Cell Biology > Cell Cycle > Cell Cycle Inhibitors > Cip / Kip
Epigenetics and Nuclear Signaling > Cell cycle > Cell Cycle Inhibitors > Cip/Kip
Epigenetics and Nuclear Signaling > Chromatin Binding Proteins > DNA / RNA binding
Epigenetics and Nuclear Signaling > Nuclear Signaling Pathways > Nuclear Receptors > Co-activators/co-repressors
Epigenetics and Nuclear Signaling > Transcription > Domain Families > Zinc Finger
Signal Transduction > Signaling Pathway > Nuclear Signaling > Nuclear Hormone Receptors > Co-activators/co-repressors



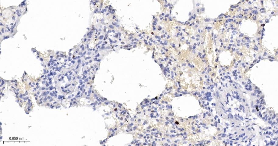
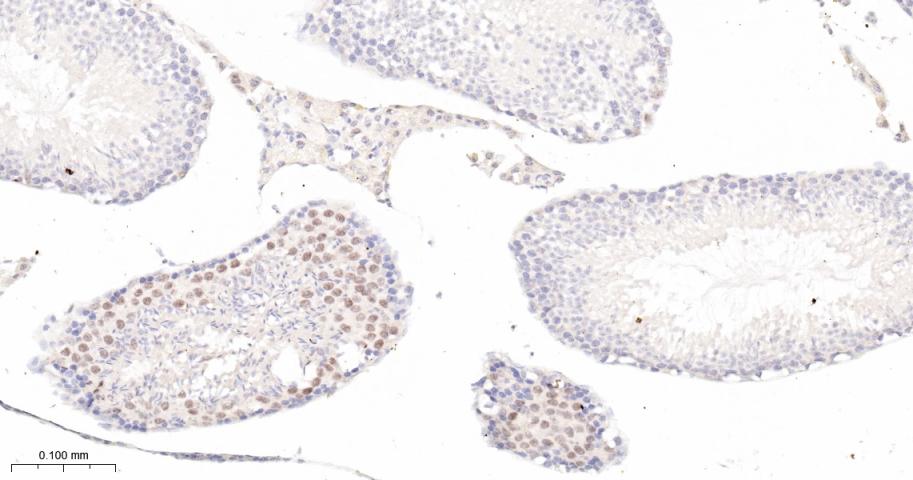
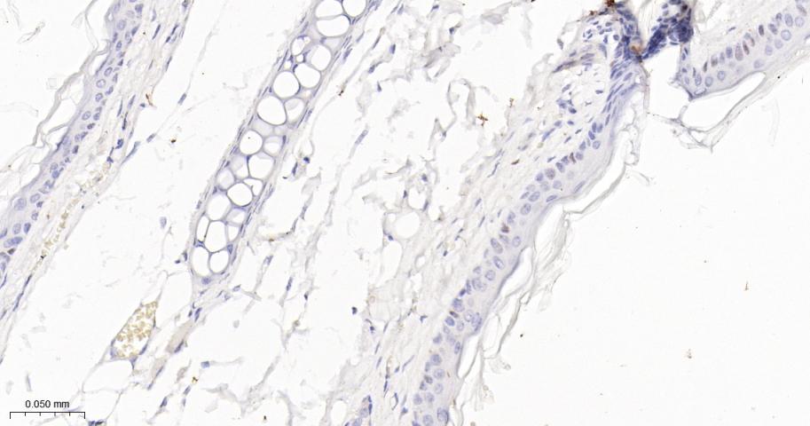
| 应用 | 已检合格种属 | 预测种属 | 推荐稀释比例 |
|---|---|---|---|
| IHC-P | Mouse | 1:100-500 | |
| IHC-F | Mouse | 1:100-500 | |
| IF | Mouse | 1:100-500 |
交叉反应: Mouse
暂无相关产品
暂无标记数据
暂无同靶标产品
暂无相关文献
暂无常见问题