Immunology > Cell Type Markers > CD > Myeloid Cells
Immunology > Innate Immunity > TLR Signaling
Kits/ Lysates/ Other > Kits > ELISA Kits > ELISA Kits > CD markers ELISA kits
Stem Cells > Endothelial Progenitors > Endothelial Markers
Stem Cells > Hematopoietic Progenitors > Hematopoietic Stem Cells > Human Lineage Negative
Stem Cells > Hematopoietic Progenitors > Myeloid > Monocytic Lineage
Stem Cells > Hematopoietic Progenitors > Myeloid > Neutrophil Lineage










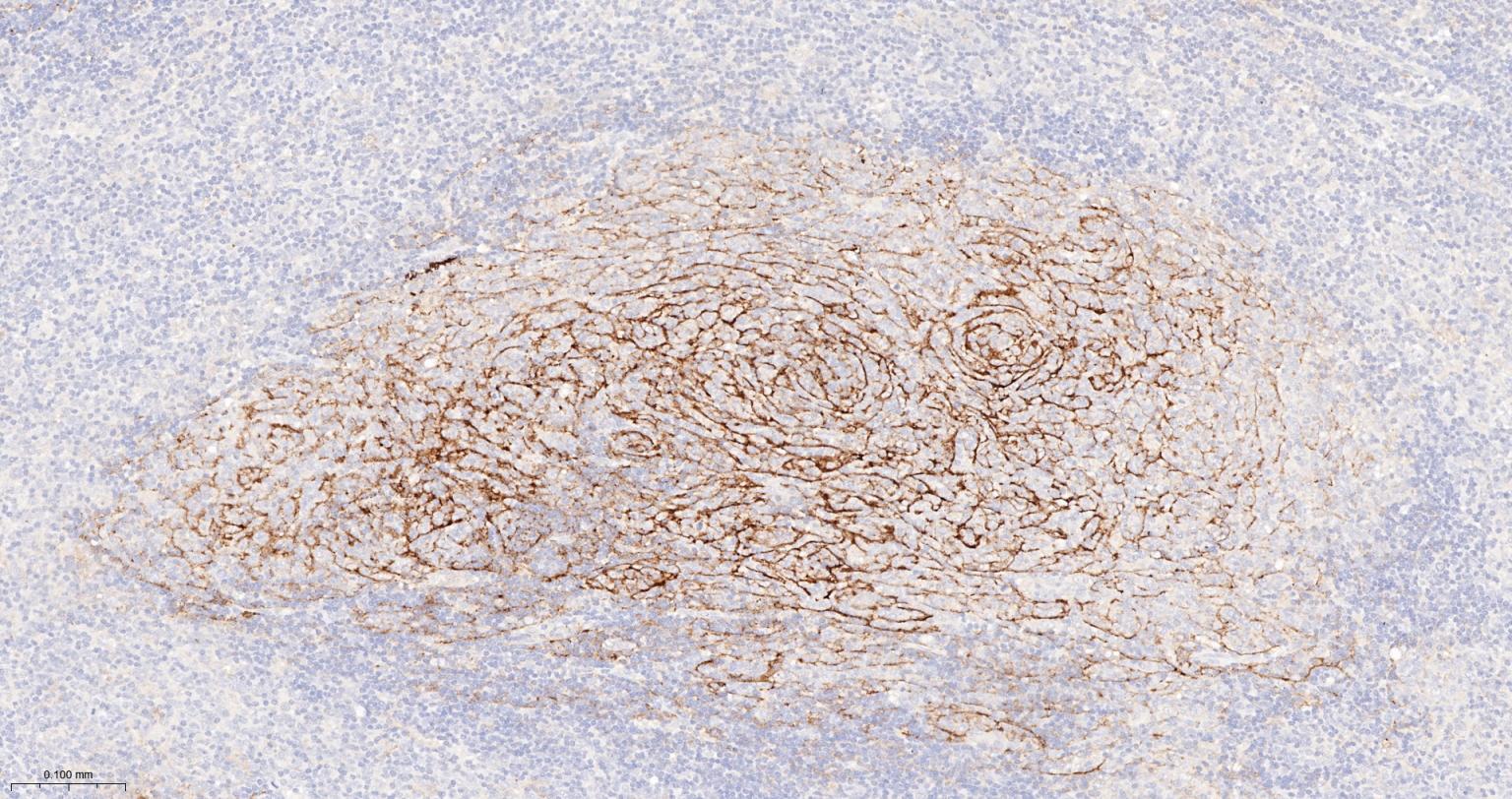
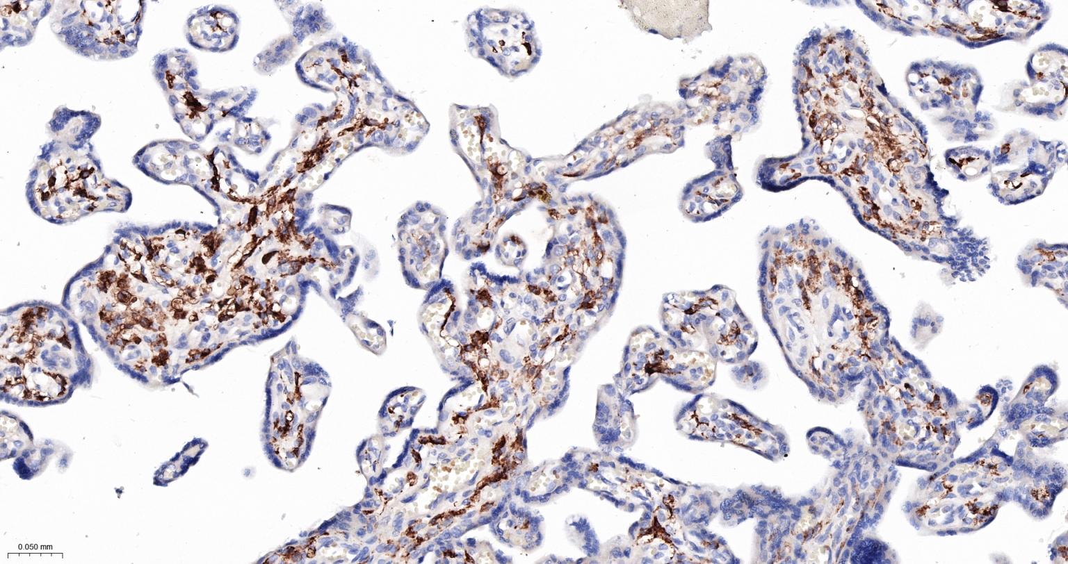
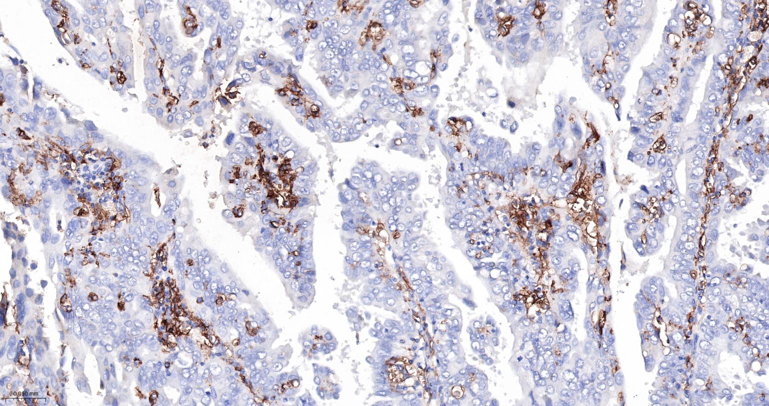
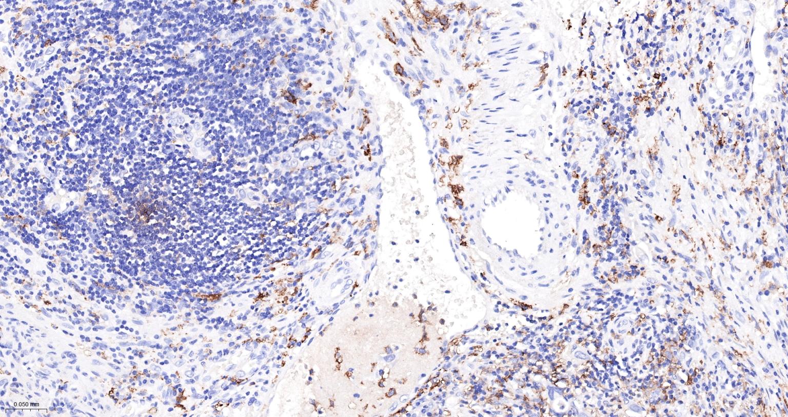
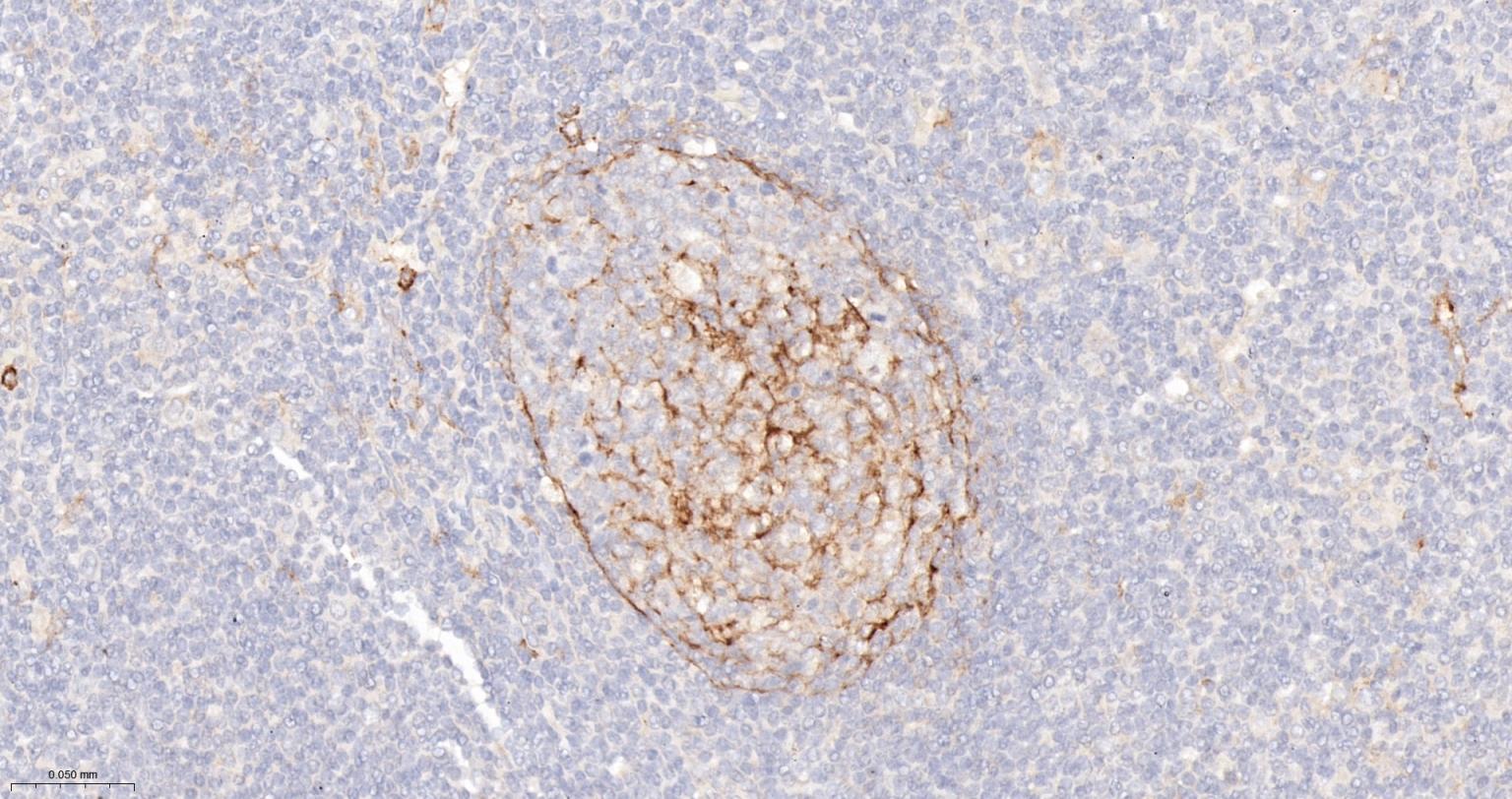
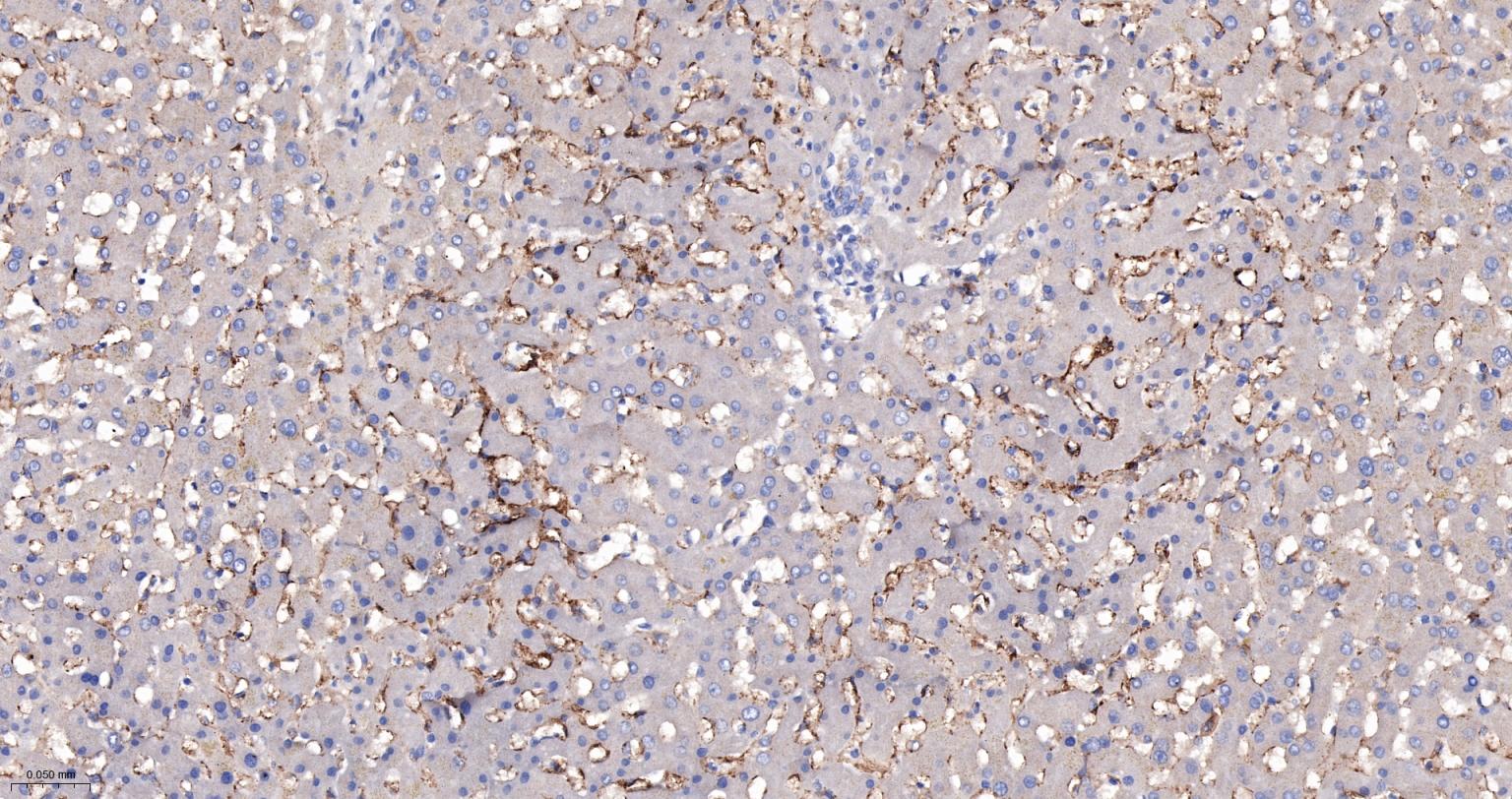
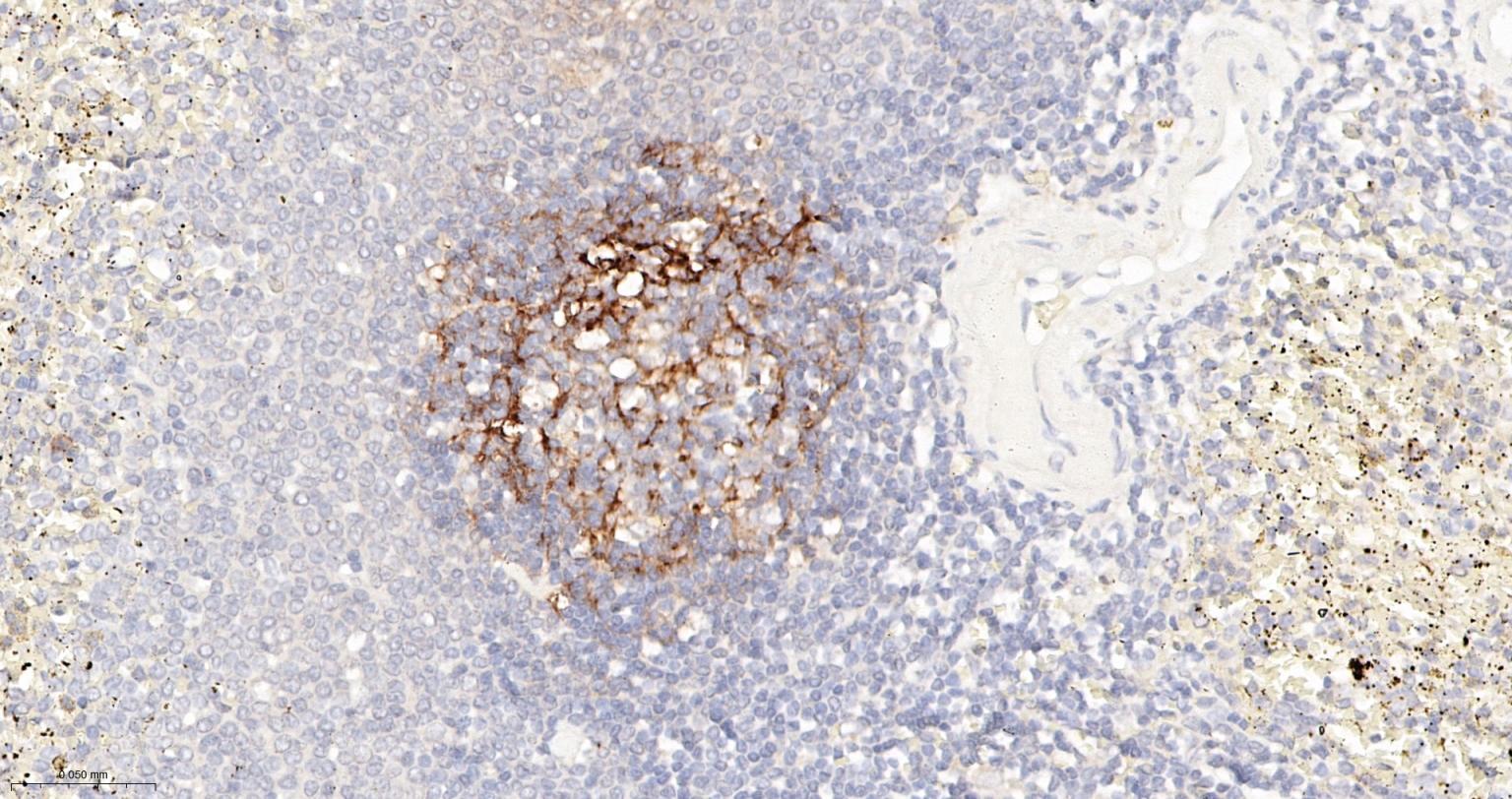
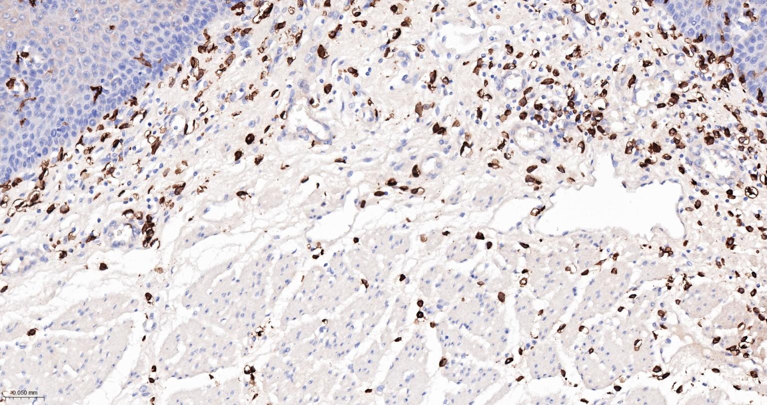
| 应用 | 已检合格种属 | 预测种属 | 推荐稀释比例 |
|---|---|---|---|
| WB | Human | 1:500-2000 | |
| IHC-P | Human | 1:200-1000 | |
| IHC-F | Human | 1:200-1000 | |
| IF | Human | 1:200-1000 |
交叉反应: Human
暂无相关产品