ENPP3蛋白抗体

Rrmab®兔单抗
2026-01-04~2026-02-28,RR26012026-01-04~2026-02-28,TR
ENPP3蛋白抗体
货号:bsm-54812R
产品详情
相关标记
相关产品
相关文献
常见问题

概述

产品编号
bsm-54812R
产品类型
重组兔单抗
英文名称
ENPP3 Recombinant Rabbit mAb
中文名称
ENPP3蛋白抗体
英文别名
B10; CD203c; NPP3; PD-IBETA; PDNP3; ENPP3_HUMAN; ENPP3; E-NPP 3; Alkaline phosphodiesterase I; Dinucleoside polyphosphatase; Nucleotide diphosphatase; Nucleotide pyrophosphatase (NPPase); Phosphodiesterase I beta (PD-Ibeta); Phosphodiesterase I/nucleotide pyrophosphatase 3;
抗体来源
Rabbit
免疫原
Recombinant human ENPP3 protein: 526-875/875
亚型
IgG
性状
Liquid
纯化方法
affinity purified by Protein A
克隆类型
Recombinant
克隆号
8C6
理论分子量
100 kDa
浓度
1mg/ml
SWISS
Gene ID
保存条件
Shipped at 4℃. Store at -20℃ for one year. Avoid repeated freeze/thaw cycles.
注意事项
This product as supplied is intended for research use only, not for use in human, therapeutic or diagnostic applications.
产品介绍
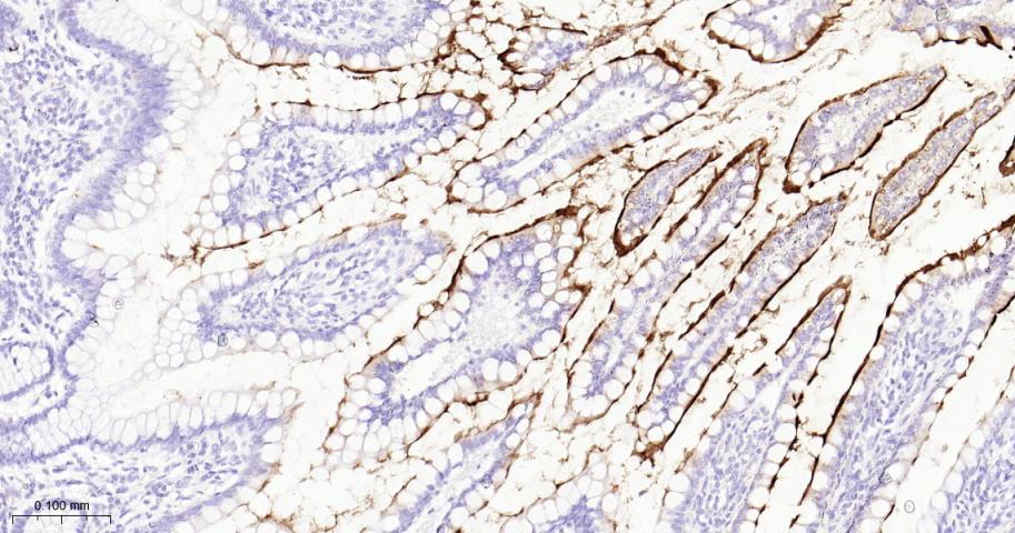
CD203c蛋白是一个糖基化的2型跨膜蛋白分子,CD203c的表达主要在嗜碱细胞、肥大细胞和它们的前体细胞上。
背景资料
The protein encoded by this gene belongs to a series of ectoenzymes that are involved in hydrolysis of extracellular nucleotides. These ectoenzymes possess ATPase and ATP pyrophosphatase activities and are type II transmembrane proteins. Expression of the related rat mRNA has been found in a subset of immature glial cells and in the alimentary tract. The corresponding rat protein has been detected in the pancreas, small intestine, colon, and liver. The human mRNA is expressed in glioma cells, prostate, and uterus. Expression of the human protein has been detected in uterus, basophils, and mast cells.
ENPP3蛋白抗体ENPP3蛋白抗体ENPP3蛋白抗体ENPP3蛋白抗体ENPP3蛋白抗体ENPP3蛋白抗体ENPP3蛋白抗体ENPP3蛋白抗体

产品应用

应用已检合格种属预测种属推荐稀释比例
WBMouse, RatHuman1:500-2000
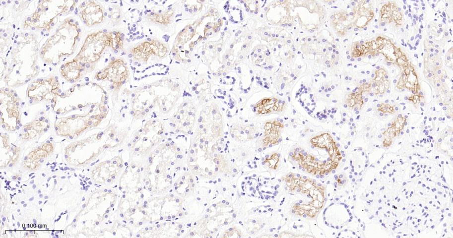
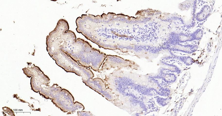
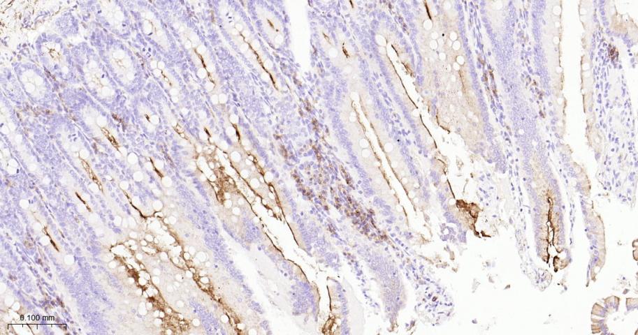
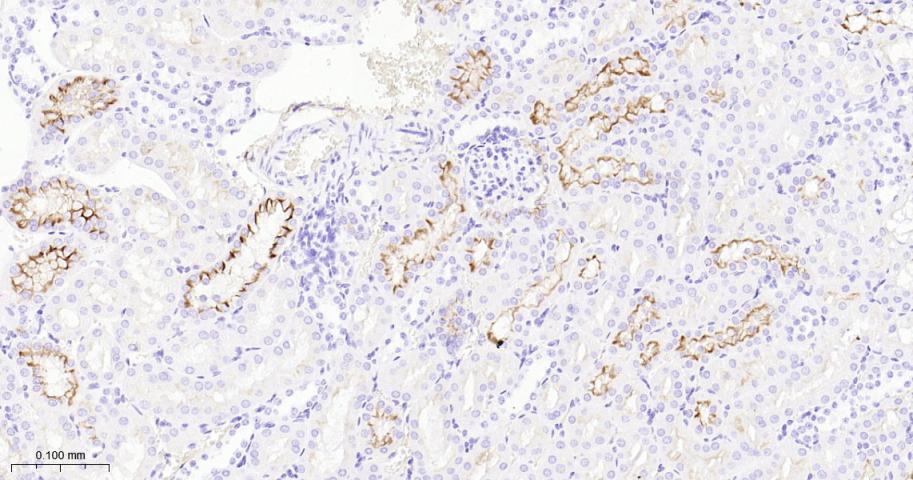
IHC-PHuman, Mouse, Rat1:100-500
IHC-FHuman, Mouse, Rat1:100-500
IFHuman, Mouse, Rat1:100-500

交叉反应

交叉反应: Human, Mouse, Rat

相关产品

暂无相关产品

靶标

基因名
ENPP3
蛋白名
Ectonucleotide pyrophosphatase/phosphodiesterase family member 3
亚细胞定位
Membrane; Single-pass type II membrane protein (Potential). Secreted. Note=Located to the apical surface in intestinal and kidney epithelial cells. Located to the cell surface of basophils, and to the apical plasma membrane of bile duct cells. Secreted in serum, and in lumen of epithelial cells.
组织特异性
Expressed in bile ducts, prostate, uterus and colon. Exclusively expressed on basophils, mast cells and their progenitors.
翻译后修饰
N-glycosylation is necessary for correct trafficking to the apical surface, but is not the apical targeting signal.
It has been suggested that the active SMB domain may be permitted considerable disulfide bond heterogeneity or variability, thus two alternate disulfide patterns based on 3D structures are described with 1 disulfide bond conserved in both.
相似性
Belongs to the nucleotide pyrophosphatase/phosphodiesterase family.
Contains 2 SMB (somatomedin-B) domains.
功能
Cleaves a variety of phosphodiester and phosphosulfate bonds including deoxynucleotides, nucleotide sugars, and NAD.

标记抗体

暂无标记数据

同靶标产品

暂无同靶标产品

相关文献

提示: 发表研究结果有使用 bsm-54812R 时请让我们知道,以便我们可以引用参考文章。作为回馈,资料提供者将获得我们送上的小礼品。

暂无相关文献

常见问题

暂无常见问题