白细胞蛋白酶3重组兔单抗

Rrmab?兔单抗
2026-03-02~2026-04-30,KXJ26032026-03-02~2026-04-30,促销赠品
白细胞蛋白酶3重组兔单抗
货号:bsm-43164R
产品详情
相关标记
相关产品
相关文献
常见问题

概述

产品编号
bsm-43164R
产品类型
重组兔单抗
英文名称
PR3 Recombinant Rabbit mAb
中文名称
白细胞蛋白酶3重组兔单抗
英文别名
ACPA; AGP7; C-ANCA; CANCA; MBN; MBT; NP-4; NP4; P29; PR-3; PR3; PRTN3_HUMAN; PRTN3; C-ANCA antigen; Leukocyte proteinase 3 (PR-3 | PR3); Neutrophil proteinase 4 (NP-4); Wegener autoantigen; 3.4.21.76;
抗体来源
Rabbit
免疫原
Recombinant human PR3 Protein
亚型
IgG
性状
Liquid
纯化方法
affinity purified by Protein A
克隆类型
Recombinant
克隆号
1A4
理论分子量
28 kDa
浓度
1mg/ml
储存液
0.01M TBS (pH7.4) with 1% BSA, 0.02% Proclin300 and 50% Glycerol.
SWISS
Gene ID
保存条件
Shipped at 4℃. Store at -20℃ for one year. Avoid repeated freeze/thaw cycles.
注意事项
This product as supplied is intended for research use only, not for use in human, therapeutic or diagnostic applications.
背景资料
The major features of Wegener granulomatosis are necrotizing granulomatous lesions, which most often affect the upper and lower airways and are associated with vasculitis, necrotizing glomerulonephritis and pulmonary capillaritis. The antigen responsible for this disease is Proteinase 3 (PR3, P29 or myeloblastin), which is one of the antibiotic proteins of neutrophilic granules belonging to the serine protease family. It is closely related to two others: Neutrophil Elastase and azurocidin. All three genes are expressed coordinately and their protein products are packaged together into azurophil granules during neutrophil differentiation. PR3 is a neutrophil protein which is able to cleave elastin and is involved in proliferation of human leukemia cells. PR3 is expressed specifically in immature myeloid cells and is a G-CSF-responsive protein critical to factor-independent growth. The genes for all three of the related serine protease family members are located in a cluster on the tip of the short arm of human chromosome 19.
白细胞蛋白酶3重组兔单抗白细胞蛋白酶3重组兔单抗

产品应用

应用已检合格种属预测种属推荐稀释比例
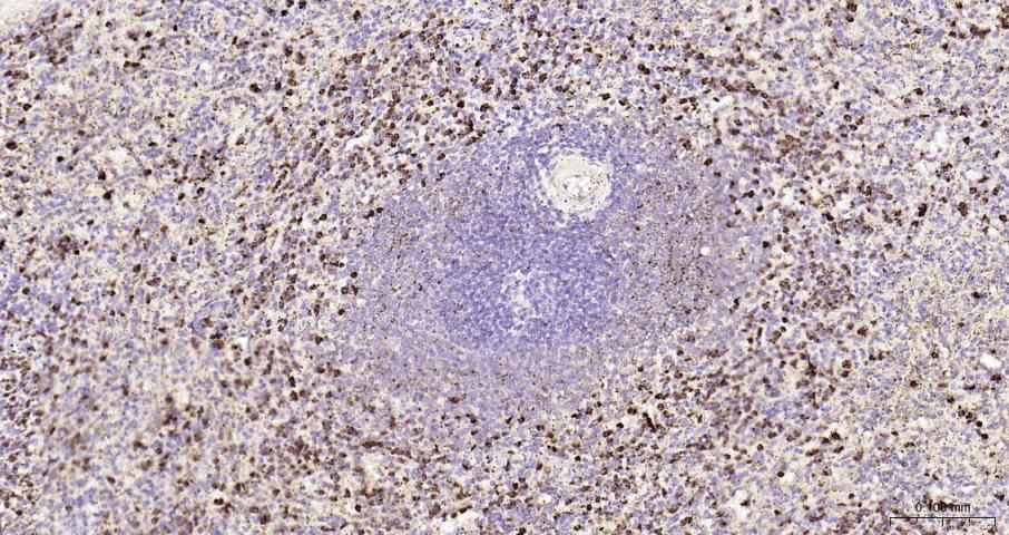
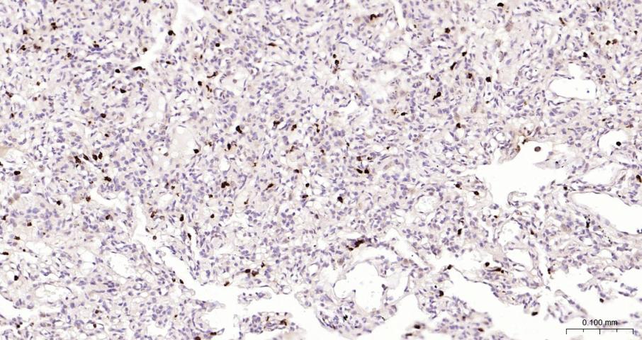
IHC-PHuman1:100-500
IHC-FHuman1:100-500
IFHuman1:100-500

交叉反应

交叉反应: Human

相关产品

暂无相关产品

靶标

基因名
PRTN3
蛋白名
Myeloblastin
相似性
Belongs to the peptidase S1 family. Elastase subfamily.
Contains 1 peptidase S1 domain.
功能
Polymorphonuclear leukocyte serine protease that degrades elastin, fibronectin, laminin, vitronectin, and collagen types I, III, and IV (in vitro) and causes emphysema when administered by tracheal insufflation to hamsters.

标记抗体

暂无标记数据

同靶标产品

暂无同靶标产品

相关文献

提示: 发表研究结果有使用 bsm-43164R 时请让我们知道,以便我们可以引用参考文章。作为回馈,资料提供者将获得我们送上的小礼品。

暂无相关文献

常见问题

暂无常见问题