Developmental Biology > Lineage specification > Ectoderm
Neuroscience > Cell Type Marker > Neural Stem Cell marker
Neuroscience > Neurology process > Neurogenesis
Neuroscience > Neurology process > Neuroregeneration > Neuroregeneration
Signal Transduction > Antibodies > vimentin
Signal Transduction > Cytoskeleton / ECM > Cytoskeleton > Intermediate Filaments > Class III > Vimentin










| 应用 | 已检合格种属 | 预测种属 | 推荐稀释比例 |
|---|---|---|---|
| WB | Human | 1:1000-5000 | |
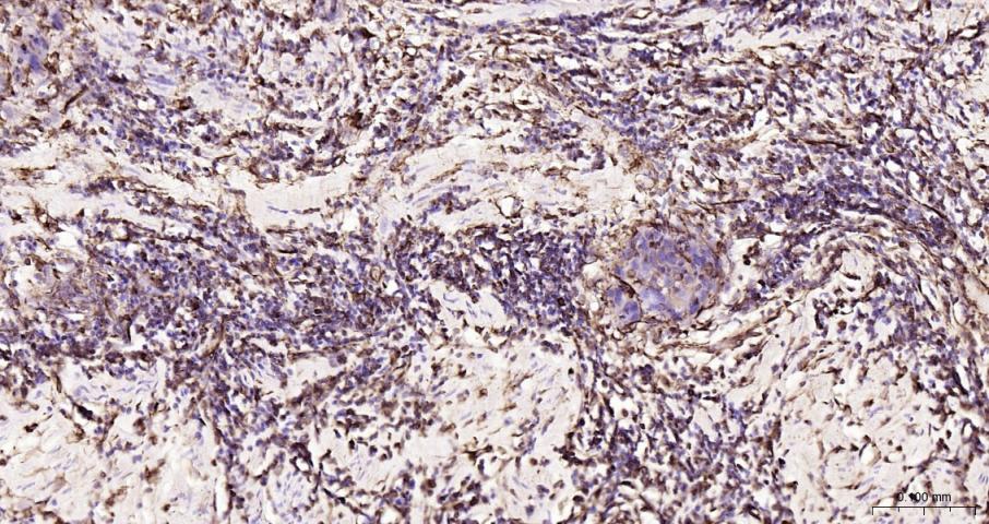
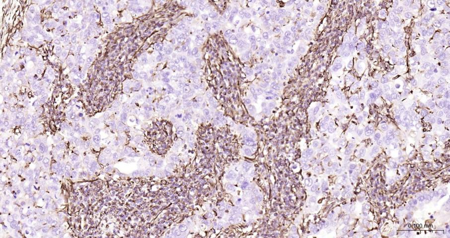
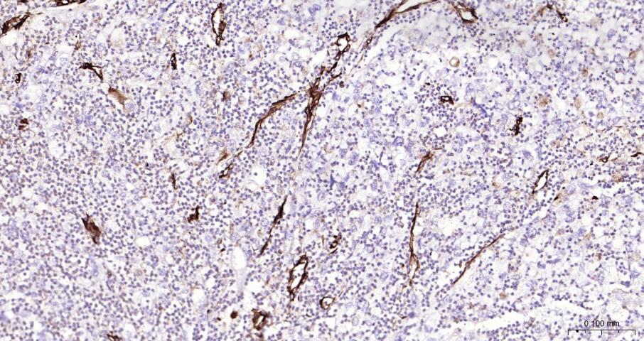
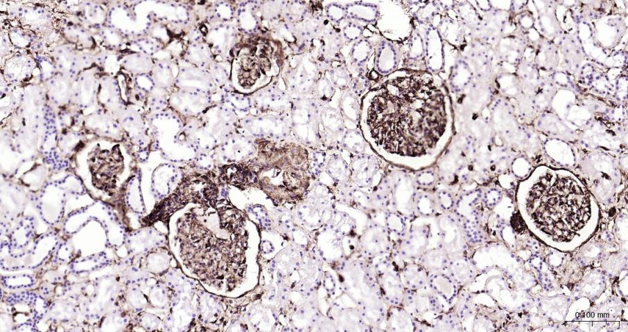
| IHC-P | Human | 1:200-1000 | |
| IHC-F | Human | 1:200-1000 | |
| IF | Human | 1:200-1000 |
交叉反应: Human
暂无相关产品
暂无标记数据
暂无同靶标产品
暂无相关文献
暂无常见问题