应用推荐(Capture-Detection): V0802-V0803
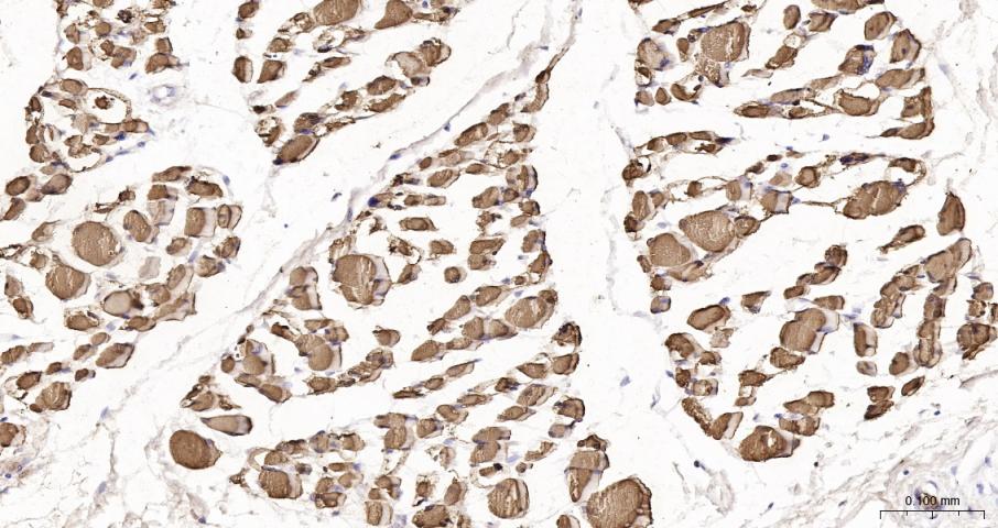
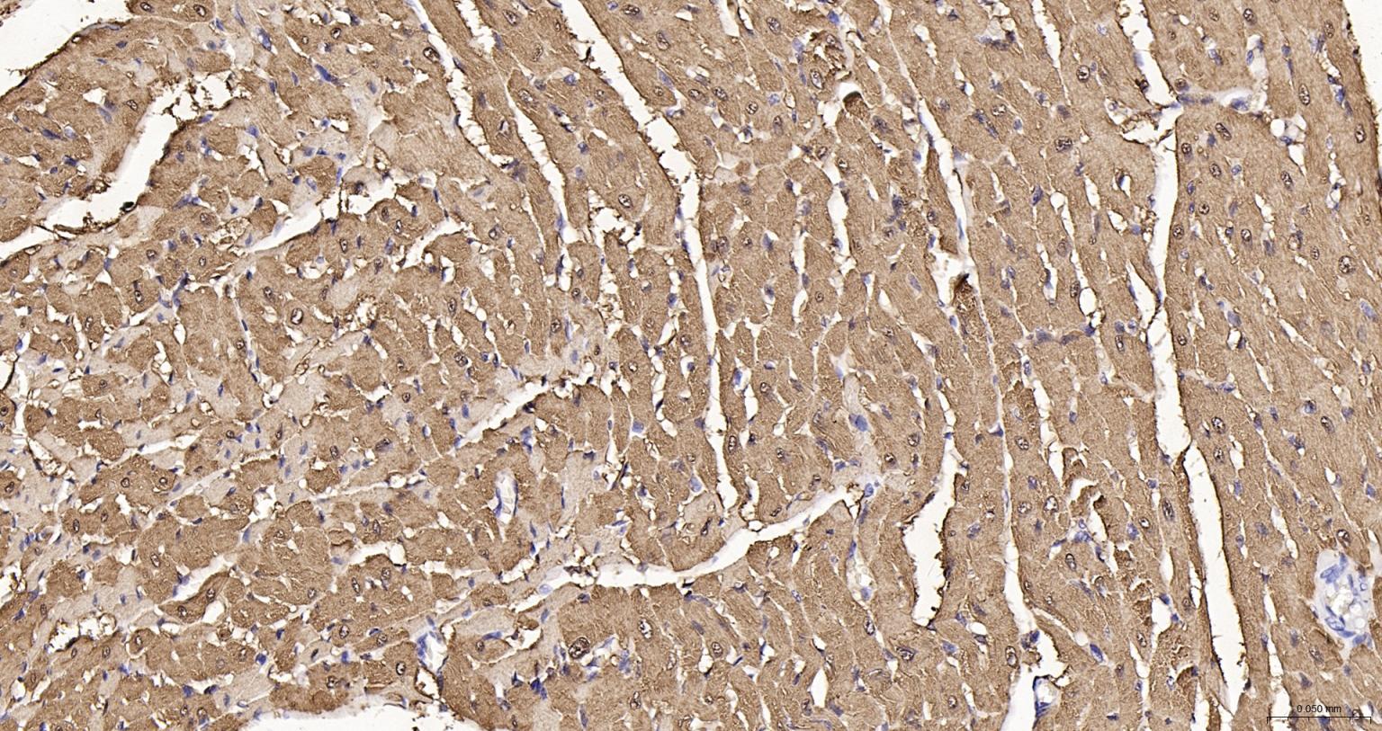
Myoglobin is a small heme containing protein responsible for the oxygen deposition in muscle tissues. Only one form of myoglobin is expressed in cardiac and skeletal muscles. Myoglobin is known as a marker of myocardial damage and it has been used for more than three decades. Nowadays it still is very commonly used in clinical practice as an early marker of AMI. It appears in patient's blood 1 to 3 hours after onset of the symptoms, reaching peak level within 8 to 12 hours. Myoglobin is not so cardiac specific as cTnI or cTnT. Because of high myoglobin concentration in skeletal muscle tissue, even minor skeletal muscle injury results in the significant increase of myoglobin concentration in blood. Thus myoglobin is used together with cTnI or cTnT in clinical practise for better specificity in AMI diagnosis.









| 应用 | 已检合格种属 | 预测种属 | 推荐稀释比例 |
|---|---|---|---|
| WB | Mouse, Rat | Human | 1:1000-5000 |
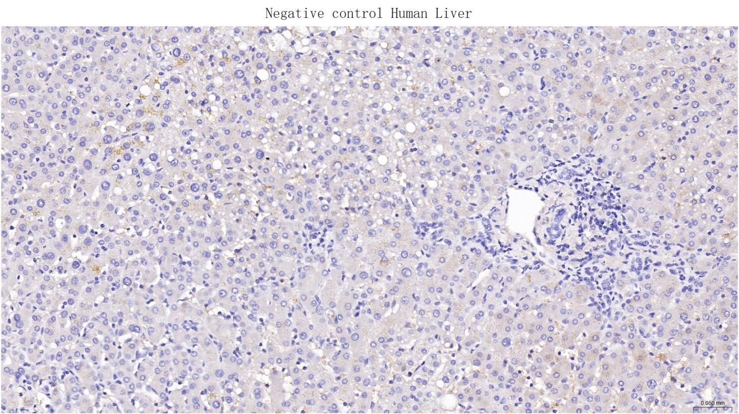
| IHC-P | Human, Mouse, Rat | 1:200-1000 | |
| IHC-F | Human, Mouse, Rat | 1:200-1000 | |
| IF | Human, Mouse, Rat | 1:200-1000 |
交叉反应: Human, Mouse, Rat
暂无相关产品