Human Keratin 7 Ready-To-Use IHC Kit (免疫组化试剂盒) - IHC-P | Bioss

Human Keratin 7 Ready-To-Use IHC Kit (免疫组化试剂盒) - IHC-P | Bioss
货号:IHC0604H
产品详情
相关产品
相关文献
常见问题

概述

产品编号
IHC0604H
英文名称
Human Keratin 7 Ready-To-Use IHC Kit
中文名称
人Keratin 7即用型免疫组化试剂盒
英文别名
CK 7;CK7;Cytokeratin 7;K2C7;K7;keratin 7;KRT7;Sarcolectin;SCL;Type II keratin Kb7
描述
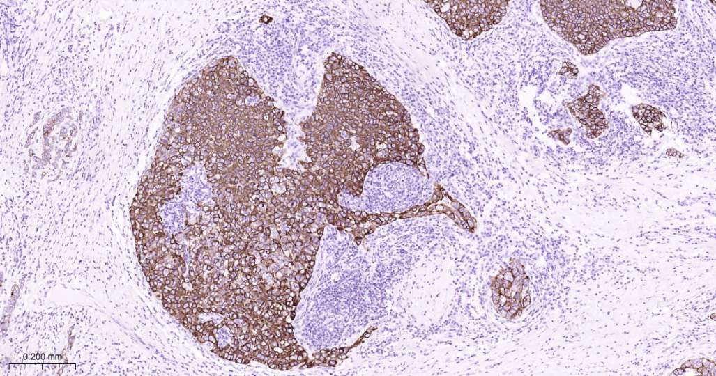
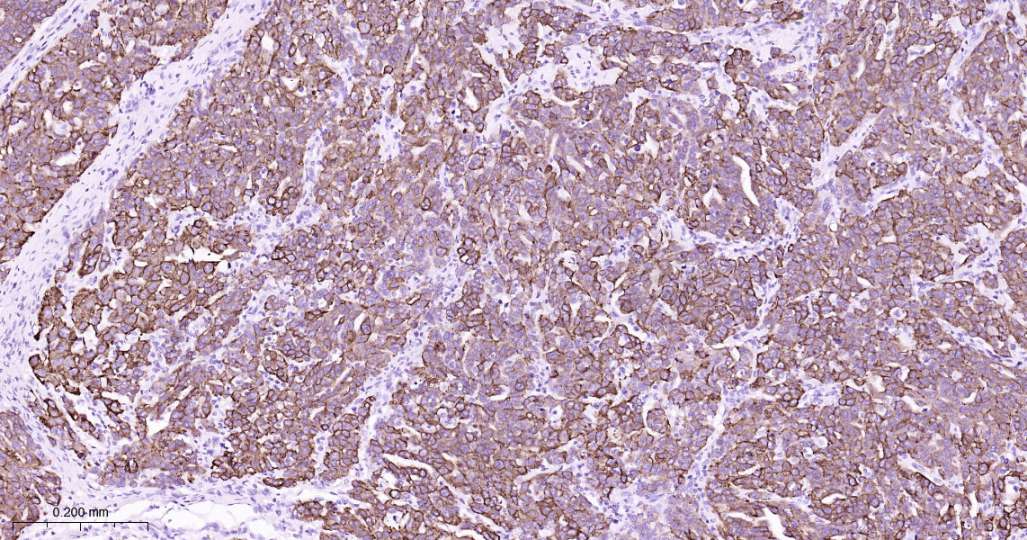
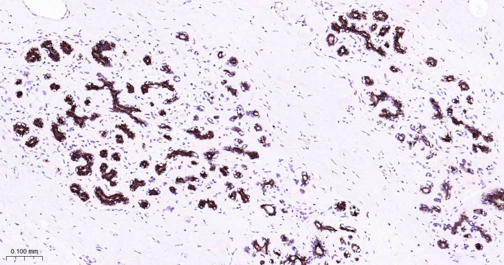
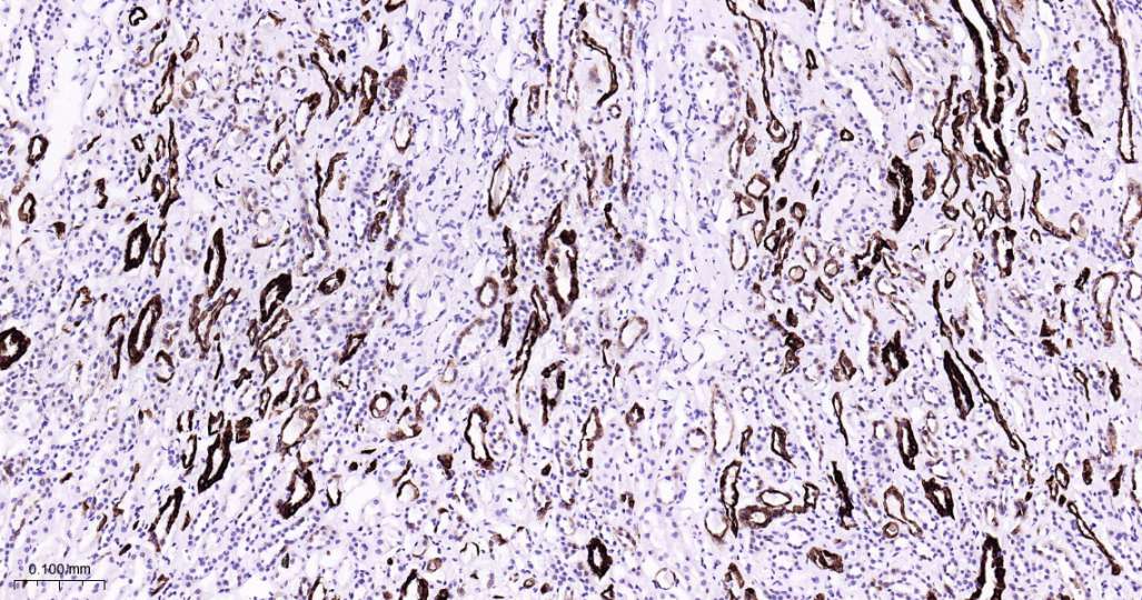
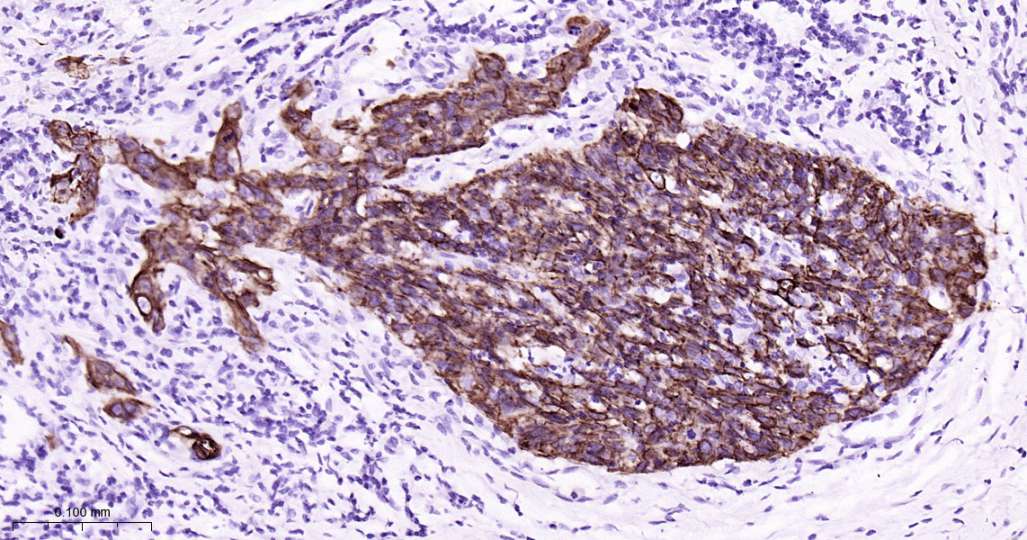
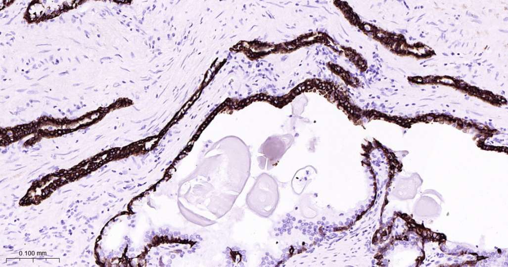
IHC0604H is a ready-to-use IHC kit for staining of Human Keratin 7. The kit provides all reagents, from antigen retrieval to cover slip mounting, that require little to no diluting or handling prior to use. Simply apply the reagents to your sample slide according to the protocol and you're steps away from obtaining high-quality IHC data.
适用样品基质
FFPE tissue
应用范围
Immunohistochemistry
保存条件
Please store components at the temperatures indicated on the individual tube labels. The kit is stable for 6 months from the date of receipt.
背景资料
Cytokeratin 7 blocks interferon-dependent interphase and stimulates DNA synthesis in cells. Involved in the translational regulation of the human papillomavirus type 16 E7 mRNA (HPV16 E7).
人Keratin 7即用型免疫组化试剂盒-IHC0604H人Keratin 7即用型免疫组化试剂盒-IHC0604H人Keratin 7即用型免疫组化试剂盒-IHC0604H人Keratin 7即用型免疫组化试剂盒-IHC0604H人Keratin 7即用型免疫组化试剂盒-IHC0604H人Keratin 7即用型免疫组化试剂盒-IHC0604H人Keratin 7即用型免疫组化试剂盒-IHC0604H

产品应用

产品应用: IHC-P

交叉反应

交叉反应: Human

相关产品

暂无相关产品

靶标

基因名
KRT7
蛋白名
Keratin, type II cytoskeletal 7
亚基
Heterotetramer of two type I and two type II keratins. Interacts with eukaryotic translation initiator factor 3 (eIF3) subunit EIF3S10. Interacts with GPER1.2 Publications (Microbial infection) Interacts with human papillomavirus 16/HPV16 protein E7.
亚细胞定位
#Cytoplasm #Intermediate filament #Keratin
组织特异性
Expressed in cultured epidermal, bronchial and mesothelial cells but absent in colon, ectocervix and liver. Observed throughout the glandular cells in the junction between stomach and esophagus but is absent in the esophagus.
翻译后修饰
Arg-20 is dimethylated, probably to asymmetric dimethylarginine.
疾病
Showing features for natural variant.
相似性
Belongs to the intermediate filament family.
功能
Blocks interferon-dependent interphase and stimulates DNA synthesis in cells. Involved in the translational regulation of the human papillomavirus type 16 E7 mRNA (HPV16 E7).

同靶标产品

相关文献

常见问题