Cleaved PARP1 p25 Recombinant Rabbit mAb (一抗) - WB,IHC-P,IHC-F,IF,Flow-Cyt,ICC/IF,IP | Bioss

Rrmab?兔单抗
2026-05-01~2026-06-30,AB26052026-05-01~2026-06-30,WB精选(促销赠品)
Cleaved PARP1 p25 Recombinant Rabbit mAb (一抗) - WB,IHC-P,IHC-F,IF,Flow-Cyt,ICC/IF,IP | Bioss
货号:bsm-60941R
产品详情
相关标记
相关产品
相关文献
常见问题

概述

产品编号
bsm-60941R
产品类型
重组兔单抗
英文名称
Cleaved PARP1 p25 Recombinant Rabbit mAb
中文名称
多腺苷二磷酸多聚酶/多聚ADP-核糖聚合酶1重组兔单抗
英文别名
ADPRT; ADPRT 1; ADPRT1; ARTD1; PARP; PARP-1; PARS; PPOL; Poly-PARP; pADPRT-1; 5830444G22Rik; Adprp; msPARP; sPARP-1; PARP1_HUMAN; PARP1; ADP-ribosyltransferase diphtheria toxin-like 1 (ARTD1); DNA ADP-ribosyltransferase PARP1; NAD(+) ADP-ribosyltransferase 1 (ADPRT 1); Poly[ADP-ribose] synthase 1; Protein poly-ADP-ribosyltransferase PARP1; 2.4.2.30; PARP1_MOUSE; Poly[ADP-ribose] synthase 1 (msPARP); PARP1_RAT;
抗体来源
Rabbit
免疫原
KLH conjugated synthetic peptide derived from human PARP1
亚型
IgG
性状
Liquid
纯化方法
affinity purified by Protein A
克隆类型
Recombinant
克隆号
9B10
理论分子量
25/114 kDa
检测分子量
113,25 kDa
浓度
1mg/ml
储存液
0.01M TBS (pH7.4) with 1% BSA, 0.02% Proclin300 and 50% Glycerol.
SWISS
Gene ID
保存条件
Shipped at 4℃. Store at -20℃ for one year. Avoid repeated freeze/thaw cycles.
注意事项
This product as supplied is intended for research use only, not for use in human, therapeutic or diagnostic applications.
产品介绍
PARP(poly ADP-ribose polymerase/PARP-type 1)是DNA修复酶。
PARP是细胞凋亡核心成员半胱胺酸蛋白酶(caspase)的切割底物。因此,它在DNA损伤修复与细胞凋亡中发挥着重要作用。Anti-PARP p85 是特意的PARPp85片段的特异抗体,由caspase剪切116kDa完整分子而得到的。
PARP是存在于多数真核细胞中的一个多功能蛋白质翻译后修饰酶。它通过识别结构损伤的DNA片段而被激活,对聚腺苷二磷酸核糖聚合酶PARP被认为是DNA损伤的感受器。它还能对许多核蛋白进行聚腺苷二磷酸核糖基化。因此,在DNA损伤修复与细胞凋亡中发挥着重要作用,端锚聚合酶在癌细胞端粒结构的调控机制中有重要作用。
背景资料
This gene encodes a chromatin-associated enzyme, poly(ADP-ribosyl)transferase, which modifies various nuclear proteins by poly(ADP-ribosyl)ation. The modification is dependent on DNA and is involved in the regulation of various important cellular processes such as differentiation, proliferation, and tumor transformation and also in the regulation of the molecular events involved in the recovery of cell from DNA damage. In addition, this enzyme may be the site of mutation in Fanconi anemia, and may participate in the pathophysiology of type I diabetes. [provided by RefSeq, Jul 2008].
多腺苷二磷酸多聚酶/多聚ADP-核糖聚合酶1重组兔单抗-bsm-60941R多腺苷二磷酸多聚酶/多聚ADP-核糖聚合酶1重组兔单抗-bsm-60941R多腺苷二磷酸多聚酶/多聚ADP-核糖聚合酶1重组兔单抗-bsm-60941R多腺苷二磷酸多聚酶/多聚ADP-核糖聚合酶1重组兔单抗-bsm-60941R多腺苷二磷酸多聚酶/多聚ADP-核糖聚合酶1重组兔单抗-bsm-60941R多腺苷二磷酸多聚酶/多聚ADP-核糖聚合酶1重组兔单抗-bsm-60941R多腺苷二磷酸多聚酶/多聚ADP-核糖聚合酶1重组兔单抗-bsm-60941R

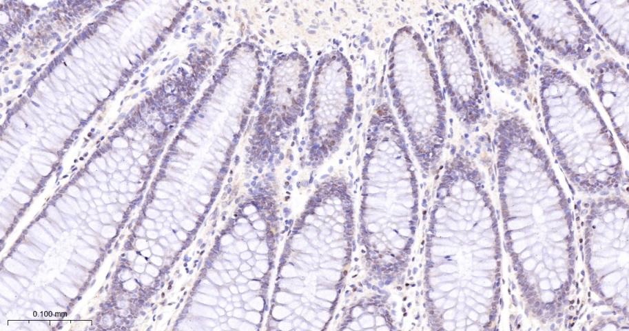
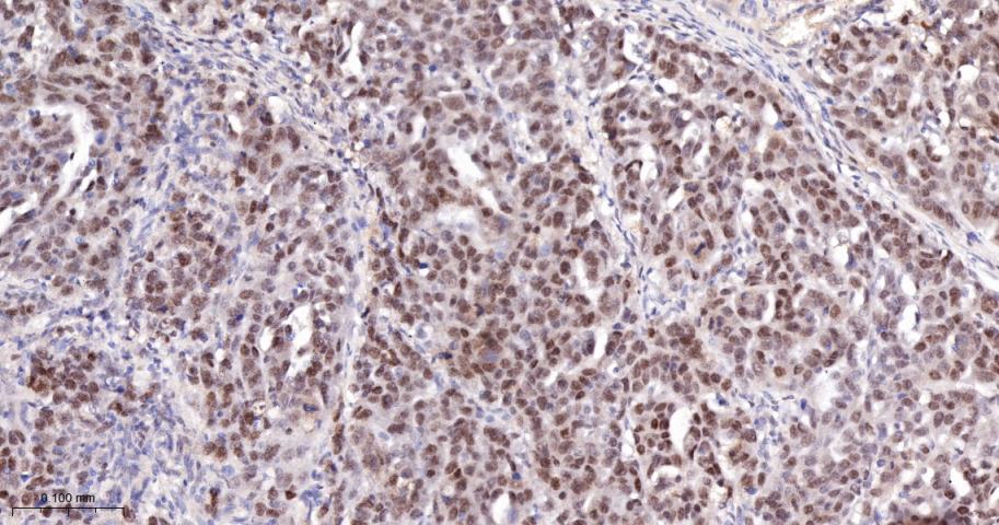
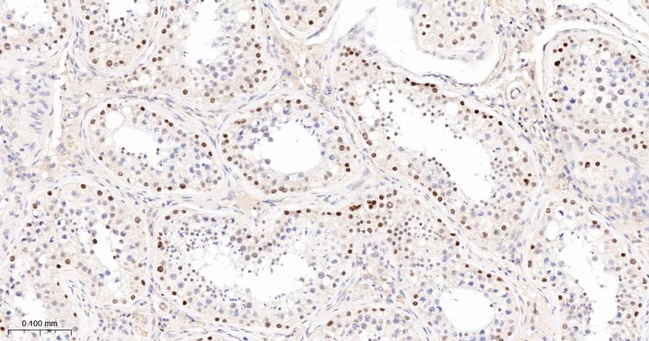
产品应用

应用已检合格种属预测种属推荐稀释比例
WBHuman1:500-2000
IHC-PHuman1:100-500
IHC-FHuman1:100-500
IFHuman1:100-500
Flow-CytHuman1:50-200
ICC/IFHuman1:50-200
IPHuman1:50-100

交叉反应

交叉反应: Human

相关产品

暂无相关产品

靶标

基因名
PARP1
蛋白名
Poly [ADP-ribose] polymerase 1
亚基
Component of a base excision repair (BER) complex, containing at least XRCC1, PARP2, POLB and LRIG3. Homo- and heterodimer with PARP2. Interacts with PARP3, APTX and SRY. The SWAP complex consists of NPM1, NCL, PARP1 and SWAP70. Interacts with TIAM2 and ZNF423 (By similarity). Interacts (when poly-ADP-ribosylated) with CHD1L. Interacts with the DNA polymerase alpha catalytic subunit POLA1; this interaction functions as part of the control of replication fork progression. Interacts with EEF1A1, RNF4 and TXK.
亚细胞定位
Mitochondrion outer membrane; Single-pass membrane protein.
Nucleus membrane; Single-pass membrane protein.
Endoplasmic reticulum membrane; Single-pass membrane protein.
Nucleus.
翻译后修饰
Phosphorylated by PRKDC and TXK. Phosphorylated upon DNA damage, probably by ATM or ATR.
Poly-ADP-ribosylated by PARP2. Poly-ADP-ribosylation mediates the recruitment of CHD1L to DNA damage sites.
S-nitrosylated, leading to inhibit transcription regulation activity.
相似性
Contains 1 BRCT domain.
Contains 1 PARP alpha-helical domain.
Contains 1 PARP catalytic domain.
Contains 2 PARP-type zinc fingers.
功能
Involved in the base excision repair (BER) pathway, by catalyzing the poly(ADP-ribosyl)ation of a limited number of acceptor proteins involved in chromatin architecture and in DNA metabolism. This modification follows DNA damages and appears as an obligatory step in a detection/signaling pathway leading to the reparation of DNA strand breaks. Mediates the poly(ADP-ribosyl)ation of APLF and CHFR. Positively regulates the transcription of MTUS1 and negatively regulates the transcription of MTUS2/TIP150. With EEF1A1 and TXK, forms a complex that acts as a T-helper 1 (Th1) cell-specific transcription factor and binds the promoter of IFN-gamma to directly regulate its transcription, and is thus involved importantly in Th1 cytokine production.

同靶标产品

相关文献

提示: 发表研究结果有使用 bsm-60941R 时请让我们知道,以便我们可以引用参考文章。作为回馈,资料提供者将获得我们送上的小礼品。

常见问题