Cancer > Invasion/microenvironment > ECM > Extracellular matrix
Cardiovascular > Angiogenesis > Adhesion / ECM > Extracellular Matrix
Developmental Biology > Lineage specification > Ectoderm
Signal Transduction > Cytoskeleton / ECM > Extracellular Matrix > ECM Proteins > Fibronectin
Stem Cells > Lineage Markers > Ectoderm
细胞粘附蛋白(Call Adhesion Protein)
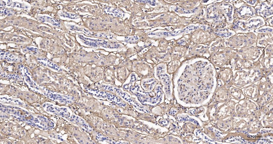
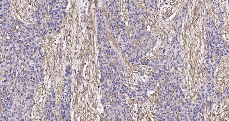
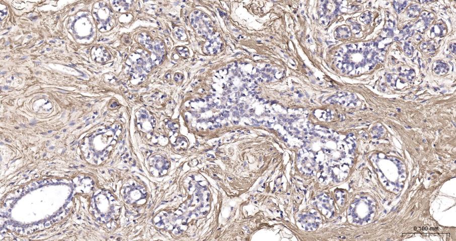
FaN(Fibronectin)是一种细胞粘附蛋白,参与细胞粘附,分化,移动,伤口愈合,凝血和机体防卫。主要分布于结缔组织及大部分基底膜上,作为判断良恶性上皮源性肿瘤(如乳腺癌等)的一个主要参考指标,亦可作为恶性肿瘤转移和病人预后的判断指标
This gene encodes fibronectin, a glycoprotein present in a soluble dimeric form in plasma, and in a dimeric or multimeric form at the cell surface and in extracellular matrix. Fibronectin is involved in cell adhesion and migration processes including embryogenesis, wound healing, blood coagulation, host defense, and metastasis. The gene has three regions subject to alternative splicing, with the potential to produce 20 different transcript variants. However, the full-length nature of some variants has not been determined. [provided by RefSeq, Jul 2008].





| 应用 | 已检合格种属 | 预测种属 | 推荐稀释比例 |
|---|---|---|---|
| IHC-P | Human | 1:100-500 | |
| IHC-F | Human | 1:100-500 | |
| IF | Human | 1:100-500 | |
| Flow-Cyt | Human | 1:50-100 | |
| ICC/IF | Human | 1:50-200 | |
| ELISA | Human | 1:5000-10000 |
交叉反应: Human
暂无相关产品