FCER2/CD23 Mouse mAb (一抗) - IHC-P,IHC-F,IF | Bioss

2026-05-01~2026-06-30,AB2605
FCER2/CD23 Mouse mAb (一抗) - IHC-P,IHC-F,IF | Bioss
货号:bsm-43216M
产品详情
相关标记
相关产品
相关文献
常见问题

概述

产品编号
bsm-43216M
产品类型
mIHC精品抗体
英文名称
FCER2/CD23 Mouse mAb
中文名称
FCER2/CD23单克隆抗体
英文别名
FCER2_HUMAN; FCER2; BLAST-2; C-type lectin domain family 4 member J; Fc-epsilon-RII; Immunoglobulin E-binding factor; Lymphocyte IgE receptor; CD23A; CLEC4J; FCE2; IGEBF; FCER2_MOUSE; Fcer2a; Fc epsilon receptor II; Fc fragment of IgE, low affinity II, receptor for (CD23A); Fc fragment of IgE, low affinity II, receptor for (CD23); Fc fragment of IgE receptor II; Fc epsilon RII
抗体来源
Mouse
免疫原
Recombinant human FCER2/CD23 protein: 48-321/321
亚型
IgG2b
性状
Liquid
纯化方法
affinity purified by Protein A
克隆类型
Monoclonal
克隆号
10C1
理论分子量
36 kDa
浓度
1mg/ml
储存液
0.01M TBS (pH7.4) with 1% BSA, 0.02% Proclin300 and 50% Glycerol.
SWISS
Gene ID
保存条件
Shipped at 4℃. Store at -20℃ for one year. Avoid repeated freeze/thaw cycles.
注意事项
This product as supplied is intended for research use only, not for use in human, therapeutic or diagnostic applications.
产品介绍
CD23是一种II型跨膜糖蛋白,是存在于B细胞表面的IgE受体。在慢性B淋巴细胞白血病(CLL)和小B细胞淋巴瘤(SLL)为阳性,套细胞淋巴瘤和小核裂淋巴细胞淋巴瘤阴性。也表达于外周血B细胞的某些亚型、B淋巴细胞和EB病毒转染的B淋巴瘤细胞系。CD23是慢性B淋巴细胞白血病,小B细胞淋巴瘤诊断和鉴别诊断有用的标记物。
背景资料
The protein encoded by this gene is a B-cell specific antigen, and a low-affinity receptor for IgE. It has essential roles in B cell growth and differentiation, and the regulation of IgE production. This protein also exists as a soluble secreted form, then functioning as a potent mitogenic growth factor. Alternatively spliced transcript variants encoding different isoforms have been described for this gene.[provided by RefSeq, Jul 2011]
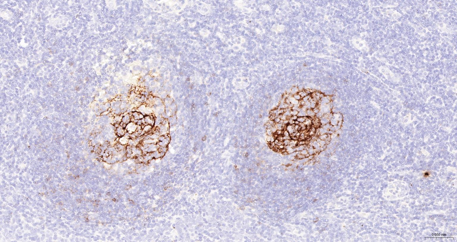
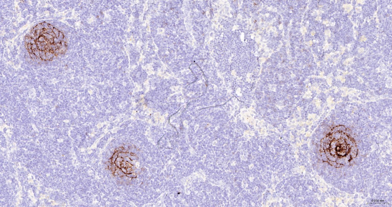
FCER2/CD23单克隆抗体-bsm-43216MFCER2/CD23单克隆抗体-bsm-43216MFCER2/CD23单克隆抗体-bsm-43216MFCER2/CD23单克隆抗体-bsm-43216M

产品应用

应用已检合格种属预测种属推荐稀释比例
IHC-PHuman1:100-500
IHC-FHuman1:100-500
IFHuman1:100-500

交叉反应

交叉反应: Human

相关产品

暂无相关产品

靶标

基因名
FCER2
蛋白名
Low affinity immunoglobulin epsilon Fc receptor
亚细胞定位
Cell membrane; Single-pass type II membrane protein. Secreted. Note=Also exists as a soluble excreted form.
翻译后修饰
N- and O-glycosylated.
相似性
Contains 1 C-type lectin domain.
功能
Low-affinity receptor for immunoglobulin E (IgE) and CR2/CD21. Has essential roles in the regulation of IgE production and in the differentiation of B-cells (it is a B-cell-specific antigen).

同靶标产品

相关文献

提示: 发表研究结果有使用 bsm-43216M 时请让我们知道,以便我们可以引用参考文章。作为回馈,资料提供者将获得我们送上的小礼品。

常见问题