Cancer > Cell Death > Apoptosis > Apoptosis Markers > Caspases
Cancer > Cell Death > Apoptosis > Metabolism
Cancer > Invasion/microenvironment > Apoptosis > Caspases
Cell Biology > Apoptosis > Intracellular > Caspases etc > Caspases
Cell Biology > Proteolysis / Ubiquitin > Proteolytic enzymes > Other proteases
Metabolism > Pathways and Processes > Metabolism processes > Apoptosis





| 应用 | 已检合格种属 | 预测种属 | 推荐稀释比例 |
|---|---|---|---|
| WB | Mouse, Rat | 1:500-2000 | |
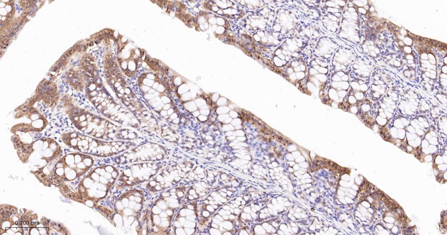
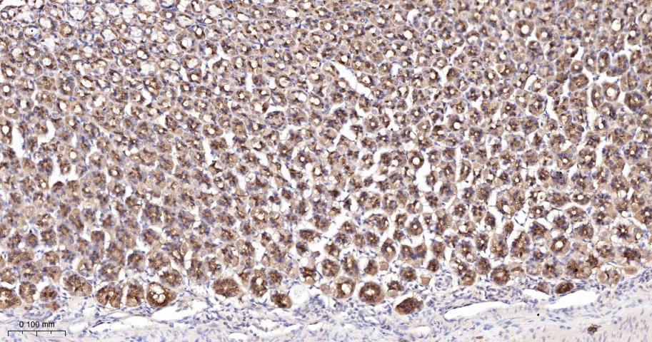
| IHC-P | Mouse, Rat | 1:100-500 | |
| IHC-F | Mouse, Rat | 1:100-500 | |
| IF | Mouse, Rat | 1:100-500 |
交叉反应: Mouse, Rat
暂无相关产品
暂无标记数据
暂无同靶标产品
暂无相关文献
暂无常见问题