zeta相关蛋白70重组兔单抗

Rrmab?兔单抗
2026-03-02~2026-04-30,KXJ26032026-03-02~2026-04-30,促销赠品
zeta相关蛋白70重组兔单抗
货号:bsm-54192R
产品详情
相关标记
相关产品
相关文献
常见问题

概述

产品编号
bsm-54192R
产品类型
重组兔单抗、mIHC精品抗体
英文名称
ZAP70 Recombinant Rabbit mAb
中文名称
zeta相关蛋白70重组兔单抗
英文别名
ADMIO2; IMD48; SRK; STCD; STD; TZK; ZAP-70; mrtle; mur; ZAP70_HUMAN; ZAP70; 70 kDa zeta-chain associated protein; Syk-related tyrosine kinase; 2.7.10.2; ZAP70_MOUSE;
抗体来源
Rabbit
免疫原
A synthesized peptide derived from human ZAP70: 560-619/619
亚型
IgG
性状
Liquid
纯化方法
affinity purified by Protein A
克隆类型
Recombinant
克隆号
8F7
理论分子量
70 kDa
浓度
1mg/ml
储存液
10mM phosphate buffered saline(pH 7.4) with 150mM sodium chloride, 0.05% BSA, 0.02% Proclin300 and 50% glycerol.
SWISS
Gene ID
保存条件
Store at 4℃ for short term. Store at -20℃ for long term. Avoid repeated freeze/thaw cycles.
注意事项
This product as supplied is intended for research use only, not for use in human, therapeutic or diagnostic applications.
产品介绍
ZAP70 为慢性淋巴细胞性白血病的预后指标。
背景资料
This gene encodes an enzyme belonging to the protein tyrosine kinase family, and it plays a role in T-cell development and lymphocyte activation. This enzyme, which is phosphorylated on tyrosine residues upon T-cell antigen receptor (TCR) stimulation, functions in the initial step of TCR-mediated signal transduction in combination with the Src family kinases, Lck and Fyn. This enzyme is also essential for thymocyte development. Mutations in this gene cause selective T-cell defect, a severe combined immunodeficiency disease characterized by a selective absence of CD8-positive T-cells. Two transcript variants that encode different isoforms have been found for this gene. [provided by RefSeq, Jul 2008].
zeta相关蛋白70重组兔单抗zeta相关蛋白70重组兔单抗zeta相关蛋白70重组兔单抗zeta相关蛋白70重组兔单抗

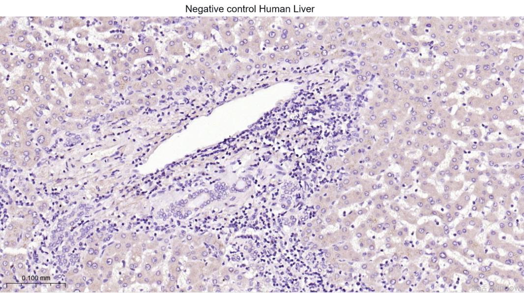
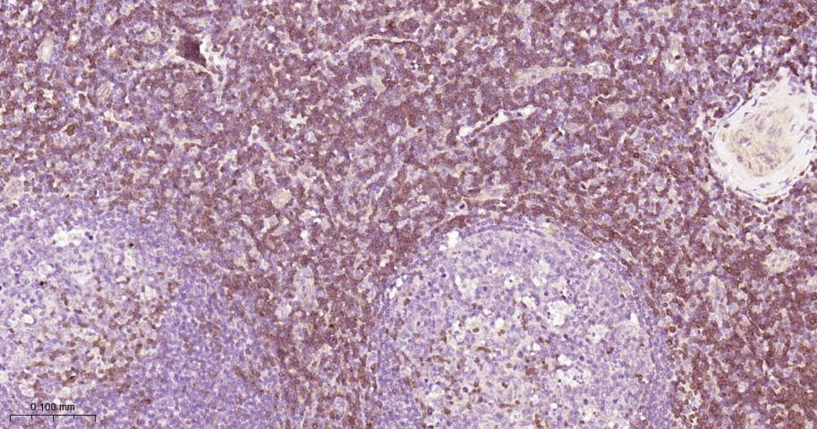
产品应用

应用已检合格种属预测种属推荐稀释比例
WBHuman1:500-2000
IHC-PHuman1:50-200
IHC-FHuman1:50-200
IFHuman1:50-200
Flow-CytHuman1:50-100
ICC/IFHuman1:50-200
IPHuman1:20-50

交叉反应

交叉反应: Human

相关产品

暂无相关产品

靶标

基因名
ZAP70
蛋白名
Tyrosine-protein kinase ZAP-70
亚基
Interacts with NFAM1. Interacts with adapter proteins SLA and SLA2; these interactions negatively regulates T-cell receptor signaling. Interacts with CBLB (By similarity). Interacts with DEF6. Interacts (via SH2 domains) with RHOH; this interaction regulates ZAP70 subcellular localization (By similarity). Interacts with FCRL3. Interacts with VAV1. Interacts with CD247/CD3Z; this interaction docks ZAP70 at the stimulated TCR. Interacts with CBL; this interaction promotes ubiquitination, internalization and subsequent degradation of CD247/CD3Z. Identified in a complex with CBL and UBE2L3.
亚细胞定位
Cytoplasm. Cell membrane; Peripheral membrane protein. Note=In quiescent T-lymphocytes, it is cytoplasmic. Upon TCR activation, it is recruited at the plasma membrane by interacting with CD247/CD3Z. Co-localizes together with RHOH in the immunological synapse. RHOH is required for its proper localization to the cell membrane and cytoskeleton fractions in the thymocytes.
组织特异性
Expressed in T- and natural killer cells. Also present in early thymocytes and pro/pre B-cells.
翻译后修饰
Phosphorylated on tyrosine residues upon T-cell antigen receptor (TCR) stimulation. Phosphorylation of Tyr-315 and Tyr-319 are essential for ZAP70 positive function on T-lymphocyte activation whereas Tyr-292 has a negative regulatory role. Within the C-terminal kinase domain, Tyr-492 and Tyr-493 are phosphorylated after TCR induction, Tyr-492 playing a negative regulatory role and Tyr-493 a positive. Tyr-493 is dephosphorylated by PTN22.
疾病
Defects in ZAP70 are the cause of selective T-cell defect (STD) [MIM:176947]. STD is an autosomal recessive form of severe combined immunodeficiency characterized by a selective absence of CD8-type T-cells.
相似性
Belongs to the protein kinase superfamily. Tyr protein kinase family. SYK/ZAP-70 subfamily.
Contains 1 protein kinase domain.
Contains 2 SH2 domains.
功能
Tyrosine kinase that plays an essential role in regulation of the adaptive immune response. Regulates motility, adhesion and cytokine expression of mature T-cells, as well as thymocyte development. Contributes also to the development and activation of primary B-lymphocytes. When antigen presenting cells (APC) activate T-cell receptor (TCR), a serie of phosphorylations lead to the recruitment of ZAP70 to the doubly phosphorylated TCR component CD247/CD3Z through ITAM motif at the plasma membrane. This recruitment serves to localization to the stimulated TCR and to relieve its autoinhibited conformation. Release of ZAP70 active conformation is further stabilized by phosphorylation mediated by LCK. Subsequently, ZAP70 phosphorylates at least 2 essential adapter proteins: LAT and LCP2. In turn, a large number of signaling molecules are recruited and ultimately lead to lymphokine production, T-cell proliferation and differentiation. Furthermore, ZAP70 controls cytoskeleton modifications, adhesion and mobility of T-lymphocytes, thus ensuring correct delivery of effectors to the APC. ZAP70 is also required for TCR-CD247/CD3Z internalization and degradation through interaction with the E3 ubiquitin-protein ligase CBL and adapter proteins SLA and SLA2. Thus, ZAP70 regulates both T-cell activation switch on and switch off by modulating TCR expression at the T-cell surface. During thymocyte development, ZAP70 promotes survival and cell-cycle progression of developing thymocytes before positive selection (when cells are still CD4/CD8 double negative). Additionally, ZAP70-dependent signaling pathway may also contribute to primary B-cells formation and activation through B-cell receptor (BCR).

标记抗体

暂无标记数据

同靶标产品

暂无同靶标产品

相关文献

提示: 发表研究结果有使用 bsm-54192R 时请让我们知道,以便我们可以引用参考文章。作为回馈,资料提供者将获得我们送上的小礼品。

暂无相关文献

常见问题

暂无常见问题