Cancer > Invasion/microenvironment > ECM > Cell adhesion > Cadherins
Developmental Biology > Organogenesis > Excretory system development > Kidney development
Signal Transduction > Antibodies > e cadherin
Signal Transduction > Cytoskeleton / ECM > Cell Adhesion > Cadherins
Signal Transduction > Signaling Pathway > Calcium Signaling > Calcium Binding Proteins







| 应用 | 已检合格种属 | 预测种属 | 推荐稀释比例 |
|---|---|---|---|
| WB | Human | Mouse, Rat, Rabbit, Pig, Cow, Horse | 1:1000-5000 |
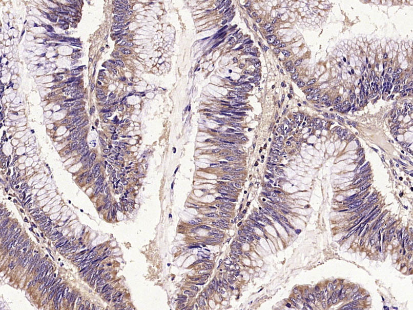
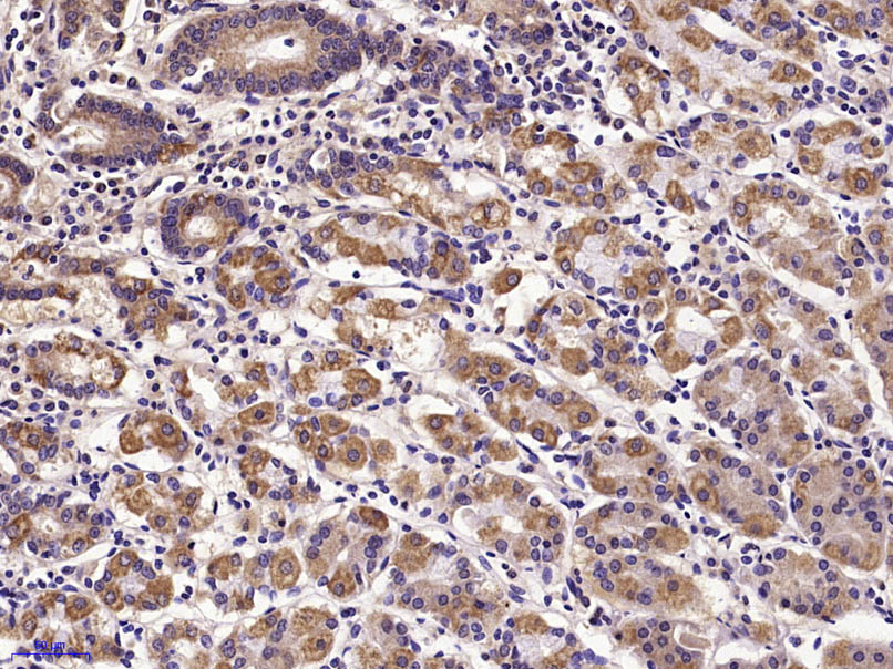
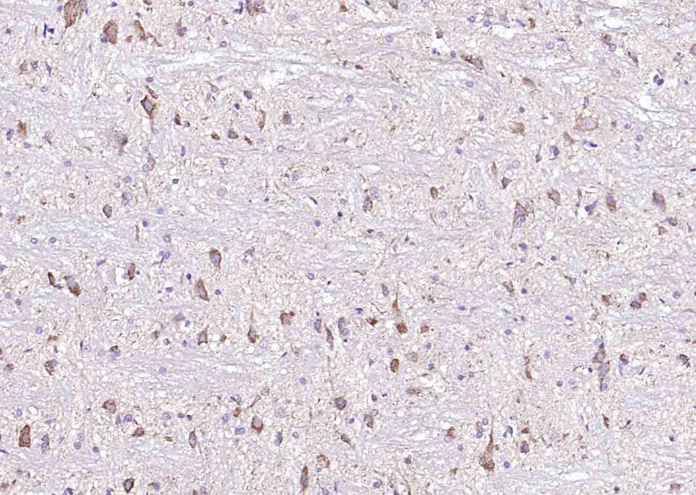
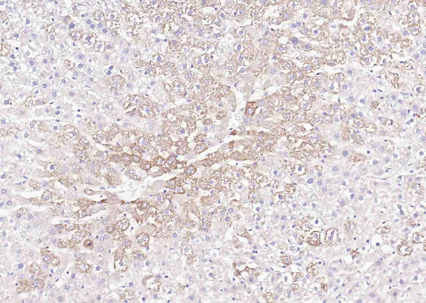
| IHC-P | Human, Rat | Mouse, Rabbit, Pig, Cow, Horse | 1:200-800 |
| IHC-F | Human, Rat | Mouse, Rabbit, Pig, Cow, Horse | 1:200-800 |
| IF | Human, Rat | Mouse, Rabbit, Pig, Cow, Horse | 1:200-800 |
交叉反应: Human, Rat (predicted: Mouse, Rabbit, Pig, Cow, Horse)
暂无相关产品