丝氨酸蛋白酶抑制剂B3重组兔单抗

Rrmab?兔单抗
2026-03-02~2026-04-30,KXJ26032026-03-02~2026-04-30,促销赠品
丝氨酸蛋白酶抑制剂B3重组兔单抗
货号:bsm-43190R
产品详情
相关标记
相关产品
相关文献
常见问题

概述

产品编号
bsm-43190R
产品类型
重组兔单抗
英文名称
SERPINB3 Recombinant Rabbit mAb
中文名称
丝氨酸蛋白酶抑制剂B3重组兔单抗
英文别名
HsT1196; SCC; SCCA-1; SCCA-PD; SCCA1; SSCA1; T4-A; SPB3_HUMAN; SERPINB3; Protein T4-A; Squamous cell carcinoma antigen 1 (SCCA-1); SCCA;
抗体来源
Rabbit
免疫原
Recombinant human SERPINB3 protein: 1-390/390
亚型
IgG
性状
Liquid
纯化方法
affinity purified by Protein A
克隆类型
Recombinant
克隆号
8C9
理论分子量
45 kDa
浓度
1mg/ml
储存液
0.01M TBS (pH7.4) with 1% BSA, 0.02% Proclin300 and 50% Glycerol.
SWISS
Gene ID
保存条件
Shipped at 4℃. Store at -20℃ for one year. Avoid repeated freeze/thaw cycles.
注意事项
This product as supplied is intended for research use only, not for use in human, therapeutic or diagnostic applications.
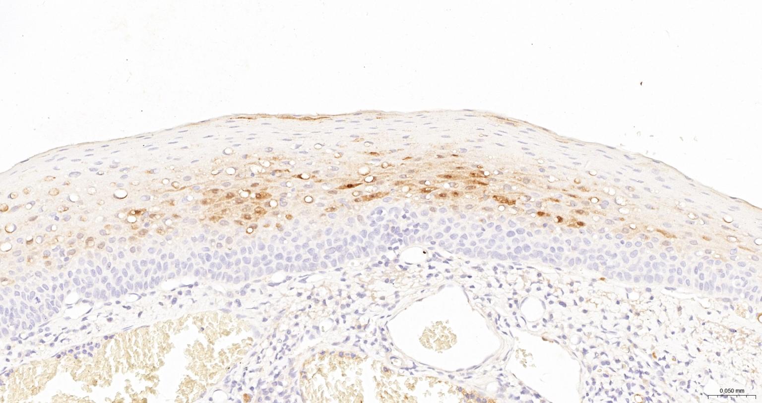
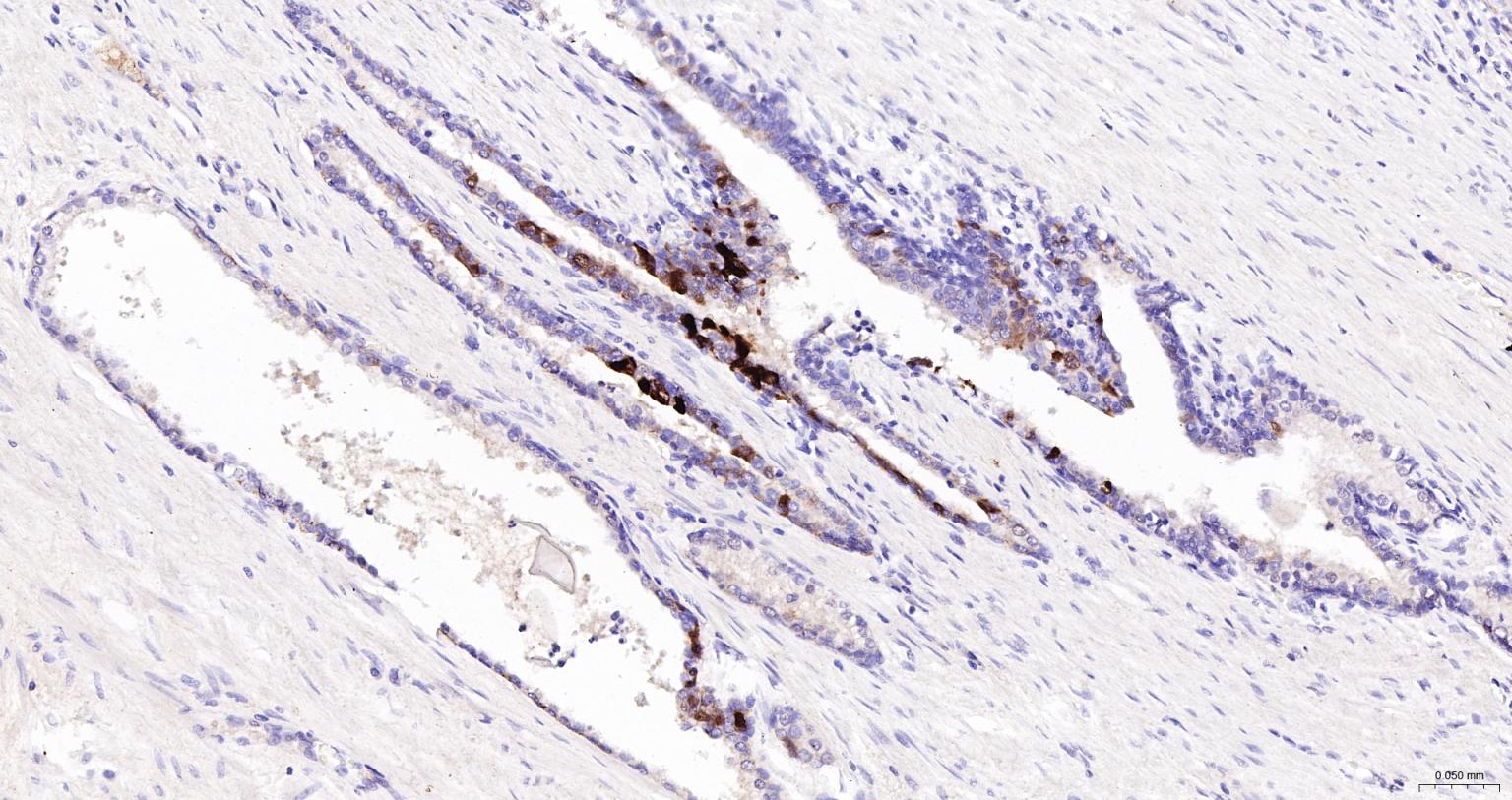
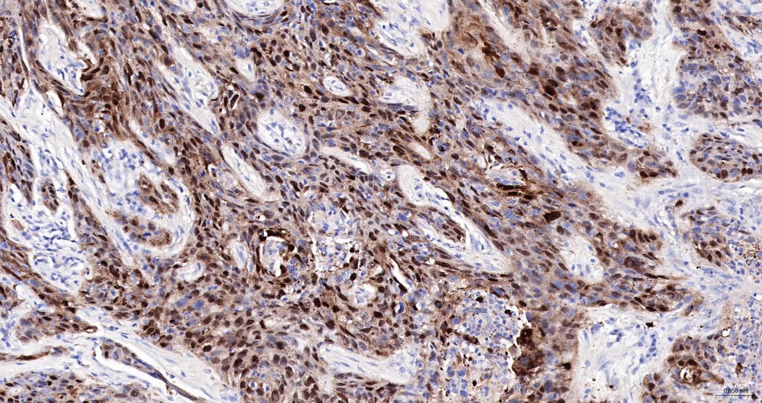
背景资料
Metastasis of a primary tumor to a distant site is determined through signaling cascades that break down interactions between the cell and extracellular matrix proteins. Among the proteins mediating metastasis are serine prote-ases, such as neutrophil elastase.SCCA is transcribed by two nearly identical genes (SCCA1 and SCCA2), and is mainly produced as SCCA1. The human SCCA1 gene encodes a 390 amino acid protein that was originally isolated from a metastatic cervical squamous cell carcinoma.
丝氨酸蛋白酶抑制剂B3重组兔单抗丝氨酸蛋白酶抑制剂B3重组兔单抗丝氨酸蛋白酶抑制剂B3重组兔单抗丝氨酸蛋白酶抑制剂B3重组兔单抗

产品应用

应用已检合格种属预测种属推荐稀释比例
WBHuman1:1000-5000
IHC-PHuman1:200-800
IHC-FHuman1:200-800
IFHuman1:200-800

交叉反应

交叉反应: Human

相关产品

暂无相关产品

靶标

基因名
SERPINB3
蛋白名
Serpin B3
亚细胞定位
Cytoplasm. Seems to also be secreted in plasma by cancerous cells but at a low level.
组织特异性
Squamous cells. Expressed in some hepatocellular carcinoma (at protein level).
相似性
Belongs to the serpin family. Ov-serpin subfamily.
功能
May act as a protease inhibitor to modulate the host immune response against tumor cells.

标记抗体

暂无标记数据

同靶标产品

暂无同靶标产品

相关文献

提示: 发表研究结果有使用 bsm-43190R 时请让我们知道,以便我们可以引用参考文章。作为回馈,资料提供者将获得我们送上的小礼品。

暂无相关文献

常见问题

暂无常见问题