Collagen XVII Recombinant Rabbit mAb (一抗) - WB,IHC-P,IHC-F,IF | Bioss

Rrmab?兔单抗
2026-05-01~2026-06-30,AB26052026-05-01~2026-06-30,WB精选(促销赠品)
Collagen XVII Recombinant Rabbit mAb (一抗) - WB,IHC-P,IHC-F,IF | Bioss
货号:bsm-52041R
产品详情
相关标记
相关产品
相关文献
常见问题

概述

产品编号
bsm-52041R
产品类型
重组兔单抗、mIHC精品抗体
英文名称
Collagen XVII Recombinant Rabbit mAb
中文名称
胶原蛋白17重组兔单抗
英文别名
BA16H23.2; BP180; BPA-2; BPAG2; ERED; JEB4; LAD-1; COHA1_HUMAN; COL17A1; 180 kDa bullous pemphigoid antigen 2; Bullous pemphigoid antigen 2; collagen type XVII alpha 1 chain; collagen, type XVII, alpha 1
抗体来源
Rabbit
免疫原
A synthesized peptide derived from human Collagen XVII alpha 1: 1333-1370/1497 <Extracellular>
亚型
IgG
性状
Liquid
纯化方法
affinity purified by Protein A
克隆类型
Recombinant
克隆号
1C11
理论分子量
150 kDa
检测分子量
125 kDa
浓度
1mg/1ml
储存液
0.01M TBS (pH7.4) with 1% BSA, 0.02% Proclin300 and 50% Glycerol.
SWISS
Gene ID
保存条件
Shipped at 4℃. Store at -20℃ for one year. Avoid repeated freeze/thaw cycles.
注意事项
This product as supplied is intended for research use only, not for use in human, therapeutic or diagnostic applications.
背景资料
This gene encodes the alpha chain of type XVII collagen. Unlike most collagens, collagen XVII is a transmembrane protein. Collagen XVII is a structural component of hemidesmosomes, multiprotein complexes at the dermal-epidermal basement membrane zone that mediate adhesion of keratinocytes to the underlying membrane. Mutations in this gene are associated with both generalized atrophic benign and junctional epidermolysis bullosa. Two homotrimeric forms of type XVII collagen exist. The full length form is the transmembrane protein. A soluble form, referred to as either ectodomain or LAD-1, is generated by proteolytic processing of the full length form. [provided by RefSeq, Jul 2008]
胶原蛋白17重组兔单抗-bsm-52041R胶原蛋白17重组兔单抗-bsm-52041R胶原蛋白17重组兔单抗-bsm-52041R胶原蛋白17重组兔单抗-bsm-52041R胶原蛋白17重组兔单抗-bsm-52041R胶原蛋白17重组兔单抗-bsm-52041R胶原蛋白17重组兔单抗-bsm-52041R胶原蛋白17重组兔单抗-bsm-52041R胶原蛋白17重组兔单抗-bsm-52041R

产品应用

应用已检合格种属预测种属推荐稀释比例
WBRatHuman, Mouse1:500-2000
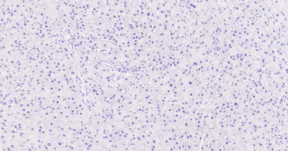
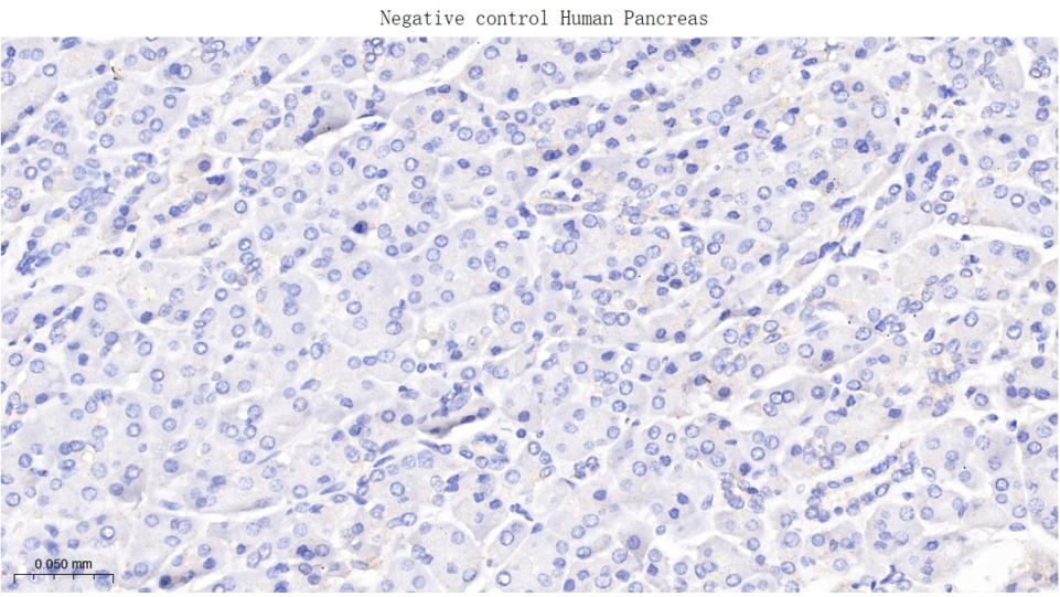
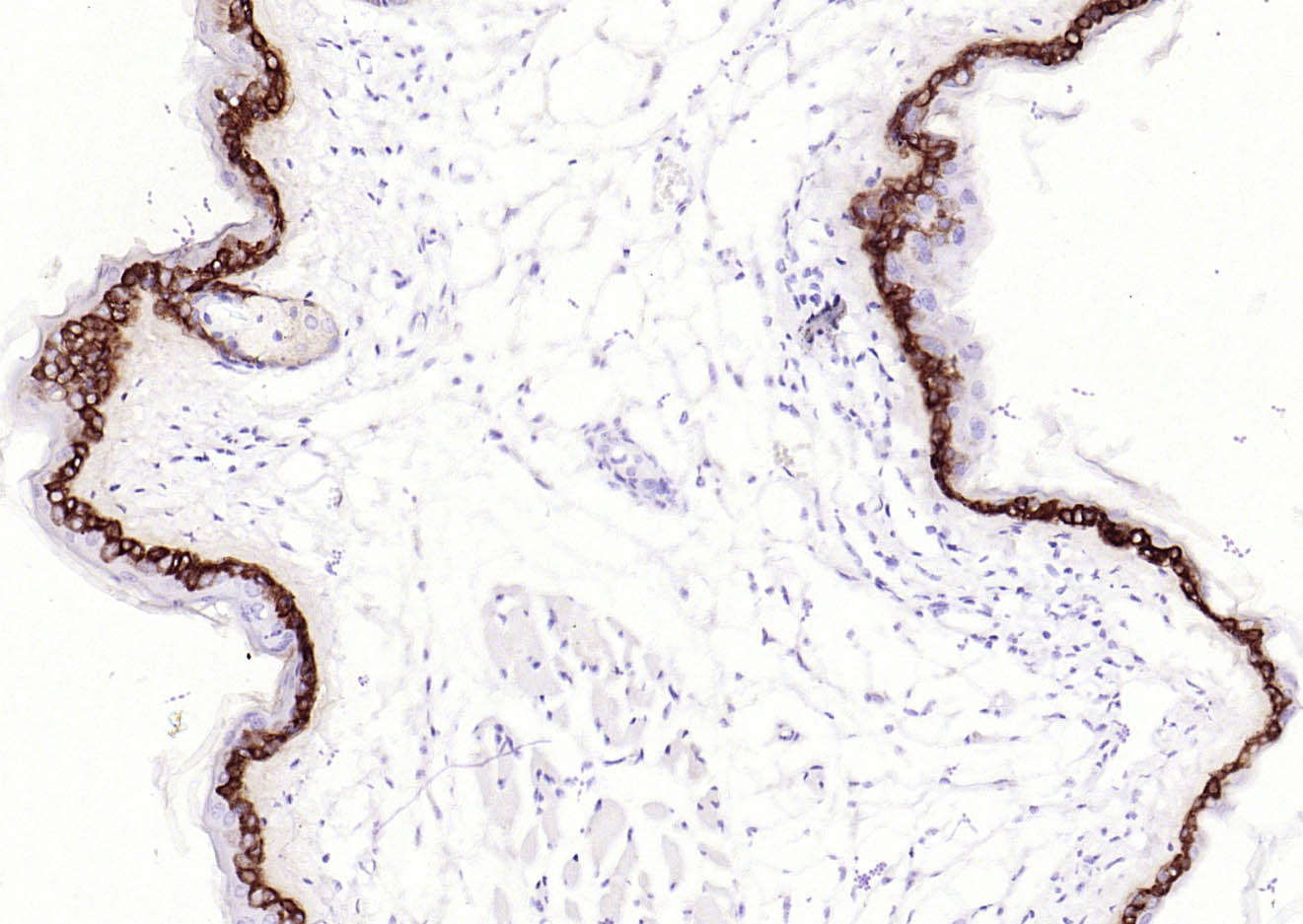
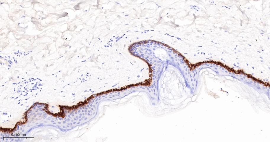
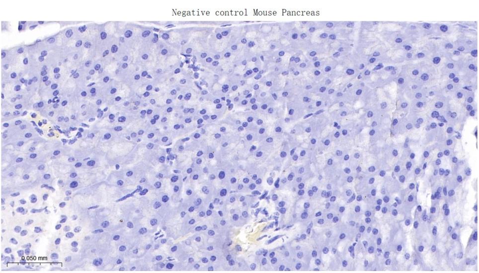
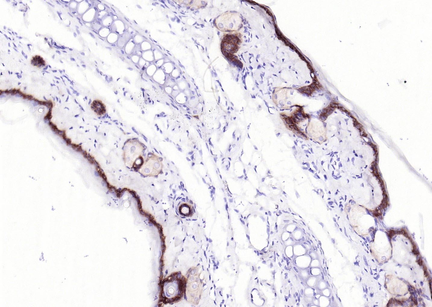
IHC-PHuman, Mouse, Rat1:50-200
IHC-FHuman, Mouse, Rat1:50-200
IFHuman, Mouse, Rat1:50-200

交叉反应

交叉反应: Human, Mouse, Rat

相关产品

暂无相关产品

靶标

基因名
COL17A1
蛋白名
Collagen alpha-1(XVII) chain
亚基
Homotrimers of alpha 1(XVII)chains. Interacts (via cytoplasmic region) with ITGB4 (via cytoplasmic region). Interacts (via cytoplasmic region) with DST isoform 3 (via N-terminus). Interacts (via N-terminus) with PLEC. Interacts (via cytoplasmic region) with DSP.
亚细胞定位
Cell junction, hemidesmosome. Membrane; Single-pass type II membrane protein. Note=Localized along the plasma membrane of the hemidesmosome. 120 kDa linear IgA disease antigen and 97 kDa linear IgA disease antigen: Secreted, extracellular space, extracellular matrix, basement membrane.
翻译后修饰
The intracellular/endo domain is disulfide-linked.
疾病
Generalized atrophic benign epidermolysis bullosa (GABEB) [MIM:226650]: A non-lethal, adult form of junctional epidermolysis bullosa characterized by life-long blistering of the skin, associated with hair and tooth abnormalities. Note=The disease is caused by mutations affecting the gene represented in this entry.
功能
Unlike most collagens, collagen XVII is a transmembrane protein. Collagen XVII is a structural component of hemidesmosomes, multiprotein complexes at the dermal epidermal basement membrane zone that mediate adhesion of keratinocytes to the underlying membrane. Mutations in the gene coding for collagen XVII are associated with both generalized atrophic benign and junctional epidermolysis bullosa. Two homotrimeric forms of type XVII collagen exist. The full length form is the transmembrane protein. A soluble form, referred to as either ectodomain or LAD 1, is generated by proteolytic processing of the full length form. Two transcript variants, one resulting from alternative splicing in the 3' UTR, have been identified for this gene.

同靶标产品

相关文献

提示: 发表研究结果有使用 bsm-52041R 时请让我们知道,以便我们可以引用参考文章。作为回馈,资料提供者将获得我们送上的小礼品。

常见问题