磷酸化S6核糖体蛋白重组兔单抗

Rrmab?兔单抗
2026-03-02~2026-04-30,KXJ26032026-03-02~2026-04-30,促销赠品
磷酸化S6核糖体蛋白重组兔单抗
货号:bsm-60942R
产品详情
相关标记
相关产品
相关文献
常见问题

概述

产品编号
bsm-60942R
产品类型
磷酸化抗体、重组兔单抗
英文名称
phospho-RPS6 (Ser235+Ser236) Recombinant Rabbit mAb
中文名称
磷酸化S6核糖体蛋白重组兔单抗
英文别名
RPS6 (phospho-S235/S236); p-RPS6; phospho-RPS6; RPS6 (phospho-Ser235/Ser236); S6; eS6; RS6_HUMAN; RPS6; 40S ribosomal protein S6; Phosphoprotein NP33; RS6_RAT;
抗体来源
Rabbit
免疫原
KLH conjugated Synthesised phosphopeptide derived from human RPS6 around the phosphorylation site of Ser235/236
亚型
IgG
性状
Liquid
纯化方法
affinity purified by Protein A
克隆类型
Recombinant
克隆号
11A2
理论分子量
27 kDa
浓度
1mg/ml
储存液
0.01M TBS (pH7.4) with 1% BSA, 0.02% Proclin300 and 50% Glycerol.
SWISS
Gene ID
保存条件
Shipped at 4℃. Store at -20℃ for one year. Avoid repeated freeze/thaw cycles.
注意事项
This product as supplied is intended for research use only, not for use in human, therapeutic or diagnostic applications.
背景资料
Ribosomes, the organelles that catalyze protein synthesis, consist of a small 40S subunit and a large 60S subunit. Together these subunits are composed of 4 RNA species and approximately 80 structurally distinct proteins. This gene encodes a cytoplasmic ribosomal protein that is a component of the 40S subunit. The protein belongs to the S6E family of ribosomal proteins. It is the major substrate of protein kinases in the ribosome, with subsets of five C-terminal serine residues phosphorylated by different protein kinases. Phosphorylation is induced by a wide range of stimuli, including growth factors, tumor-promoting agents, and mitogens. Dephosphorylation occurs at growth arrest. The protein may contribute to the control of cell growth and proliferation through the selective translation of particular classes of mRNA. As is typical for genes encoding ribosomal proteins, there are multiple processed pseudogenes of this gene dispersed through the genome. [provided by RefSeq, Jul 2008]
磷酸化S6核糖体蛋白重组兔单抗磷酸化S6核糖体蛋白重组兔单抗磷酸化S6核糖体蛋白重组兔单抗磷酸化S6核糖体蛋白重组兔单抗磷酸化S6核糖体蛋白重组兔单抗磷酸化S6核糖体蛋白重组兔单抗磷酸化S6核糖体蛋白重组兔单抗

产品应用

应用已检合格种属预测种属推荐稀释比例
WBHuman1:500-2000
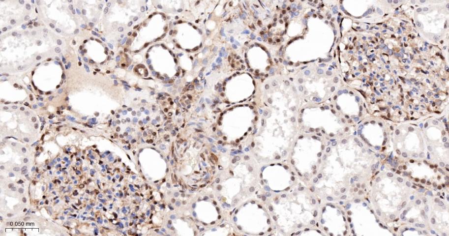
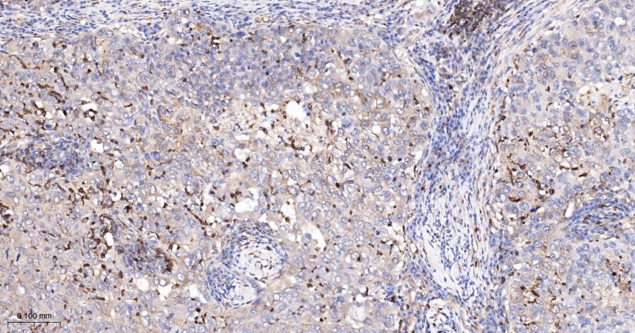
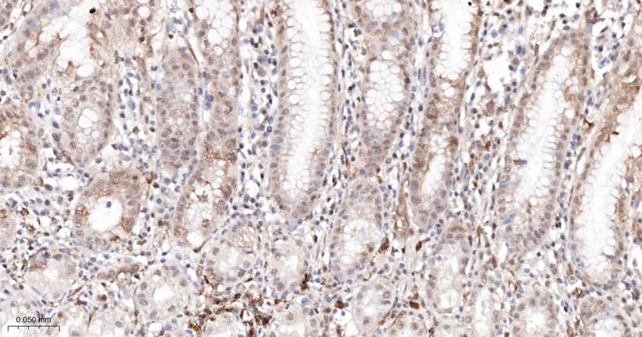
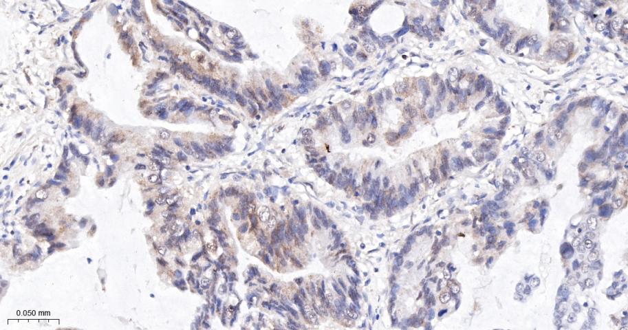
IHC-PHuman1:100-500
IHC-FHuman1:100-500
IFHuman1:100-500

交叉反应

交叉反应: Human

相关产品

暂无相关产品

靶标

基因名
RPS6
蛋白名
40S ribosomal protein S6
翻译后修饰
Ribosomal protein S6 is the major substrate of protein kinases in eukaryote ribosomes. The phosphorylation is stimulated by growth factors, tumor promoting agents, and mitogens. It is dephosphorylated at growth arrest. Phosphrylated at Ser-235 and Ser-236 by RPS6KA1 and RPS6KA3; phosphorylation at these sites facilitates the assembly of the preinitiation complex.
相似性
Belongs to the ribosomal protein S6e family.
功能
May play an important role in controlling cell growth and proliferation through the selective translation of particular classes of mRNA.

标记抗体

暂无标记数据

同靶标产品

暂无同靶标产品

相关文献

提示: 发表研究结果有使用 bsm-60942R 时请让我们知道,以便我们可以引用参考文章。作为回馈,资料提供者将获得我们送上的小礼品。

暂无相关文献

常见问题

暂无常见问题