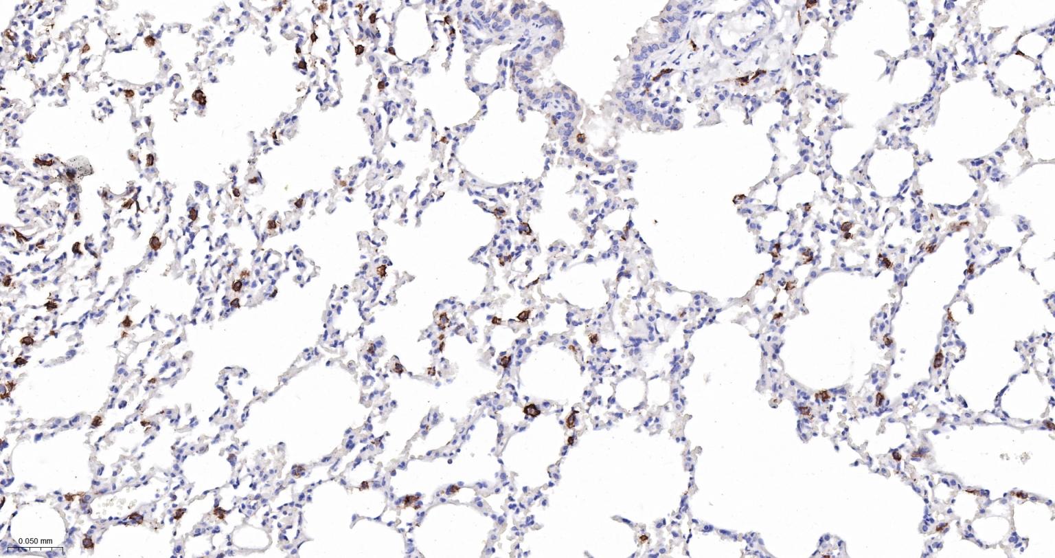
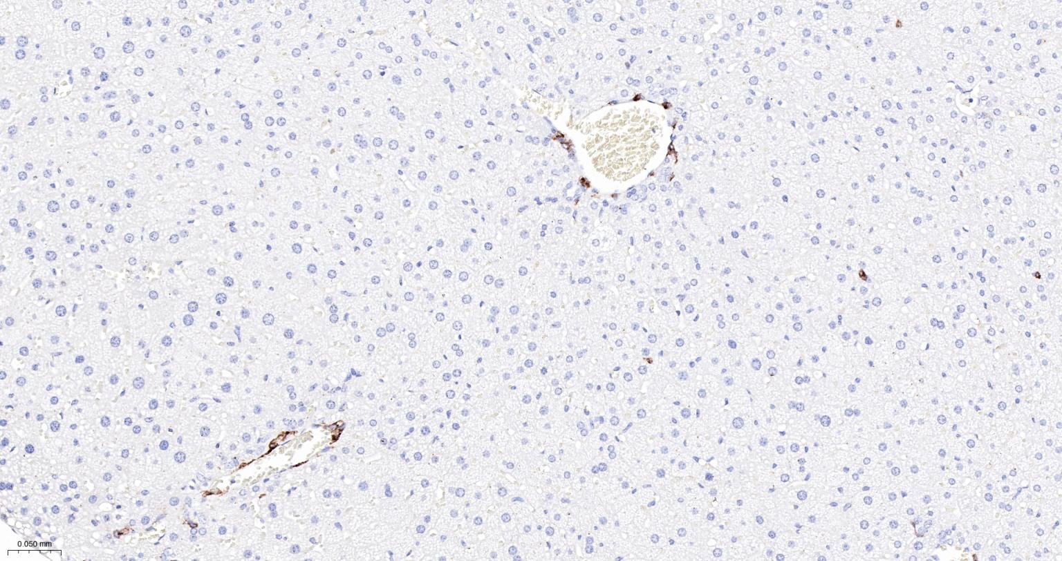
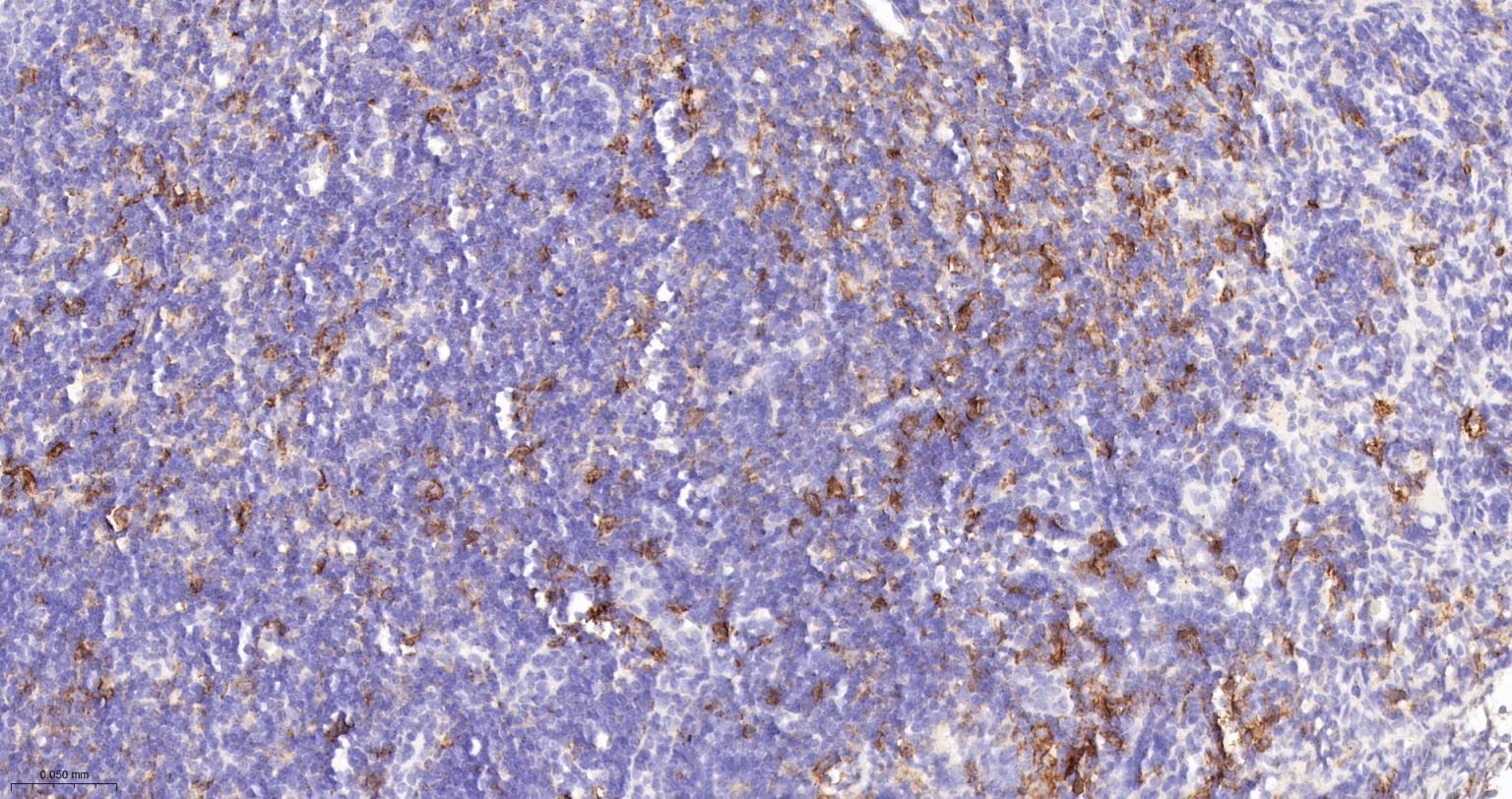
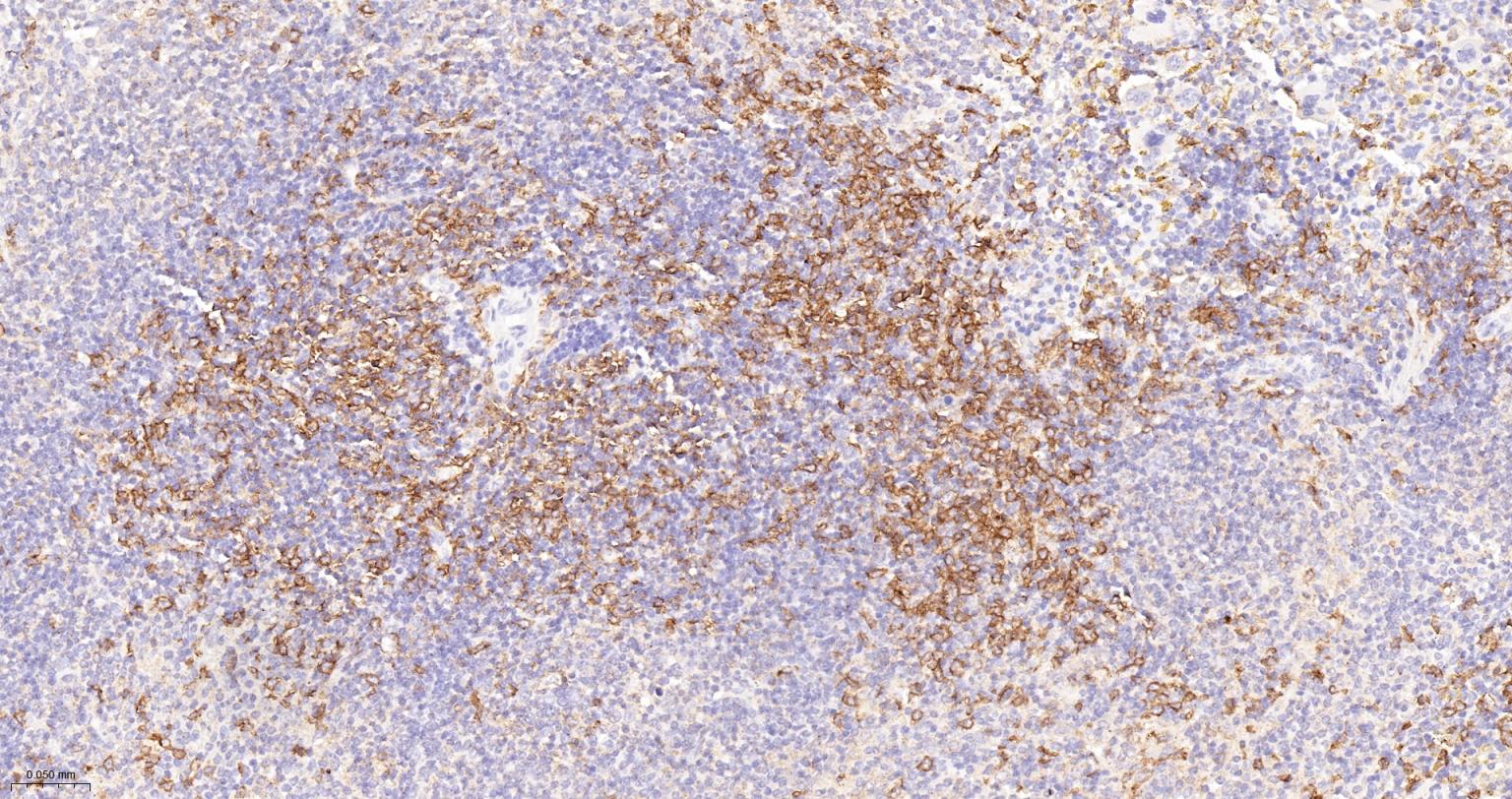
Immunology > Cell Type Markers > CD > Adhesion
Signal Transduction > Cytoskeleton / ECM > Cell Adhesion > Integrins > Alpha
Stem Cells > Hematopoietic Progenitors > Lymphoid > T Lymphocytic Lineage
Stem Cells > Hematopoietic Progenitors > Myeloid > Dendritic Cell Lineage
Stem Cells > Hematopoietic Progenitors > Myeloid > Monocytic Lineage









| 应用 | 已检合格种属 | 预测种属 | 推荐稀释比例 |
|---|---|---|---|
| WB | Mouse | 1:500-2000 | |
| IHC-P | Mouse | 1:200-1000 | |
| IHC-F | Mouse | 1:200-1000 | |
| IF | Mouse | 1:200-1000 |
交叉反应: Mouse
暂无相关产品