90 (SAP-90 | SAP90); DLG4_MOUSE; DLG4_RAT; discs large MAGUK scaffold protein 4; discs, large homolog 4 (Drosophila); discs large homolog 4
抗体来源
Rabbit
免疫原
KLH conjugated synthetic peptide derived from human PSD95
亚型
IgG
性状
Liquid
纯化方法
affinity purified by Protein A
克隆类型
Recombinant
克隆号
7B7
理论分子量
81 kDa
浓度
1mg/ml
储存液
0.01M TBS(pH7.4) with 1% BSA, 0.02% Proclin300 and 50% Glycerol.
保存条件
Shipped at 4℃. Store at -20 °C for one year. Avoid repeated freeze/thaw cycles.
注意事项
This product as supplied is intended for research use only, not for use in human, therapeutic or diagnostic applications.
产品介绍
该蛋白质PSD95能夠帮助建立神经突触的架构,并且促成突触其他部分的成熟,例如加強目标細胞上的glutamate受体的聚集、增加树突棘(dendritic spines)的数量和大小以及增加神经传导物质glutamate (谷氨酸盐)释放的量。这种蛋白质与阿滋海默症有关。
背景资料
This gene encodes a member of the membrane-associated guanylate kinase (MAGUK) family. It heteromultimerizes with another MAGUK protein, DLG2, and is recruited into NMDA receptor and potassium channel clusters. These two MAGUK proteins may interact at postsynaptic sites to form a multimeric scaffold for the clustering of receptors, ion channels, and associated signaling proteins. Multiple transcript variants encoding different isoforms have been found for this gene. [provided by RefSeq, Jul 2008]
突触后密度蛋白95重组兔单抗-bsm-55665R突触后密度蛋白95重组兔单抗-bsm-55665R突触后密度蛋白95重组兔单抗-bsm-55665R突触后密度蛋白95重组兔单抗-bsm-55665R突触后密度蛋白95重组兔单抗-bsm-55665R突触后密度蛋白95重组兔单抗-bsm-55665R

产品应用

应用已检合格种属预测种属推荐稀释比例
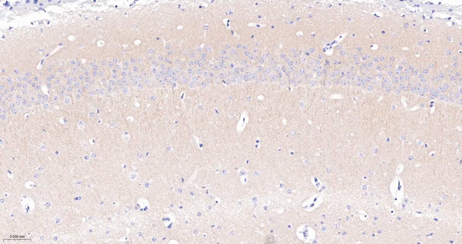
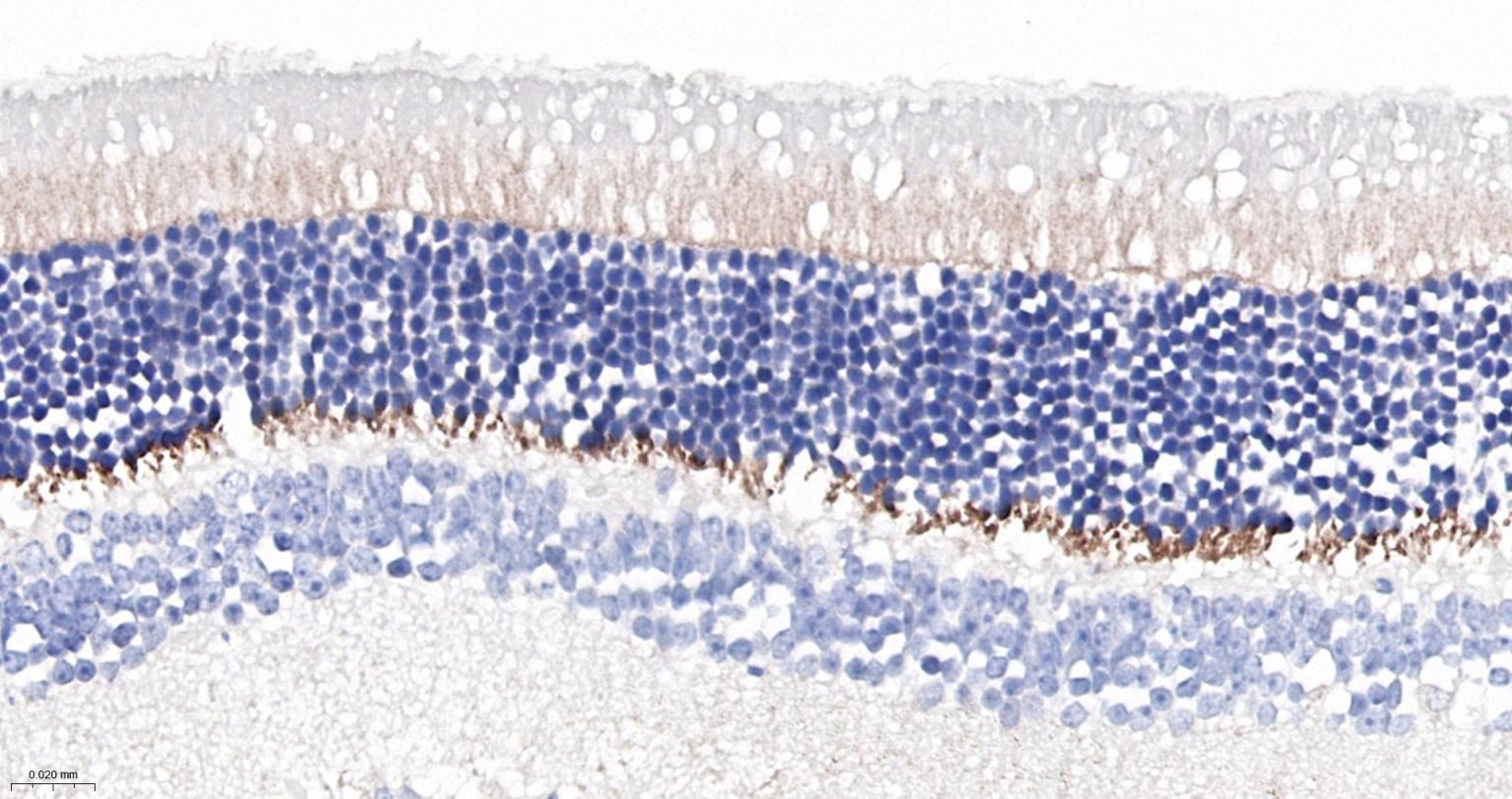
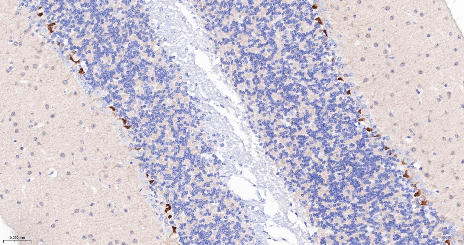
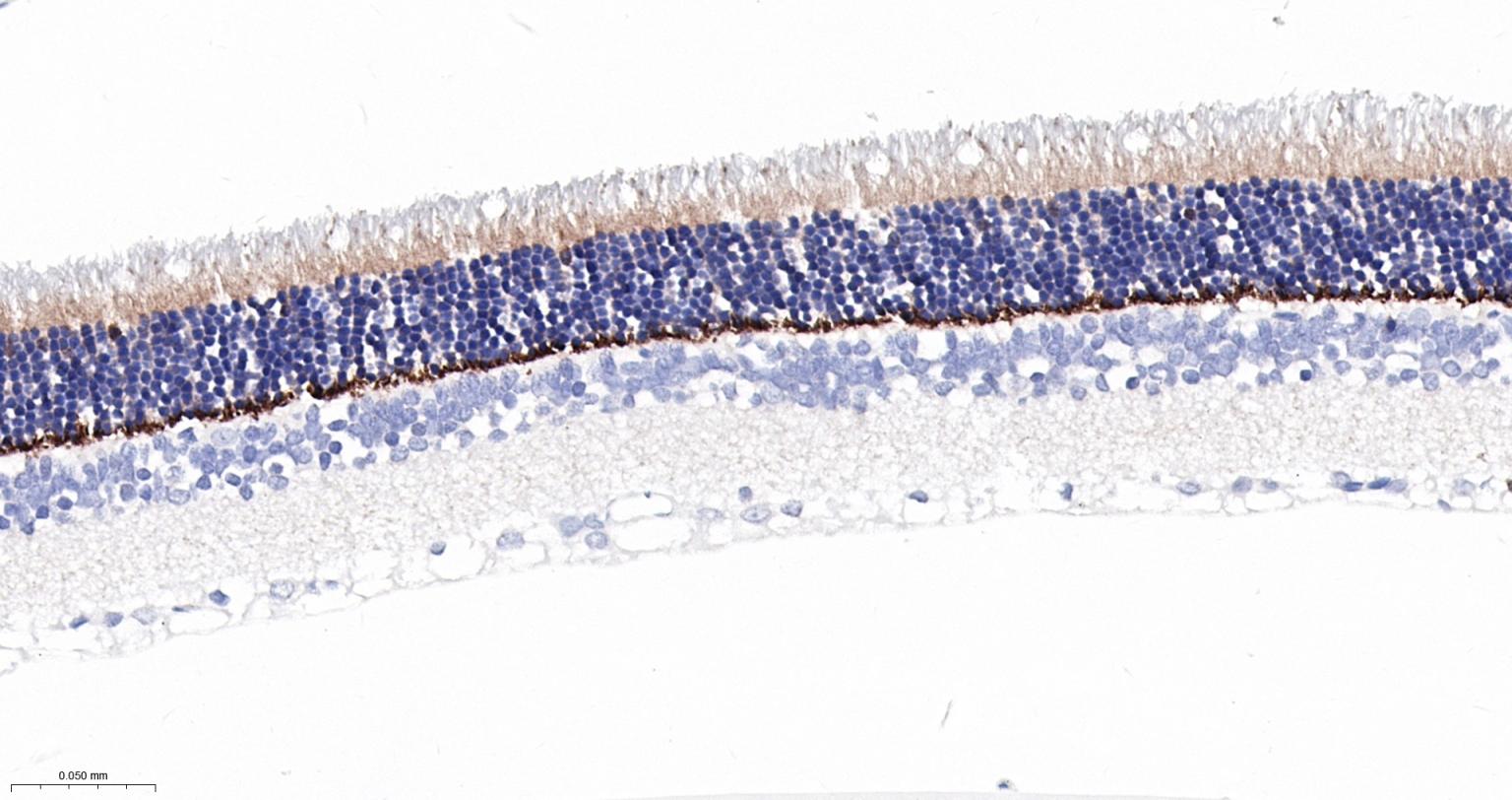
IHC-PMouse, RatHuman1:50-200
IHC-FMouse, RatHuman1:50-200
IFMouse, RatHuman1:50-200

交叉反应

交叉反应: Mouse, Rat (predicted: Human)

相关产品

暂无相关产品

靶标

基因名
DLG4
蛋白名
Disks large homolog 4
亚基
Interacts with ANKS1B, KLHL17 and PRR7. Interacts through its PDZ domains with NETO1. Interacts through its first two PDZ domains with GRIN2A, GRIN2B, GRIN2C, GRIN2D, ACCN3, certain splice forms of GRIN1, KCND2, CXADR and SYNGAP1. Interacts through its second PDZ domain with the PDZ domain of NOS1 or the C-terminus of CAPON. May interact with HTR2A. Interacts through its guanylate kinase-like domain with DLGAP1/GKAP, DLGAP2, DLGAP3, DLGAP4, MAP1A and BEGAIN. Interacts through its third PDZ domain with CRIPT (By similarity). Interacts through its first two PDZ domains with KCNA1, KCNA2, KCNA3, KCNA4 and ERBB4. Interacts through its first PDZ domain with GRIK2, KCNA4 and CRIPT. Interacts through its third PDZ domain with NLGN1, and probably with NLGN2 and NLGN3. Interacts through its guanylate kinase-like domain with KIF13B. Isoform 2 interacts through an L27 domain with HGS/HRS and the first L27 domain of CASK. Interacts with LRFN1, LRFN2 and LRFN4. Interacts with ANO2, ADAM22 and LGI1. Interacts with FRMPD4 (via C-terminus). Interacts (via PDZ1 and PDZ2 domains) with LRRC4; LRRC4B and SEMA4C. Interacts (via guanylate kinase-like domain) with SIPA1L1.
亚细胞定位
Cell membrane; Peripheral membrane protein. Cell junction, synapse, postsynaptic cell membrane, postsynaptic density. Cell junction, synapse. Cell junction, synapse, synaptosome. Note=High levels in postsynaptic density of neurons in the forebrain. Also in presynaptic region of inhibitory synapses formed by cerebellar basket cells on axon hillocks of Purkinje cells.
组织特异性
Brain.
翻译后修饰
Palmitoylation of isoform 1 is required for targeting to postsynaptic density.
相似性
Belongs to the MAGUK family.
Contains 1 guanylate kinase-like domain.
Contains 3 PDZ (DHR) domains.
Contains 1 SH3 domain.
功能
Interacts with the cytoplasmic tail of NMDA receptor subunits and shaker-type potassium channels. Required for synaptic plasticity associated with NMDA receptor signaling. Overexpression or depletion of DLG4 changes the ratio of excitatory to inhibitory synapses in hippocampal neurons. May reduce the amplitude of ACCN3 acid-evoked currents by retaining the channel intracellularly. May regulate the intracellular trafficking of ADR1B.

同靶标产品

相关文献

提示: 发表研究结果有使用 bsm-55665R 时请让我们知道,以便我们可以引用参考文章。作为回馈,资料提供者将获得我们送上的小礼品。

常见问题