Cancer > Tumor immunology > CD markers
Developmental Biology > Embryogenesis > Embryonic stem cells > Surface molecules
Immunology > Cell Type Markers > CD > Adhesion
Stem Cells > Embryonic Stem Cells > Surface Molecules
Stem Cells > Endothelial Progenitors > Endothelial Markers
Stem Cells > Hematopoietic Progenitors > Hematopoietic Stem Cells > Human Lineage Negative
Tags & Cell Markers > Cell Type Markers > Tumor Associated
Tags & Cell Markers > Subcellular Markers > Organelles > Golgi











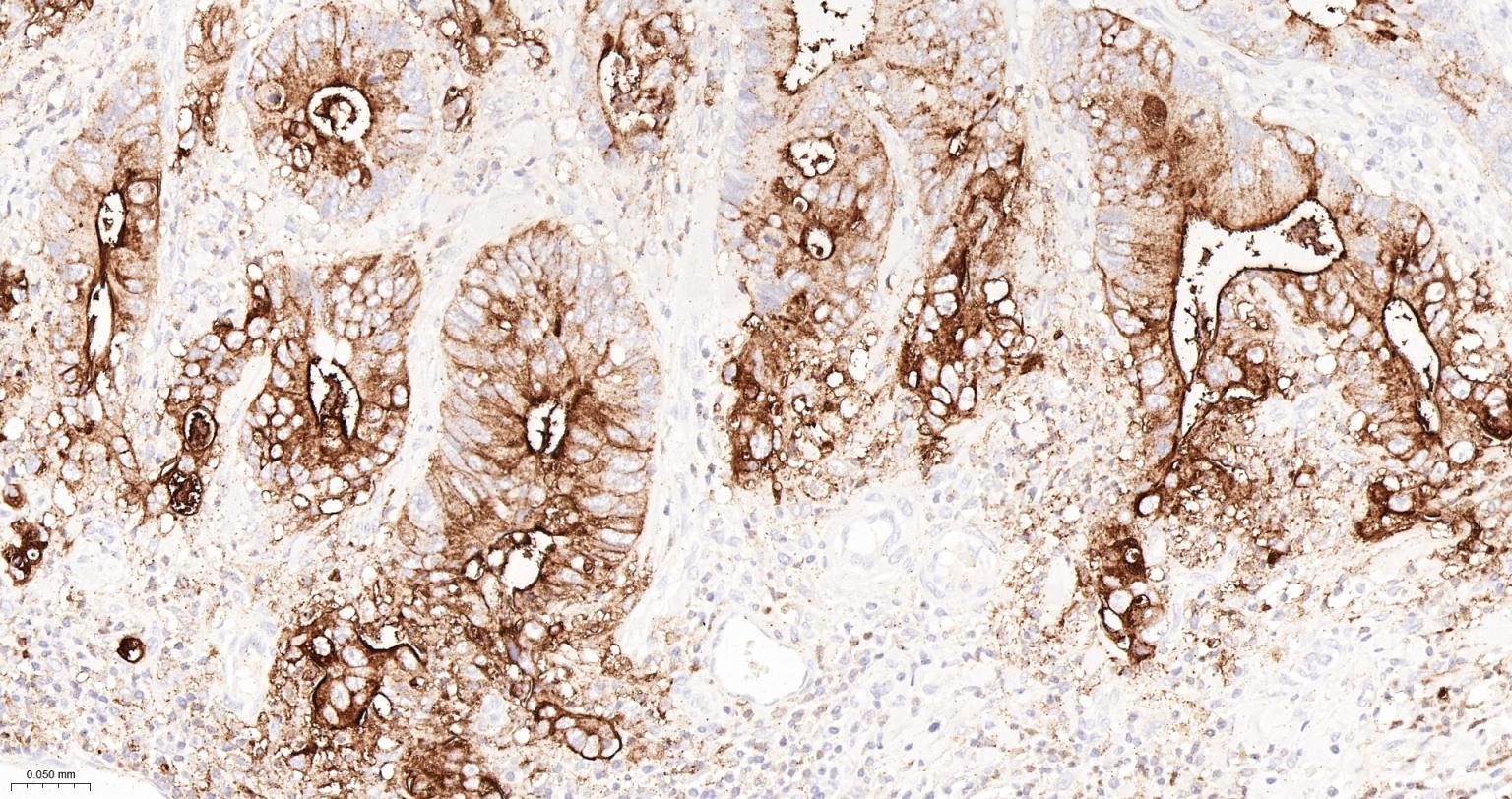
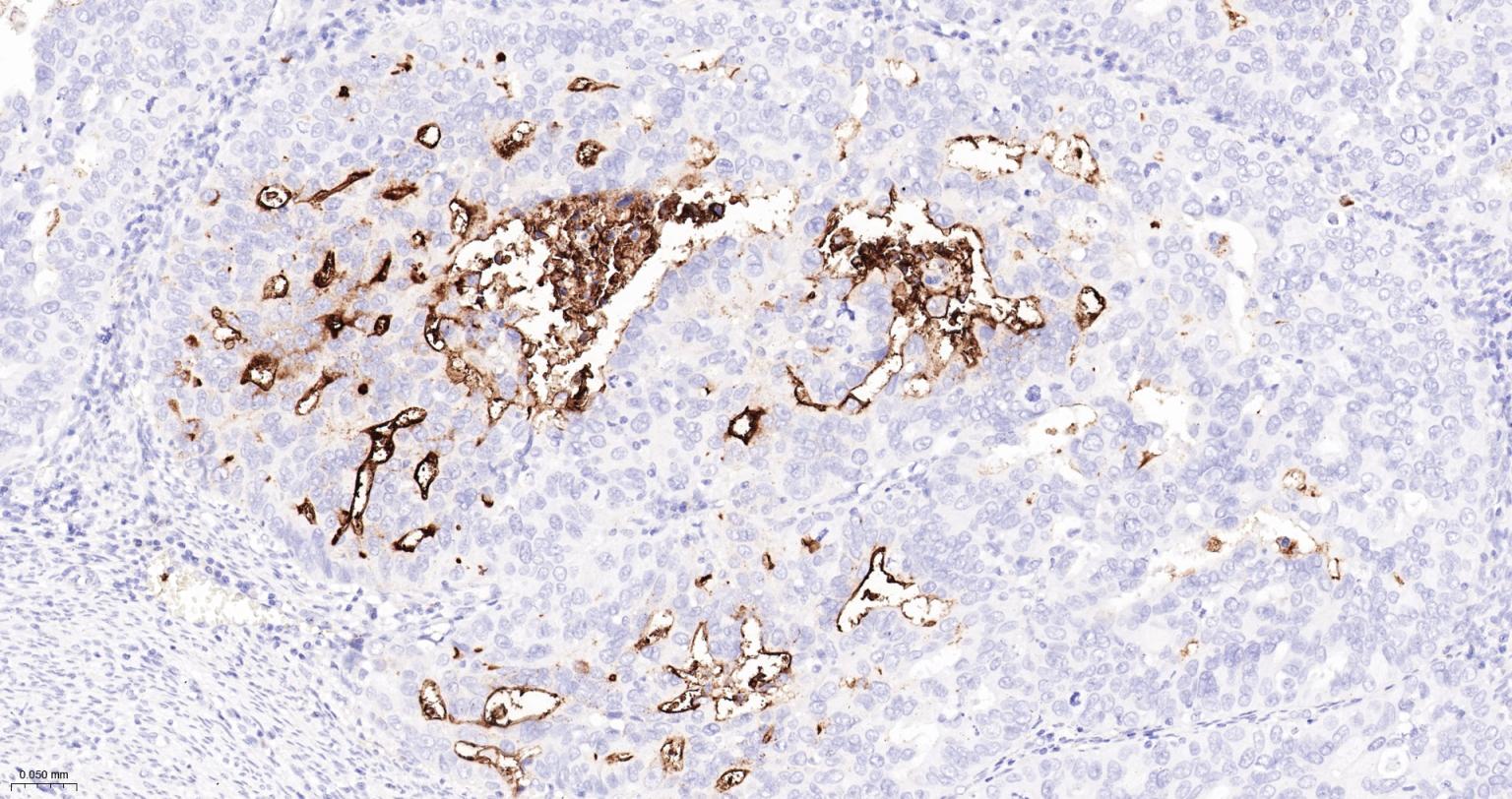
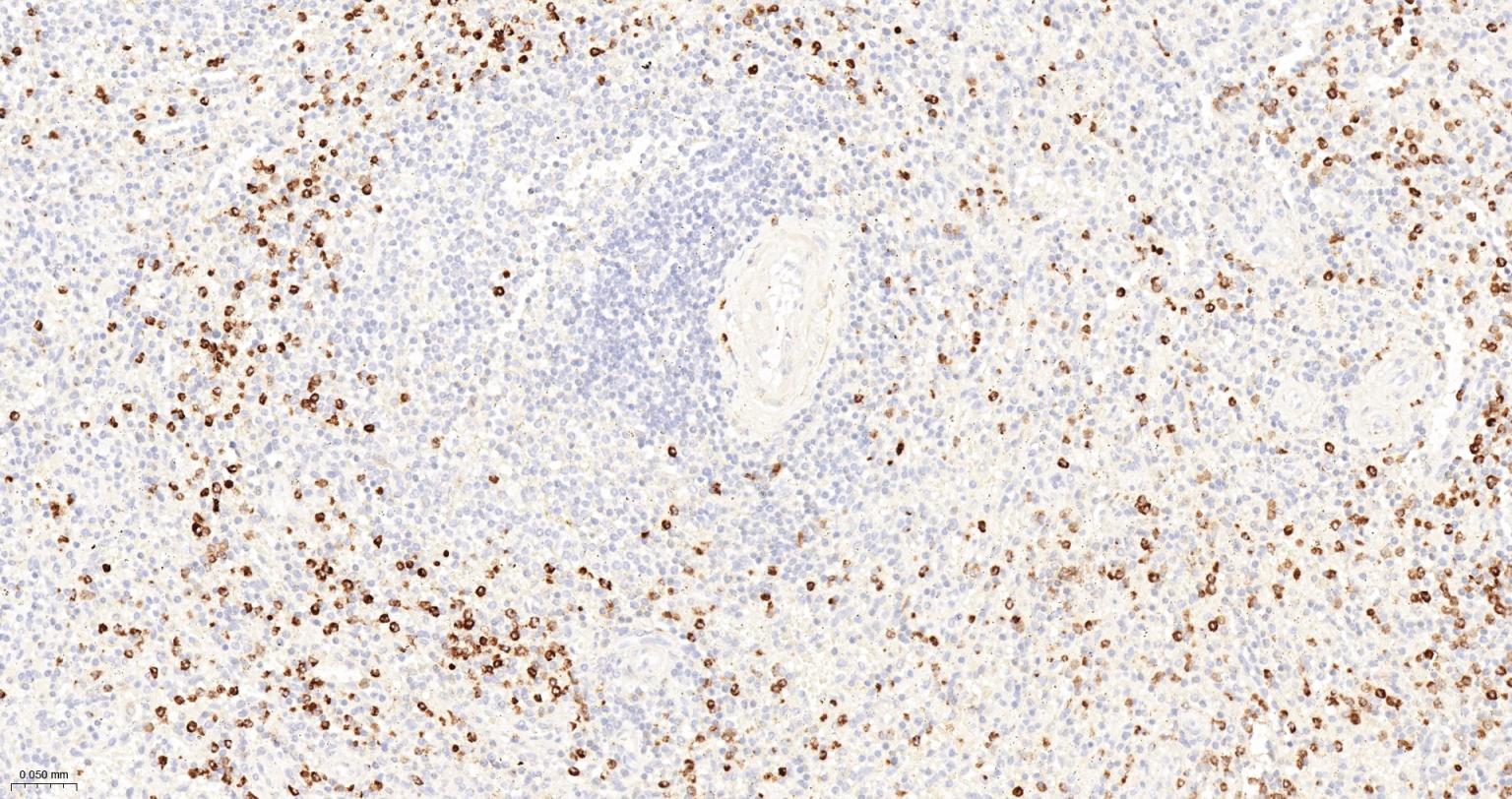
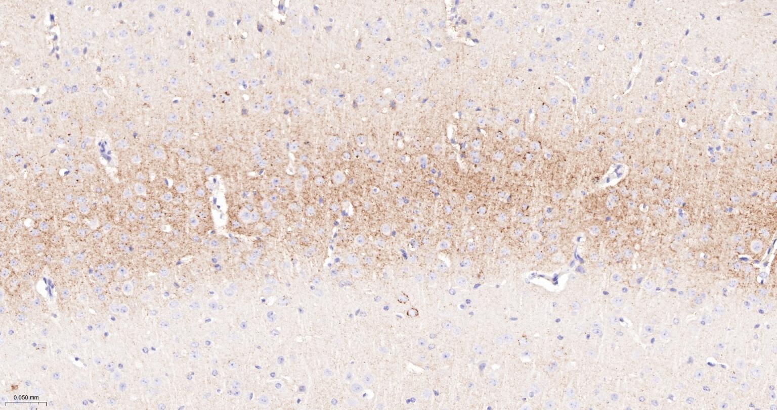
| 应用 | 已检合格种属 | 预测种属 | 推荐稀释比例 |
|---|---|---|---|
| IHC-P | Human, Mouse, Rat | 1:100-500 | |
| IHC-F | Human, Mouse, Rat | 1:100-500 | |
| IF | Human, Mouse, Rat | 1:100-500 | |
| Flow-Cyt | Human | Mouse, Rat | 1ug/Test |
交叉反应: Human, Mouse, Rat
暂无相关产品
暂无标记数据
暂无同靶标产品
暂无相关文献
暂无常见问题