Human Cyclooxygenase 2 Ready-To-Use IHC Kit (免疫组化试剂盒) - IHC-P | Bioss

Human Cyclooxygenase 2 Ready-To-Use IHC Kit (免疫组化试剂盒) - IHC-P | Bioss
货号:IHC0408H
产品详情
相关产品
相关文献
常见问题

概述

产品编号
IHC0408H
英文名称
Human Cyclooxygenase 2 Ready-To-Use IHC Kit
中文名称
人环氧合酶2即用型免疫组化试剂盒
英文别名
COX-2; hCox-2; PGHS-2; Pghs-b; Pghs2; PHS-2; TIS10; COX 2; COX2; Cyclooxygenase 2; GRIPGHS; hCox 2; PGG/HS; PGH synthase 2; PGHS 2; PHS 2; PHS II; Prostaglandin G/H synthase 2; Prostaglandin H2 synthase 2; PTGS2
描述
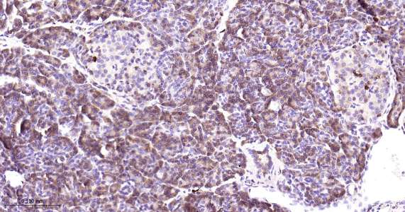
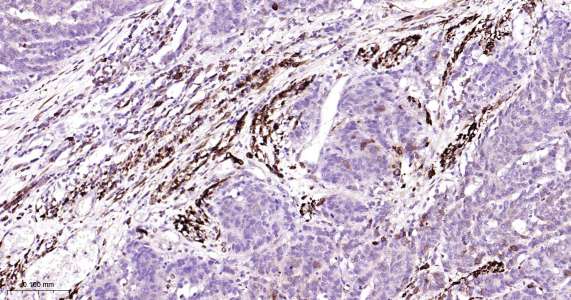
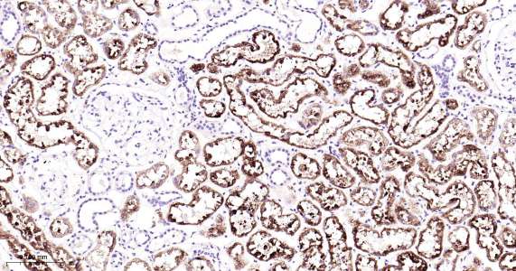
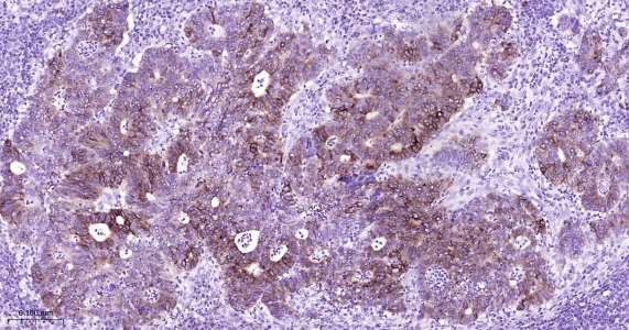
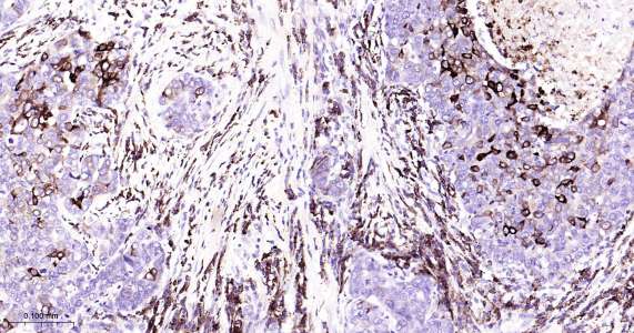
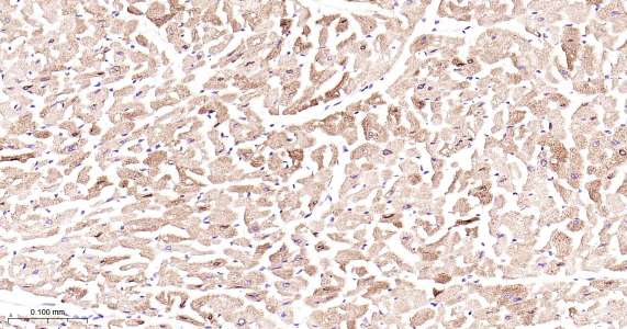
IHC0408H is a ready-to-use IHC kit for staining of human Cyclooxygenase 2. The kit provides all reagents, from antigen retrieval to cover slip mounting, that require little to no diluting or handling prior to use. Simply apply the reagents to your sample slide according to the protocol and you're steps away from obtaining high-quality IHC data.
适用样品基质
FFPE tissue
应用范围
Immunohistochemistry
保存条件
Please store components at the temperatures indicated on the individual tube labels. The kit is stable for 6 months from the date of receipt.
背景资料
COX2 converts arachidonate to prostaglandin H2 (PGH2), a committed step in prostanoid synthesis, including production of inflammatory prostaglandins. The conversion of arachidonate to prostaglandin H2 is a 2 step reaction: a cyclooxygenase (COX) reaction which converts arachidonate to prostaglandin G2 (PGG2) and a peroxidase reaction in which PGG2 is reduced to prostaglandin H2 (PGH2). It is constitutively expressed in some tissues in physiological conditions, such as the endothelium, kidney and brain, and is up-regulated under pathological conditions, such as in cancer and inflammation (in contrast to the iso-enzyme PTGS1, which is expressed ubiquitously). Up-regulation of COX2 is also associated with increased cell adhesion, phenotypic changes, resistance to apoptosis and tumor angiogenesis. In cancer cells, COX2 is a key step in the production of prostaglandin E2 (PGE2), which plays important roles in modulating motility, proliferation and resistance to apoptosis. COX2 is naturally inhibited by calcitriol (the active form of Vitamin D). Glucocorticoids chronically trans-repress PTGS2 gene activity in vivo in part by interfering with transcription initiation and elongation. COX2 is a target of NSAID such as aspirin, which can reduce pain and swelling from inflammation driven by COX2.
人环氧合酶2即用型免疫组化试剂盒-IHC0408H人环氧合酶2即用型免疫组化试剂盒-IHC0408H人环氧合酶2即用型免疫组化试剂盒-IHC0408H人环氧合酶2即用型免疫组化试剂盒-IHC0408H人环氧合酶2即用型免疫组化试剂盒-IHC0408H人环氧合酶2即用型免疫组化试剂盒-IHC0408H人环氧合酶2即用型免疫组化试剂盒-IHC0408H人环氧合酶2即用型免疫组化试剂盒-IHC0408H

产品应用

产品应用: IHC-P

交叉反应

交叉反应: Human

相关产品

暂无相关产品

靶标

基因名
PTGS2
蛋白名
Prostaglandin G/H synthase 2
亚基
Homodimer.
亚细胞定位
#Endoplasmic reticulum #Membrane #Microsome #Nucleus
翻译后修饰
S-nitrosylation by NOS2 (iNOS) activates enzyme activity. S-nitrosylation may take place on different Cys residues in addition to Cys-526. Acetylated at Ser-565 by SPHK1. During neuroinflammation, acetylation by SPHK1 promotes neuronal secretion of specialized preresolving mediators (SPMs), especially 15-R-lipoxin A4, which results in an increase of phagocytic microglia.
疾病
Showing features for mutagenesis, natural variant.
相似性
Belongs to the prostaglandin G/H synthase family.
功能
Dual cyclooxygenase and peroxidase in the biosynthesis pathway of prostanoids, a class of C20 oxylipins mainly derived from arachidonate ((5Z,8Z,11Z,14Z)-eicosatetraenoate, AA, C20:4(n-6)), with a particular role in the inflammatory response (PubMed:11939906, PubMed:16373578, PubMed:19540099, PubMed:22942274, PubMed:26859324, PubMed:27226593, PubMed:7592599, PubMed:7947975, PubMed:9261177). The cyclooxygenase activity oxygenates AA to the hydroperoxy endoperoxide prostaglandin G2 (PGG2), and the peroxidase activity reduces PGG2 to the hydroxy endoperoxide prostaglandin H2 (PGH2), the precursor of all 2-series prostaglandins and thromboxanes (PubMed:16373578, PubMed:22942274, PubMed:26859324, PubMed:27226593, PubMed:7592599, PubMed:7947975, PubMed:9261177). This complex transformation is initiated by abstraction of hydrogen at carbon 13 (with S-stereochemistry), followed by insertion of molecular O2 to form the endoperoxide bridge between carbon 9 and 11 that defines prostaglandins. The insertion of a second molecule of O2 (bis-oxygenase activity) yields a hydroperoxy group in PGG2 that is then reduced to PGH2 by two electrons (PubMed:16373578, PubMed:22942274, PubMed:26859324, PubMed:27226593, PubMed:7592599, PubMed:7947975, PubMed:9261177). Similarly catalyzes successive cyclooxygenation and peroxidation of dihomo-gamma-linoleate (DGLA, C20:3(n-6)) and eicosapentaenoate (EPA, C20:5(n-3)) to corresponding PGH1 and PGH3, the precursors of 1- and 3-series prostaglandins (PubMed:11939906, PubMed:19540099). In an alternative pathway of prostanoid biosynthesis, converts 2-arachidonoyl lysophopholipids to prostanoid lysophopholipids, which are then hydrolyzed by intracellular phospholipases to release free prostanoids (PubMed:27642067). Metabolizes 2-arachidonoyl glycerol yielding the glyceryl ester of PGH2, a process that can contribute to pain response (PubMed:22942274). Generates lipid mediators from n-3 and n-6 polyunsaturated fatty acids (PUFAs) via a lipoxygenase-type mechanism. Oxygenates PUFAs to hydroperoxy compounds and then reduces them to corresponding alcohols (PubMed:11034610, PubMed:11192938, PubMed:9048568, PubMed:9261177). Plays a role in the generation of resolution phase interaction products (resolvins) during both sterile and infectious inflammation (PubMed:12391014). Metabolizes docosahexaenoate (DHA, C22:6(n-3)) to 17R-HDHA, a precursor of the D-series resolvins (RvDs) (PubMed:12391014). As a component of the biosynthetic pathway of E-series resolvins (RvEs), converts eicosapentaenoate (EPA, C20:5(n-3)) primarily to 18S-HEPE that is further metabolized by ALOX5 and LTA4H to generate 18S-RvE1 and 18S-RvE2 (PubMed:21206090). In vascular endothelial cells, converts docosapentaenoate (DPA, C22:5(n-3)) to 13R-HDPA, a precursor for 13-series resolvins (RvTs) shown to activate macrophage phagocytosis during bacterial infection (PubMed:26236990). In activated leukocytes, contributes to oxygenation of hydroxyeicosatetraenoates (HETE) to diHETES (5,15-diHETE and 5,11-diHETE) (PubMed:22068350, PubMed:26282205). Can also use linoleate (LA, (9Z,12Z)-octadecadienoate, C18:2(n-6)) as substrate and produce hydroxyoctadecadienoates (HODEs) in a regio- and stereospecific manner, being (9R)-HODE ((9R)-hydroxy-(10E,12Z)-octadecadienoate) and (13S)-HODE ((13S)-hydroxy-(9Z,11E)-octadecadienoate) its major products (By similarity). During neuroinflammation, plays a role in neuronal secretion of specialized preresolving mediators (SPMs) 15R-lipoxin A4 that regulates phagocytic microglia (By similarity).

同靶标产品

相关文献

常见问题