Immunology > Cell Type Markers > CD > NK Cells
Stem Cells > Hematopoietic Progenitors > Hematopoietic Stem Cells > Human Lineage Negative
Stem Cells > Hematopoietic Progenitors > Lymphoid > NK Cell Lineage
Stem Cells > Hematopoietic Progenitors > Myeloid > Monocytic Lineage
Stem Cells > Hematopoietic Progenitors > Myeloid > Neutrophil Lineage










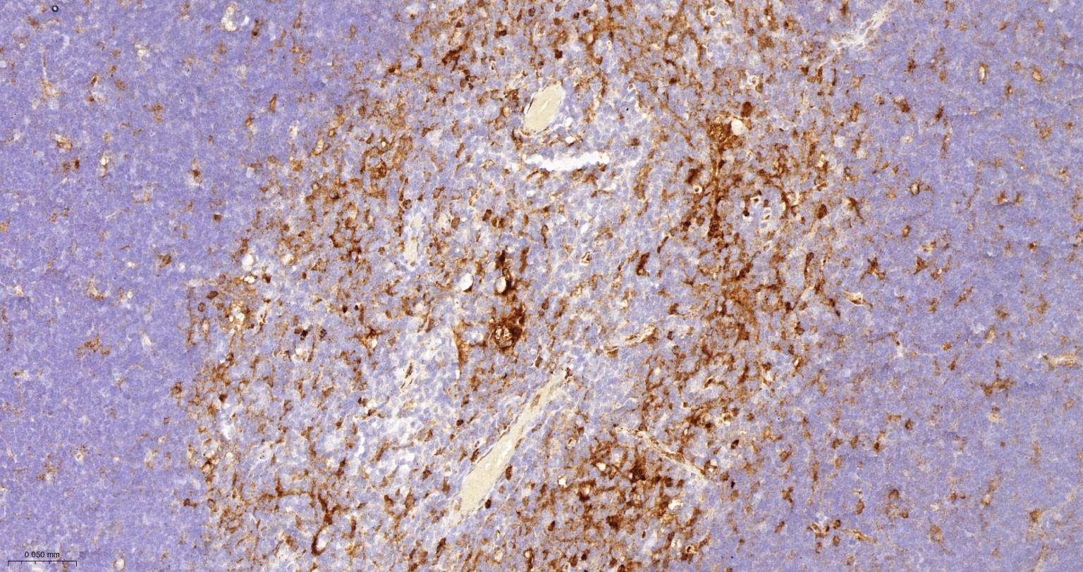
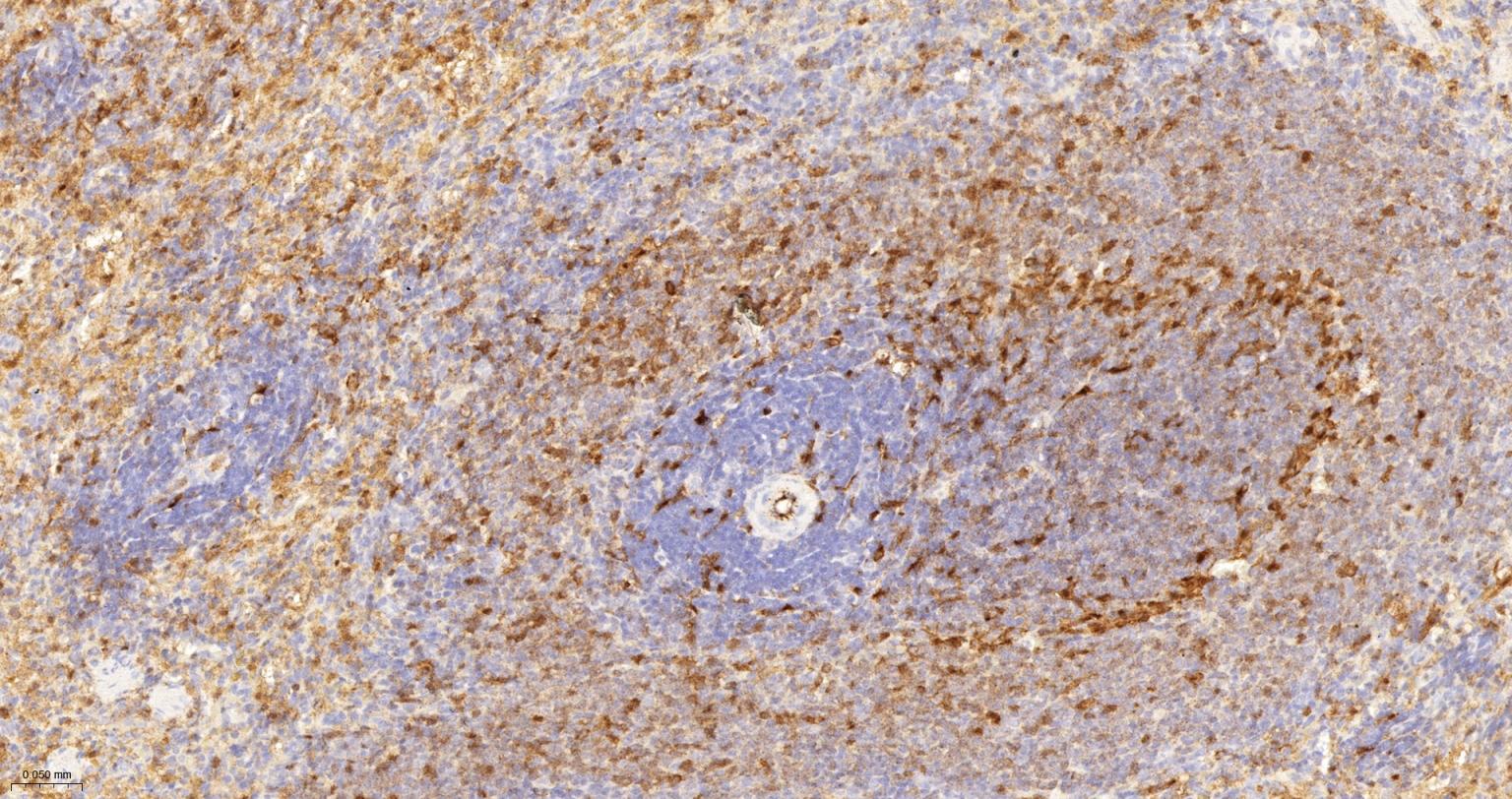
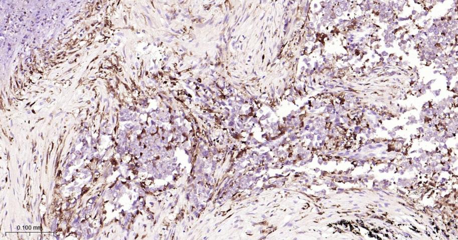
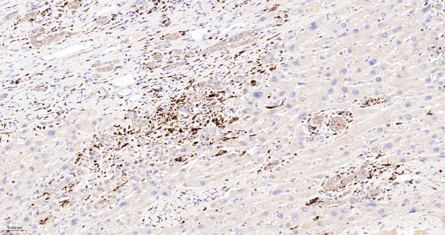
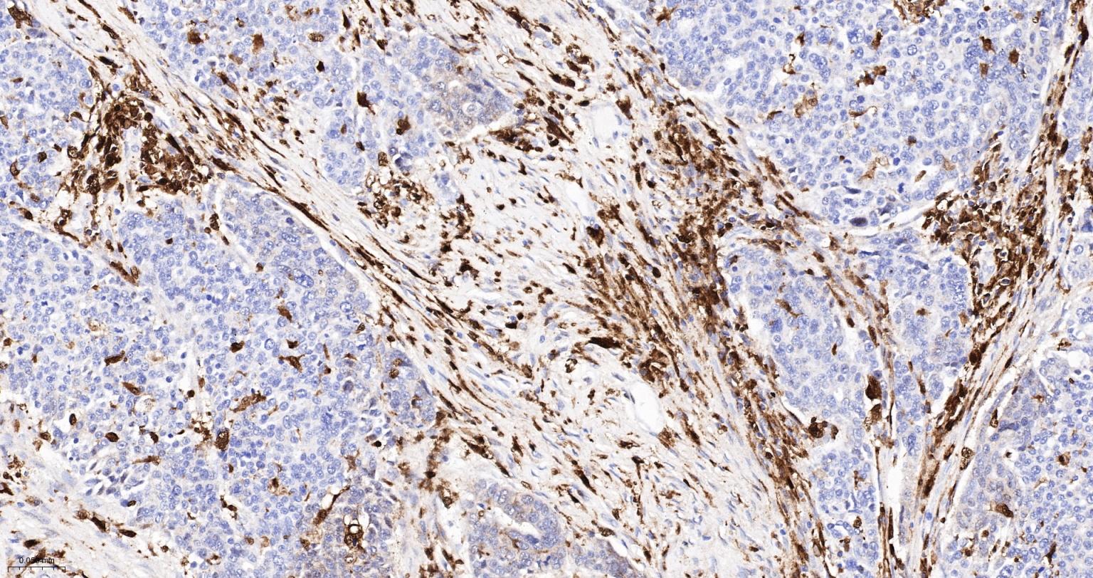
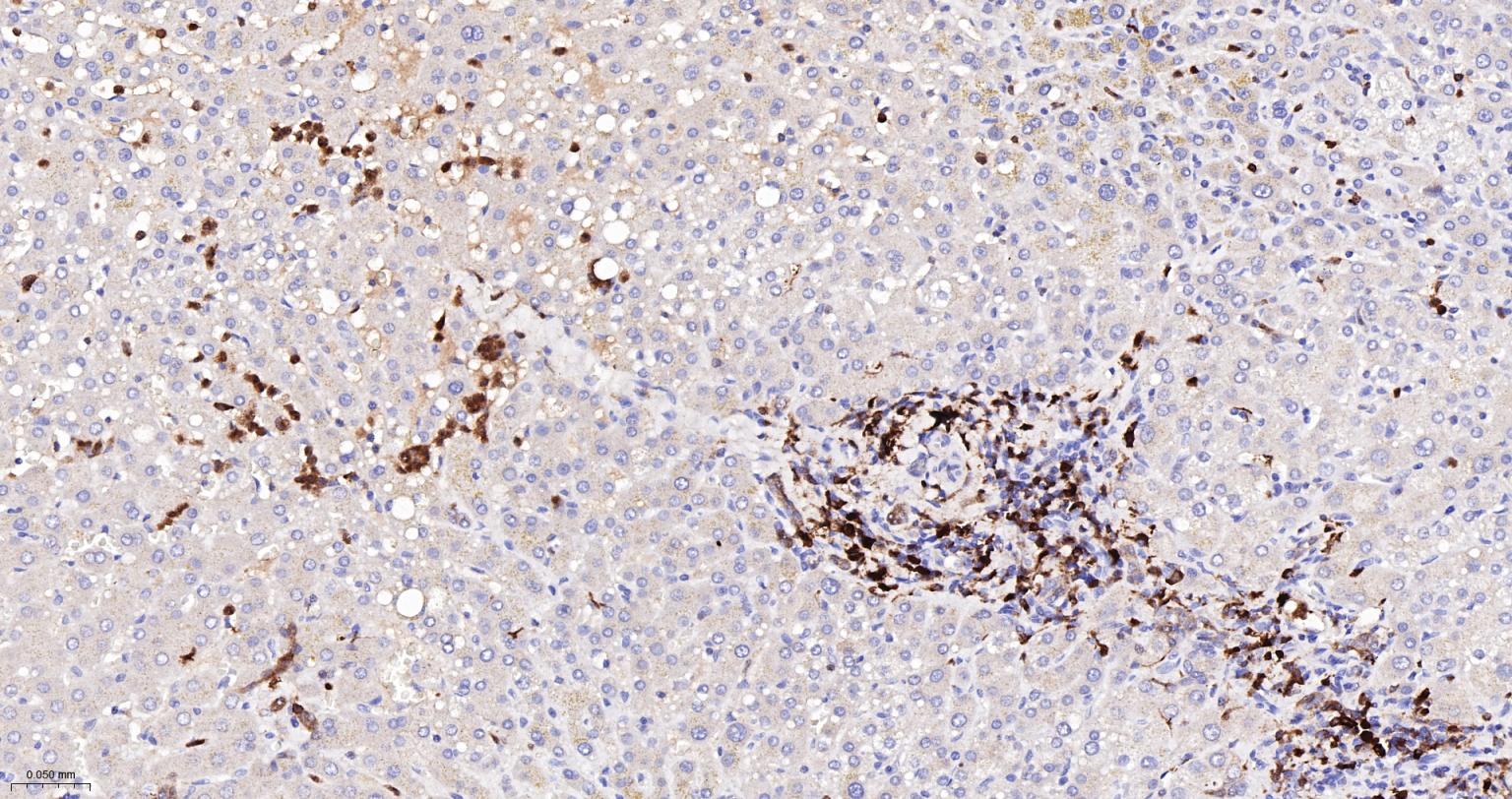
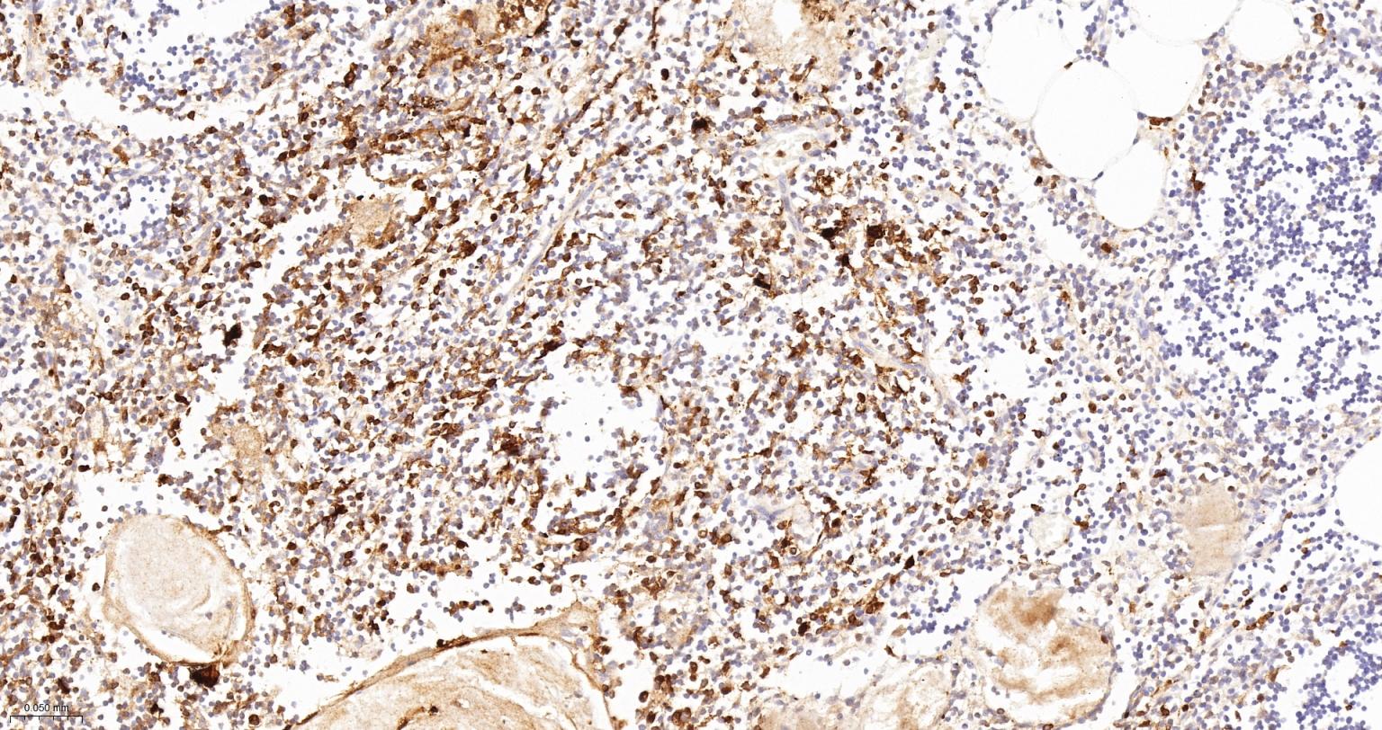
| 应用 | 已检合格种属 | 预测种属 | 推荐稀释比例 |
|---|---|---|---|
| IHC-P | Human, Rat | 1:200-2000 | |
| IHC-F | Human, Rat | 1:200-2000 | |
| IF | Human, Rat | 1:200-2000 |
交叉反应: Human, Rat
暂无相关产品
暂无标记数据
暂无同靶标产品
暂无相关文献
暂无常见问题