Cancer > Cell Death > Autophagy > Autophagosome
Cardiovascular > Heart > Autophagy > Autophagosome
Epigenetics and Nuclear Signaling > Transcription > Polymerase associated factors > Pol II Transcription
Metabolism > Pathways and Processes > Metabolism processes > Autophagy and mitophagy > Autophagosome
Signal Transduction > Protein Trafficking > Vesicle Transport > Regulation
Signal Transduction > Signaling Pathway > Nuclear Signaling > NFkB Pathway









| 应用 | 已检合格种属 | 预测种属 | 推荐稀释比例 |
|---|---|---|---|
| WB | Human | 1:500-2000 | |
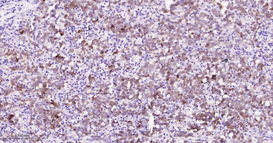
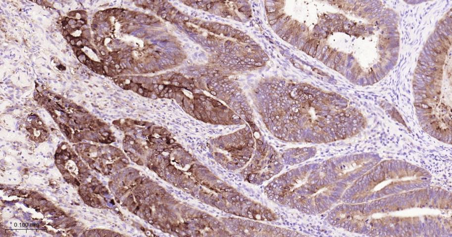
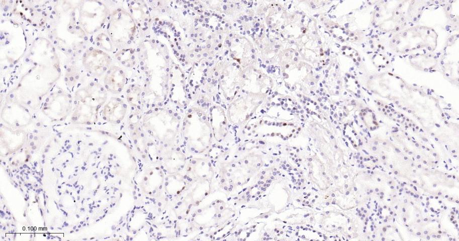
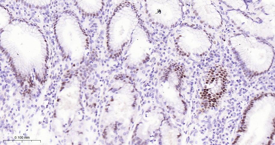
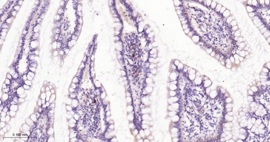
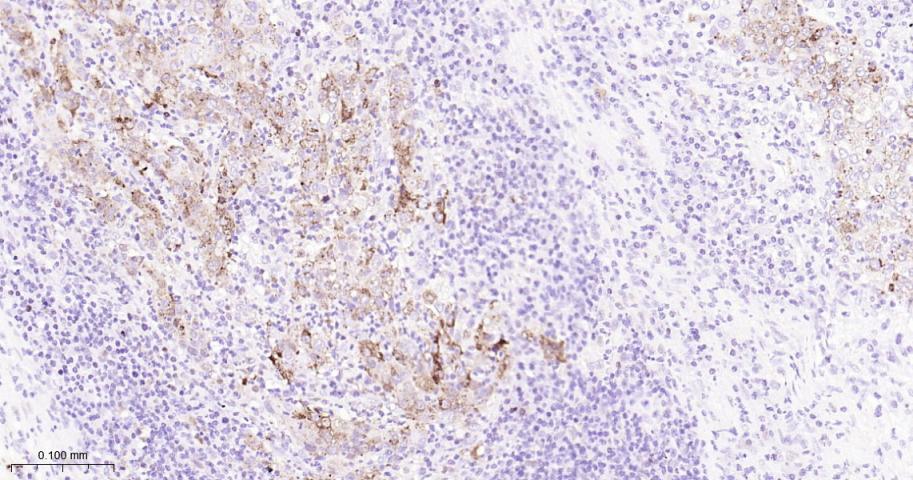
| IHC-P | Human | 1:50-200 | |
| IHC-F | Human | 1:50-200 | |
| IF | Human | 1:50-200 | |
| Flow-Cyt | Human | 1:50-100 | |
| ICC/IF | Human | 1:50-200 | |
| IP | Human | 1:20-50 |
交叉反应: Human
暂无相关产品
暂无标记数据
暂无同靶标产品
暂无相关文献
暂无常见问题