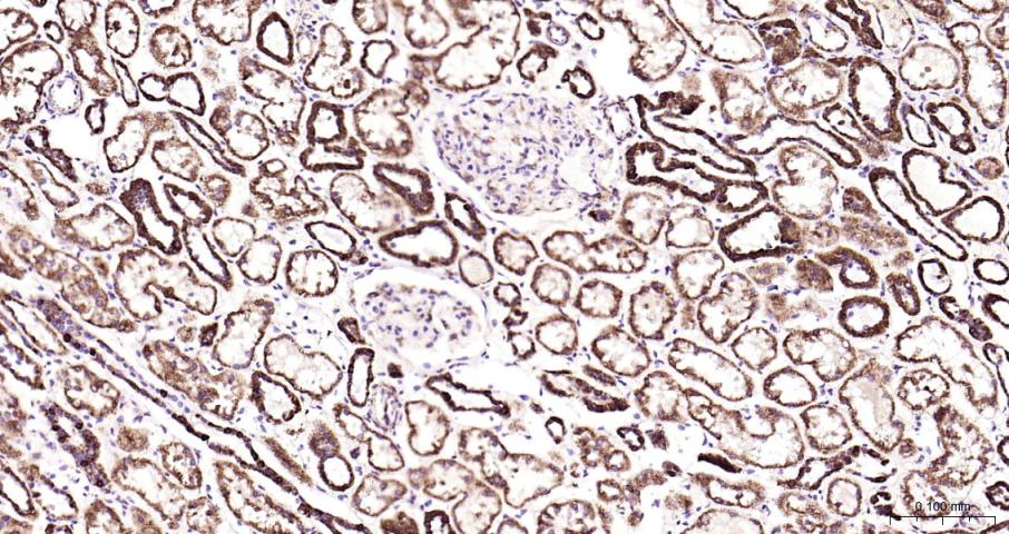
Osteocalcin Rabbit pAb (一抗) - WB,IHC-P,IHC-F,IF,ELISA | Bioss

2026-03-02~2026-04-30,KXJ26032026-03-02~2026-04-30,促销赠品
Osteocalcin Rabbit pAb (一抗) - WB,IHC-P,IHC-F,IF,ELISA | Bioss
货号:bs-4917R
产品详情
相关标记
相关产品
相关文献
常见问题

概述

产品编号
bs-4917R
英文名称
Osteocalcin Rabbit pAb
中文名称
骨钙蛋白/骨钙素抗体
英文别名
BGP; OC; OCN; Bglap2; Bgpr; Bgpra; OSTCN_BOVIN; BGLAP; Bone Gla protein (BGP); Gamma-carboxyglutamic acid-containing protein; OSTCN_HUMAN; OSTCN_PIG; OSTCN_RAT;
抗体来源
Rabbit
免疫原
KLH conjugated synthetic peptide derived from human Osteocalcin: 21-100/100
亚型
IgG
性状
Liquid
纯化方法
affinity purified by Protein A
克隆类型
Polyclonal
理论分子量
11 kDa
检测分子量
11 kDa
浓度
1mg/ml
储存液
0.01M TBS (pH7.4) with 1% BSA, 0.02% Proclin300 and 50% Glycerol.
SWISS
Gene ID
保存条件
Shipped at 4℃. Store at -20℃ for one year. Avoid repeated freeze/thaw cycles.
注意事项
This product as supplied is intended for research use only, not for use in human, therapeutic or diagnostic applications.
产品介绍
骨钙素又称骨γ-羧谷氨酸包含蛋白
背景资料
Osteocalcin belongs to the osteocalcin/matrix Gla protein family and constitutes 1 to 2% of the total bone protein. It is a 49 amino acid single chain vitamin K dependent protein, made by osteoblasts, and is a major component of the noncollagenous bone matrix. Post translational modification by a vitamin K dependent carboxylase produces three gamma carboxyglutamic acid residues at positions 17, 21 and 24, giving it a high affinity for calcium. It also binds strongly to apatite.
骨钙蛋白/骨钙素抗体-bs-4917R骨钙蛋白/骨钙素抗体-bs-4917R骨钙蛋白/骨钙素抗体-bs-4917R骨钙蛋白/骨钙素抗体-bs-4917R骨钙蛋白/骨钙素抗体-bs-4917R骨钙蛋白/骨钙素抗体-bs-4917R骨钙蛋白/骨钙素抗体-bs-4917R骨钙蛋白/骨钙素抗体-bs-4917R骨钙蛋白/骨钙素抗体-bs-4917R骨钙蛋白/骨钙素抗体-bs-4917R骨钙蛋白/骨钙素抗体-bs-4917R骨钙蛋白/骨钙素抗体-bs-4917R骨钙蛋白/骨钙素抗体-bs-4917R

产品应用

应用已检合格种属预测种属推荐稀释比例
WBHuman, Mouse, Rat1:500-2000
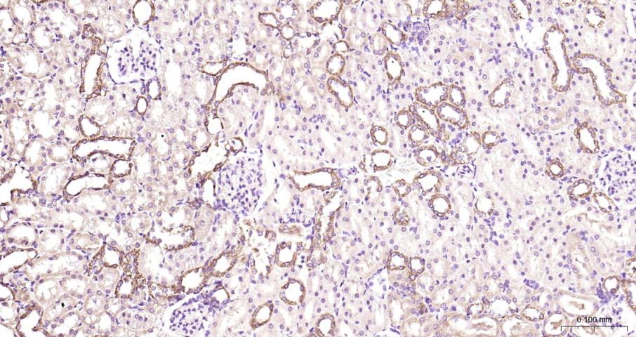
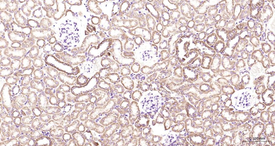
IHC-PHuman, Mouse, Rat1:100-500
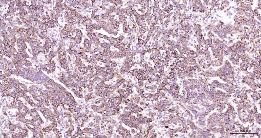
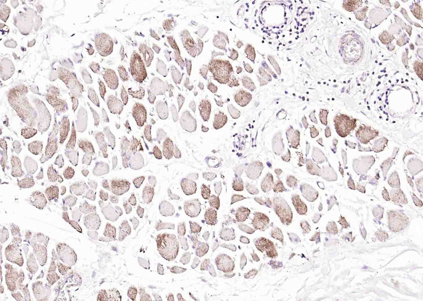
IHC-FHuman, Mouse, Rat1:100-500
IFHuman, Mouse, Rat1:100-500
ELISAHuman, Mouse, Rat1:5000-10000

交叉反应

交叉反应: Human, Mouse, Rat

相关产品

暂无相关产品

靶标

基因名
BGLAP
蛋白名
Osteocalcin
亚细胞定位
Secreted.
翻译后修饰
Gamma-carboxyglutamate residues are formed by vitamin K dependent carboxylation. These residues are essential for the binding of calcium.
相似性
Belongs to the osteocalcin/matrix Gla protein family.
Contains 1 Gla (gamma-carboxy-glutamate) domain.
功能
Constitutes 1-2% of the total bone protein. It binds strongly to apatite and calcium.

同靶标产品

相关文献

提示: 发表研究结果有使用 bs-4917R 时请让我们知道,以便我们可以引用参考文章。作为回馈,资料提供者将获得我们送上的小礼品。
具体参考文献:bs-4917R 被引用于86文献中

常见问题