Human PDK2 Ready-To-Use IHC Kit (免疫组化试剂盒) - IHC-P | Bioss

Human PDK2 Ready-To-Use IHC Kit (免疫组化试剂盒) - IHC-P | Bioss
货号:IHC0692H
产品详情
相关产品
相关文献
常见问题

概述

产品编号
IHC0692H
英文名称
Human PDK2 Ready-To-Use IHC Kit
中文名称
人丙酮酸脱氢酶激酶亚型2即用型免疫组化试剂盒
英文别名
PDHK2; PDK2; PDKII; Pyruvate dehydrogenase [lipoamide]] kinase isozyme 2; mitochondrial; PDK2_HUMAN; Pyruvate dehydrogenase kinase isoform 2; Pyruvate dehydrogenase kinase; isozyme 2
描述
IHC0692H is a ready-to-use IHC kit for staining of Human PDK2. The kit provides all reagents, from antigen retrieval to cover slip mounting, that require little to no diluting or handling prior to use. Simply apply the reagents to your sample slide according to the protocol and you're steps away from obtaining high-quality IHC data.
适用样品基质
FFPE tissue
应用范围
Immunohistochemistry
保存条件
Please store components at the temperatures indicated on the individual tube labels. The kit is stable for 6 months from the date of receipt.
背景资料
PDK2 inhibits the mitochondrial pyruvate dehydrogenase complex by phosphorylation of the E1 alpha subunit, thus contributing to the regulation of glucose metabolism.
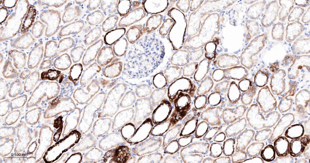
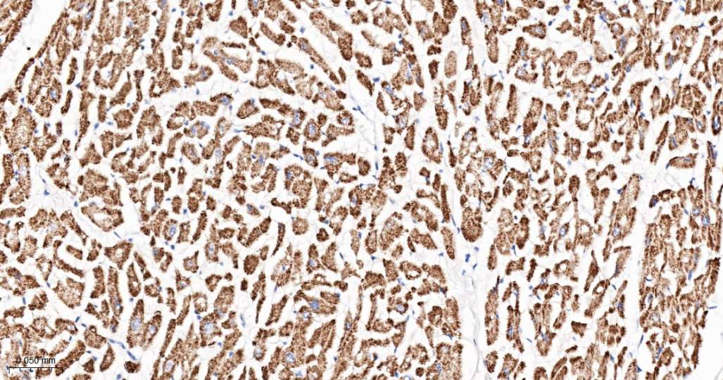
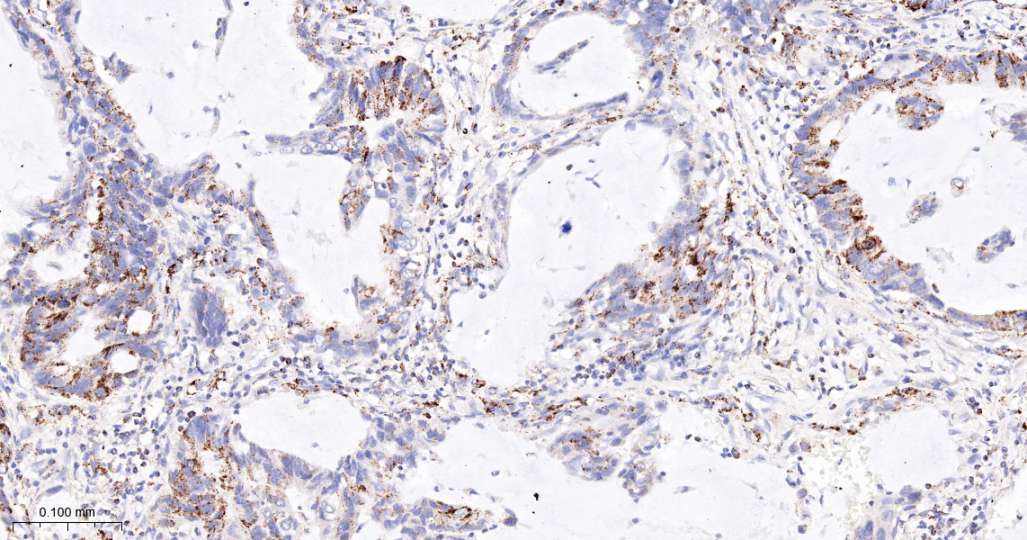
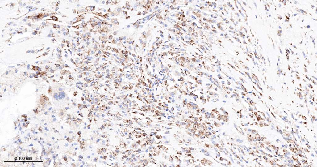
人丙酮酸脱氢酶激酶亚型2即用型免疫组化试剂盒-IHC0692H人丙酮酸脱氢酶激酶亚型2即用型免疫组化试剂盒-IHC0692H人丙酮酸脱氢酶激酶亚型2即用型免疫组化试剂盒-IHC0692H人丙酮酸脱氢酶激酶亚型2即用型免疫组化试剂盒-IHC0692H人丙酮酸脱氢酶激酶亚型2即用型免疫组化试剂盒-IHC0692H人丙酮酸脱氢酶激酶亚型2即用型免疫组化试剂盒-IHC0692H人丙酮酸脱氢酶激酶亚型2即用型免疫组化试剂盒-IHC0692H

产品应用

产品应用: IHC-P

交叉反应

交叉反应: Human

相关产品

暂无相关产品

靶标

基因名
PDK2
蛋白名
[Pyruvate dehydrogenase (acetyl-transferring)] kinase isozyme 2, mitochondrial
亚基
Homodimer, and heterodimer with PDK1. Interacts with the pyruvate dehydrogenase complex subunit DLAT, and is part of the multimeric pyruvate dehydrogenase complex that contains multiple copies of pyruvate dehydrogenase (E1), dihydrolipoamide acetyltransferase (DLAT, E2) and lipoamide dehydrogenase (DLD, E3).
亚细胞定位
Mitochondrion
组织特异性
Expressed in many tissues, with the highest level in heart and skeletal muscle, intermediate levels in brain, kidney, pancreas and liver, and low levels in placenta and lung.
疾病
Showing features for natural variant.
相似性
Belongs to the PDK/BCKDK protein kinase family.
功能
Kinase that plays a key role in the regulation of glucose and fatty acid metabolism and homeostasis via phosphorylation of the pyruvate dehydrogenase subunits PDHA1 and PDHA2. This inhibits pyruvate dehydrogenase activity, and thereby regulates metabolite flux through the tricarboxylic acid cycle, down-regulates aerobic respiration and inhibits the formation of acetyl-coenzyme A from pyruvate. Inhibition of pyruvate dehydrogenase decreases glucose utilization and increases fat metabolism. Mediates cellular responses to insulin. Plays an important role in maintaining normal blood glucose levels and in metabolic adaptation to nutrient availability. Via its regulation of pyruvate dehydrogenase activity, plays an important role in maintaining normal blood pH and in preventing the accumulation of ketone bodies under starvation. Plays a role in the regulation of cell proliferation and in resistance to apoptosis under oxidative stress. Plays a role in p53/TP53-mediated apoptosis.

同靶标产品

相关文献

常见问题